brunch

성장판 자가검사에 대한 오해

by 고시환
KakaoTalk_20240325_153738749.jpg
성장판.jpg

키에 대한 관심이 많아지면서

친구나 또는 인터넷등의 정보를 통해

성장판 자가검사를 하는 친구들이 늘고 있는 듯

다양한 방법들을 이야기하고 있으나

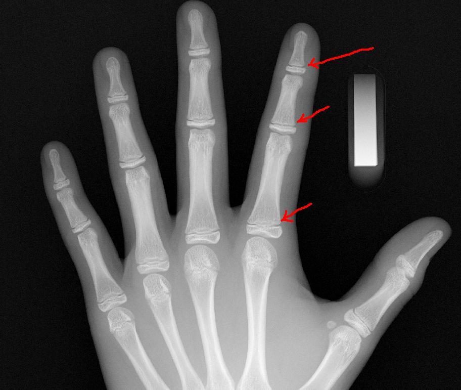
그 중 가장 많이 쓰이는 것이 위 사진처럼 손가락을 동그랗게 만들고

가운데 손가락을 뒤로 당겨 꺽으며 힘을 주면 팔목과 주변이 당기면서 아프면

성장판이 열려있고, 반응이 없으면 성장판이 닫힌거라고들 하지만

이는 잘못된 정보로서 성장판과는 전혀 무관한 내용이다

성장판이란 관절과 관절사이의 연골조직으로서

방사선 검사이전 자가체크로는 알 수 있는 방법은 전혀 없다.

keyword
작가의 이전글성장판 자가검사에 대한 오해