brunch

피부노화 치료제, 레티놀.
반드시 알아야 할 4가지

잔주름, 색소, 피부 노화로 고민하는 그대에게

by 현무열



안녕하세요. 화장품을 분석하는 남자, 화분남 피부과 전문의 현무열입니다.

화분남.png


지난번엔 먹는 콜라겐에 대해서 다뤘었는데요.

오늘은 발라서 콜라겐을 생성할 수 있는 레티놀에 대해서 알아보려고 합니다.


캡처11.JPG
캡처12.JPG

Hotandflash라는 유튜버 영상에서 따온 이미지입니다.

레티놀만 3년 동안 사용했고, 보톡스나 필러, 레이저, 필링 같은 시술은 받지 않았다고 하네요.

보시면 잔주름과 색소, 홍조가 많이 개선된 것을 보실 수 있습니다.


이처럼 레티놀은

콜라겐 생성!

주름 개선!

색소 제거!

효과가 있기 때문에 미용적인 측면에서 매우 유능한 성분입니다.


이제 레티놀에 관심이 좀 생기셨나요? 레티놀에 대해서 알아보도록 합시다.

(너무 길다 싶으시면 맨 아래 요약 보셔도 됩니다.)


1. 레티놀과 형제들

요즘 화장품의 트렌드는 '천연' 이기 때문에, 레티놀에 대해 많이 못 들어 보셨을 수 있습니다.

하지만 레티놀만 한 미용효과를 보이는 성분이 없기 때문에, 오래전부터 사골처럼 주름개선, 미백용 화장품에 사용되어 왔습니다.


레티놀은 지용성 비타민 중 하나인 비타민 A입니다.

그리고 이 레티놀은 매우 불안정해서 변형되기 쉽습니다.



그림을 보시면 레티놀은 레티닐 팔미테이트가 되거나 레티날데하이드를 거쳐 레티노산이 되거나 비타민 A2 또는 그것의 에스터 형태로 변환됩니다.


이렇게 불안정하기 때문에 FDA에서는 효능이 없는 성분으로 취급하여 화장품에 사용될 수 있습니다.

화장품에 사용할 때에도 이러한 불안정성을 안정화하는 게 기술인 거구요.






이러한 레티놀과 그 변형된 형태들을 레티노이드라고 부르는데요.

이런 레이노이드는 최종적으로 레티노산이 되어야 비로소 역할을 하게 됩니다.

Fig-1-A-toolkit-to-study-retinoic-acid-functions-The-main-source-of-retinol-comes-from.png
retinoic-acid.jpg


양쪽 그림에서처럼 레티노산이 수용체와 결합하여 유전자 발현에 관여해야 우리가 원하는 효과를 얻을 수 있습니다.

왼쪽 그림처럼 레티놀은 레티날데하이드(레티날)을 거쳐 레티노산이 되어야 되기 때문에 2단계를 거쳐야 되고, 불안정성으로 다른 형태로 변하기 쉽기 때문에 레티노산에 비해 효과가 떨어질 수밖에 없습니다.


그 외의 레티노이드인 레티닐 팔미테이트나 레티날, 비타민 A2나 그 에스터 형태들은 피부를 통한 흡수가 어렵기 때문에 화장품으로 잘 사용하지 않습니다.


결국, 피부 투과가 쉬운 레티놀과 레티노산 두 가지 형태의 레티노이드만 바르는 제형으로 사용될 수 있습니다.

그리고 활성형인 레티노산은 처방받아야 살 수 있는 의약품으로만 사용되고, 불안정성으로 효능을 인정받지 못한 레티놀은 화장품으로 사용됩니다.



2. 레티노산의 효과

레티노산의 효과에 대해서는 1969년 여드름 치료에, 1980년 피부 노화에 사용되기 시작한 이후부터 꾸준히 연구가 되어왔고, FDA에서 그 효과를 인정했습니다.


표피에서는

1. 세포 이형성의 감소

2. 각질층의 조밀함 증가

3. 기저세포의 멜라닌 치밀성 감소

4. 각질 형성 세포의 질서 있는 분화


진피에서는

1. 콜라겐 합성 증가

2. 콜라겐 분해 방지


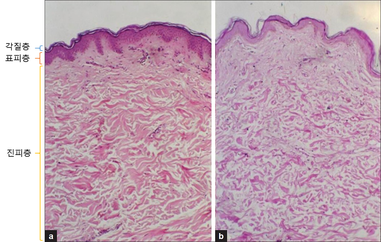
그림1.png

피부의 조직 사진입니다.

a는 젊은 피부, b는 노화가 진행된 피부입니다.


맨 위쪽에 얇은 선이 각질층,

진한 핑크색을 띠면서 둥근 것들이 뭉쳐있는 게 표피층,

그 아래쪽에 물결치는 연한 핑크색들이 콜라겐이고 진피층입니다.


오른쪽처럼 얇고 성긴 각질층을 왼쪽처럼 조밀하게 만들어주고

오른쪽 표피층 아래쪽에 갈색 선처럼 보이는 멜라닌들을 오른쪽처럼 잘 안 보이게 해 주고

오른쪽처럼 세포 형태가 거의 없어지고 변형된 표피층을 왼쪽처럼 분화가 잘 이루어지게 해 주고

오른쪽처럼 짧고 얇고 성긴 콜라겐들을 왼쪽처럼 길고 두껍고 치밀하게 만들어 줍니다.


즉, 표피를 정상화시켜주고, 진피의 콜라겐을 생성시켜주며, 색소를 제거해주기 때문에

지속적으로 사용하다 보면 잔주름이 없어지고, 피부톤이 밝아지고, 피부가 매끈하게 됩니다.


그래서 레티노산, 그중에서도 트레티노인 성분을 광노화에 대한 치료제로 FDA에서 인정을 해주었습니다.


국내에서는 처방을 통해 연고 형태로 구입할 수 있는데요.




레티노산의 대표주자인 '트레티노인(tretinoin)' 연고, 스티바에이 크림입니다.

예전에 방송에서 성형외과 의사 한 분이 스티바에이 크림 만으로 피부관리한다고 한 뒤로 전국의 스티바에이 크림이 품절되어 한동안 없어서 못 파는 상황이 발생했었죠. 저희 병원으로도 문의전화가 수십 통이 오고, 처방받기 위해 상당수의 환자분들이 내원하셨었던 게 기억나네요.


스티바에이 크림의 경우 가장 낮은 0.01%부터 0.025, 0.05, 그리고 가장 높은 0.1% 까지 있습니다.

레티놀의 경우는 불안정성으로 효능을 FDA에는 인정받지 못했지만,

일단 흡수가 되어 레티노산이 되기만 하면 효과가 있고,

레티노산 보다도 피부 침투가 효과적이기 때문에

레티놀도 레티노산과 같은 효과를 볼 수 있습니다.



3. 레티놀과 레티노산의 차이

일반적으로 레티놀은 레티노산에 비해 10~20배 정도 효과가 약한 것으로 봅니다.

그 근거는 1997년 Duell 등의 연구에서 0.25% 레티놀이 0.025% 레티노산과 동일한 세포 및 분자 변화를 유도한 것으로 보고한 데에 있습니다.


최근 연구로 레티노산과 레티놀의 효과를 직접적으로 비교한 논문이 있어서 흥미롭게 읽었습니다.
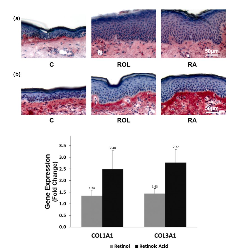
인체의 팔에 레티놀과 레티노산 0.1 % 를 4주간 바르고 비교한 실험인데요, 결과를 간략하게 보시면
(C = 대조군, ROL = 레티놀, RA = 레티노산입니다.)





표피 두께 증가 폭인데요,

조직 검사한 피부와 팔에서 직접 측정한 결과 모두에서 레티노산 군이 레티놀 군에 비해 더 많이 증가한 결과를 보입니다.








진피층 콜라겐 증가를 본 건데요, 사진상에 붉게 보이는 게 콜라겐을 염색한 것으로 레티노산 쪽이 레티놀보다 훨씬 진하죠. 콜라겐 발현 정도도 레티노산 쪽이 레티놀보다 높네요.








표피와 진피에서의 효과 모두 레티노산에서 좋게 나왔지만, 같은 농도로 4주간 사용해서 1.5~2배 정도 차이가 나온 것을 보면 레티놀과 레티노산이 10배만큼 차이가 나는 것은 아닌 것 같습니다.



4. 사용 시 주의 사항

레티놀과 레티노산을 사용할 때에는 주의하셔야 할 사항이 몇 가지 있습니다.


1) 밤에 바른다. - 바르고 자외선에 노출되게 되면 레티놀과 레티노산이 변성되어 효과가 없어지게 됩니다.

2) 보습제를 바른다. - 일시적으로 피지 주요 성분인 세라마이드 합성이 저하되어 건조하고 각질이 일어날 수 있습니다.

3) 선크림을 바른다. - 각질층이 치밀해져 두께가 얇아지기 때문에 햇볕에 민감하게 되고 자극되기 쉽습니다.

4) 자극감이 좋은 것이 아니다. - 자극이 돼야 효과가 있다고 생각하기 쉽지만, 자극감 없이도 비슷한 효과가 나타납니다. 레티노산 0.025%와 1%는 자극감은 3배 차이나지만 효과는 비슷합니다. 결국 자극감이 생기면 치료를 유지하기 어렵기 때문에 자극감이 없도록 바르는 것이 중요합니다.


자극감이 없이 바르려면,

낮은 농도에서 시작해서 점차 높은 농도로 높여간다. (레티노산 0.01% 로 시작해서 0.025% 정도까지)

삼일에 한번 - 이틀에 한번 - 하루 한번 정도로 간격을 줄여간다.

낮은 농도에도 자극이 된다면, 보습제나 오일에 섞어서 바른다. (흡수되지 않고 보습제나 오일에 남게 됨)

눈가는 피부가 얇아, 흡수되기도 쉽고, 자극되기도 쉬우니 조금만 바른다.


제품 선택 시 중요한 점,

레티놀과 레티노산은 불안정하기 때문에 안정화시키는 것이 기술력입니다.

따라서,

의약품인 레티노산 연고 (스티바에이 또는 외국의 Retin A)로 바르는 것이 가장 효과적

레티놀로 바르려면, 유명한 브랜드 것으로, 자극적이지 않는 한 높은 농도로 바르시는 것이 좋습니다.

시간이 지날수록, 공기에 노출될수록, 빛에 노출될수록 변성되기 쉬우므로 밀폐된 용기를 사용한 최근 제품으로 적은 양을 사서 빠르게 사용하는 것이 효과적입니다.

레티놀 함량이 2500 IU/g 이상인지, 레티노이드라고 써놓고 레티닐 팔미테이트 같은 성분을 사용한 제품인지 확인하시기 바랍니다.


이와 같은 방법으로 꾸준하게 바르시면, 피부 노화 특히 광노화로부터 피부를 지킬 수 있을 것입니다.

피부노-1.JPG

요약

1. 화장품에는 레티놀, 연고에는 레티노산을 사용한다.


2. 효과는 레티노산이 레티놀보다 10배 높다고 생각되지만, 인체가 좋아질 수 있는 상한선이 있기 때문에 같은 기간, 같은 농도라면 1.5-2 배 차이가 합당하다고 생각된다.


3. 레티놀 또는 레티노산 사용 시 주의사항

밤에 바른다.

보습을 잘 해준다.

선크림을 잘 바른다.

자극감이 없게 발라야 한다.


4. 제품 선택 시 고려사항

화장품보다는 의약품인 연고를 추천

화장품으로 바르려면 유명한 브랜드 것 중 높은 농도의 것으로

최근 제품으로, 적은 양을 사서 빠르게 사용할 것

레티놀 함량, 레티노이드 제품이라면 어떤 레티노이드 제품인지 확인할 것



keyword