brunch

도움의 미학 : 의인은 타고 나고, 키워진다.

착하게 태어난 한국 사람들, 더 착해지려고 노력합시다

도움의 미학 : 의인은 타고나고 키워진다

자기 희생적 행위와 전두엽.jpg

모든 생물은 자기의 생존이나 종족 유지를 최우선으로 하며 살아간다. 그건 아무리 마음이 선한 사람도 마찬가지이다. 많은 경우 선한 행동이나 타인을 위한 희생처럼 보이지만, 결과적으로 보면 나중에 더 큰 이익을 기대하면서 한 일이다. 본질적으로 인간은 이기적이라고 보아야 한다. 철학이나 경제학, 경영학, 심리학 등 사람을 다루는 모든 학문에서도 인간의 이기심을 기본 전제로 한다. 그런데 드물지 않게 우리 사회에서는 자기를 희생하면서까지 남을 돕는 사람들이 있다. 우리는 그런 사람들을 ‘사회적 의인’이라고 한다. 철로에 떨어진 일본인을 구하려다 숨진 유학생 이수현씨, 의정부 아파트 화재 현장에서 밧줄 하나로 10여명을 구한 이승선씨, 세월호 참사당시 자신의 구명조끼를 양보하여 많은 학생의 목숨을 구하고 자신은 숨진 박지영씨 등 이루 헤아릴 수없이 많은 사람이 타인을 위하여 자신의 생명을 놓쳤다. 이 분들은 대체 어째서 이렇게 희생적일 수 있을까?


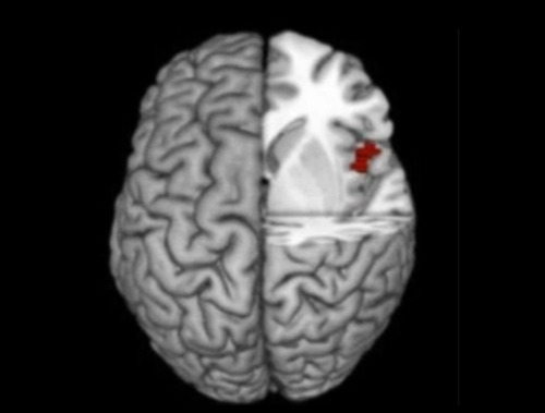
이탈리아 국제과학연구대학원(SISSA)과 볼로냐대학, 미국 하버드대학 등 공동연구팀은 80명을 대상으로 가상현실(VR) 환경을 이용해 불타는 건물에서 빨리 탈출해야 하는 상황을 만들어 행동과 심리변화를 관찰했다. 이 실험 도중 기능성 자기공명영상장치(fMRI)로 촬영한 결과 위험을 무릅쓰고 타인을 구하는 행동을 하는 동안 이들의 '전두엽 오른쪽 섬엽'(right anterior insula)이라는 뇌 부위가 활성화되며 커진 것으로 나타났다. 호두알 크기 정도인 이 부위는 공감적 관심이나 타인의 감정을 읽고 이해하는 능력을 포함한 사회적 감정이나 도덕적 정보처리 능력과 관계 있는 것으로 알려져 있다. (연합뉴스 2017. 3.14)


이들은 타인의 고통을 자기 자신의 것처럼 느끼는 능력이 남들보다 높다고 할 수있다. 마치 부모가 자식의 위기를 자기의 위기처럼 느끼듯이. 정지우의 ‘사람은 왜 서로 도울까?’에서 이같은 능력을 ‘공감적 상상력’이라고 한다. 공감 능력의 핵심은 타인의 감정이나 상황을 고스란히 자기 것처럼 느끼는 것이다. 이는 상상력과 조금 다른 것으로, 가령 공감은 눈앞에 있는 사람이 고통을 느끼면, 그 사람의 입장을 상상해보는 과정을 거치지 않아도 즉각적으로 고통을 느끼게 된다. 이러한 공감력을 이야기할 수 있는 것은 신경 심리학자 리촐라티(Giacomo Rizzolatti)가 거울 뉴런을 발견하였기 때문이다. 거울 뉴런은 상대의 행동이나 감정을 마치 내 것처럼 느끼는 것, 나아가 모방하는 것과 관련이 있다. 한 원숭이가 가만히 앉아있는 채로, 다른 원숭이의 행동을 바라본다. 이 때 다른 원숭이가 오른 팔을 들었을 때, 이 원숭이 뇌의 뉴런이 그 동작에 따라 반응한다. 그런데 놀라운 것은 맞은 편에 앉아 그저 바라만 보는 원숭이 뇌에서도 오른 팔을 드는 것처럼 반응하는 뉴런이 발견되었다. 상대의 움직임을 마치 내가 움직인 것처럼 착각하는 뉴런이 있다. 직접 경험하지 않고도 저절로 ‘알게 되는 능력’이 인간에게 있다는 것이다. 이 전까지만해도 인간은 서로 단절되어 있는 존재라고 보았는데, 이 거울 뉴런의 발견은로 인간은 서로 연결되어 있음을 알게 되었다. 그리고 여러 실험에서 거울 뉴런은 ‘나쁘다’고 판정된 사람보다 ‘착하다’고 판정된 사람의 뇌에서 더 민감하게 반응한다. 이 거울 뉴런의 발견은 공감이야말로 우리가 타인을 돕게 만드는 매우 강력한 원천이라는 것을 뒷받침한다. 남의 아픔과 슬픔을 내 아픔과 슬픔으로 공감하는 사람들이 그렇지 않은 사람보다 더 이타적인 것은 당연하다.


그렇다면, 이런 타고난 공감적 상상력이 부족하면 남을 도우는 사람이 될 수 없을까?

미국 조지타운대의 신경과학과 교수 아비게일 마쉬 교수에 의하면 마음먹기에 따라 후천적으로 이타주의를 셀프 연마할 수 있다. 마쉬 교수가 장기기증자들을 대상으로 조사한 바에 따르면, 그들은 자신이 세상의 중심이고, 남들보다 더 중요한 존재라고 생각하지 않는다고 한다. 또한 자신의 이타적인 행동을 별로 특별하다고 여기지도 않았다. 그들은 동정의 대상을 친구나 가족을 넘어 전혀 모르는 사람들에게까지 확장한다. 마쉬 교수는 이런 놀라운 탈(脫)자기성은, 정도의 차이는 있지만, 사회가 발전하고 인격이 성숙하면서 나타나는 공통된 현상이라고 말한다. 실제 현대 사회는 과거에 비해 더 이타적으로 발전해 왔다. 역사를 놓고 볼 때 전 세계적으로 동물 학대나 아동 학대, 가정 폭력 또는 사형 같은 각종 잔인함과 폭력이 감소한 것이 사실이다. 요즘은 흔히 있는 혈액이나 골수 기증은 백 년 전 사람들은 절대 이해하지 못했을 행동이 아닌가. 이미 우리 주변에는 작은 봉사에서부터 자선, 기부, 장기 기증까지 여러 형태의 이타적 행위들이 미덕으로 자리를 잡았다. 편도체의 크기야 어쩌지 못한다 해도 교육이나 여론, 사회 분위기에 따라 보통 사람들도 얼마든지 이타심을 키우고, 그 범위를 확장시켜 나갈 수 있는 것이다. (이코노미스트 2017.1.16.)


돌아보면 우리 사회가 권력이나 부를 가진 사람 위주로 움직이기 보다는 사회에서 소외되고, 빈곤한 사람들을 위한 활동들이 많이 늘었다. 원래 한국 사람이 타고 나기를 착하게 타고 난다. 그와 더불어 우리 사회가 경제적으로 발전하고, 정신적으로 자신과 남을 돌아보며 반성하는 성숙된 분위기가 무르익어서 그렇다. 앞으로도 더 많은 사회적 의인이 우리의 마음을 푸근하게 될 것을 상상하니 기분이 무척 좋다.


(곧 나올 '도움도 실력이다' 또는 '도움의 미학'의 일부 내용입니다. )

keyword
작가의 이전글도움의 미학 : 도움이 필요할 때를 알자