brunch

몸이 갑자기 피곤하고 복수가 생길 때! 의심해야 할 병

B형 간염에 대해 알아볼까요

by 전제혁

'B형간염'은 전세계적으로 2억 4천만명의 감염자가 있고, 매년 60만명 이상이 B형 간염과 관련된 질환으로 사망하는 무서운 질병입니다. 국내에서는 인구의 3% 내외의 유병률을 보이는 주요 질환이며 간경화(간경변), 간암 등을 일으킬 수 있는 B형 간염에 대해 알아보겠습니다.

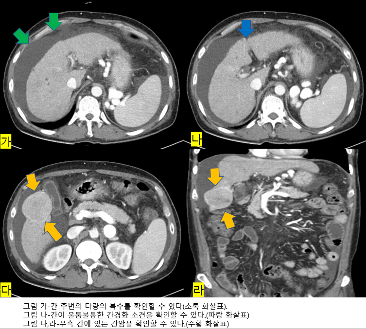
여름이 지나도 더위가 지속되어 반팔티셔츠를 입은 사람들이 거리를 활보하던 2022년 9월 중순, 발열을 주소로 50대 초반의 남자분이 응급실에 방문하였습니다. 환자분은 다리의 연조직염 (피부 균열이나 상처, 화상, 물집, 벌레물림, 수술 상처 등에 세균이 감염된 상태) 으로 인해 정형외과 입원 예정이었으나, 피검사에서 total bilirubin 이 6.03 mg/dL (참고치는 1.2 mg/dL 미만) 으로 상승되어 있고 황달이 심해 소화기내과에 의뢰되었습니다. 환자를 진찰하였을 때 양다리의 부종이 관찰되었고 복부 팽만이 심하였습니다. 정확한 평가를 위해 복부 CT 검사를 하였고, CT에서 복수와 간경화 그리고 우측 간에 약 5cm 크기의 간암이 의심되는 병변이 관찰되었습니다. (그림 1) 입원하여 검사 및 치료를 하기로 하였습니다. 복수를 빼기 위해 이뇨제를 투여하고, 알부민수치가 낮아 알부민도 처방하였고, 위내시경을 시행하여 식도의 정맥류여부를 확인하였습니다. 다행히 정맥류는 없었으나, 간암의 표지자인 AFP 이 12133.41 ng/mL (참고치는 8.78 ng/mL 미만) 으로 크게 상승되어 있었으며, 간 MR(자기공명영상) 검사에서도 간암의 소견이 명확하였습니다. 이 환자에게서 간암이 발생한 원인을 확인하기 위해 바이러스 검사를 하였고, 바이러스 검사에서 B형 간염 바이러스의 표면항원(HBsAg) 이라는 혈액검사가 양성이 나오고, 바이러스 DNA 역가 검사도 크게 상승되어 있었습니다. B형 간염에 의한 간암으로 확인이 되어 항바이러스제 투여를 시작하였습니다. 연조직염에 대해 정형외과와 협진하여 치료를 하고 간경화, 간암에 대한 보존적 치료를 열심히 하였고, 증상이 호전되어 퇴원하였습니다. 하지만 간암에 대한 근치적 치료를 하지 않으면 결국엔 사망까지 이를 수 있습니다. 간암에 대한 근치적 치료를 위해 이 환자에게서는 간이식이 필요하나, 간이식 공여자를 구하지 못한 상태로, 간성혼수가 반복적으로 생겨 입원치료를 반복하고 있습니다. 간성혼수란 간 기능이 많이 손상되어 각종 독성물질이 뇌 조직에 영향을 미쳐 신경전달의 이상이 초래됨으로써 의식, 행동 및 성격 변화, 신경 장애 등이 유발되는 것을 말합니다. 위의 경우처럼 B형 간염을 조기에 진단하고 치료하지 않으면 간경화, 간암이 발생하여 환자는 큰 고통을 겪게 되며, 간이식을 하지 못할 경우 생명이 위험해질 수도 있습니다.

그림1.png

그림 1 환자의 CT 사진


통계청에서 발표한 2018년 주요 암 발생자수를 보면 간암은 6번째를 차지할 정도로 흔하게 발생하며, 5년 상대생존율이 37% 밖에 되지 않습니다. (그림 2) 그만큼 간암은 발생율이 높고, 사망률이 높은 무서운 암입니다.

그림2.png

간암의 주요 위험인자는 B형간염 바이러스(72%), C형간염 바이러스(12%), 알코올(9%)입니다. 이외에 약물, 비만, 자가면역 등도 원인이 될 수 있습니다. 만성 B형 간염은 B형간염 바이러스가 우리 몸으로 전염되어 간에서 증식하면서 6개월이상 간에 염증을 일으키는 병입니다. 이경우 바이러스가 우리 몸에서 저절로 사라지는 경우는 거의 없어 추적관찰 및 치료가 필요합니다.

1) 그렇다면 만성 B형 간염 바이러스는 어떻게 걸리는(감염되는) 걸까요?
일상적인 접촉이나 같이 음식을 먹거나 하는 것으로는 감염되지 않습니다. 바이러스 농도가 높은 환자의 혈액이 내 몸 안의 혈액으로 들어올 때 걸릴 수 있습니다. 우리나라 만성 B형 간염의 대부분은 B형 간염 임산부로부터 출생한 신생아가 감염되는 경우입니다. 이를 수직감염이라고 하며, 신생아기에 감염되면 바이러스를 체내에서 제거할 수 있는 충분한 면역력이 없기 때문에, 90% 이상에서 만성 간염으로 진행하게 됩니다. 처음에는 무증상 보균자로 있지만, 성인이 되면서 염증이 악화되는 활동성 간염으로 진행할 수 있습니다. 만성 B형 간염 환자 중 약 40% 가 간경화로 진행할 수 있고, 간경화가 되면 간암 발생 위험도가 5~10배로 증가합니다. 성인이 되어 감염자의 혈액이나 체액에 노출되어 급성 B형 간염으로 진행되는 경우도 있는데, 이런 경우 일부에서는 만성 B형 간염으로 진행할 수 있어 주의를 요합니다.

2) 만성 B형 간염은 어떤 증상이 있나요?

간염이 걸려도 자각 증상이 없는 경우가 대부분입니다. 활동성 간염이나 간경화증 초기, 심지어 간암이 발생해도 초기에는 대부분 증상이 없습니다. 증상이 뚜렷해졌을 때는 이미 진행된 경우가 대부분입니다. 간암의 크기가 커지면서 암이 담도를 막아 황달이 발생할 수 있습니다. 암이 간피막을 뚫고 나와 신경을 침범해 통증을 느끼고, 간암이 터지면서 출혈로 인해 어지러움을 호소하고, 극심한 통증을 느끼게 됩니다. 이는 간암이 진행되었을 때 나타나는 증상입니다. 따라서 만성 간염이 있는 환자는 적어도 6개월에 1번씩은 꼭 혈액검사와 복부 초음파를 받아야 합니다. 초음파나 혈액검사에서 이상소견이 있으면 복부 CT 검사를 고려합니다.

3) 만성 B형 간염은 어떻게 진단하나요?

B형 간염 바이러스의 표면항원(HBsAg) 이라고 하는 혈액검사가 양성이 나올 경우 B형 간염 보유자(보균자) 라고 할 수 있습니다. 그 외 바이러스의 증식 등을 알기 위해서 바이러스 DNA 역가 검사 및 e항원 검사 등을 시행합니다.

4) 만성 B형 간염 보유자(보균자)는 어떤 상태를 말하는 건가요?

몸 안에 바이러스를 보유하고 있으나 특별히 간 염증 수치의 상승이 없고 바이러스 감염으로 인한 특별한 이상 소견이나 증상이 없는 상태입니다. 무증상 보유자도 몸의 면역체계와 바이러스가 싸우는 면역 활동기로 진행할 수 있어 꾸준한 추적관찰이 필요하며, 활동기인 경우 항바이러스제 복용이 필요합니다.

5) 만성 B형 간염이면 모두 약을 먹어야 하나요?

혈압이 조금 높은 환자들은 혈압약을 바로 먹지 않고 체중관리와 운동 등의 생활요법을 먼저 하듯이 만성 B형 간염 환자도 B형 간염 바이러스 농도, 간수치, 간질환 진행정도 등을 토대로, 항바이러스제 치료 대상을 선정하여 치료합니다. 만성 B형 간염 투약 치료는 간염이 활동성인 경우에 시작합니다. 간염이 활동성인 경우에 치료를 하지 않는다면 간경화로 진행할 가능성이 40% 이상으로 올라갑니다. 하지만 약을 매일 빼먹지 말고 잘 복용한다면 간경화로 진행될 위험을 거의 완전히 차단할 수 있습니다.

6) 만성 B형 간염은 어떤 약으로 얼마나 치료하나요?

항바이러스제 복용을 시작하면 절대로 자의로 중단하거나 약을 불규칙적으로 복용하면 안 됩니다. 하루 한 번 1알의 약을 꾸준히 복용하면 바이러스의 증식을 억제하여 간염에 의한 간손상을 매우 효과적으로 차단합니다. B형 간염 표면항원이 없어지는 경우를 제외하고는 항바이러스제를 평생 복용해야 합니다. 항바이러스제 복용을 평생 지속해야 하는 이유는, 약이 간염 바이러스를 억제할 수는 있지만, 바이러스를 없애는 완치를 이루지 못하기 때문입니다. 드물게 100명 중에 1명 정도는 B형 간염 표면항원이 없어지기도 하는데, 이런 경우를 제외하고는 평생 복용한다고 생각하고 약을 복용해야 합니다. 최근에 사용하는 약들은 장기간 투약해도 부작용이나 약제 내성이 거의 발생하지 않으므로, 걱정하지 말고 꾸준히 드셔야 합니다. 드물게 골감소증이나 신장기능의 악화가 생길 수 있으나, 의료진은 꾸준히 검사를 하여 확인하기 때문에 걱정 안 하셔도 되겠습니다. 약을 중단하면 3개월 뒤에 바이러스가 재검출되므로 절대 중단해서는 안 됩니다.

7) 만성 B형 간염환자에서 B형 간염 표면항원이 없어지면 병원에 안 와도 되나요?

B형 간염 표면항원이 없어지는 경우를 완치라고 하는데, 이 경우 1년 정도 약을 더 쓰고 중단하는 것을 고려합니다. 하지만 이 경우에도 6개월 마다 간암이 생기는지 추적관찰 (초음파와 혈액검사 등) 이 필요합니다. 간염을 치료하지 않으면 정상인에 비해 간암 발생이 60배 정도 위험하고, 간염을 치료하면 6배 정도 위험하고, 표면항원이 없어져도 3배 정도 위험하기 때문입니다. 따라서 표면항원이 없어져도 간암 발생에 대해 꾸준히 주의를 해야 합니다.

8) 만성 B형 간염은 어떻게 예방해야 하나요?

B형 간염 예방을 위해서는 만성 B형 간염에 걸린 임산부가 출산시 신생아에게 바이러스가 전파되는 수직 감염을 예방하는 것이 중요합니다. 태어날 때 모체에 있던 혈액이 신생아에 묻게 되므로, 출생 직후 B형 간염 면역 글로불린과 백신접종을 해야 합니다. 면역 글로불린은 신생아에 전염된 B형 간염 바이러스를 중화시키고, 백신접종을 하여 아기가 빨리 항체를 갖도록 합니다. 이렇게 할 경우 90~95%에서 간염의 전파를 예방할 수 있습니다. 감염자의 혈액이나 체액에 노출되어 발생하는 수평 감염도 있기 때문에, 성인이 된 후에도 백신 접종을 통해 방어항체를 형성해야 합니다. 0,1,6개월 총 3회 백신을 접종하면 약 90%에서 항체가 생깁니다. 따라서 B형 간염 환자의 가족이나 혈액투석을 받는 분들, 감염된 혈액에 노출될 가능성이 있는 의료계 종사자들은 간염 보호항체 유무를 꼭 확인해야 합니다.

9) B형 간염 치료에 해로운 것은 어떤 것이 있을까요?

3가지를 주의해야 합니다. 1. 술 2. 비만 3. 담배입니다. 술과 비만은 간의 섬유화를 악화시킬 수 있어 주의가 필요합니다. 담배는 간암을 일으킬 수 있어 가능하면 담배를 끊는 것을 권유합니다.


B형 간염에 대해 살펴보았습니다. B형 간염에 걸렸다 하더라도, 약을 꾸준히 잘 먹으면 간경화나 간암 등의 질병 진행을 억제할 수 있습니다. 설혹 질병이 진행된다 하더라도 6개월 마다 꾸준히 혈액검사와 초음파를 받으면, 간암의 발생을 조기에 발견할 수 있습니다. 꾸준한 검사와 치료로 B형 간염을 잘 조절하시길 바랍니다. 최근에 B형 간염 완치를 위한 치료제를 꾸준히 개발하고 있으니 약을 잘 복용하면서 좋은 결과를 기다려보셔도 좋을 것 같습니다.

참고문헌: 2022 대한간학회 만성 B형간염 진료 가이드라인

keyword
작가의 이전글빈혈, 철분제만 먹으면 될까요?