둘이 만나 셋이 되는날

산부인과 의사 남편과 아내의 임신 준비부터 출산까지 [무월경 3주]

by 산부인과 추쌤


오늘의 내용은... 전반적으로 15금 입니다.

아쉽게도(?) 지난번과 같은 야한 그림은 없습니다.

33세 아내, 30세 산부인과 의사 남편

- 본문의 대화는 아이 출산 경험에 의거한 'Fact'에 'Fiction'을 가미한 'Faction'입니다.

- 대부분의 내용은 산부인과 교과서를 기반으로 하였지만, 의학적 내용은 계속 수정&발전되니 참고 바랍니다.

- 모든 산모는 개개인에 맞춘 진료가 필요하니, 최종 결정은 지정의와 상의 후 신중히 결정하시기 바랍니다.

- 개인적인 가치관이 반영되어있으니 감안하여 읽어주시면 감사하겠습니다.


아내: 여보~ 그런데 생리주기가 일정하지 않은 사람도 있잖아. 그런 사람들은 어떻게 배란하는 날을 알 수 있는 거야?


나 : 꽤 많은 여성들이 배란일을 느낀다던데? 난 생리를 글로 배웠다네~ 월(月). 경(經)....


아내: 아니 그래도...


나 : "딱 보면 몰라? 딱 보면 몰라?"


출처: TVN 코미디 빅리그 갑과 을

아내 : "당신이 오늘 한 행위는 명을 재촉하는 행위야... 알고 있지? -_ -^"


: '아! 아닙니다. 오해가 있으셨나 봅니다. 지금 설명이 머릿속에서 뭉게뭉게 생겨나서 뇌신경을 통해 말로 변경되어 나오려는 중이었습니다. 생리 주기는 보통 28일 주기이며 21-35일 주기 내에 있으면 정상으로 보며, 배란일은 생리 시작일을 기준으로..."


블라블라 블라~


의학기술의 발전에 따라, 생리가 불규칙한 분과 나이가 적지 않은 부부도 의학의 도움으로 아기를 가질 가능성이 높아졌습니다. 노력에도 불구하고 '임신이 늦어지는 것'은 부부 중 어느 누구의 잘못이라고 생각하지 않습니다. 임신을 매우 원하지만 늦어지는 상황에 처해 있을 때, 현대의학을 적극적으로 이용해서 임신을 하는 것은 '이 시대를 사는 우리'에게 적절한 행동 방침이 아닐까 생각합니다.

물 떠놓고 달을 보며 기도하는 시대는 지났다.

현대의학을 적극적으로 이용하는 방법에는 개인적인 노력부터 시작해서 난임시술까지 다양해서, 의학의 이용이 곧 난임시술이라고 생각하실 필요는 없습니다. 이번 글을 통해서는 개인적으로 할 수 있는 의학적 접근에 대해서 알아보겠습니다.


임신이라는 것은 엄마의 난자, 아빠의 정자가 만나서 자궁에 착상을 통해 시작되는 일련의 과정입니다. 임신의 과정 중 가장 먼저 일어나는 '난자와 정자의 수정은' 보통 배란 전 5일 배란 후 2일 정도 가능합니다. 그렇기 때문에 '사랑하기 좋은 날'을 알기에 앞서 배란일을 먼저 아는 것이 중요합니다.


(생리가 불규칙한 분들, 특히 2~3달에 1번씩 생리하시는 분은 정기적으로 산부인과 진료를 보는 것을 권장합니다.)


1. 경험적인 방법 : 핸드폰 앱을 사용하는 방법

(이 내용을 설명하기 위해서... 처음으로 '생리 관련 App'을 설치하게 됩니다... 어플 홍보는 아니고 아내가 쓰고 있는 것을 봤는데 잘 정리가 되어있는 것 같아서 다운로드하였습니다.)


아래 앱은 "CYCLE"이라는 어플이고, 다른 앱과 마찬가지로 본인의 생리주기를 입력할 수 있습니다. 이러한 생리 관련 앱을 쓰는 것은 상당히 귀찮은 일이라는 것을 알지만 사용하시는 것을 권유드리는 편입니다. 특히 생리를 꼬박꼬박 규칙적으로 하지 않는 여성분들은 어플을 통해 도움을 받을 수 있습니다.


생리주기에 따라 바뀝니다. 녹색 원이 가임기, 파란색 원이 예상 배란일

사람의 몸은 단순하지는 않아서 매번의 생리 때마다 1~2일 정도의 차이는 생길 수 있고, 몸의 호르몬 상태에 따라서 주기가 바뀔 수 있습니다. 하지만 규칙적으로 생리하시는 분이라면, 대략의 배란 일정을 예측해볼 수 있습니다. 고등학교 생물시간에 배운 것을 다시 한번 생각해보면 28일 생리주기에서 14일째 배란을 한다고 배웠던 것 기억나십니까? 하지만 실제로는 생리를 시작하고 14일째 배란을 하는 게 아니라, 생리 시작 13-15일 전에 배란을 합니다. 다르게 표현하면, 배란하고 14일이 지나면 생리를 시작하는 것입니다.


많은 핸드폰 어플에서 '예상 배란일' '월경 시작일' '가임기'를 직관적으로 알아볼 수 있도록 알려줍니다. 정자가 나팔관에서 생존해있는 시간과 난자의 생존시간 등을 고려하면 '배란일 5일 배란 후 2일'이기 때문에 배란일을 주변으로 색을 다르게 해서 표시해둡니다. 'CYCLE'이라는 앱에서는 녹색원이 바로 '임신 가능한 가임기'인 것이죠. 앱에서 표시해주는 기간 동안 사랑을 열심히 나누시면 되겠습니다. �


비용도 거의 들지 않고, 간편하지만, 앱의 단점은 월경이 너무 불규칙한 경우에는 사용하기가 쉽지 않은 점과 실제 배란 여부를 확인할 수 없습니다.


2. 기초 체온 테스트


체온은 몸에서 일어나는 대사(metabolism)와 관련되어 있고, 운동이나 음식물 섭취, 감정 상태에 따라서도 변할 수 있습니다만 기초체온(BBT)은 기초대사량만 반영되어있어서 다른 요인에 의한 변화가 적다고 볼 수 있습니다. 매일 측정하여 2달 정도 측정하면 월경의 주기 및 배란시기를 예측할 수 있는데 도움을 받을 수 있습니다.(매일 아침에 일어나기 전에 스스로 체크해야 돼서 상당히 번거롭지만, 매우 중요하게 생각하시는 선생님들도 있습니다.)


기초체온(Basal body temperature test, BBT)

일정 시간 (4시간 이상, 보통 6-8시간)의 수면 이후 잠에서 깬 직후의 체온. 여성호르몬 중 프로게스테론이 시상하부의 체온 중추에 작용함으로써 0.3~0.6 ºC가량 상승함. 매일 아침 기상 시 구강내 체온계를 위치함으로써 측정할 수 있다.
배란 이후 프로게스테론에 의해 기초체온이 상승하는 2상성 패턴과 체온의 변화가 거의 없는 1상성 패턴


병원 혹은 약국에 방문하여 기초체온 측정용 온도계를 구입하여, 매일 아침 측정하고 매일 기록하시면 됩니다. 생리주기가 심하게 불규칙하신 분들은 기초체온을 매일 측정하시다가, 체온이 평소보다 떨어졌다가 기초체온이 올라가는 게 관찰되면 배란되었다고 할 수 있습니다. (배란 예정일에 약간 떨어진다고 하지만 0.1~0.3'C밖에 떨어지지 않아요.) 체온이 평소보다 조금 떨어지거나 체온이 꽤 올랐다 싶으면 사랑을 나누시면 되겠습니다.

(물론 그전에도 꾸준히 사랑을 나누면 좋겠지요?)


매일 아침 측정하기도 힘들고, 잠에서 깨어난 직후 움직이기 전에 측정해야 하는 어려움으로 기초체온만을 이용해서 배란을 예측하기 힘듭니다. 그래서 다음 설명드리는 "소변 내 LH 측정, 초음파" 등 다른 방법에 의한 결과를 종합적으로 검토하시는 것이 좋습니다.


1~2달간 측정했을 때, 체온의 변화가 배란일을 주변으로 변화가 크지 않고 아래 그림처럼 1 상성(monophasic)으로 보인다면 산부인과 진료를 보시는 것을 권유드립니다.


3. 배란테스트기 (Urine LH kit, 배테기)


"두줄이네? 임신인가?

두줄이 나오는 검사는 많습니다만, 흔히 알고 계시는 검사는 소변 임신 검사입니다. 화장실에서 마음 졸이며 조심히 '고스톱 패'열어보듯 확인하는 소변 임신테스트기 말고도 요중 LH농도를 확인해주는 kit가 있습니다. 흔히 배란테스트기를 줄여 배테기라고 부릅니다.

두줄 나오는 검사는 왠지 모르게 두근거립니다. 저만 그런가요??

배란하기에 앞서 혈중 농도에서 황체화 호르몬(Luteinizing hormone, LH)이 먼저 오르게 됩니다. 혈액 내 증가된 LH로 인해서 소변으로 배출되는 황체화 호르몬도 증가하게 되는데, 배테기는 증가되어 소변으로 배출된 황체화 호르몬을 측정하는 검사입니다. 이 검사는 반정량검사로 양성·음성뿐만 아니라 양도 추정할 수 있는 검사이지요.언제가 가장 좋은 시점인가?

배란 직후 황체화 호르몬(LH)이 증가했다가 감소하면서 배란이 일어나는 것을 고려해서 정확하진 않지만 배란일을 예측을 할 수 있겠습니다. 배란 예상이 되는 날로부터 5-6일 전 혹은 생리 예정일의 20일 전부터 두 줄이 나올 때까지 하루 1번씩 같은 시간대에 검사를 시행합니다. 두줄로 확인되면 2회씩 조금 더 자주 확인하여도 되고, 양성이 나오면 그때부터 부부관계를 가져도 됩니다. 하지만 Best timing은 그때그때 다르고 사람마다 다르겠죠?^^ (검사의 방식은 설명하시는 분들에 따라 차이가 있을 수 있습니다.)


그럼 어떡하란 말이냐?! - 가장 진하게 나온 날 다음날(12-24시간 후)이 배란을 할 것으로 추정할 수 있습니다. 배란일엔 꼭!! 사랑을 나눕시다


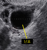
4. 초음파


초음파로 확인할 수 있는 것은 자궁내막의 두께와 난포의 크기입니다. 자궁내막의 두께는 임신과 중요한 관계가 있으며 8mm 이상은 되어야 임신의 조건에 적합하다고 여깁니다. 보통 배란 직전의 두께는 10mm 이상이 되고 식물의 잎모양과 같은 모양 (leaf sign)을 띄게 됩니다. 하지만 이러한 내막의 소견보다는 자궁 난포의 크기를 확인하기를 선호합니다.

난포의 성장과 배란. Image from shutterstock.com

위의 그림에서 노란 것은 배란 이후 황체, ⑤번에 보이는 난포는 배란하는 모습을 보입니다. 난포는 월경 시작 이후부터 발육하여 15~20개 정도, 크기는 하루 1.5~2.0mm씩 커지게 됩니다. 우성 난포(Dominant follicle)가 선택되어 자라게 되면 20-22mm의 크기가 되면서 곧 배란할 가능성이 매우 높아지게 됩니다. 이러한 사실을 이용하여 초음파로 배란 일을 추정할 수 있게 됩니다.

난포의 초음파 소견

그럼 초음파를 보면 배란일을 무조건 추정할 수 있나요?

그렇지는 않습니다. 난포의 모습이 난소낭종(ovarian cyst)로 유사한 경우도 있기도 하고, 난포가 배란되지 않을 수 있어서 초음파가 100% 예측할 수 있다고 할 수는 없겠습니다.




우리는 지금까지 배란을 예측할 수 있는 4가지 방법을 살펴보았습니다. 눈으로 보지 않는 한 사실 100% 확인하는 것은 불가능하지만, 위의 방법을 통해 의학적으로 배란일을 추정할 수 있습니다. 이러한 방법들을 통해서 임신을 원하시는 여성분이 조금이나마 쉽게 아기를 가질 수 있으면 좋겠습니다.

핸드폰 App사용

기초체온검사

배란테스트기

초음파


건강하게 임신하고 행복하게 출산하기를 기원합니다.

이상 @forhappywomen이었습니다.


References>

Clinical Gynecologic Endocrinology and Infertility 8th Edition.

최신 생식.불임의학 2015, 저자 Yoshimura

Williams Obstetrics. 24th Edition

keyword