brunch

오직 죽음만이 멈출 수 있었던 것

대한 중환자 의학회 '2024 중환자실 사랑방' 응모작

by 시카고 최과장

‘어? 내가 맞게 찾아왔나?’


40대 초반 남성이 대동맥 박리로 중환자실에 입원했다는 말을 듣고, 직접 환자를 보기 위해 중환자 입원실에 와서 나도 모르게 중얼거린 말이다.

40대 초반의 환자가 대동맥 박리로 입원했다면, 그건 볼 것도 없이, 마판(Marfan) 증후군을 가진 키가 크고 팔이 아주 긴 백인 남성일 거라고, 중환자실 담당 레지던트에게 큰소리를 치고 난 후라서 그랬을까?

눈앞에 마주한 환자는 나의 예상과는 완전 반대였다.


환자는 가슴통증과 호흡곤란을 호소하며 응급실에 내원한 41세 남성이었는데, 환자의 소변에서는 코카인, 암페타민등 다수의 마약이 검출되었고, 본인도 최근까지도 마약 복용을 했음을 인정했다.

응급실에서 CTA와 심초음파 등 진단 검사를 시행한 결과, B형 대동맥 박리로 판명되었다. B형 박리는 보통 내과적 치료인 약물로 혈압을 조절하는 것이 일반적으로 권장되는 치료방법이고, 혈관외과 컨설트 결과에서도 위험한 수술보다는 약을 통한 내과적 치료를 먼저 권했다.


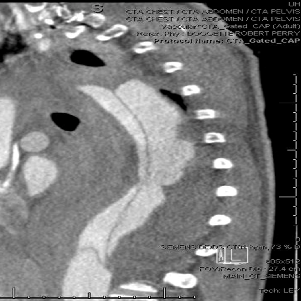
CTA_Chest.png 자료사진_CTA 영상 소견, 밝은 회색으로 보이는 대동맥 중앙을 지나는 박리가 선명하게 보인다
Aortic Dissection.jpg 대동맥이 박리가 되면, 오른쪽 그림과 같이 혈관벽이 안쪽에서 뜯어진다. 따라서, 혈압이 높지 않게 약물투여로 조절하지 않으면 혈관벽이 계속 뜯어지다가 파열될 수 있다.


환자의 수축기 혈압이 190을 넘을 정도로 고혈압 증상이 잘 조절되지 않고 있어서, 동맥과 중심 정맥 라인을 잡고 혈압 하강제를 정맥주사로 투입하기 시작했다.

혈관 외과에서는 목표 수축기 혈압을 120으로 추천했는데, 아무리 효과가 빠른 정맥주사제로 혈압을 조절한다고 해도 쉽게 이룰 수 있는 목표치가 아니었다. 2가지 정맥주사로 혈압조절을 시작해 봤지만, 효과가 더뎌서 2-3 가지 다른 혈압약들을 금방 추가해야 했다.


그 후 몇 시간 동안, 그 환자의 수축기 혈압이 목표 수치까지 떨어질 수 있도록 여러 가지 다른 혈압 하강제를 추가 투여하고 용량을 계속적으로 늘리고 있었음에도 혈압이 떨어지기는커녕 오히려 혈압이 올라가고 있었다. 6 종류의 서로 다른 혈압 하강제는 이제 모두 최대 용량에 이르렀고, 환자의 의식도 흐릿해지면서 산소 포화도도 서서히 떨어지고 있어서, 환자의 기도를 보호하기 위해 호흡관을 삽관하기로 했다.




그 환자 치료를 주도적으로 맡고 있었던 응급의학과 레지던트가 나의 감독하에 무사히 호흡관을 삽관했다.

호흡관 삽관을 마치고, 환자의 주먹 쥔 손을 살펴보던 담당 레지던트가, ‘이게 뭐지?’ 하길래, 다 같이 무엇인지 살펴보았다. 환자가 꼭 쥐고 있던 손 안에는 1달러짜리 지폐가 꼬깃꼬깃한 상태로 있었고, 그 지폐 안에는 하얀 가루가 담긴 봉지가 있었다.


1$_White_Powder_R.jpg 호흡관을 넣을 당시까지도 환자가 손에 꼭 쥐고 있었던 1달러 지폐와 그 안의 미지의 하얀 가루


그제야 여러 가지 의문점들이 한꺼번에 풀리는 듯했다.

그동안 5-6가지 혈압 강하제를 정맥주사로 최고용량으로 투여하고 있음에도 혈압조절이 되지 않았고 환자의 소변검사상 계속 마약류가 검출되었던 이유는, 하루가 멀다 하고 매일같이 면회를 오던 친구를 통해 마약을 계속 공급받고 중환자실안에서 몰래 계속 투여하고 있었기 때문이었다.
하얀 가루 봉지는 성분 분석을 위해 독성물질 실험실에 보내고, 환자의 직계 가족 이외의 면회를 전면 금지시켰다.


외부에서 밀반입되어서 계속 투약되던 마약이 사라지니, 환자의 혈압은 곧바로 눈에 띄게 낮아졌고, 의식 및 산소포화도도 좋아져서, 이틀 만에 호흡관을 제거할 수 있었다.

하얀 가루 봉지에서는 코카인과 암페타민 등 여러 가지 마약이 동시에 검출되면서 우리들의 합리적 의심이 사실이었음이 밝혀졌다. 그 하얀 가루를 과연 코로 흡입한 것인지, 용액으로 녹여서 정맥주사로 넣은 것인지 개인적으로 매우 궁금해지긴 했다.

어찌 되었든 중환자실에 입원까지 한 마당에 외부로부터 마약을 계속 공급받아 몰래 투약했다는 사실에는 변함이 없었다.


환자의 호흡관을 성공적으로 제거해서 다음 중환자실 담당 전문의에게 좀 더 간략하게 인수 인계할 생각에 나는 홀가분한 기분이 들었다. 그날까지가 나의 외과 중환자실 근무날이었고 다음날부터 외과 중환자실 담당이 바뀌게 되므로 인수인계 작업을 진행해야 했다.

다음 외과 중환자실 담당은 외상외과 전문의였고, 외과 중환자실에 대한 인수인계 작업은 전화를 통해 환자 전체의 명단에 대해서 자세한 경과보고와 설명을 함으로써 시작했다. 인수인계 작업이 한창 진행되고 있던 무렵, 갑자기 중환자실 안쪽이 매우 소란스러워졌다.

잠시 멈추고 가보니 몇 시간 전에 호흡관을 제거한 그 환자가 의식이 또렷해지고 말을 할 수 있게 되자, 자기는 더 이상 의학적인 치료가 필요 없으니 바로 집으로 가겠다고 중환자실 간호사와 레지던트에게 소리를 고래고래 지르고 있었다.


인수인계를 진행하고 있던 와중에 이러한 일이 발생하여 황당하기도 했지만, 환자가 의식이 또렷하고 본인이 원하는 바를 정확하게 이야기하고 있으므로, 환자의 자기 의사결정권을 존중해줘야 했다. 다음 중환자실 담당인 외상외과 전문의의 동의 하에 ‘의사의 권고에 반하는 퇴원’ (AMA, Against Medical Advice)을 하게 해주어야만 했다.


AMA_Acronym_R.jpg AMA (Against Medical Advice)


환자의 그동안의 경과를 고려하면, 이러한 자발적인 퇴원이 아주 좋지 않은 결과로 이어질 가능성이 매우 높아 보였지만, 환자의 요구를 받아들이는 방법 외에는 우리가 할 수 있는 것이 없었다. 긴급하게 정신과 컨설트를 내어서 환자의 자기 의사 결정권 (Competency)에 대한 이의를 제기할 수도 있었으나, 환자가 자기 자신 혹은 다른 사람들을 해칠 수 있다는 발언이나 행동을 직접적으로 보이지 않는 이상, 강제로 입원 상태를 유지할 수도 없었다.

인수인계를 하고 있던 시점이었지만, 환자가 퇴원을 요구하는 시점에서는 내가 중환자실 담당이었으므로 환자에게 AMA (Against Medical Advice) 퇴원 동의서를 받아야 했다. 지금 퇴원하게 되면 대동맥 박리가 악화되어 매우 높은 확률로 죽음에 이를 수 있다고 여러 번 강조했음에도, 환자는 동의서에 쿨하게 서명을 날리고는 뒤도 돌아보지 않고 가버렸다.




그렇게 중환자실 근무를 마치고 며칠 후 수술실 근무로 복귀하였는데, 수술실 복도 앞을 지나가던 나는 며칠 전 중환자실 인수인계를 해주었던 외상외과 전문의를 우연히 마주치게 되었다.

그 외상외과 전문의는 그 환자 소식을 들었냐고 나에게 대뜸 물어봤다.

퇴원 이후로 더 이상 그 환자 소식을 듣지 못했다고 하자, 외상외과 전문의는 그 환자에 관한 그다음 이야기를 들려주었다.


당시 근무하던 병원에서는 보통 외상외과 전문의가 중환자실을 담당하는 경우에는 응급실로 실려오는 외상외과 환자도 같이 담당해서 보고 있었다.
그때 AMA 서류에 서명하고 자발적으로 퇴원했던 환자가 병원을 떠난 지 이틀이 채 지나기도 전에 응급실로 다시 실려왔다고 한다. 퇴원 후 지속적으로 마약투여를 한 것으로 보이는 환자는 의식을 잃은 채로 가족들에게 발견되어 앰뷸런스로 급하게 실려왔다고 한다.


응급실에서 소생치료를 받던 환자의 맥박이 갑자기 잡히지 않아서, 외상외과 전문의가 긴급하게 갈비뼈 사이를 절개하고 열어젖힌 다음에 흉강 내에 손을 집어넣어 직접 심장 마사지를 함과 동시에 환자 침대를 밀면서 수술실까지 달려갔으나, 결국 환자의 맥박이 돌아오지 않아서 수술대 위에서 사망선고가 내려졌다고 했다.


Internal_Cardiac_Massage_R.jpg 응급 흉강 절제술 및 직접 심장 마사지


그 환자가 의사의 권고에 반하는 퇴원 동의서에 서명했을 때부터 환자의 결말이 좋지 못하리라는 것은 누구나 예상하고 있었지만, 이렇게 빠르고도 극적으로 환자가 다시 병원으로 돌아올 줄은 아무도 몰랐다.


정황상 환자는 자발적 퇴원 이후 지속적인 마약 투여로 인해서 대동맥 박리를 계속 악화시키다가 파열되어 죽음에 이르게 된 듯했다.

비교적 젊은 나이의 환자에게 대동맥 박리라는 질병이 생기게 된 이유는 불분명했지만, 계속된 마약 사용이 대동맥 박리의 진행을 빠르게 했음은 자명했고 결국 본인 손으로 터트려 버린 것이나 다름없었다.


중환자실에 입원한 후 중심정맥으로 여러 혈압약이 최고용량으로 들어가고 있던 상황에서도 계속 마약을 몰래 들여와 투약할 정도면 그 환자의 마약중독은 결코 멈출 수 없었던 폭주 기관차라고도 할 수 있다.


'오직 죽음만이 환자의 마약중독을 멈출 수 있었던 것이다'


그 환자가 죽음에 이르게 된 것은 매우 안타까웠으나, 한편으로는 오직 죽음만이 멈출 수 있었던 마약중독의 무서움을 매우 극명하게 보여준 사례라고 할 수 있다.




keyword
매거진의 이전글내로남불 1 (첫 번째 이야기)