brunch

정형외과 검사, 그것이 알고 싶다.

1. 엑스레이

by 정형외과 신한솔

팔, 다리, 어깨, 발, 허리, 어디가 아파서 정형외과에 가든 대부분 비슷한 프로세스를 따라서 진료가 진행되게 된다. 의사 진료의 진료를 보고 (간혹 아픈 부위가 명확한 경우 통증 부위의 영상 검사를 먼저 진행하기도 한다.) -> 엑스레이 검사를 진행하고 -> 다시 진료를 보고 -> 검사 결과에 따라서 추가 검사(초음파, CT, MRI 등)를 진행하고 (이 과정은 없을 수도 있다.) -> 결과에 맞춰서 필요한 치료를 진행한다.


어디 병원을 갔더니 mri 찍으라고 해서 다른 병원 의견도 들어 보고 싶어서 왔어요, 초음파 검사 그거 꼭 해야 돼요?라는 질문을 자주 받게 된다. 언제 어떤 검사를 하고, 그러한 검사들이 왜 필요한지에 대해서 알아보고자 한다.


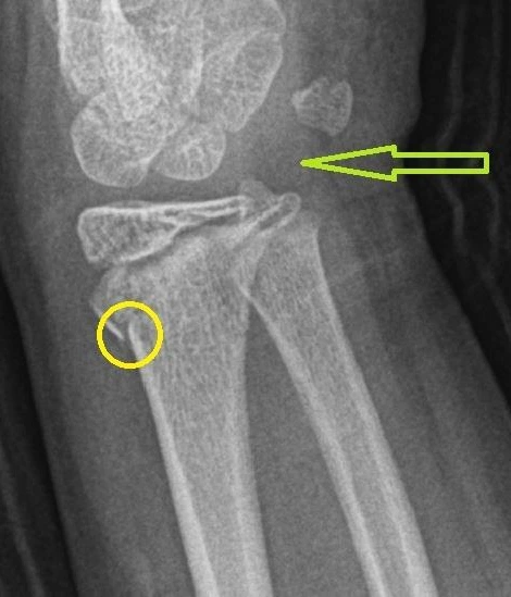
엑스레이 검사, 소위 말하는 단순 방사선 검사는 X-선을 우리 몸에 투과시켜서 이미지를 얻는 검사이다. 이러한 단순 방사선 검사를 통해서 노출되는 방사선 선량은 생각보다 많지 않음으로 검사 자체의 방사선 선량에 대해서는 크게 걱정하지 않아도 된다. (방사선 선량에 대한 좀 더 자세한 정보는 지난 글 https://brunch.co.kr/@hansoltop/59 참고 부탁드린다.) 다만 3차원 구조를 방사선이 통과한 후, 한 방향(2차원 평면)으로 영상을 만들기 때문에 구조들이 중복되고 겹쳐 보인다. 또한, 뼈를 제외한 나머지 구조의 경우 방사선 영상에서 다 비슷비슷한 정도의 음영으로 나타나기 때문에 실제로 병변이 있는지 없는지 구별하기가 쉽지 않다. 기본적으로 엑스레이 검사는 뼈를 보는 검사라고 생각하면 편하다. 아래 사진을 보면, 노란 원안의 골절은 의학적 지식이 없이도 눈에 들어오지만 초록색 화살표가 가리키고 있는 부위에는 인대, 힘줄, 관절 등이 복합적으로 있지만, 알고 봐도 하나하나 구조를 가려내기란 거의 불가능하다.


ped radius fracture.JPG


이렇게 설명드리면 아무리 생각해도 뼈가 다치거나 아픈 거 같지는 않은데 엑스레이는 그럼 왜 찍는지 궁금해하시는 분들이 간혹 계신다. 단순히 증상만 가지고 절대 뼈에 문제가 없다는 걸 아무도 장담할 수 없다. 사실 결국 아픈 건 환자분이고, 의사가 그 통증을 같이 느끼는 것은 아니기 때문에 말로 듣고, 만져서 하는 신체검사로 속까지 정확히 알 수는 없다. 따라서 내부를 보는 검사 자체는 필수적이다. 근골격계의 내부를 볼 수 있는 검사 중에서 엑스레이는 가장 저렴하고 빠르게 병변 부위를 볼 수 있는 검사다. 수초 내에 영상 촬영이 가능하며, 각각의 나무를 보기는 어렵지만 전반적인 숲을 보는 데는 아주 훌륭한 검사이다.

또한 또한 주로 뼈를 보는 검사라는 것이지, 연부조직 (소위 말하는 살)이 아예 안 보이는 것은 아니다. 얼마 전에도 손목에 드꿰르뱅씨병이 의심되는 환자의 단순 방사선 영상을 촬영하였다. 이 병은 일반적으로는 엑스레이 검사에서 어떠한 소견도 나타나지 않는다. 그러나 이 환자의 경우에는 엑스레이 영상상 타원에서의 반복된 주사로 석회가 침착된 소견이 관찰되었다. 또한 병변에 따라서 엑스레이상에서 음영이 다르게 나타는 경우도 있기 때문에 엑스레이 검사는 근골격 질환에서 필수적으로 선행되어야 하며, 건강보험에서 커버해 주는 검사로 사진 한 장당 환자가 지불하는 비용은 일반적으로 채 천원이 안 되는 경우가 많으니 부담 없이 찍으시면 된다.


대부분의 정형외과 의원 및 대학병원 정형외과에서 엑스레이 촬영 시 아프지 않은 반대쪽을 같이 찍는다. 예를 들면 오른쪽 손목이 아파서 병원에 갔는데, 왼쪽 손목도 함께 촬영하는 것이다. 검사를 과다하게 하는 것이 아닌지, 이렇게 엑스레이를 많이 찍어도 되는지 걱정하시는 분들이 간혹 계시는데, 반대쪽을 찍어서 몸에 추가되는 엑스레이 선량은 극히 미미 하며, 위에 언급드렸듯이 엑스레이 검사는 사실 병원 입장에서는 엑스레이 매우 저가의 검사로 찍을 시간에 다른 검사 하나 더하는 것이 이득인지라 금전적인 이득을 취하려고 찍는 것은 아니다. 엑스레이 검사는 위에서 언급했듯이 3차원 구조를 이차원으로 압축해서 나타냄으로 영상으로 얻어낼 수 있는 정보가 제한되어 있다. 따라서 다양한 방향에서 영상을 촬영 후, 건축 (정상인 쪽)과 비교를 하면 좀 더 차이를 알기 쉽게 때문에 최대한 엑스레이 검사를 통하여 많은 데이터를 얻어 내기 위하여 양측 촬영을 한다. 예를 들면 환자가 골절이어서 뼈가 살짝 꺾여 보이는 건지, 원래도 뼈가 살짝 꺾여 있는 사람인 건지는 엑스레이 영상을 찍어서 좌우를 비교해 보면 쉽게 알 수 있기 때문이다.


기본적으로 나는 말이 많은 사람이고, 의학이라는 학문 자체가 너무 전문화되어 있다고 생각해서 비유적인 표현을 진료할 때 많이 쓰는데, 실제 내 외래에서는 환자들에게 엑스레이는 옛날 60-70년대 신문에 낮은 해상도로 나오던 흑백 사진쯤이라고 생각하시면 된다고 말씀 드란다. 건물에 불이 났으면 시커먼 연기와 불난 것이 보이긴 하는데 정확히 창문 안쪽에 사람이 있는지, 어느 창문 안족에서 불길이 세게 타고 있는지 까지를 구별 할 수 없는 검사로 이해하시면 좋다고 설명한다.


아주 가끔, 엑스레이 봐도 맨날 이상 없단 소리밖에 안 하는데 안 찍는다고 하시는 환자분들이 계시는데, 엑스레이는 사실 이상이 없는 걸 보기 위해서 찍는 경우도 있다. (의사가 머릿속에 생각하고 있는 질환이 뼈에는 이상이 없고 힘줄이나 인대에만 이상이 생기는 경우, 엑스레이에서 이상이 없다고 나온다. 이러면 이 결과 -정상 엑스레이-를 바탕으로 내가 의심하고 있는 질환이 정말 맞겠구나라고 생각할 수 있는 것이다.) 병원 갈 때마다 엑스레이 찍는 다고 싫어하시는 분들도 많은데 엑스레이는 일종의 개인 정보로, 다른 병원에서 찍은 사진은 볼 수가 없다. 의사란 이유로 환자의 영상 검사에 마음대로 접근할 수 있으면 그게 더 무서운 일이 아닐까 싶다.


소위 말해서 과한 검사, 안 해도 되는 검사를 하는 병원들이 너무 많은 것도 사실이지만, 그렇다고 꼭 필요한 검사에 대해서 까지 너무 의심의 눈초리를 보내지 않으셔도 된다. 엑스레이 검사 정도는 부담 없이 찍고 진료 보셔도 된다가 오늘의 결론이랄까.


PS: 다음 글에서는 CT에 대해서 알아보고자 합니다. CT -> 초음파 -> MRI 순으로 글 진행을 계획하고 있으며, 다른 궁금한 검사가 있으면 의견 주시면 참고하겠습니다.

keyword
매거진의 이전글엄마의 손 - 수근관 증후군