brunch

괄목상대(刮目相對)의 주인공, 여몽의 사망원인은?

관우의 원혼을 떠올릴 만큼 허망하고 이른 죽음

by Iatros


지난 번 글에 이어, 이번에도 삼국지 속 의학 이야기를 가져왔습니다.
[그래도 여자보다는 삼국지에 대해 잘 알아야 하지 않겠어요?]의 저자인 정미현 작가님과 함께 집필하였습니다.


괄목상대(刮目相對)의 주인공, 여몽을 죽음으로 이끈 원인은 무엇인가?
-관우의 원혼을 떠올릴 만큼 허망하고 이른 죽음


동북아시아에서 관우의 인기는 절대적이었습니다. 문(文)의 신이 공자라면, 무(武)의 신은 관우라고 하죠. 비유만은 아닌데, 관우는 현재까지도 중국에서는 숭배의 대상입니다. 사실, 당장 서울에도 선조 때 세워진 관우의 사당이 있습니다.



f_5j1Ud018svc16kotg6filmi2_q49c4t.jpg?type=e1920_std <그림> 서울시 동묘역 근처에 위치한 동관왕묘. 사진 출처 – 나무위키.



그만한 인물이었으니 위나 오에 위협이 되지 않을 수가 없습니다. 그랬던 관우를 패하게 한 사람이 바로 여몽(呂蒙, 178년 ~ 219년)입니다.

백성들에게 신으로까지 추앙받던 관우를 죽인 인물. 그러니 여몽이 얼마나 미움을 많이 받았을지 뻔합니다.


<연의> 여몽이 술을 받아 마시려다가 갑자기 술잔을 바닥에 던지더니 한 손으로 손권을 꽉 붙잡고 소리 높여 크게 욕하기를, “푸른 눈의 어린 놈아! 붉은 수염 쥐새끼야! 아직도 나를 못 알아보겠느냐!” 했다.
장수들이 크게 놀라 급히 구하려는데, 여몽이 손권을 밀어뜨리고, 큰 걸음으로 전진하여 손권의 자리 위에 앉아 두 눈썹을 치켜세우고 눈알을 부라리며 크게 꾸짖기를, “나는 황건적을 깨뜨린 이래 천하를 30년 동안 종횡하였다. 지금 네가 하루아침에 간계로써 나를 도모했으니 내가 살아서 너의 고기를 씹어 먹지 못하지만 죽어서라도 마땅히 여몽 도적놈의 혼을 뒤쫓겠다! 나는 바로 한수정후 관운장이다!” 했다.
손권이 크게 놀라서 황망히 높고 낮은 장수와 사병을 거느리고 모두 무릎을 꿇고 절을 올렸다.
그런데 보니 여몽이 바닥에 쓰러지며 몸의 일곱 구멍으로 피를 흘리며 죽었다. 장수들이 보더니 무서워 두려워하지 않는 이가 없었다. 손권이 여몽의 시신을 거두어 관을 갖춰 장사지내고 남군태수 잔릉후를 추증했다.


<연의>에서는 그러한 미움, 혹은 미움을 넘어선 증오가 확연히 드러납니다. 관우 사후, 관우에게 빙의 되었다가 칠공분혈(七孔噴)을 하며 죽은 것이죠. 칠공분혈이란 머리에 있는 7개의 이목구비, 즉 눈구멍 2개, 콧구멍 2개, 귓구멍 2개, 그리고 입에서 동시에 피를 뿜어내는 상태를 이릅니다. 상상해 보면 무서운 장면이 아닐 수 없습니다.



b_7j1Ud018svc67vesahlzw2g_q49c4t.jpg?type=e1920_std <그림- 여몽의 초상, 출처: 위키피디아> 清朝光緒年間,對於在《三國演義》登場的呂蒙,所繪製的想像圖。- Public domain



다소 안쓰러운 데도 있습니다. 관우를 제하고 보면, 각종 서사에서 자주 보이는 ‘성장형 캐릭터’의 전형이거든요. 비극적인 결말을 맞이한 주인공으로 활용해도 좋을 정도입니다.

여몽은 가난한 집안의 소년 가장이었습니다. 출세를 위해 어머니의 반대에도 불구, 열다섯살의 어린 나이에 누나의 남편인 등당의 밑에서 산적 토벌에 나섰습니다.

그러나 마냥 철이 들었다고 보기는 어렵습니다. 등당 휘하의 관리 한 명이 어느 날, 여몽이 어리다며 무시했습니다. 하루는 참았는데, 이틀은 참기 어려웠던 모양입니다. 이틀 연속으로 무시를 받자, 여몽은 자형의 관리를 죽입니다. 그나마 완전한 악한은 아니었는지, 도망갔던 여몽은 곧 자수합니다.

이 사건에 대해 알게 된 손책은 여몽을 비범하게 여겼답니다. 손책 본인의 불 같은 성정과 잘 맞았을지도 모릅니다. 여몽은 그렇게 손책의 측근이 되었고, 손책이 죽은 후에도 손권에게 중용 받습니다.

특히 황조와의 전투에서 큰 공을 세우는데, 이 황조가 손권에게는 불구대천의 원수였습니다. 아버지 손견이 황조와의 전투 중 황조의 병사에게 사망했거든요. 손권 입장에서는 여몽이 안 예쁠 수가 없습니다.

예쁜 사람이 예쁜 짓만 골라 하기도 했습니다. 숱한 전공뿐 아닙니다. 외상까지 지면서 병사를 챙겼고, 사이가 좋지 않았던 능통과 감녕 사이를 중재했죠. 심지어 사사로운 원한이 있던 채유를, 그 능력만 보고 천거하기도 했습니다.

손권은 이런 여몽을 크게 키워주려 한 듯합니다. 하지만 그 전에, 큰 단점 하나를 고쳐야 했죠.

그 단점이란, 글을 제대로 깨우치지 못했다는 것입니다. 별명이 오하아몽(吳下阿蒙. 오나라의 멍청한 여몽)이었으니 말 다 했습니다. 가난했던 어린시절 때문일지도요.

손권은 여몽에게 책을 좀 읽으라 권유합니다. 하지만 공부가 좋은 사람이 몇 명이나 있겠어요. 여몽은 “부대의 일로 바빠 공부할 여유가 없을 것 같다”고 에둘러 반항합니다.

그러자 손권은 일장연설을 합니다. 요약하자면 “바빠도 나만큼 바쁘겠냐? 나는 어릴 때부터 온갖 경전을 다 읽었다. 통치를 시작한 후에도 삼사와 병서까지 정독했다. 한의 광무제도 군대를 이끌고 다니면서도 항상 책을 읽었고, 조조도 늙도록 독서를 좋아했단다. 너도 성격이나 자질이 뛰어나니 공부하면 잘할 것이다.” 뭐 이런 식이었습니다. 거기에 우선 읽어야 할 병서와 경전을 추천하기까지 했죠.

속된 말로 꼰대 같지 않나요? 그래도 여몽은 깨달음을 얻었는지, 혹은 상사의 명령을 거절할 수 없었기 때문인지, 그날부터 열심히 공부합니다. 애초에 상사가 이렇게까지 충고해주는데 거절할 사람은 극히 드물겠죠.

그렇게 열심히 성장한 여몽은, 마침 만난 노숙에게 완전히 달라진 모습을 아낌없이 뽐냈습니다.

평소 여몽을 얕보았던 노숙은 “이제 와서 보니 학식이 넓고 밝다. 옛날 오하아몽이 아니다”며 놀라움을 표합니다. 그러자 여몽은 “선비와 헤어진 지 3일이 지나면, 눈을 비비고 마주해야 한다 (사별삼일 즉경괄목상대士別三日 卽更刮目相待)”고 답합니다. 괄목상대(刮目相待. 다른 사람의 학식이나 재주가 깜짝 놀랄 만큼 늘었음을 의미)라는 고사성어가 여기에서 나왔습니다.

승승장구하던 여몽은 도독이었던 노숙 사후 그 뒤를 이었습니다. 하지만 노숙과는 외교 노선이 전혀 달랐는데요, 촉에 우호적이었던 노숙과는 달리 여몽은 형주의 일부를 차지한 촉과의 마찰을 피할 수 없으리라 여겼습니다.

서로의 입장 차이는 있겠지만, 손권에게 유비는 형주를 빌려 그 기반으로 익주까지 차지해놓고, 반환을 요청하자 “양주(涼州. 오늘날 서량으로 불리는 지역)를 차지하면 돌려주겠다”며 거절한, 믿을 수 없는 동맹이었습니다.

둘의 갈등은 조조의 한중 정벌과 함께 일단락됩니다. 조조와의 싸움을 앞둔 유비가 한 발 물러서 상수 유역을 기점으로 오와 형주를 나눴거든요.

하지만 형주는 중원 진출에 있어서도, 양주(揚州. 강동 혹은 회남으로 불리는 지역) 방어에 있어서도 필수적인 지역이었습니다. 여몽은 이런 전략적 요충지를 믿을 수 없는 동맹인 유비에게 맡길 수 없다 판단했습니다.

관우 역시 손권의 혼담을 거절하는 등 손권을 무시하며 양측 감정의 골을 더욱 깊게 만들었고요.

손권은 결국 촉 대신 위와 손을 잡고, 관우를 토벌하자는 여몽의 제안을 따릅니다.



8_0j1Ud018svch7da5685of3x_q49c4t.jpg?type=e1920_std <그림> 관우의 초상, 출처-위키피디아



관우는 당시 조인이 수비하던 번성을 공격하러 떠나 있었는데요, 여몽의 공격을 두려워해 공안과 남군에 수비병을 잔뜩 남겨둔 상태였습니다. 이에 여몽은 병 치료를 위해 건업에 돌아간 척을 합니다. 후임으로 왔다는 육손은 관우에게 적극적으로 돕겠다는 편지를 보냈고, 관우는 육손을 믿고 대오 방비를 게을리하게 됩니다.

심지어 군량이 부족해지자 오의 양식을 빼앗기까지 하죠. 쳐들어가고 싶어 발만 동동 굴리던 손권에게 명분까지 준 셈입니다.

여몽은 때를 놓치지 않고 관우를 공격했습니다. 상당히 주도면밀하게 진행했던 이 공격은 끝내 성공해, 관우는 단 10여 명의 기병만을 데리고 도망가다 아들 관평과 함께 사로잡힙니다. 손권은 관우와 관평을 참수했습니다.

전형적인 영웅 서사입니다. 가난하고 다혈질이었던 소년가장이, 자기개발을 멈추지 않으며 여러 활약을 펼친 끝에 국가의 2인자가 되고, 그렇게 당대 최강의 적을 물리쳤다는.

심지어 여몽이 확보한 장강 방어선은 오의 멸망 직전까지 견고했습니다. 멸망도 위의 뒤를 이은 진이 촉을 멸망시킨 후, 촉의 익주에서 진군한 덕분이죠. 장강 방어선이 뚫렸기 때문은 아니었습니다. 사실상 오의 기틀을 쌓았다고 해도 좋습니다.

이렇게 어마어마한 공을 세운 여몽에게는 꽃길만이 남아 있었습니다. 그래야만 했습니다. 하지만 여몽은 꽃길의 입구에서 죽고 맙니다.

관우가 죽은 것이 219년 12월입니다. 여몽도 219년에 사망했으니, 관우가 죽은 지 한 달도 되지 않아 세상을 떠난 것입니다.

물론 <연의>에서처럼 일곱 개의 구멍에서 피를 흘리며 죽지는 않았습니다. 이는 민간의 관우신앙을 반영한 나관중의 각색으로 보입니다.


<정사> 봉작이 채 내려지지도 않았는데, 여몽이 병에 걸렸다. 손권은 마침 공안에 있었는데, [여몽을] 맞아들여 내전에 두고, 치료함에 온갖 방법을 다 썼으며, 여몽의 병을 고칠 수 있는 자에게 천금을 내린다고 모집하였다.
[여몽에게] 침을 쓰면 손권이 대신 아파했다. 또한, 여몽의 안색을 보고자 했으나, 여몽을움직이게 할까 두려워 항상 벽을 뚫어 들여다보았다. 조금이라도 음식을 넘기는 것을 보면 기뻐하며 주위를 돌아보며 웃으며 말하고, 그러지 못하면 탄식하며 잠자리에 들지 못했다. [여몽전]


꽃길만을 앞두고 사망한 드라마틱한 성장형 영웅, 여몽의 사망 원인은 과연 무엇일까요?
[연의]의 묘사는 너무 극단적이고, 정사에서도 병에 걸려 앓다가 죽었다는 정도의 묘사만이 남아 있어서 그 원인을 정확히 밝혀내는 것은 쉽지 않습니다. 그래서 이 부분에서는 많은 의학적 추측과 약간의 상상력이 가미될 수밖에 없습니다.

그래도 한가지 고려해볼 수 있는 것은 ‘전염병’에 의한 사망 가능성은 떨어져 보인다는 것입니다. 보통 전염병에 의한 사망이라면 역사적으로도 그 시점에 많은 사람들이 비슷한 증상으로 죽었다는 이야기가 언급되거나, 왕족이나 귀족들 사이에서도 상대적으로 체력이 약한 사람들(노인이나 여성, 어린이 등)이 사망하는 일들이 동시다발적으로 발생할 가능성이 높습니다. 이를테면 217~218년에는 노숙과 사마랑, 서간, 왕찬, 유정, 응창, 악진 및 (아마도) 능통 등 많은 사람이 전염병 혹은 그 후유증으로 사망했으며, 그 기록이 분명합니다. 반면 여몽의 죽음과 관련해서는 이와 같은 서술이 남아있지는 않습니다. 게다가 감염성 질환 특유의 발열과 같은 증상에 대한 묘사도 없는 상태죠.

그리고 부상에 대한 언급도 없으므로 전투 중 발생한 부상의 후유증으로 인한 사망 가능성 역시 떨어지겠습니다(손견 같은 경우는 부상으로 사망했다는 인과 관계가 명확히 서술되어 있습니다). 또한, 독감이나 심한 감기 같은 질환으로 사망했다면 이에 대한 고전적인 용어인 ‘한질(寒疾)’이라는 표현이 들어갔을 텐데, 정사의 기술에 이러한 단어 사용도 없는 것을 볼 때 이런 질환에 의한 사망 가능성도 낮을 것으로 생각됩니다.

연의와 사서 내용을 바탕으로 여러가지 질환들을 배제하고 나서 여몽의 사망 원인을 다시 한번 고민해보면, ‘여몽은 암으로 사망한 것은 아닐까?’라는 추측이 떠오르게 됩니다.

40대 남자, 그것도 무장으로서 활약하던 건장한 남성이 단기간에 급속도로 쇠약해지며 사망에 이를 수 있는 병이라면 ‘암(癌, Cancer)’을 고려해보지 않을 수 없기 때문입니다. 게다가 고대 중국이라는 시대적 한계로 인해 제대로 진단하거나 치료하지 못한 경우라는 것을 생각해보면 더욱 더 고려해볼 만한 질환이죠.

여몽의 사망 원인이 명확하게 규명되어 확실한 병명으로서 잘 알려져 있었다면 연의의 작가인 나관중 역시 ‘관우의 원혼’으로 인한 사망이라는 전설을 가져다 붙이기 어려웠을 것입니다. 그러나 그 시대에 정확히 진단하기 어렵고, 치료는 더더욱 힘든 질환으로 인해 쇠약해지다 사망했기에 위와 같은 전설을 붙여도 독자들이 납득할 만한 내용이 되는 것이죠.

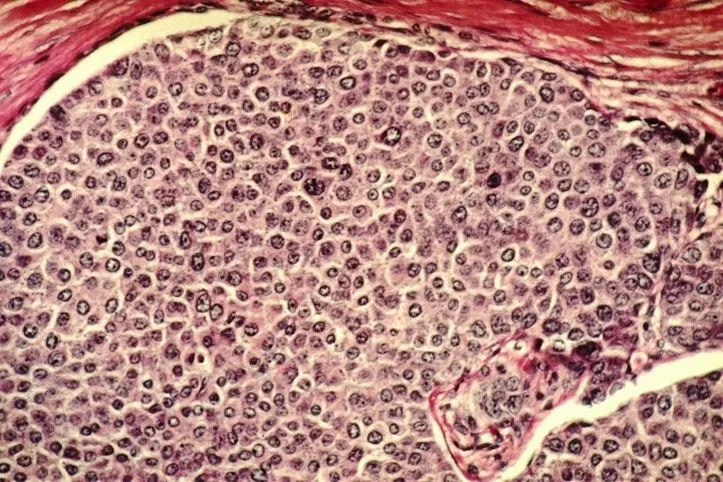
암은 악성 종양(惡性腫瘍, malignant tumor or malignant neoplasm) 혹은 악성 신생물(惡性新生物)이라고도 합니다. 그리고 비정상 세포가 끊임없이 증식하여 주위 조직으로 침범하고 처음 발생한 곳과 멀리 떨어진 신체 부위로도 전이(metastasis)하는 것을 특징으로 합니다. 양성 종양의 경우에는 침범이나 전이 증상을 보이지 않습니다(1).



1_7j1Ud018svcccr7huxocjzb_q49c4t.jpg?type=e1920_std <그림> 유방암의 병리 소견. 출처-위키피디아



정상세포라면 어느 정도의 시간이 지나면 스스로 사멸해야 하지만, 암세포는 지속적으로 분열하고 증식하여 종국에는 신체의 기능을 망가뜨리고 환자를 죽음에 이르게 만듭니다. 암이 존재하고 침범한 부위에 따라 다양한 증상(기침, 출혈, 몸무게 감소, 위장의 운동기능 변화 등)이 나타날 수 있으며, 현재까지 알려진 암의 종류만 해도 대략 100가지가 넘습니다.

암은 현대에 들어와서 잘 알려지고 발생이 더 늘어난 것으로 생각되곤 하지만, 4백만 년전에 살았던 호모 에렉투스에게서도 악성 종양이 있었을 만큼 아주 오래 전부터 인류와 함께 존재해왔으며, 역사적으로는 기원 전 3천년경에 만들어진 이집트 미라에서도 암세포의 증거가 발견된 바가 있습니다(2).

고대 중국의 주왕조 시대(기원전 1100년 ~ 기원전 400년)에도 암으로 의심되는 ‘부어오르고 궤양이 발생하는 병변’에 대해 특화된 치료를 하는 방법이 알려져 있었다고 합니다(주례(周禮)의 내용 중 일부).

그러므로 삼국시대에 살았던 여몽이 ‘암’에 걸려 사망하는 것은, 그의 사망 원인으로서 생각해볼 만한 추측이 될 것입니다.

그렇다면, 다양한 암 중에서도 여몽은 어떤 암으로 사망했을까요?

고대의 의학 수준을 고려해볼 때, 피부암이나 유방암과 같이 겉으로 병변이 보이지 않는 경우에는 암을 진단하기는 어려웠을 것입니다(고대 그리스의 히포크라테스의 경우에는 유방암 환자의 병변이 게의 등껍질처럼 딱딱해진 것을 보고 ‘Cancer’라는 용어를 붙었으며, 고대 로마 시대의 갈레노스 역시 외부로 보이는 암 주위로 혈관이 늘어나서 부어 있는 모습을 보고 ‘Oncos’라고 불렀다고 함). 암이라는 한자의 기원도 ‘바위처럼 단단하다는 뜻의 암(岩)과 병 녁(疒)을 합쳐서 만든 것이라고 알려져 있는데, 동서양을 막론하고 딱딱하게 변한 암 병변에 대한 언급이 나타난다는 것을 알 수 있습니다(암이라는 용어는 1181년 송나라 시대 의서인 위제보서(衛濟寶書)에 처음 등장)(3).

고대 중국이란 시대 배경을 고려해도 여몽에게 신체 외부에서 관찰할 수 있는 암의 병변이 있었다면, 정사에도 그에 대한 내용이 어느 정도는 기술되었을 것입니다.
그렇다면 겉으로는 병변을 관찰할 수 없는, 내부 장기 혹은 혈액에 발생한 암이었을 가능성이 높아지는데, 여러 가지 상황을 고려해볼 때 수많은 암들 중에서 여몽에게 발생했을 가능성이 가장 높은 것은 위암(胃癌, Gastric cancer)이 아니었을까란 생각이 듭니다.

위암은 위의 점막에서 발생하고 시간이 지남에 따라 점막하층, 근육층, 장막하층, 그리고 장막층으로 침범합니다. 그리고 위 주변에 위치한 임파샘(림프선)을 따라서, 혹은 혈류에 의해 간, 폐, 뼈 등의 여러 부위로 전이될 수 있습니다. 신체 외부에서는 위암의 발생이나 전이를 관찰할 방법이 없는 것이죠.

위암에 걸렸을 때 나타나는 증상들은 상복부 불쾌감이나 상복부 통증, 소화불량, 복부의 팽만감, 식욕 부진 등이 있는데, 이는 위염이나 위궤양의 증상과도 비슷하고 사람들이 그저 ‘속이 안 좋다, 음식을 잘못 먹었나?’라는 정도의 생각으로 넘기기 쉬운 증상들이기도 합니다.

아마 여몽에게 이런 증상이 있었다 한들, 지속적인 전쟁 수행에 의한 스트레스와 편치 않은 잠자리와 질이 떨어지는 군량 등에 의해 발생하는 흔한 일로 넘겨지지 않았을까 싶습니다. 초기 위암의 증상이 특이하지 않았기에, 정사에서도 여몽이 쇠약해지고 있다거나 병중이라는 묘사가 뚜렷하게 언급되지 않았을 가능성이 높습니다.

사실 군대에서 보급되는 음식들은 보관성을 높이기 위해 염장이나 훈제를 한 육류나 생선이 많았을 것인데, 이러한 음식들은 위암 발생의 위험요인으로 알려져 있습니다(4). 그리고 신선한 채소나 과일 등은 거의 섭취하지 못했을 테죠. 고정관념일 수도 있겠지만, 고대 군대의 회식이라면 불에 구운 고기와 술이 주로 등장했을 가능성이 높으니 더더욱 여몽의 위건강은 위태로워졌을 것으로 예상됩니다.
(질산염 화합물(식품 처리제, 염장식품, 가공 육류, 훈제식품)과 고염 식품(염장 채소, 염장 생선), 불에 태운 음식, 술, 담배 등의 섭취는 위암의 위험도를 높일 수 있으며, 반대로 신선한 채소, 과일, 비타민 등을 적절히 섭취하는 것은 항암 효과가 있다고 알려져 있습니다.)

또한, 위암의 발병 위험도를 높이는 원인 중 하나인 헬리코박터균(Helicobacter Pylori)에 감염되어 있었을 가능성도 있습니다. 이 균 자체는 5300년 전에 살았던 청동기 시대 미라에서 발견될 만큼 오래전부터 인류와 함께해왔고(5), 사람이 밀집한 환경이나 깨끗한 물이나 식료품을 공급받기 어려운 상황에서 감염 위험도가 상승하게 됩니다. 군대라고 하는 특수한 환경 속에서 지내던 여몽 역시 감염 위험도가 상당히 높았을 것이며, 여몽이 이 균에 감염되었다면 위암 발생 위험도가 3~6배는 상승하게 됩니다.

또 하나의 위험 인자로는 ‘유전 요인’을 고려해볼 수 있는데, 만약 여몽이 위암 발생 위험 유전자(Hereditary Diffuse Gastric Cancer (HDGC))를 가지고 있었다면, 젊은 나이에 위암이 발생할 가능성이 매우 높아지게 됩니다(6).
갑자기 유전 요인이 왜 나오나 싶으시겠지만, 여몽의 가족들을 살펴보면 이에 대한 유전성 위암이 있었던 게 아닌가란 의심을 갖게 됩니다. 왜냐하면 여몽의 아들들 역시 계속 이른 나이에 사망하는 모습을 보이기 때문입니다.


<정사> 여패가 죽자 형인 여종이 후작을 이었고, 여종이 죽자 아우 여목이 뒤를 이었다. [여몽전]


여몽의 아들들이 언제 죽었는지는 알 수 없으나, 사후 작위를 각자의 아들 대신 형제가 물려받았다는 기록에서 마찬가지로 요절했다고 짐작할 수 있습니다.

이렇게 가족 전체가 원인이 확실하게 기술되지 않은 요인으로 이르게 사망했다면, 위암 발생 유전자가 있어서 여몽 뿐만 아니라 그 아들들도 위암이 발생하고 빠르게 진행하여 사망했을 가능성을 고려해볼 수가 있습니다. 그 시대의 한계로는 위암을 제대로 진단하진 못했을 테니 원인 미상의 요절로 남게 되는 것이죠. 그리고 앞서 잠시 언급된, 여몽이 ‘소년 가장’이었다는 상황을 바탕으로 생각해보면 그의 아버지도 이른 나이에 사망했을 가능성이 높으며, 아버지 역시 유전성 위암으로 이른 나이에 사망했을 가능성에 대해서도 생각해볼 수 있겠습니다.

위암을 치료하지 않고 아주 오랫동안 방치하면 복부에 딱딱한 덩어리가 만져지거나 구토, 토혈 혹은 하혈, 체중의 감소, 빈혈, 그리고 복수에 의한 복부 팽만 등의 증상이 생길 수 있습니다. 이 상태까지 진행되면 현대 의학으로도 치료가 어렵고 예후가 아주 불량할 수밖에 없습니다.

만약 여몽이 관우와의 싸움을 마무리한 후 이러한 증상이 나타나기 시작했다면, 불과 한달 정도의 시간 만에 쇠약해져서 잘 못 움직이고 음식을 삼키지 못하는 증상들이 나타나며 상당히 빠르게 사망에 이르게 되었을 것으로 보입니다.

여몽이 관우의 목을 벤 후 불과 한 달도 되지 않아 사망했다는 사실에만 집중하면 급사처럼 여겨질 수 있지만, 정사를 조금 더 살펴보면 여몽의 건강이 관우 토벌에 나서기 전부터 조금씩 무너지기 시작했음을 시사하는 내용도 찾아볼 수 있습니다.

위암은 비특이적인 복부 불편감이나 소화 불량 정도로 시작합니다. 하지만 어느 정도 진행되면 이러한 증상들이 너무 잦아지는 데다, 전반적인 피로감이 심해지거나 몸무게 감소와 같은, 전신 쇠약감이 나타나곤 합니다. 만약 여몽이 위암에 걸렸다면, 그런 변화를 몸소 체감했을 테고, 그렇게 건강에 대해 조금씩 불안감을 느끼기 시작했을 것입니다.


<정사> 여몽은 관우를 취할 계획을 세우고 질병을 칭하여 건업으로 돌아왔는데 이때 우번이 의술에도 두루 정통하다는 이유로서 자신을 따르도록 할 것을 요청했다. 이 방법으로 우번을 풀어주려고 한 것이다. [우번전]


우번은 성정이 강직해 손권의 심기를 자주 거슬렀습니다. 이에 손권은 우번을 좌천시켜 단양으로 보냈습니다. 여몽은 이때 우번이 “의술에 정통하다”는 이유로 관우 토벌에 따르게 합니다. <정사>의 저자 진수는 좌천되었던 우번을 다시 불러들이려던 의도라고 설명합니다.

우번은 <주역>에 주석을 달 정도로 <주역(周易)-역경, 3경의 하나로 동양에서 가장 오래된 경전>에 정통했는데요. <주역>은 점, 즉 역학을 다루는 경전입니다.

당대에는 의학과 역학이 굉장히 밀접한 관계를 형성했습니다. 예컨대 <주역>의 원리는 중의학의 근본이 되는, 가장 오래된 의학서 <황제내경(黃帝內經)>의 기초 이론이 되었고요.



f_hj0Ud018svcnltfwed6ppqy_q49c4t.jpg?type=e1920_std <그림> 주역을 바탕으로 하는 팔괘도(좌)와 황제내경소문(우).

출처: 팔괘도-주간 조선(https://weekly.chosun.com/news/articleView.html?idxno=10545), 황제내경소문-위키피디아.



수당의 저명한 한의학자이자 과학자, 도사였던 손사막은 “역易을 모르고는 의학을 안다고 말하기 어렵다”고 했을 정도입니다. 그러니 <주역>을 통달한 우번 역시 의술을 잘 알고 있다 여겨지지 않았을까요? <연의>에서는 주태와 손책이 부상당하자 화타를 소개해주는 역할을 맡기도 했는데, 같은 궤로 보입니다.

우번의 이런 이력을 보면, 여몽이 정말 건강 악화 탓에 나름 전문가로 알려진 우번의 도움을 받으려 했을 가능성도 충분해 보입니다. 어쩌면 관우도 첩자 등을 통해 여몽의 건강에 적신호가 켜졌다는 사실을 입수하고, 여몽의 질병으로 인한 사임을 의심하지 않았을지도요.

현대의학의 관점으로는 주역과 점술이 암환자의 진단과 치료에 도움이 될 수는 없겠으나, 우번이 주역에서 파생된 황제내경(작성시기가 대략 2,200여 년 전(기원전 475~기원전 221년, 전국시대로 추측됨)에 대해서도 공부를 했다면 그를 바탕으로 어느 정도의 대증치료를 시행하지 않았을까 추측됩니다.

황제내경에는 침이나 뜸과 같은 치료 방법에 대해서도 기술되어 있지만, 우선은 정신과 환경의 조화라든가, 적절한 영양 섭취를 통한 건강 유지에 대한 내용이 담겨있다고 합니다. 그러므로 여몽에게 최대한 신선하고 깨끗한 음식, 혹은 지나치게 자극적이지 않은 음식을 권유했다면 그것만으로도 상당히 복부 불편감 등의 증상을 줄이는 데 도움을 받았을 가능성은 있겠습니다.


여몽이 21세기 한국에 살았다면, 주기적인 건강검진으로 위암을 조기에 발견하고, 일찍 치료받아 완치 후 건강한 삶을 지속할 수 있었을 것입니다. 이런 생각을 해보면 현대 의학이 삼국지 속에 등장했을 때 그 흐름을 바꾸었을지도 모를 가장 대표적인 대상이 ‘여몽’일지도 모르겠습니다.



<IF 여몽이 오래 살았다면?>

손권의 오는 한의 도읍이었던 낙양과는 멀리 떨어져 있습니다. 그런 지역에서는 중앙정부의 힘이 통하지 않는 법입니다. 오 또한 그래서, 호족의 세력이 강성했습니다. 통치자였던 손책이나 손권은 호족의 사병을 빌려야 했습니다.

오가 수비에 강하고, 공격에 약했던 이유를 여기서 찾기도 합니다. 누군가 쳐들어오면 열심히 맞서 싸우긴 했습니다. 어쨌든 땅도, 지위도 지켜야 했으니까요.

하지만 공격할 때는 아무래도 망설여지게 됩니다. 앞장서서 싸워봤자 저의 귀한 인력만 소모될 뿐이니까요.

주유와 노숙, 육손은 모두 이런 호족 출신이었습니다. 손책과의 관계 때문인지, 본인의 성격 때문인지 상당히 호전적이었던 주유는 별개로, 노숙과 육손은 촉과의 친화를 도모하던 인물이었습니다. 가문 혹은 주변 호족과의 관계가 영향을 미칠 수밖에 없지 않았을까요?



j_3j1Ud018svc1e5vof55hgicz_q49c4t.jpg?type=e1920_std <그림> 육손(좌), 노숙(중앙), 주유(우)의 초상, 출처-위키피디아



반면 여몽은 다릅니다. 여몽은 본래 한미한 집안 출신이었던 것을, 손책이 직접 발탁하고, 손권이 직접 키워낸 경우입니다. 진정한 손오만의 사람이라고 봐도 좋습니다.

그런 여몽이 도독이 되어 이끄는 손권군은 어땠을까요? 가문이나 호족의 눈치를 살피지 않아도 좋으니, 공격에서도 몸을 사리지 않았을 것입니다. 그러니 어느 정도 재미를 봤을 수도 있겠습니다. 어쩌면 이릉대전 후 기회를 놓치지 않고 촉을 함락했을지도 모르고요. 비옥하고 부유했던 익주를 차지한 오라면 위와도 견줄 만하게 되었을지도요. 조비의 남정이 무서워 촉과 화친을 맺었다 해도, 언제든 호시탐탐 기회를 노렸을 테니까요.

그렇지 않았더라도, ‘이궁(二宮)의 변(손권의 후계자 자리를 두고 태자 손화와 노왕 손패를 지지하는 무리들이 대립하게 된 사건)’ 같은 사태를 막았을 수도 있겠습니다. 호족인 육손 대신 여몽이 중심을 잡아줬다면 손권도 이궁의 변을 일으킬 필요성을 못 느꼈을 지도요. 그렇게 되었다면 이릉대전 후 국력이 휘청거렸던 촉이나, 사마씨의 대두를 막지 못했던 위와는 달리 안정적인 통치가 가능했을 지도 모릅니다.

다만 이궁의 변은 여기서 다루기에는 너무나 복잡하니, 추후 손씨의 이야기를 더 다룰 수 있다면 그때 하는 것으로 마무리해보겠습니다.






<의학 참고문헌>
1. "Cancer". World Health Organization. 12 September 2018. Retrieved 19 December 2018.
2. History of Cancer, https://canceratlas.cancer.org/history-cancer/


History of CancerExplore a timeline of the history of cancer from 18th century BCE to 2011.canceratlas.cancer.org

b_8ijUd018svc15sg53nl3oz2x_q49c4t.png?type=l150_225


3. [인류와 질병] 유독 인간에게 찾아오는 질병 '암'. 출처-https://www.dongascience.com/news.php?idx=32774


[인류와 질병] 유독 인간에게 찾아오는 질병 '암'건강한 세포(분홍색)로 둘러싸인 성장하는 암세포(보라색)가 혈관을 통해 다른 신체 기관으로 이동하고 있다. '셀(Darryl Leja, NHGRI)' 제공매년 수천만 명의 사람이 암을 진단받는다. 평생 암 선고를 받을 확률은 30%에 이른다. ...www.dongascience.com

b_7ijUd018svcexnqtlt11bk1_q49c4t.jpg?type=e1280_std


4. 배재문 (2005년). “위암치료의 최신 동향”
5. Helicobacter pylori in ancient human remains. Frank Maixner, Kaisa Thorell, Lena Granehäll, et al., World J Gastroenterol. 2019 Nov 14; 25(42): 6289–6298.
6. Gastric Cancer in Young Adults: A Different Clinical Entity from Carcinogenesis to Prognosis, Jian L, Gastroenterol Res Pract. 2020 Mar 2.


keyword
매거진의 이전글원소의 죽음, 그의 사망 원인은 무엇일까?