췌장의 물혹이 발견되면 어떻게 해야 할까요?

쉽게 알려주는 소화기질환 시리즈(2)

by 전제혁

칠순잔치라는 말이 기억나시나요? 지금은 70살이 되었다고 하더라도 큰 잔치를 하지 않고 가족끼리 간단히 밥을 먹으면서 축하하는 경우가 대부분입니다. 하지만, 90년대 초중반까지만 해도, 마을 사람들이 모두 모여서 칠순을 축하하기 위해 춤도 추고, 노래도 부르면서 즐겁게 보냈습니다. 불과 20여 년 전의 일인데, 현재는 보기 드문 일이 되었습니다. 보건복지부에서는 2021년 7월 ‘경제협력개발기구(OECD) 보건통계(Health Statistics) 2021’의 주요 지표별 우리나라 및 각 국가의 수준과 현황 등을 분석, 발표했습니다. 우리나라 국민의 기대수명은 OECD 국가의 평균 81.0년보다 높은 83.3년으로 OECD 국가 중 상위권에 속했습니다. 이는 1970년의 62.3년, 1990년의 71.7년에 비해 크게 증가하였습니다. (그림 1 통계표 참조)

그림1.png 그림 1: 1970년의 기대수명은 62.3 세인데 비해, 2019년의 기대수명은 83.3 세로 20년 이상 기대수명이 증가한 것을 확인할 수 있다.


하지만, 평균수명이 늘어나고, 국가검진을 받을 때 복부 초음파나 CT 등의 검사를 같이 받는 분들이 늘어나면서, 췌장의 물혹이라고 불리는 췌장의 낭성 병변의 발견이 증가되고 있습니다. 췌장암은 2018년 국가암 등록 통계에 따르면 5년 생존율이 12.6% 밖에 되지 않아 가장 많이 발생하는 10대 암 중에 생존율이 가장 낮아, 췌장에 물혹이 있다고 진단되는 분들이 겁을 많이 먹고 바로 종합병원 또는 상급 종합병원에 방문합니다.

하지만, 췌장의 물혹은 10만 명 중에 약 3.3명만 암이 된다는 보고가 있어 암의 발생률이 매우 낮습니다. 따라서 굳이 상급종합병원으로 가지 말고, 집에서 가까운 종합병원의 소화기내과 전문의에게 지속적인 추적관찰을 받으면 됩니다. 하지만 췌장의 물혹 중 일부는 암이 될 가능성이 높아 자신이 가진 물혹이 어떤 종류인지 아는 것이 필요합니다.


1. 췌장물혹 (췌장 낭성 병변) 이란?
물혹은 말 그대로 속에 액체가 차 있는 혹을 말합니다. 이 물혹은 3가지로 나뉩니다. 가성낭종과 양성물혹, 그리고 악성물혹입니다. 가성낭종은 급성 췌장염 등으로 췌장이 손상되어 생긴 물혹으로, 약 86% 정도는 시간이 지나면서 자연적으로 사라지며, 암이 되지 않습니다. 다만 사라지지 않는 물혹 중에 일부는 복통이나 황달 등의 증상을 유발하여 내시경초음파를 이용한 치료가 필요하기도 합니다. 양성물혹은 암으로 변할 가능성이 있는 물혹과 변할 가능성이 없는 물혹으로 나뉩니다. 이 물혹이 있는 경우에는 CT와 MR, 그리고 내시경 초음파 등의 검사로 어떤 물혹인지 구분을 해야 합니다. 장액성 낭성 종양(Serous cystic neoplasm)을 제외한 관내 유두상 점액성 종양(Intraductal papillary mucinous neoplasm), 점액성 낭성 종양(Mucinous cystic neoplasm), 고형 가성 유두상 종양(Solid pseudopapillary neoplasm) 등은 암으로 진행할 가능성이 있어 수술을 고려하게 됩니다.


2. 췌장물혹은 어떤 경우에 수술을 하지 않고 추적관찰을 하나요?
관내 유두상 점액성 종양은 2개로 나뉘는 데, 주췌관과 연결되어 있는 main duct 형태와 췌관의 가지와 연결되어 있는 branched duct 형태로 나뉘며, Branched duct 형태의 관내 유두상 종양은 물혹의 크기, 주췌관의 확장정도, 물혹 내부에 mural nodule이라고 불리는 덩어리가 관찰되는지에 따라 수술을 해야 할지, 아니면 주기적으로 추적관찰을 할지 고려합니다. 사실 이런 용어를 환자들이 알고, 자신이 어떤 종양인지 알면 좋겠지만, 한국말도 어렵고, 영어는 더더욱 어렵습니다. 그래서 쉽게 정리하면, 물혹 내부의 물이 끈적끈적하면 점액성 종양, 그렇지 않고 미끈미끈하면 장액성 종양으로 나뉘고, 장액성 종양은 암이 발생할 가능성이 낮으나, 점액성 종양은 암이 생길 수 있어 지속적인 추적관찰이 필요합니다. 환자들은 본인이 점액성 종양인지. 장액성종양인지만 아셔도 충분합니다. 점액성 종양이라면 꾸준한 추적관찰이 필요하고, 상황에 따라 수술을 고려해야 합니다. 예를 들어 보겠습니다. 68세 여자환자분이 검진 위내시경에서 십이지장 유두부에 이상소견이 있어 내원하였습니다. 유두부가 이전 내시경에 비해 확장되어 있었습니다. (그림 2-a) 해당부위를 특수내시경으로 확인해 보았을 때 부어 있는 유두부에서 췌장에서 나오는 것으로 추정되는 다량의 액체가 흘러나오고 있었습니다. (그림 2-b)


캡처_2025_01_01_14_29_23_587.png 그림 2-a. 이전 내시경과 달리 십이지장 유두부가 부어있다. 그림 2-b. 특수내시경으로 관찰 시 부어 있는 유두부에서 다량의 액체가 흘러나오고 있다


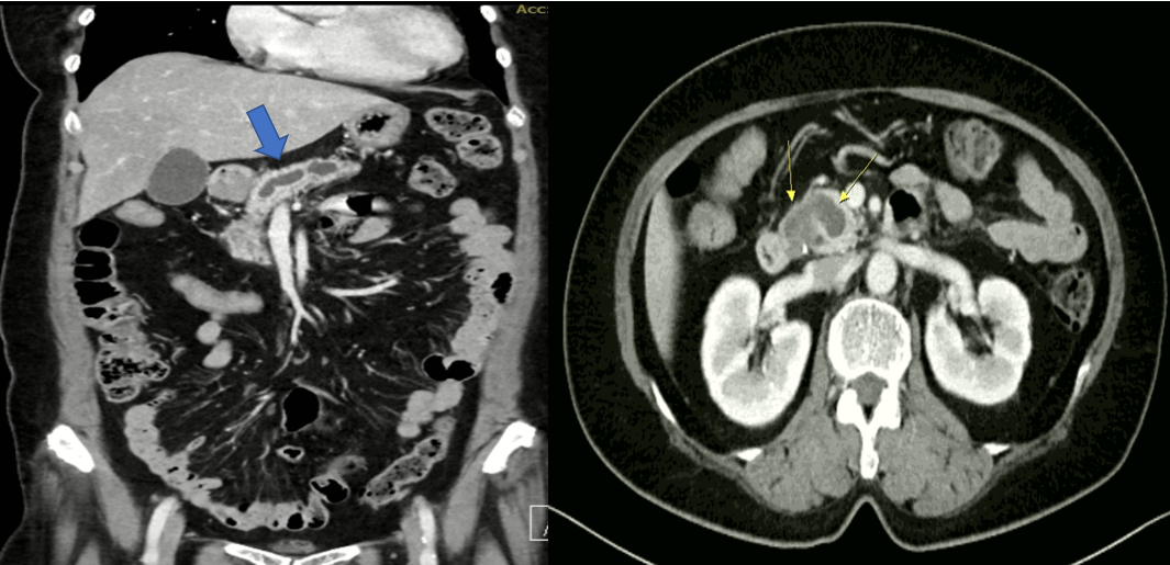
복부 CT에서 췌관의 확장이 관찰되며, 췌장의 머리 쪽에 약 2.5cm 크기의 물혹이 관찰되며 물혹 내부에 고형 물질이 의심되었습니다. (그림 3)

캡처_2025_01_01_14_31_00_809.png 그림 3. CT에서 췌관의 확장이 관찰되며 (파란 화살표), 췌장의 머리 쪽에 약 2.5cm 크기의 물혹이 있고 내부에 고형의 물질이 의심됨.(노란 화살표)


내시경 초음파를 사용하여 관찰하였을 때에 물혹 내부에 단단한 결절이 관찰되어 해당부위에서 조직검사를 시행하였습니다. (그림 4)

캡처_2025_01_01_14_33_04_665.png 그림 4-a. 물혹 내부에 단단한 결절이 의심된다. (파란 화살표) 그림 4-b. 내시경 초음파를 이용하여 바늘을 삽입하여 조직검사를 시행하고 있다. (녹색 화살표)

조직검사에서 비전형적인 세포(atypical cell)가 관찰되어 암이 숨어 있거나, 암 전 단계의 세포가 숨어 있을 가능성이 높다고 판단되어 췌장수술을 받기로 하였습니다.
이 환자의 경우는 내시경 초음파를 통해 조직검사를 하였기 때문에, 췌장암이 의심되는 병변을 조기에 발견할 수 있었습니다. 수술을 받는 것은 환자에게 큰 두려움이고, 고통이지만, 암을 조기에 수술하는 것은 매우 중요합니다. 특히 췌장암은 1년 만에도 4 기암으로 발견되는 경우가 종종 있어 췌장물혹에 대한 주기적인 검사는 중요합니다. 또한, 췌장물혹이 있다고 하여 모두 수술을 하는 게 아니고, 수술이 필요 없는 사람도 있으므로, 그런 경우에는 CT와 MRI 그리고 내시경 초음파를 사용하여 주기적인 추적관찰을 해야 합니다.


췌장물혹이 있다고 건강검진에서 판정을 받아도, 너무 무서워하지 말고, 췌장, 담도에 대한 진료가 가능한 소화기내과 전문의에게 진찰을 받으시길 바랍니다. 본인이 가진 물혹이 어떤 종양인지 알고, 의사와 상의하여 정기적인 추적관찰을 한다면, 설혹 암이 발견된다고 하더라도 조기에 진단할 수 있습니다. 의사로서 가장 안타까울 때는, 의사의 권고를 따르지 않고 병원에 오지 않다가, 황달이나 체중감소 등의 증상이 있을 때 방문하여 4기 암으로 진단될 때입니다. 위의 사례처럼 정확한 검사를 통해 췌장암을 조기에 진단할 수 있습니다.


췌장물혹이 발견되면 어떻게 해야 할까요?


정답은 “본인이 어떤 췌장물혹인지 확인하고, 의사의 권고대로 추적관찰을 해야 합니다.”입니다.






매거진의 이전글한국인의 절반이 감염된 헬리코박터균. 치료해야 하나요?