다양한 어깨질환, 더핌스 치료가 새로운 대안이 될까?

다양한 어깨질환, 해결을 위한 새로운 대안 더핌스가 될까

by 김주현 원장
KakaoTalk_20240812_095352905_01.jpg

우리 어깨는 360도 모든 방향으로 움직일 수 있는 부위로 다른 신체 부위에 비해 비교적 가동범위가 넓은 관절 중 하나입니다. 상체 움직임 대부분에 어깨가 함께 사용되기 때문에 사용량도 많은 편입니다. 많은 사람이 쉽게 어깨통증을 호소하는 이유도 이 때문입니다. 그만큼 어깨통증은 다양한 원인으로 인해 나타날 수 있는데요, 어깨통증의 대표적인 종류로는 회전근개 손상과, 오십견, 석회화건염이 있습니다.


어깨 통증은 충분한 휴식으로 인해 자연 치유되는 경우도 있지만, 일상생활에서 어깨의 움직임을 최소화하기는 어렵기 때문에 치료를 통한 빠른 회복이 가장 중요합니다. 특히, 극심한 통증이 지속되는 어깨 통증은 어깨에 심각한 문제가 생겼다는 신호일 수 있기 때문에 이른 시일 내에 전문의를 찾아 상담을 받아보는 게 좋습니다.







210827_회전근개파열_01-1024x683.jpg

회전근개란, 어깨관절을 덮개처럼 덮고 있는 힘줄(건; 근육이 뼈에 붙는 부분으로 변화된 조직)의 모임으로 팔의 회전, 움직임 등 동작을 담당하는 네 개의 근육힘줄(극상근, 극하근, 견갑하근, 소원근)을 말합니다.


네 개의 힘줄 중에서 극상건의 손상 및 파열이 가장 흔하게 발생하며, 대부분 회전근개 손상은 극상건의 손상을 의미하며, 극상건에 생긴 손상과 염증은 어깨관절통증의 가장 흔한 원인이 되고, 반복적인 사용에 의한 미세손상과 퇴행성 변화는 극상건의 국소 허혈 및 조기 마모를 일으키며, 지속적인 염증반응과 섬유화 변화 및 석회화가 나타날 수 있으며, 손상이 진행될수록 버티지 못하고 계속 약해지다(회전근개 손상)가 결국 완전히 끊어지게 되면 “회전근개 파열”이라고 합니다.


210812_오십견_01-1024x683.jpg

오십견은 50대 전후에 많이 발병을 한다하여 이름 붙여진 ‘오십견’은 크게 3가지 증상을 호소하는데 첫째, 어깨가 아프며, 둘째, 어깨가 굳어져서 움직이기 힘들고, 셋째, 점차 통증이 밤에 심해지는‘야간통’을 동반하는 경우를 일컫습니다.


“어깨가 아프고, 굳어서 잘 안움직이고, 밤에도 아프면 오십견 증상입니다.”


주로 어깨를 감싸고 있는 관절낭에 염증이 생기면서 관절용적이 쪼그라들고 유착이 발생하여 아프고 굳어지는 ‘유착성 관절낭염’이나 ‘동결견’을 오십견이라고 하지만, 그 외에도 어깨관절주위 및 경추에 발생한 손상으로 인한 염증과 유착으로 초래된 어깨 주위 관절 경직 및 근긴장 또한 오십견이라고 함께 부르는데 주로 ‘회전근개 손상에 의한 이차성 경직’과 ‘경추 디스크 및 협착증에 의한 근막통과 근긴장’이 이에 해당됩니다.


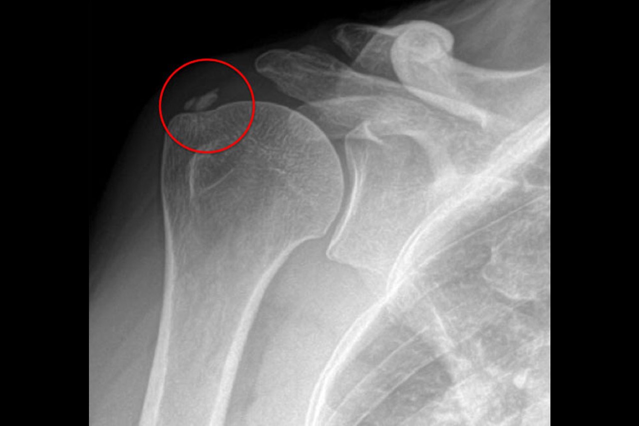
210617_석회성건염_01.jpg

석회성건염은 어깨힘줄에 석회(칼슘)가 침착하여 통증 및 운동장애를 일으키는 병을 석회성건염이라고 합니다. 간혹, 증상이 없이 석회가 침착하였다가 사라지기도 하지만, 경우에 따라서는 매우 극심한 통증을 초래하는 경우들도 있으며, 통증이 심한 경우에는 마치 종기가 곪은 것 같다고 해서 ‘화학적 종기’라는 별명을 갖고 있습니다.


통증이 너무 심해 환자가 응급실을 찾게 되는 경우도 종종 있으며, 외래 진료실에서도 통증 때문에 팔을 건들지도 못하게 할 정도로 진찰이 어려울 때도 있습니다.


석회성건염은 어깨 회전근개 힘줄에서 가장 많이 발생하게 되며, 그로 인해 어깨의 움직임에 제한이 생기기도 합니다. 가장 흔하게 석회가 침착하는 힘줄은 극상건이며, 그 외 견갑하근, 극하근 등 다른 회전근개에도 침착될 수 있습니다.


새로워진 더핌스 어깨질환 치료 대안으로 자리 잡을까?


‘어깨질환에 공통적으로 발생하는 증상인 통증과 경직(굳어짐)을 치료하는 어깨 비수술치료법인 핌스(PIMS)치료는 노화와 약화로 인해 통증을 유발하는 어깨구조물(회전근개 힘줄, 어깨인대 등)을 프롤로(증식)치료를 통해 회복시켜 치료하며, 염증과 유착으로 인해 경직되고 굳어진 관절낭, 근육, 근막 등을 FIMS(기능적 근육내 자극) 풀어주는 치료법으로 어깨통증을 개선시키고, 움직임을 회복시키는 어깨 비수술 치료법입니다.


더핌스(+PIMS) 치료는 기존 핌스(PIMS)치료에 새로운 치료를 더한다는 뜻으로 추가되는 치료를 통해 어깨환자들에게 비수술치료를 통해 보다 빠른 회복 및 근본적인 치료에 도움을 드릴수 있는 치료법입니다.


더핌스 수압팽창술


노화, 퇴행성, 과사용으로 인해 발생한 어깨통증과 염증,유착으로 인해 굳어진 어깨관절을 핌스(PIMS)로 치료하며, 유착성 관절낭염(오십견,동결견) 환자들에게는 쪼그라든 관절낭을 넓혀주는 "수압팽창술(Hydordilatation)"은 이미 오십견(동결견,유착성 관절낭염) 치료에 널리 사용되는 방법으로 쪼그라든 어깨 관절낭에 30cc 이상의 수압팽창용액을 주입시켜 관절을 팽창시키고 넓혀주는 주사요법이다.


더핌스 석회분쇄흡인술


석회성건염 환자들에게는 석회가 힘줄에 단단하게 박혀있는 상태를 휴지기(분필모양)라고 하며, 이때는 극심한 어깨통증보다는 어깨를 움직이다보면 특정각도에서 통증이 발생하는 경우가 많습니다. 이시기에 충격파치료를 가장 많이 받게되나, 수차례 포커스타입의 충격파로 치료를 받더라도 석회가 잘 안깨지는 경우가 많은데, 이는 충격파치료 특성상 석회위치를 정확히 찾아서 보면서 시행하지 못하고 석회가 박힌 힘줄부위에 넓게 위치를 옮겨가며 치료하기 때문에 충격파 에너지가 석회에 정확하고 충분히 전달되지 못하기 때문이며, 그결과 수차례 충격파 치료를 받았음에도 석회는 깨지지 않고, 남아있으며 오히려 통증만 심해지는 경우들이 발생하게 됩니다. 이때에는 석회의 위치를 초음파로 정확히 확하고 보면서 굵은 바늘을 이용하여 석회를 부수어 내고, 흡인하여 제거하는 "석회분쇄흡인술(Barbotage)"을 핌스(PIMS)치료에 더해서 시행한다.


더핌스 골수자극술

또한, 회전근개 부분파열 환자를 위한 핌스치료에 더해서 시행하는 골수자극술(Bone Marrow Stimulation; Multiple Channeling) 은 회전근개 파열을 내시경 수술로 봉합하는 과정에서 힘줄의 골부착부에 미세한 구멍을 여러게 뚫어 골수가 흘러나오게 함으로써 골수안에 들어있는 줄기세포나 성장인자 성분들에 의해 봉합한힘줄부위가 보다 잘 아물고 재파열 되지 않도록 시행하는 내시경 수술 방법을 어깨 비수술치료에 응용한 치료방법이다


더핌스 축소봉합술


축소봉합술(Lifting Reduction Suture)은 얼굴 리프팅 치료에 사용하고 있는 녹는 리프팅 실을 특별히 고안(특허출원중)하여 파열부위에 삽입한 축소봉합사(실)의 톱날부위가 부분 파열된 힘줄 크기를 줄여주고, 더 벌어지지 않도록 형태를 잡아주는 원리로서 회전근개 부분파열의 크기를 줄여주고 전층파열로 진행하는 것을 방지하는 치료법이다.


KakaoTalk_20240812_095352905_05.jpg

어깨질환들은 병리상 각기 다른 질환이지만, 해부학적 위치상 관절낭과 회전근개는 매우 밀접하게 붙어있기 때문에 증상이 혼합적으로 느껴지는 경우가 많고, 실제로 동시에 발생하는 경우도 적지 않다. 합된 증상 중 주된 증상이 무엇인지를 면밀한 검사를 통해 감별한 후 효과적인 치료의 방법을 결정해야 한다. 충분한 감별없이 제한된 검사 소견으로 치료적 방침을 정하는 것은 환자의 증상을 악화시켜 치료를 어렵게 만들 수 있어, 어깨 전문의를 통한 전문적 진료를 받는 것이 매우 중요하다.


작가의 이전글생소한 황색인대, 척추관협착증을 유발하는 원인일까?