brunch

부주상골증후군, 부주상골 통증으로 찾아온 광주일고 선수

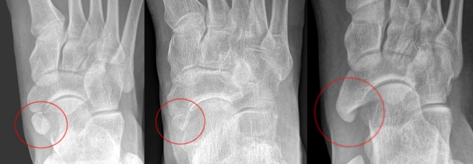
부주상골은 주상골에 더해져 추가로 더해져있다는 뜻으로 본래는 있을 필요가 없는 뼈가 추가적으로 있는 경우를 의미합니다. 보통 주상골의 뼈의 일부가 지속적인 충격과 압박에 의해서 분리되서 오거나, 선천적으로 유합되지 못하면서 발생하기도 하는데요. 하이힐을 많이 신거나, 야구선수들 처럼 공을 던지며 강한 힘이 발에 부여되면서 뼈에 압력이 심해져 통증이 심해지게 됩니다.




576px-Acessory_Navicular_Bone_2.jpg?type=w1 이렇게 좌우측의 주상골부분에서 융기된 부분을 발견하게 됩니다.




이번에 찾아온 환자는 광주일고 1학년 선수로, 신체발달이 빨라서 벌써 선발로 경기를 뛸 정도의 실력이 있는 친구였는데요. 본래는 부주상골의 통증을 관리하기 위해 어렸을 때부터 깔창을 활용했습니다. 중학교 3년간은 깔창으로 잘 버텼지만 이제는 발목에 가해지는 충격을 이기지 못하고 부주상골의 통증이 심해져서 내원하게 되었습니다.


부주상골증후군을 치료할 때에 특히 중요한 키는 바로 후경골건입니다. 후경골근이라는 발의 아치를 올려주는 힘줄이 종아리 뒤쪽에서 내려와 발의 아치 안쪽을 거쳐 주상골에 부착되어야하는데, 부주상골이 있는 경우 부주상골에 부착되면서 정상적으로 아치를 거상시키지 못하게 됩니다. 그래서 어렸을 때보다 성인이 되면서 점점 더 후천성 평발이 심해지게 되는 것이 특징입니다.



640px-Acessory_Navicular_Bone_3.jpg?type=w1 이렇게 후천성 평발이 되는 경우가 많기 때문에 적극적으로 관리해야합니다.



후경골건이 제대로 아치를 들어주지 못하기 때문에 발에 누적되는 피로가 가중되며, 부주상골과 주변 발목 뼈와의 사이에서 압력이 증가하면서 통증이 극심하게 됩니다.


실제 의과적 처치에서는 크게 재활치료로 관리하는 법이 없으며, 진통소염제로 관리하다가 통증이 정말 극심해지는 경우에 수술하는 경우가 많은데, 문제는 운동선수의 경우 수술적 치료를 하게 되면 수술 후 재활을 거쳐 다시 운동기능의 회복을 하기에는 신체의 밸런스와 근력, 근지구력의 감소가 매우 크다는 것이 특징입니다. 특히 야구나 축구선수처럼 폼과 컨디션의 유지가 중요하고, 또 학생들 처럼 지속적인 결과를 내어 대학에 가거나 프로지명을 받아야하는 경우에는 수술을 쉽게 결정하기가 어렵습니다.


Os_tibiale_externum_Typen_1_-_3_nach_Geist_-_Roe.jpg?type=w1 부주상골의 경우 지속적인 충격이 누적되면서 분리되어 골편으로 존재하게 됩니다. 특히 후경골근이 제 기능을 하지 못하게 되면서 발의 내구성은 떨어지게 됩니다.



특히 미세절개 제거 및 후경골건의 재건술을 하더라도 운동기능이 100% 과거의 그대로로 돌아올 것이라고 장담할 수 있는 정형외과 전문의는 그 누구도 없습니다. 그러므로 수술의 경우에는 최후의 선택으로 두어야하고 우선 비수술적 치료를 해야합니다.


본 환자의 경우 도침과 신경근이완약침을 통한 관절 유착부위를 우선 박리하고, 추가적으로 관절낭의 염증을 조절하기 위해서 봉침시술을 했습니다. 그리고 후경근건의 기능저하로 인해서 무리가 되었을 주변 종아리 근육에 대한 침치료를 함께 시행하였으며습니다. 그 치료 결과는 어땠을까요?


사실 본 환자는 서울에 수술을 예약하고 올정도로 통증이 극심했고, 마지막으로 수술 전에 비수술로 할 수 있는 방법이 한방치료로 있는가 궁금해서 청연한방병원에 내원한 것입니다.


초창기 통증이 nrs10 이였으며, 청연한방병원의 스포츠 재활치료를 받기 어려울 정도로 통증이 심했습니다. 일상생활 기능 자체의 제한이 극심해서 달리기 자체가 어려워 운동장 1바퀴도 못 뛰는 상황이였으며, 코로나로 인해 단체 훈련이 제한되었기에 망정이지, 만약 단체 훈련 중이였으면 간단한 런닝도 불가능하기 때문에 감독님의 눈밖에 났을 수도 있는 상황이였습니다.


Baseball_pitching_motion_2004.jpg?type=w773 특히 투수의 경우 디딤발에 부주상골이 있는 경우 치명적입니다. 디딤발의 반대발일 경우에도 공을 던지고 나서 오는 충격을 반대발로 받아줘야하기 때문에 훨씬 조심해야합니다.


본 환자는 총 2주간의 치료 의해서 nrs 3 점으로 개선되었고, 운동장 4바퀴정도까지 뛸 수 있는 발의 상태가 되었습니다. 본 환자는 이미 스스로 깔창을 활용하여 후천성 평발을 예방하고 있었고, 치료 순응도가 매우 좋았기 때문에 빠른 호전이 발생하였지만 보통의 경우에는 4~6주의 치료가 필요한 것이 일반적인 예후입니다.


부주상골은 인구의 10~15% 정동의 유병률이 있는 아주 흔한 질환입니다. 만약 본인이 평발이며, 발목 안쪽에 복숭아뼈에서 아래 하부쪽으로 추가적으로 튀어나온 뼈가 발견되고, 또 그 주변에 발적, 부종, 통증이 느껴진다면 진단과 치료를 받는 것이 좋겠습니다. 증상이 진행되면 후천성 평발과 퇴행성 관절염으로 진행할 수 있기 때문입니다.


IMG_5334.jpg?type=w773













keyword
매거진의 이전글허리디스크와 MRI진단시 알아야할 5가지