brunch

광주 청연한방병원 허리디스크

https://youtu.be/pWyVMJJqrSo



청연한방병원 왜 선택해야 하나요?
MRI 자체 진단이 가능하며 의사-한의사 협진으로 정확한 진단
도침치료와 약침이 결합된 신경근이완술을 통하여 부작용이 적고 반복적으로 치료가능
일상생활 기능 회복까지 연구된 한약처방과 건강보험으로 가능한 추나요법
탕약, 캡슐약, 가루약 등 환자 복용 편의에 맞춰서 처방가능한 한약까지





퇴행성 척추질환인 허리디스크, 척추협착증. 청연한방병원 치료 효과가 있었을까요?

- 청연한방병원에 내원한 환자들은 치료 후에 통증이 93%가 감소되었다고 응답했습니다.

- 도침, 추나, 한약, 봉약침 등의 복합 한방치료를 받게 되면 통증 호전이 가능합니다

sub_img_01.jpg 퇴행성 척추질환 환자 (허리디스크, 협착증) 으로 변경할 것



디스크 흡수는 가능할까?

- 추간판은 수핵과 섬유륜으로 이루어져 있는데, 섬유륜이 완전히 파열되어 수핵이 흘러나오게 된다면 디스크의 흡수는 가능합니다.

- 추간판 탈출증 환자에게 치료 전과 후에 MRI 촬영을 통해서 비교한 연구에 의하면 평균적인 27.25% 정도의 면적의 디스크가 흡수된 것이 보고 되었습니다. 약 20%의 환자에서는 50% 이상의 디스크가 흡수되는 것으로 확인되었습니다.

sub_img_02.jpg



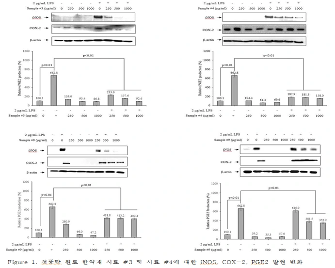
청풍탕의 진통소염 효과

- 청풍탕의 임상효과를 인정받아 한약진흥재단에서 진행하는 한의약치료기술 공공자원화 사업에 선정되어 치료기술의 임상적 효과의 근거확보를 위한 연구를 진행하였습니다.

- 청풍탕의 경우 환자의 VNRS 통증 척도와 K-ODI, K-RMDQ 등의 일상생활 기능 척도가 회복되는 것으로 밝혀졌습니다.

image.png?type=w773

- 실험실 연구에서 항염증 관련 표지자인 NO, iNOS, COX-2, PGE의 발현이 대조군에비해 감소되어 항염증 효과도 확인이 되었습니다. 농도를 높여가며 실험을 했음에도 불구하고 독성이 나타나지는 않았습니다

image.png?type=w1




한약치료 다양한 제제로 복용하세요 - 영상 추가하기

영상 스크립트 예시 : 청연한방병원의 한약에 대해서 소개합니다. 청연한방병원의 한약은 일반적인 탕약 뿐만 아니라 복용의 편의성을 위해서 다양한 약물을 개발하여 사용중입니다. 특히 하루 1회 복용량을 한번에 복용할 수 있는 고농축 한약, 동결건조하여 캡슐제로 만들거나, 캡슐제를 먹기 힘든 분들을 위한 연조엑기스등 다양한 한약으로 치료할 수 있습니다.



허리디스크 치료 왜 신경근이완술이 필요한가요?

- 디스크가 탈출되어 신경을 압박하면 신경유착이 발생하게 되는데, 이 부위를 직접 도침을 자입하여 박리하여야 합니다. 신경의 재유착을 방지하고, 신경의 염증을 제거하며, 통증을 줄이기 위한 신경근약침을 활용하면 통증을 줄일 수 있습니다.

image.png?type=w773


- 실제 청연한방병원 의료진이 참여한 연구에서 1년 이상의 추적 관찰 결과, 퇴행성 척추질환 (추간판 탈출증, 퇴행성 디스크, 척추관협착증) 환자에게서 30% 이상의 통증 감소가 확인되었습니다

image.png?type=w773


https://youtu.be/gm39zBGoMEE



허리디스크 관리

- 허리디스크는 허리에 가해지는 충격을 흡수하기 위해서 존재하는 탄력적인 디스크가 제 기능을 다하지 못하는 것이기 때문에, 이를 보호하기 위한 척추안정화 근육의 운동이 반드시 필요합니다

- 그러나 단순 걷기 운동의 경우 골반의 비대칭이 심화될 수 있기 때문에 반드시 걷기 운동 전에 추나 치료를 통해서 골반의 비대칭을 교정하는 것이 필요합니다

- 한방재활의학과 전문의의 진단을 통해서 일상생활에 회복하고 관리할 수 있도록 치료의 목표를 제시합니다

https://youtu.be/KKMot19EXu8


- 이제 추나 치료의 경우 건강보험 혜택으로 치료받을 수 있기 때문에 비용에 대한 걱정을 줄일 수 있습니다.

https://youtu.be/67SmxF1SsPI



허리디스크 수술

- 허리디스크를 절제하는 수술의 경우 절제된 디스크만큼의 충격 흡수 기능이 줄어들고, 척추의 불안정성이 증가할 수 있으므로 특히 주의해야 합니다.

- 젊은 환자의 경우 수술 후 재발되는 경향성이 크며, 보통 10년의 주기로 재수술이 필요하기 때문에 우선 비수술로 치료를 고려해야 합니다.

https://youtu.be/r-NBHxxFd1U

https://youtu.be/Af9wYVwDUJQ




청연 의학, 한의학 협진 추간판탈출증 치료법


입원치료 - 사진

초기 급성기에는 불안정한 경추의 안정화를 위하여 침상 안정과 함께 한약, 약침, 추나, 도수치료 등 비수술 치료가 필요합니다.(상황에 따라서 2~4주 정도의 치료가 필요)


한약치료 - 사진

초기에는 염증을 치료하고 통증을 줄여주는 한약처방을 사용합니다.

후기에는 약해진 인대와 척추를 강화시키는 한약으로 재발을 방지합니다.


약침, 봉약침 치료 - 사진

디스크 주변의 염증을 소염 진통 작용이 있는 약침, 봉약침으로 치료합니다.


추나요법 - 사진

척추의 구조를 바로잡아 주는 추나 치료를 통해 통증을 줄여줍니다.


도수치료 - 사진

재활의학과, 정형외과 전문의의 협진과 함께 정형 도수치료 교육을 이수한 물리치료사에 의해서 도수치료가 시행됩니다. 손으로 척추와 관절을 자극하고, 근막의 유착을 회복하여 통증을 줄여줍니다.



그 외 궁금한 내용은 유튜브를 확인하세요

1. 저는 왜 도수치료받으면 더 아플까요?

급성으로 디스크 파열이나 인대의 손상이 온 경우, 근육이 뻣뻣해지는 것이 척추를 보호할 목적으로 발생하기 때문에 도수치료를 받으면 오히려 통증이 심해질 수 있습니다. 그러므로 진단 후에 치료가 들어가야합니다

https://youtu.be/stT_wQ2xmxI


2. 신경차단술 무조건 좋을까?

본원의 경우도 정형외과 원장님을 모시고 신경차단술을 실시합니다. 그런데 스테로이드 제제의 경우 주의깊게 사용해야합니다. 한번 주사를 맞으면 1~2주간의 휴지기를 두어야하며, 1년에 3회까지 밖에 치료하지 못한다는 단점이 있습니다.

https://youtu.be/gtDf_mafv18


3. 봉침치료는 어떤 효과가 있을까요?

DNA레벨에서 작용하여 소염진통효과가 있고 국소 혈류량 증가를 통한 조직 회복을 가능하게 하는 것이 봉침의 장점입니다.

https://www.youtube.com/watch?v=7YlZ5HAYZ_I&t=5s



4. 한약 믿고 먹을 수 있을까요?

청연한방병원 원외탕전원 인증을 마쳐 안심하고 드실 수 있습니다.

https://youtu.be/qVyXVz5llrA




청연한방병원 편하게 와서 안전하게 치료하세요.

발렛 주차를 맡기고 편하게 치료하세요

https://youtu.be/4liBFN-c2nQ


코로나19같이 감염에 안심하고 치료받을 수 있는 청연한방병원

https://youtu.be/m_3ad56bNq4




오시는길

홈페이지 바로가기

http://www.cyhani.com/main

온라인상담 바로가기

http://www.cyhani.com/user/board/lists/board_cd/request




















keyword
매거진의 이전글부주상골증후군, 부주상골 통증으로 찾아온 광주일고 선수