brunch

병중일기 20

마지막

by KIDAE 기대

또다시 검진 날이 다가왔다. 원래는 이번 검진 날 MRI 검사를 하기로 했는데 29만 원이라는 비싼 가격 때문에 하지 않기로 했다. 얼마 전에 대학병원에서 엑스레이로 검진을 받았기 때문에 굳이 비싼 돈을 내면서 검사할 필요가 없다고 생각했다.


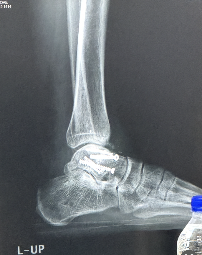
의사 선생님이 CT와 X-ray로 검진을 하자고 했다. CT와 X-ray촬영 후 다시 검진을 받았다. 의사 선생님의 소견은 이전과는 달랐다. 나는 가장 불편한 것이 발목이 수직이 아닌 상태로 굳어져 발을 딧지 않다가 딛으려고 할 때 절 수밖에 없다는 것이라고 했다. 의선생님은 그 부분은 조금씩 나아지고 있으니 좀 지켜보자고 하셨다.


거골이 완전히 매끄럽게 붙지 않아서 표면이 거칠다고 했다. 지금은 연골이 중간에 있어서 괜찮지만 조금이라도 문제가 생기면 재수술을 할 수도 있다고 하셨다. 그러고는 될 수 있으면 발을 앞으로 꺾는 운동이나 지속적으로 발 앞복으로 체중을 싣는 행동을 하지 말라고 하셨다. 아직 달리응 것이 서툴러서 연습을 하고 있었는데 이것도 중단해야 했다.


내 나이가 아직 젊고 발을 쓸 시간이 많이 남아있기 때문에 최대한 아껴 쓰길 바라 신 것 같다. 평소에는 잊고 있다가 다시 검진날이 되어 설명을 들으니 더 조심해야겠다는 생각이 들었다. 지금이야 부모님이 계셔서 나에게 문제가 생겨도 케어를 해줄 수 있지만, 더 나이가 들고 그때 문제가 생기면 어떻게 될지 모르는 일이다.



의사 선생님은 1년 뒤에 꼭 오라고 하셨다. 그리고는 MRI 검사는 중간에 시간 나면 와서 받으라고 하셨다. MRI 검사를 하면 연골의 물성이 질이 좋은지 아닌지 판단할 수 있기 때문에 줄기세포 수술에 의한 연골 재생이 잘 되었는지 확인할 수 있다고 하셨다.


다리가 많이 나았으니 재취업을 준비하기 시작했다. 건강이 나쁠 때는 건강만 돌아오면 좋겠다는 생각을 했는데, 막상 건강해지니 더 많은 것을 바라게 된다. 인간의 욕심을 끝이 없는 것 같다. 요즘 힘이 들 때에는 다리를 다치고 침대에 누워 아무것도 할 수 없을 때를 생각한다. 이렇게 많이 회복되어서 일반 사람들과 구분이 안 갈 정도로 걸을 수 있게 되었는데 일상 생활을 할 수 있는 것 마저도 감사해야 한다고 말이다. 그러고는 뭐든 할까? 말까? 고민하게 되는 상황이면 무조건 하는 쪽으로 방향을 잡는다. 침대에서 일어나니 짧은 인생 안 하고 후회하는 것보다는 하고 후회하는 편이 낫다는 생각이 커졌다.


부디 1년 뒤에는 더욱 건강해 졌으면 좋겠다. 그리고 아프고 나서 다짐했던 마음을 잊지 않고 살아가길 바란다.

keyword
작가의 이전글분위기를 바꾸는 방법