brunch

팔꿈치 내측측부인대 파열의 진단과 토미존수술 후 재활

팔꿈치 내측측부인대의 경우 팔꿈치에 강한 힘을 실리는 특수한 케이스가 아니면 파열될 일이 많지는 않습니다. 그러나 손으로 공을 던지는 힘을 하는 운동선수들의 경우 때때로 젊은 나이에도 파열이 되어 수술을 하거나, 재활을 하게 됩니다.


주로 서울의 선수촌 병원 혹은 김진섭 정형외과에서 수술을 하게 되는데, 특수 부위에 대한 스페셜 리스트에게 수술을 받는 것이 예후에 좋으므로 해당 수술 병원을 주로 권유하게 됩니다.


고등학교 학생 때에도 프로 수준 못지 않은 능력을 가진 친구들이 주로 강하게 공을 던지다가 팔꿈치 인대를 수술하게 됩니다. 힘줄의 경우에는 근육의 발달을 통해서 힘줄의 유연성과 인장력에 대한 부분을 도울 수 있지만, 인대는 그 조직 한개가 오로지 팔꿈치를 안쪽에서 보호하고 있기 때문에 인대에 대한 보호는 공을 던지는 숫자를 조절하는 것이 가장 우선입니다.


image.png?type=w773


내측 측부 인대는 이렇게 생겼습니다. 전방속 후방속 횡속으로 불리우는 3가지 인대로 되어 있으며, 앞 뒤 그리고 측면으로 관절을 튼튼하게 유지시켜 줍니다. 이런 인대가 일부라도 파열되게 되면, 인대가 느슨해져서 덜렁거리게 되는데 이를 관절의 불안정성이라고 합니다. 관절의 불안정성이 생기면 퇴행성 관절염으로 인해서 팔꿈치 관절이 붓고 아프고 커질 수 있으니 초기에 치료로 잡아야합니다.


image.png?type=w773


실제 정상적인 팔꿈치 관절을 MRI로 찍으면 저렇게 검게 나오게 됩니다. 인대에는 질긴 성분으로 물이 많지 않기 때문에 검게 나옵니다. MRI가 하얗게 나온다는 것은 물이 많다는 것인데요, 물이 많은 것은 주로 염증 때문입니다. 즉 염증이 없으면 하얗게 나올 일이 없습니다. 다만, 무조건 하얗게 나오는 것이 모두 염증은 아니고 지방이나 수핵 수분 등 다양한 원인이 있으니 의료진의 의견을 잘 들어야합니다.


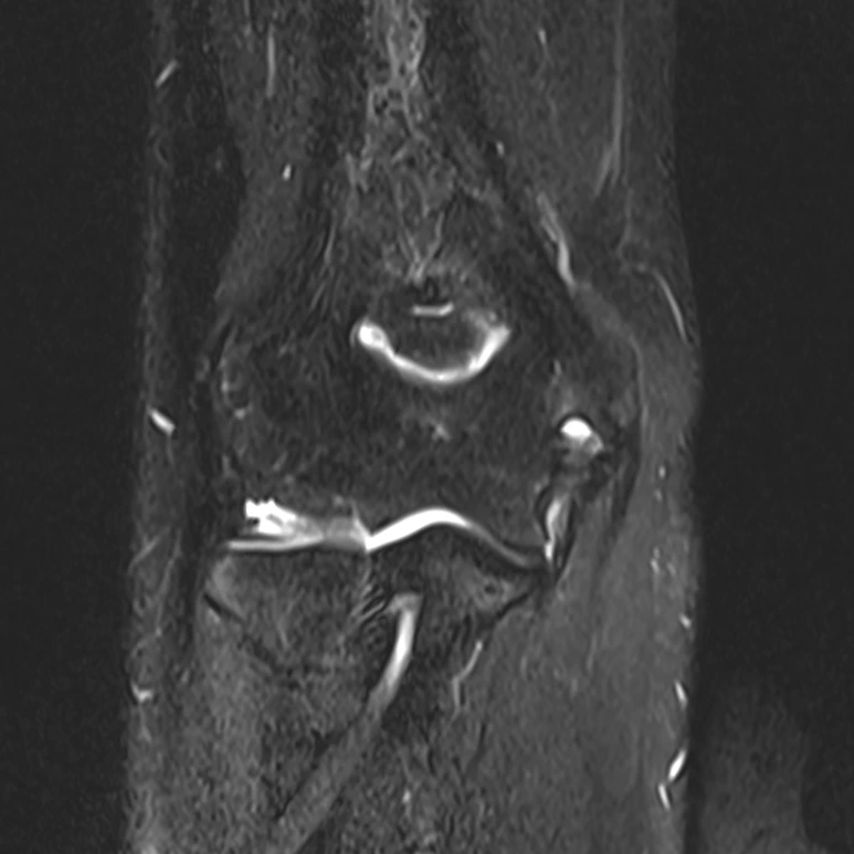
image.png?type=w773

그럼 환자의 MRI 사진을 한번 보겠습니다.


우측 부위의 측부 인대 부위에 손상이 있는 것이 눈으로 보이실까요? 해당 부위의 손상은 부분 파열로 수술을 선택해도 되고 안해도 됩니다. 일반인의 경우에는 수술을 선택하지 않습니다. 그리고 조만간 프로 지명을 앞두고 있으며, 단기간에 몸을 쓸 일이 있다면 비수술 재활을 선택하게 됩니다. 그러나 앞으로 프로 지명까지 시간이 많이 남아 있으며 완벽하게 구조적인 안정성을 만들고 계속 운동하고 싶다면 수술을 선택하기도 합니다.


환자는 MRI 촬영 이후 팔꿈치 내측측부인대의 파열을 발견하여 수술을 결정하였습니다. 김진섭 병원에서 수술을 시행하였으며 그 뒤로 수술 후 재활을 위해서 내원한 환자입니다. 약 1달간의 재활을 하였으며, 통증 부위의 유착을 방지하고, 수술 후 조직 재생을 돕기 위한 한약치료, 침치료, 뜸치료, 봉침치료를 시행하였으며 조기 복귀를 위한 스포츠 재활도 시행하였습니다. 열린사슬 운동부터 시작해서 닫힌사슬 운동까지 현재는 체중부하 운동까지 가능하게 되었습니다.


KakaoTalk_20201103_100449828_03.jpg?type=w773


수술 후 재활에는 시간이 들어갑니다. 정석대로 한걸음 한걸음 따라가다보면 아무리 토미존 수술을 했다고 해도 다시 이전의 상태로 복귀할 수 있습니다. 여러 프로 선수들은 토미존 수술을 받고나서 이전보다 더 빠른 근력으로 회복하였습니다. 그러므로 수술을 잘 받고 나서 어떻게 재활을 잘 할것인가만을 생각하고 긍정적으로 치료에 임하면 금세 회복 될 것입니다.


image.png?type=w773


본 환자는 수술 후 1달만에 이전의 근력과 근지구력을 회복하여 인하우스 트레이닝의 강도를 이전과 동일하게 시행하고 있습니다. 그런데 실제 경기를 뛰거나 기술훈련하는 것은 또 다른 문제입니다. 이전과 다른 동적안정성과 발런스 문제로 부하가 부담이 될 수 있기 때문에 서서히 부하를 늘려가야 합니다.


그러므로 재활의 과정에서 조급함 없이 차근히 한단계씩 밟아서 올라간다면 이전의 기량을 회복할 수 있을 것입니다.


끝.




keyword
매거진의 이전글섬유근육통 환자와 가바펜틴, 프레가발린