매거진 건강

소름끼치는 기생충 어떻게 예방하지?

채소, 과일, 민물고기 등 즐겨먹는 사람들은 꼭 봐야 할 기생충

by 데일리
브런치배너.png


1960년대 이후 본격적으로 시작된 기생충 박멸 운동으로 인해 현대사회에서는 굳이 구충제를 안 먹어도 된다는 견해가 있다. 하지만 방심하기에는 이르다. 오늘날에는 유기농 식품, 육회, 생선회 등을 섭취하는 웰빙푸드 문화가 본격적으로 확산되고 있고, 반려동물과의 접촉 횟수도 많아 기생충에 감염될 가능성을 완전히 배제할 수 없기 때문이다. ‘기생충에 감염될까 두렵다’라고 하면 호들갑 떤다는 소리가 더 많은 만큼, 기생충 감염 위험성은 쉽게 간과되고 있다. 하지만 기생충에 감염되면 심할 경우 호흡곤란, 항문소양증 등 다양한 위험 증상이 발생할 수 있어 예방과 박멸에 노력을 기울여야 한다.

중간선 확정.png

기생충은 주로 어디에 기생할까?


사람의 몸에 기생충이 기생할 때는 거의 모든 부위에 기생하는 것으로 알려져 있지만, 주로 소화관에 기생하는 것이 많다. 소수는 혈액 중에도 기생하는 기생충이 있고, 간에 기생하는 것, 폐에 기생하는 것 등도 있다. 일반적으로는 성충으로 기생하지만 때로는 유충기에 기생하는 선모충, 위립촌충도 있다.

중간선 확정.png

기생충의 침입경로는?


‘학문명백과 : 의약학’에 따르면, 기생충의 침입경로는 입, 피부, 혈액 등이 있다. 그중에서도 기생충의 감염형 포낭, 충란, 유충이 음식물을 통해 입으로 침입하는 경우가 가장 보편적인 감염방식이다. 이러한 감염형태를 ‘경구감염’이라고 부르기도 하며 대부분의 기생충 감염이 이런 방식으로 나타난다. 피부 감염의 경우 구충의 유충, 주혈흡충의 유미유충 등은 직접 피부를 뚫고 숙주 내 모세혈관으로 침입한다. 혈액 감염의 경우 주로 절족동물 등이 사람을 물고 피를 흡혈할 때 말라리아, 사상충 등 감염형 기생충이 인체 혈관을 통해 침입하는 경우이다.

중간선 확정.png

기생충의 종류


간디스토마


네이버캐스트 ‘간디스토마’ 글에 의하면, 간디스토마는 담도에 사는 디스토마를 말한다. 간디스토마는 사람의 담도인 담즙의 통로에 기생하며 담즙을 먹으며 산다. 간디스토마는 숫자가 적을 경우 별다른 증상을 나타내진 않지만 많은 총체가 들어올 경우 복통, 식욕부진, 피로감 등이 유발된다. 간디스토마로 인해 담도가 막힐 경우 담즙이 혈액으로 흡수되어 황달이 발생할 수 있다.


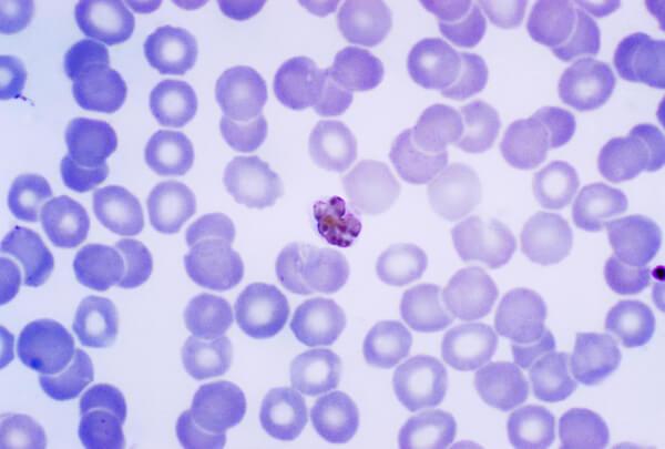
말라리아원충


말라리아원충은 인류, 영장류, 설치류, 조류 및 주로 도마뱀 속의 파충류를 포함하는 포유동물 적혈구에 기생한다. 사람에 기생하여 학질을 일으키는 것으로는 3일열원충, 4일열원충, 열대월원충, 난형원충 등 4종류가 존재한다. 말라리아는 말라리아원충에 감염된 모기에 물려 발생한다. 말라리아는 급성 열성 질환으로 말라리아 발생지역을 여행할 때는 반드시 예방약을 섭취해야 한다.


폐디스토마


폐디스토마는 폐 조직에 주머니 형태의 집을 만들고 알을 낳아 염증을 일으키는 기생충이다. 폐흡충이라고도 불리는 폐디스토마는 민물 게나 민물 가재에 주로 기생한다. 폐디스토마는 간혹 뇌에 자리 잡을 수 있으며 뇌에 손상을 입혀 뇌출혈을 유발할 수도 있다. 폐디스토마에 감염된 사람 대부분은 게장을 먹다가 감염된 것으로 알려져 있으며 민물 게장을 자주 먹으면 기생충 검사를 받아보는 게 좋다는 것이 전문가들의 의견이다.


고래회충


고래회충이란 바다 생선 내장에서 성숙하는 유해 기생충이다. 고래회충은 주로 어류가 살아 있거나 신선할 땐 내장에 있다가 물고기가 죽고 2시간 정도가 지나면 근육으로 이동하기 때문에 죽은 지 오래된 물고기를 회로 먹을 때 감염될 가능성이 있다. 보통 생선을 먹고 4시간 뒤에 구토, 복통 증세가 나타날 수 있는데, 약으로는 치료할 수 없어 내시경을 통해 위와 장벽에 붙은 기생충을 제거해야 한다.

중간선 확정.png

기생충 감염 증상


기생충에 감염됐을 때는 기생충의 종류에 따라 그 증상이 달라질 수 있다. 회충의 경우 고열, 호흡곤란 등 증상이 발생할 수 있고, 요충의 경우에는 식욕부진부터 심한 항문소양증까지 발생할 수 있다. 십이지장충의 경우 현기증, 붉은 반점 증상이 나타나며 편충의 경우 설사, 빈혈 증상이 발생한다.

중간선 확정.png

기생충 감염 예방법


위생 상태 개선


기생충 감염을 예방하기 위해서는 생활습관과 생활환경을 위생적으로 개선해야 한다. 음식물, 음료수를 소독하는 시설과 매개체와의 접촉을 차단할 수 있는 방충망, 모기장 등의 설치도 필요하다. 특히 해외여행을 나갈 때에는 물, 채소, 해산물 등의 섭취를 조심하는 게 좋다. 말라리아 유행 국가를 여행 시에는 출국 전 말라리아 예방약을 복용해야 한다.


가열처리 및 냉동처리


대부분의 기생충은 열과 냉동에 약하다. 따라서 음식을 먹을 때에는 100℃로 끓이거나 익혀 먹고, 영하 20도 이하의 낮은 온도로 냉동처리를 하면 기생충이 죽거나 감염력이 일부 소멸될 수 있다. 여름철에는 민물고기를 날로 먹지 않아야 하며 충분히 가열, 조리해 섭취해야 한다. 조리 시 기생충에 오염된 어패류 등을 손질한 조리 기구는 다른 식품을 조리할 시 오염되지 않도록 충분히 깨끗이 씻고 소독해야 한다.

중간선 확정.png

구충제의 올바른 복용법은?


기생충을 박멸하기 위한 좋은 방법으로는 구충제를 복용하는 것이다. 위의 기생충 증가와 박멸을 위해서는 구충제를 복용하는데, 복용횟수로는 1년에 1~2회 복용한다. 주의사항으로는 임부, 수유부는 가능한 먹지 않는 것이 좋다. 질환을 앓고 있거나 특히 간질환자는 의료진과 충분히 상의한 후 복용하는 것이 적절하다. 민물고기를 먹어 감염되는 간디스토마의 경우 구충제를 먹어도 효과가 없어 따로 병원에서 처방받은 약을 먹어야 한다. 구충제를 먹는다고 해서 기생충 감염을 예방할 수 있는 것이 아니다. 구충제는 기생충의 박멸에 목적이 있다. 따라서 장기적인 복용은 금기되며 복용 시 부작용이 우려될 경우 의사 및 약사와 충분한 상의 후 결정하는 것이 현명하다.


저작권자 ⓒ 데일리. 무단전재 및 재배포 금지.


keyword
매거진의 이전글산후조리원비 아껴서 집안행사에 쓰라는 시어머니