무릎 연골 줄기세포치료

제대혈 줄기세포를 이용한 연골재생술

우리가 흔히 이야기하는 관절염이라고 하는 것에 대한 원인을 생각하면 결국엔 무릎의 연골 결손인데요 이는 계단을 내려갈 때나 아니면 무릎에 충격이 가해졌을 때 혹은 무릎이 시큰거리면서 부을 때 의심해야 합니다. 오늘은 스스로 재생이 안된다는 무릎 연골 결손에 효과적인 치료 방법인 무릎 연골 줄기세포 치료에 대해서 알려드리고자 합니다.


무릎이 자꾸 부어요

환갑이 되지 않은 여자분이신데, 오른쪽 무릎만 반복적으로 통증이 와서 내원하신 분입니다. 걸을 때도, 계단을 내려갈 때도, 쪼그려 앉으려고 할 때도 무릎에 통증이 느껴져서 원인 치료를 하고자 오셨습니다.


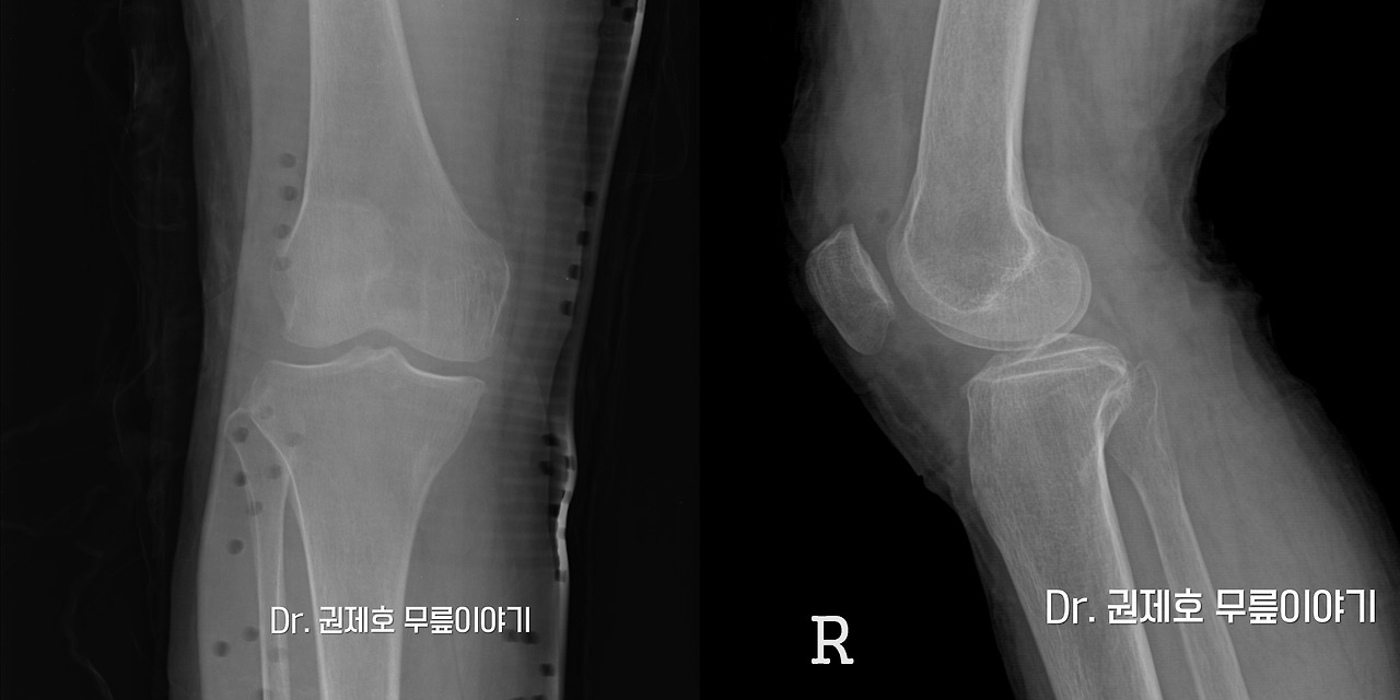
기본 검사

무릎에 통증이 오신 분이면 누구나 검사를 진행하게 됩니다. 무릎의 뼈, 혹은 관절에 이상 유무를 확인하고자 하는 것인데요


무릎연골줄기세포치료 (13).jpg

이 분의 경우 사진을 보면 사진에 뼈가 자라난 소견이 관찰되고 있습니다. 이는 무릎이 더 이상 힘을 받지 못해서 자라는 뼈로 골극이라고 표현을 합니다. 뒤에서 바라본 사진으로 로젠버그 사진이라고 표현을 하는데 이는 실제 걸을 때 무릎에 가해지는 현상을 반영하는 사진으로 무릎 연골에 결손이 있어 관절염이 진행된 분들에게 유용한 사진입니다. 이 분의 경우를 보면 관절 간격에 감소는 미미하게 관찰되고 있습니다.


정밀검사

무릎연골줄기세포치료 (16)-horz.jpg

무릎의 연골 결손을 확인하기 위한 검사는 MRI입니다. 사진에서 보면 연골이 깨진 모습이 관찰되고 있는 것을 확인하실 수 있습니다.


무릎 연골 결손의 치료는?

하나만 보고 결정하면 안 되고 전체적인 무릎을 봐야 합니다. X선 사진에서 무릎에 골극이 관찰되고, MRI에서 연골의 결손이 관찰되고, 휜다리 검사에서 보면 휜다리가 없지만, 무릎에 통증은 지속되며, 보존적인 치료 방법으로는 효과가 없는 경우 받아야 할 치료는 무릎 연골 줄기세포치료입니다.


무릎 연골 줄기세포치료 과정

무릎연골줄기세포치료 (11).jpg

관절경을 이용하여 치료를 진행하게 되고, 사진에서 보면 무릎 연골이 결손 된 부위를 확인할 수 있습니다.


무릎연골줄기세포치료 (3).jpg

깨진 연골은 놔두게 되면 관절 안에서 돌아다니게 되어 유리체를 만들게 되므로 제거하게 됩니다.


무릎연골줄기세포치료 (10).jpg

지침자를 이용하여 결손 부위를 크기를 측정하게 됩니다.


무릎연골줄기세포치료 (9).jpg

주변에 명확하지 않은 경계선을 명확하게 하여 줄기세포가 안착할 수 있게 다듬어 줍니다.


무릎연골줄기세포치료 (8).jpg

그러고 나서 천공술을 시행하여 무릎 연골 줄기세포 치료에 대한 준비를 하게 됩니다.


무릎연골줄기세포치료 (6).jpg

천공술이 모두 완료하게 되면,


무릎연골줄기세포치료 (5).jpg

꼭 관절경 할 때 사용하는 물을 모두 제거하여 만든 구멍에서 혈류가 있는지를 확인하게 됩니다.


무릎연골줄기세포치료 (4).jpg

주사기를 이용하여 줄기세포를 모든 구멍 깊숙이부터 채워주고, 나머지를 위에 도포하게 됩니다. 그럼 무릎 연골 줄기세포 치료를 마치게 됩니다.


무릎연골줄기세포치료 (2)-horz.jpg

무릎 연골 결손에 대한 치료가 끝나고 나면 다시 X선 감사를 진행하게 되지만, 눈에 띄는 변화는 없습니다.


무릎 연골 줄기세포 치료 후 재활

몸의 한 부분을 재생하거나 보존하는 과정은 치료받는 분을 힘들게 하는 경향이 있습니다. 무릎 연골 줄기세포 치료도 마찬가지입니다. 연골이 다시 재생되는 데는 일부분의 시간이 필요하기에 처음 한 달 동안은 체중이 실리면 안 되게 목발을 이용하여 생활해야 합니다. 그러고 나서는 천천히 걷기 시작하면서 차근차근 목발을 안 하고 걸을 수 있게 재활을 열심히 받아야 합니다. 일반적으로 무릎 연골 줄기세포 치료 후 회복기간은 빠르면 3개월에서 늦으면 1년으로 이야기하고 있는 만큼 인내심을 가지고 재활을 받아야 합니다. 조금은 힘들지만 추후 재생되는 연골을 위해서 무릎에 신경을 써주셔야 할 것 같습니다.




이 글은 정형외과 전문의 Dr. 권제호가 무릎 연골 손상으로 제대혈 줄기세포를 이용한 연골재생술을 고려중인 분들에게 조금이나마 도움을 드리고자 직접 작성한 글입니다


SNS

http://jh1000kwon.blog.me

keyword