실제 증례로 쉽고 재미있게 공부하는 수의 영상 의학 ⑴

개 상부 호흡기 질환 - 일산동물의료원 정주현 원장.

by 일산동물의료원

본 칼럼 시리즈는 '대한수의사회' 월간지에 기고된 일산동물의료원 정주현 원장님의 칼럼입니다.



정원장님.jpg


일산동물의료원 정주현 원장


· 서울대학교 수의과대학 수의학과 졸업

· 서울대학교 수의과대학 수의영상의학과 석사 졸업

· 서울대학교 수의과대학 수의영상의학과 박사 졸업



[대한수의사회 기고 칼럼] 실제 증례로 쉽고 재미있게 공부하는 수의 영상 의학


[연재계획]

❶ 개 상부 호흡기 질환
❷ 고양이 상부 호흡기 질환
❸ 개 하부 호흡기 질환
❹ 고양이 하부 호흡기 질환
❺ 개 심장/심낭막 질환
❻ 고양이 심장 질환
❼ 개 간담도췌장 질환
❽ 고양이 간담도췌장 질환
❾ 개, 고양이의 비뇨생식기계 질환
❿ 개, 고양이의 위장관 질환
⓫ 개, 고양이의 림프절
⓬ 조직 검사 또는 임상 결과가 영상학적 소견과 달랐던 증례들 모음




실제 증례로 쉽고 재미있게 공부하는 수의 영상 의학

❶ 개 상부 호흡기 질환

상부 호흡기 질환은 nose, nasal passages, paranasal sinuses, pharynx, larynx 등 주로 두경부 영역에서 호흡을 담당하는 기관의 질환을 말합니다. 상부 호흡기는 구조적으로 매우 복잡하여 영상학적으로 평가하기 까다로운 영역입니다. 그러나 개, 고양이에서 상부 호흡기 질환은 생각보다 매우 많으며, upper airway comorbidities 역시 흔합니다. 또한 경과가 오래될수록 aerodigestive disorders가 진행되어 만성 악순환 상태가 되면, 진단과 치료가 올바르게 적용되어도 예후가 안 좋을 수 있습니다. 신속한 진단 및 치료가 중요합니다. X-ray, ultrasonography, CT (and/or MRI), fluoroscopy, rhinoscopy, histopathology 진단 과정이 모두 필요할 수 있습니다. 진단을 위해 또는 치료 과정 중에서도 검사를 반복해야 할 수도 있습니다.


오늘은 개의 상부 호흡기 질환 증례에서 중요한 영상학적 평가 포인트에 대해 함께 공부하는 시간을 가지려고 합니다.

비강 및 부비동 질환에는 foreign body rhinitis, dental rhinitis, idiopathic chronic rhinitis or rhinosinusitis, infectious rhinitis or rhinosinusitis(fungal / viral / parasitic / bacterial infection), allergic rhinitis or rhinosinusitis, neoplasia 등이 있습니다. 비인후두 질환에는 nasopharyngeal stenosis, nasopharyngeal or laryngeal mass (cyst, polyp, abscess, granuloma, mucocele, neoplasia 등), dynamic pharyngeal collapse, laryngeal paralysis or collapse 등이 있습니다. Aerodigestive disorders는 호흡기와 소화기 사이의 병리학적 상호 악순환에 의한 다양한 임상 증상 발현 상태를 말합니다. 예를 들어 상부 호흡기 폐색이 지속되면, 만성적인 barotrauma (low negative intrathoracic pressure)로 인해 gastroesophageal reflux가 발생하게 되고, 이로 인한 esophagitis, esophageal dysmotility 상태가 될 수 있습니다. 더 나아가 megaesophagus, concurrent hiatal hernia도 발생할 수 있습니다. Laryngopharyngeal reflux로 인해 laryngitis, pharyngitis, rhinitis가 진행되고 상부 호흡기 폐색은 더 심해지는 악순환 상태를 겪게 됩니다. 소화기 증상이 없어도(silent reflux), 이로 인한 급만성의 호흡기 질환이 인의에서 잘 보고되어 있으며, 수의에서도 특히 brachycephalic breed dog에서 swallowing diseases에 대한 내과적 치료 관리 이후, 호흡기 질환이 다소 개선되는 경우가 많습니다.





<※증례 ①>

[대한수의사회지 1.png

3살 중성화 수컷 Maltese가 20일 동안 sneezing, 코 자극 시 폭발적인 기침 증상으로 내원하였습니다. 내과적 치료에 일시적인 반응 보였으나, 최근 좌측 비강에서 농성 분비물 증가하고 증상이 악화되어 내원하였습니다. Plain X-ray에서는 유의적 이상 소견이 관찰되지 않아, CT 촬영을 하였습니다. CT 검사에서 좌측 nostril부터 dorsal nasal meatus의 rostral part에서 고감쇠의 rim으로 둘러싸인 작은 tubular-like appearance 구조물(그림 1. A, B, C)이 관찰됩니다. 주변으로 삼출물 축적 및 점막 부종 소견 관찰되어 foreign body rhinitis로 진단할 수 있었습니다. Anterior rhinoscopy로 풀씨 이물과 이로 인한 점막 염증 소견(그림 1. D, E, F) 관찰할 수 있었으며, 이물 제거 후 환자는 잘 회복하였습니다.




<※증례 ②>

[대한수의사회지 2.png

13살 중성화 수컷 Maltese가 8일 동안 sneezing, stertor, purulent nasal discharge, open mouth breath를 보여서 내원하였습니다. Plain X-ray로는 유의적 이상 소견이 관찰되지 않아, CT 촬영을 하였습니다. CT 검사에서 choanae 바로 후방 nasopharyngeal space에서 둥근 이물(그림 2 A, B, C)이 관찰됩니다. Retrograde rhinoscopy로 옥수수알 이물(그림 2. D)을 확인하고 제거할 수 있었습니다. 개에서 nasopharyngeal meatus, choanae, nasopharyngeal space는 laryngopharyngeal reflux, aerodigestive disorders 등에 의해 이물의 regurgitation 흔히 발생하는 위치입니다.




<※증례 ③>

[대한수의사회지 3.png

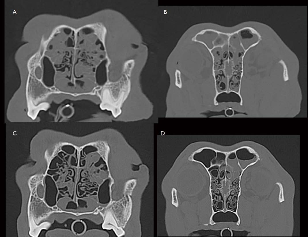
9살 중성화 수컷의 Y.T.가 수개월에 걸쳐 좌측 편측성 nasal discharge를 보여서 내원하였습니다. Plain X-ray에서 좌측 dorsal nasal meatus 및 ventral nasal meatus 위치에서 방사선불투과성의 음영이 관찰됩니다(그림 3. A, B). 보다 정확한 정보를 얻기 위해 CT 검사를 실시하였습니다.


CT에서 좌측 nostril 후방 dorsal nasal meatus 및 canine tooth level의 ventral nasal meatus 위치에서 방사선불투과성의 이물 또는 rhinoliths가 관찰됩니다(그림 3 C, D, E). 또한 좌측 common nasal meatus에서 tubular-like appearance 음영이 관찰됩니다(그림 3 F, G, H). Rhinoscopy를 통해 rhinoliths 관찰, 직접 제거하고, common nasal meatus 위치의 연조직 밀도의 이물은 강한 nasal flushing으로 제거하였습니다(그림 3. I, J, K).


비강 이물은 주로 편측성으로 관찰되며, 연조직 밀도의 tubular-like appearance를 보입니다. 고감쇠 rim 양상을 동반할 수 있습니다. 일반적으로 Plain X-ray로 평가하기는 어렵고, CT 검사가 필요한데, 이물이 만성적으로 impaction되어 이물 주변으로 mucosal thickening, granulation tissue formation, turbinate loss가 진행되면, 판독이 어렵습니다. 방사선불투과성의 이물을 찾아 내기 위해 다양한 CT windowing 평가가 추천됩니다. CT에서 이물이 의심되는데, 비강경에서 잘 안 보이는 경우도 많습니다. 이물 주변으로 thickened edematous proliferative mucous membrane 및 mucopurulent exudates 때문이므로, 강한 nasal flushing으로 제거해야 하며, open surgery가 필요할 수도 있습니다.


Rhinoliths는 exogenous nidus(모래, 과일, 바늘, 돌, 씨앗, 종이, 기생충, 유리, 나무 조각 등) 또는 endogenous nidus (응고혈, 세균, 백혈구, mucus plug, 골편, 치아 등)를 중심으로 주로 윤상(annular) 모양의 석회화 덩어리를 말합니다. 핵의 성질에 따라 중앙에 고밀도, 또는 저밀도의 음영을 보일 수 있습니다. 이러한 rhinoliths는 임상 증상 없이 우연히 발견되기도 하며, 위치와 크기에 따라 rhinosinusitis, nasal septal erosion, oronasal fistula 등을 유발할 수도 있습니다.




<※증례 ④>

[대한수의사회지 4.png

13살 중성화 암컷 Beagle이 2주 동안 좌측 편측 nasal discharge 및 구강 불편함 증상으로 내원하였습니다. Plain x-ray에서 왼쪽 비강의 밀도 증가 영역이 관찰되었고, 보다 정확히 평가하기 위해 CT 검사를 진행하였습니다. 좌측 canine tooth first premolar tooth root 주변으로 alveolar bone이 소실되어 있고, 이 위치에서 비강 내 soft tissue attenuating mass-like 영역이 관찰됩니다. 종괴로 인해 nasal turbinate는 일부 소실되어 있으며, oronasal fistula 관찰됩니다(그림 4 A, B, C, D, E). 영상학적으로 left dental rhinitis with oronasal fistula formation으로 진단하였습니다. Dental rhinitis로 인한 granulation tissue 영역은 비강경으로 조직 검사 실시했을 때 moderate chronic lymphoplasmacytic and neutrophilic rhinitis 상태로 확인되었습니다(그림 4. F).




환자는 발치 후 내과적 관리로 left dental rhinitis 관련 임상 증상은 모두 개선되었습니다. 그런데 1년 뒤 우측 편측 nasal discharge 및 코막힘 증상으로 다시 내원하였고, CT 검사에서 right dental rhinitis(그림 4. G, H, I)가 확인되었습니다. 역시 발치와 내과적 관리로 임상 증상은 모두 개선되었습니다. Dental rhinitis는 Plain X-ray로 진단하기 어렵고, CT와 dental X-ray의 도움이 필요합니다. Periapical lucency, periodontal bone loss, oronasal/oroantral fistula 등을 평가하기 위해 maxillary teeth 및 surrounding bones의 CT multiplanar 평가가 추천됩니다. Oronasal 또는 oroantral fistula는 구강과 비강 또는 구강과 maxillary sinus 사이가 비정상적으로 개통되어 있는 것을 말하며, 주로 치과 질환, 선천적 기형, 이물, 창상, 종양 등에 의해 발생할 수 있습니다.




<※증례 ⑤>

[대한수의사회지 5.png

9살의 수컷 33kg의 mongrel이 6개월 이상 nasal discharge, sneezing을 보여 내원하였습니다. Plain X-ray에서 양쪽 비강의 미약한 밀도 상승 소견이 관찰되었고, CT 검사에서 양쪽 비강 및 부비동 내 삼출물 축적 및 점막 비후가 관찰됩니다(그림 5. A, B). 유의적 수준의 종괴 및 비강을 둘러싼 large bones 및 nasal septum의 destruction은 관찰되지 않습니다. 부비동의 hyperostosis 관찰됩니다. 이 환자는 rhinoscopy, biopsy, 배양 검사로 이물, 폴립, 종양, 감염원을 배제하고 idiopathic lymphocytic plasmacytic rhinosinusitis로 진단할 수 있었습니다. 내과적 관리로 6개월 뒤 CT 재평가하였을 때(그림 5. C, D) 비강 및 부비동의 점막 비후, 삼출물 축적 소견은 어느 정도 개선되어 관찰됩니다. Idiopathic rhinosinusitis는 Plain X-ray 검사에서 주로 양측성 비강 내 밀도 상승 소견을 보입니다. CT 검사에서도 주로 양측성으로 비강 내 삼출물 축적, 점막 비후 소견이 관찰되고, 만성적으로 심할 경우 nasal turbinate destruction이 관찰됩니다. 또한 frontal sinus의 밀도 상승 및 벽의 hyperostosis가 관찰됩니다. 종양과는 달리 비강을 둘러싸는 Large bones의 destruction은 잘 관찰되지 않습니다.




<※증례 ⑥>

[대한수의사회지 6.png

13살 중성화 암컷 Maltese가 4개월 동안 좌측 nasal discharge, 최근 코피 2-3회의 임상 증상으로 내원하였습니다. Plain X-ray에서 좌측 비강 내 밀도 증가가 관찰되고, 유의적 수준의 nasal turbinate loss는 관찰되지 않습니다(그림 6. A). CT 검사에서 좌측 common and middle nasal meatus 공간을 채우는 저감쇠 균질한 tubular 종괴 음영이 길게 이어져 관찰됩니다. 종괴를 둘러싸는 nasal concha의 destruction 소견은 관찰되지 않습니다. 좌측 비강과 좌측 frontal sinus 전반적으로 삼출물 축적 및 점막 비후가 관찰됩니다(그림 6 B, C, D, E). Rhinoscopy에서 soft하고 smooth한 space occupying mass가 주변 구조물 erosion 소견 없이 관찰되며, 잡아당겼을 때 모양을 잘 유지하면서 쉽게 제거되었습니다(그림 6. F).


조직 검사에서 nasal polyp과 rhinosinusitis로 진단되었습니다. 드물지만, 만성 염증이나 폴립의 malignant transformation 가능성이 있다고 알려져 있기 때문에 지속적인 모니터링 중이며, 아직까지 환자는 임상 증상 없이 잘 지내고 있습니다.




<※증례 ⑦>

[대한수의사회지 7.png

8살 중성화 암컷 Miniature Schnauzer가 6개월 전부터 재채기, nasal discharge 증상을 보였고, 최근 왼쪽 편측으로 비출혈이 동반되었습니다. Plain X-ray에서 왼쪽 비강 내 밀도 증가 소견이 관찰됩니다(그림 7. A). CT 검사에서 왼쪽 비강 전반적으로 연조직 밀도 음영으로 채워져 있고, 일부는 nasal turbinate가 소실되어 관찰됩니다(그림 7. B, C). Nasal septum 및 large bones의 destruction은 관찰되지 않습니다. 영상학적으로 편측성이며, 일부는 nasal small bone loss를 유발한 space occupying mass 양상이므로 종양 가능성을 염두에 두고 rhinoscopy 및 여러 군데 biopsy를 실시했는데, 조직 검사는 lymphoplasmacytic to suppurative rhinitis로 확인되었습니다. 환자는 내과적 관리를 받기로 했고, sneezing 및 간헐적인 비출혈 등의 증상이 wax and wane 상태를 지속하였습니다. 전신 상태는 양호하였습니다. 그러나 1년 5개월 뒤, 왼쪽 muzzle 부위 부종, 통증 증상으로 다시 내원하였습니다. Plain X-ray에서 양쪽 비강 내 밀도가 모두 증가되어 있었고(그림 7. D), CT 검사에서 특히 왼쪽 비강 내 보다 명확해진 이질적 종괴 음영 및 이로 인한 상악골 소실 및 좌측 안구 앞쪽으로 종괴의 bulging 소견이 관찰됩니다(그림 7. E, F). 환자는 Biopsy 조직 검사에서 nasal carcinoma로 진단되었습니다. Radiation therapy 2개월 후 Plain X-ray(그림 7 G), CT 검사(그림 7. H, I)에서 오른쪽 비강 병변은 대부분 개선되었고, 왼쪽 비강 바깥으로 돌출된 부위와 왼쪽 비강 내부 일부에서도 종괴의 크기는 감소하였습니다. 환자는 비강 종양 진단 이후 방사선 치료와 보존 요법을 병행하면서 약 3년 동안 생존하였습니다.




<※증례 ⑧>

[대한수의사회지 8.png

11살 암컷 Cocker spaniel이 재채기, 콧등 종괴, 비틀거림의 증상으로 내원하였습니다. Plain 두경부 X-ray에서 양쪽 비강 내 밀도 증가, 부비동 앞쪽으로 피하 내 연조직 밀도의 종괴가 관찰되었습니다. CT 검사 (그림 8. A, B, C)와 MRI 검사(그림 8. D, E, F)에서 양쪽 비강 (특히 우측) 및 우측 부비동을 채우는 종괴가 관찰됩니다. 이 종괴는 비강 등 쪽과 부비동 앞쪽으로 돌출되어 피하 내 커다란 종괴를 형성하고 있습니다. 또한 종괴는 cribriform plate를 지나 오른쪽 뇌 frontal lobe으로 침습되어 있습니다. 환자는 rhinoscopy 및 biopsy를 실시하였고, nasal spindle cell sarcoma로 확인되었습니다. 여러 치료 옵션 중에 보호자는 항암 치료를 선택하셨고, doxorubicin에 매우 반응이 좋아 임상 증상은 모두 개선되었으며, 초진 이후 3개월 차 MRI 재촬영(그림 8 G, H, I)에서 병변의 대부분은 해소되었습니다. 그러나 환자는 초진 이후 약 8개월령에 증상이 악화되어 방사선치료를 1차 진행하였으나, 개선되지 못하고 사망하였습니다.




<※증례 ⑨>

[대한수의사회지 9.png

5살 중성화 암컷 Maltese가 만성 상부 호흡기 증상(상부 폐색성 호흡음, mucopurulent nasal discharge, 개구호흡)으로 내원하였습니다. Plain X-ray에서 choanae 위치에서 연조직 밀도의 음영 및 narrowing 소견이 관찰됩니다(그림 9. A). CT 검사에서 choanae 및 nasopharyngeal space에서 이질적 연조직 밀도의 음영 및 narrowing이 관찰됩니다(그림 9 B C D). Rhinoscopy에서는 choanae 후방으로 심한 점막 부종, 염증성 변화 및 stenotic region이 관찰됩니다. 투시로 Balloon dilation therapy를 실시하였고(그림 9. E), 무마취 CT 모니터링에서(그림 9. F) 환자는 nasopharyngeal stenosis가 해소되어 잘 지내고 있습니다. 환자는 brachycephaly로 어렸을 때부터 쩝쩝거림, 혀를 날름거리는 증상이 있었다는 병력을 미루어 보아, laryngopharyngeal reflux 등의 aerodigestive disorder로 인해 nasopharyngeal stenosis가 발생했을 것으로 고려됩니다. 환자는 dysphagia에 준한 내과적 보존 치료로 현재까지 잘 지내고 있습니다.




<※증례 ⑩>

[대한수의사회지 10.png

11살 중성화 수컷 Maltese가 1년 전부터 호흡곤란, 연하곤란, 침 흘림의 증상을 보여 내원하였습니다. 환자는 brachycephaly로 stenotic nares뿐만 아니라 CT 검사에서 nasal septum deviation, absence of frontal sinuses, soft palate thickening, nasopharyngeal narrowing (그림 10. A)의 소견이 관찰됩니다. 식도 전반에 걸쳐 wall thickening(그림 10. B, C, D, E)이 관찰됩니다. 양쪽 zygomatic, parotid, submandibular salivary glands 모두 종대되어 관찰됩니다(그림 10. F, G, I). 환자는 투시 식도조영술에서 esophageal dysmotility가 관찰됩니다. 환자는 brachycephalic obstructive airway disease로 만성 상부 폐색성 질환이 gastroesophageal reflux 및 식도염을 유발하고, esophageal dysmotility로 인해 laryngitis, pharyngitis, 이로 인한 soft palate edema, 다시 상부 호흡기 증상이 악순환되는 aerodigestive disorders 상태로 생각됩니다. 또한 zygomatic, parotid, submandibular salivary glands의 종대가 심하게 관찰됩니다. Esophagus는 regurgitated gastric contents를 해소하기 위해 gravity, propulsive peristalsis, salivary secretion 세 가지 메커니즘으로 clearance 한다고 알려져 있습니다. 따라서 Impaired salivary gland function은 gastroesophageal reflux disease를 더 악화한다고 알려져 있습니다. 환자는 idiopathic phenobarbital responsive sialadenosis 상태도 고려되어 phenobarbital trial 및 위장염에 준한 치료를 실시했을 때 완전한 치료는 아니지만, 삶의 질은 상당히 개선되었습니다.



글을 마치며

개, 고양이의 상부 호흡기 질환은 복잡한 두개골과 경부 구조물로 인해 병변을 찾기가 쉽지 않을 뿐만 아니라 upper airway comorbidities, aerodigestive disorders가 흔합니다.

앞으로 수의 임상에서도 더 많은 증례 연구가 필요하며, 이에 따라 진단과 치료의 범주가 빠르게 확장 발전할 것으로 생각됩니다.


keyword