3차신경통 증상? 병원 약 먹어도 그대로면 보세요

혹시 이런 <실수>하고 계신 거 아닌가요?

by 콕 선생님


진료실에서 10년 넘게 환자분들을 만나면서...

정말 다양한 사연을 듣게 됩니다.


그 중에서도 몇 주 전 만난 한 환자분의 이야기는

아직도 제 마음에 깊이 남아있어요.


안녕하세요.

3차신경통 때문에 힘드시죠?

그 마음 저도 압니다…

제 주변에도 이 지긋지긋한 신경통으로

몇 주, 몇 달을 고생하던 분이 있거든요.


그 분이 이것만 알았더라면 금방 나았을 텐데…

공부하고 보니 아쉬움이 많이 남더라고요.

더는 신경통으로 고생하는 환자들이 힘들어하지 않고

웃으며 돌아갈 수 있기를 바라는 저는,

콕통증의학과 신경과 전문의 조성호입니다.


그림8.png


오늘은 조금 특별한 이야기를 해보려고 하는데요.


사실 의사로서 글을 쓴다는 게 쉽지 않습니다;;

환자분들의 개인정보는 보호해야 하고,

너무 의학적인 얘기만 하면 딱딱하고...


그래도 이번 사례만큼은 꼭 나누고 싶어서

키보드를 두드리고 있어요.


왜냐하면 이 환자분의 경험이

지금 비슷한 고통을 겪고 계실 분들에게

조금이나마 도움이 될 수 있을 것 같거든요.


평범한 발치가 불러온 악몽


그날도 평범한 외래 진료 시간이었습니다.

예약 명단을 보니 '발치 후 안면 통증'이라고 적혀있더라고요.


처음엔 단순한 발치 후유증이겠거니 했는데...

진료실 문을 열고 들어오신 환자분의 표정을 보는 순간

'아, 이건 보통 문제가 아니구나' 싶었어요.


얼굴 왼쪽을 조심스럽게 감싸고 계셨고,

말씀하시는 것조차 힘들어하시는 모습이었거든요.


며칠 전 발치를 하신 이후로

왼쪽 얼굴 전체에 찌릿한 통증이 느껴지기 시작했다고 하셨어요.


윗입술, 윗니는 물론이고

심지어 이마까지 이어지는 날카로운 통증...


양치질은 당연히 불가능하고,

식사도 고통스러워서 일상생활이 완전히 무너진 상태였죠.


그림9.jpg [저를 만나러 오는 환자분들을 볼 때면 최선을 다해야 겠다는 마음이 갈수록 커집니다. 후회하지 않게 만들어 드리겠습니다.]


환자분 말씀으로는 처음에 단순한 발치 후유증으로 생각해서

다른 병원에서 약물치료를 받았는데

전혀 나아지지 않아서 저희를 찾아오셨다고 하더라고요.


10년 가까이 신경과 전문의로 일하면서

어느 정도 '감'이라는 게 생기거든요.


이 환자분의 증상 패턴을 들으면서

'이건 3차신경통이다'라는 확신이 들었어요.


하지만 의학은 추측이 아니라 근거가 중요하죠.

환자분께 상황을 설명드리고

뇌 MRI 검사를 권했습니다.


"선생님, 정말 MRI까지 해야 하나요?

단순한 발치 후유증 아닐까요?"


환자분의 걱정스러운 표정이 지금도 기억나네요.


하지만 정확한 진단 없이는

제대로 된 치료를 할 수 없거든요.


✅ 3차신경의 염증 여부 확인

✅ 혈관에 의한 신경 압박 여부 확인

✅ 종양이나 다른 병변 배제


이 모든 것들을 정확히 파악하기 위해서는

MRI만한 검사가 없어요.


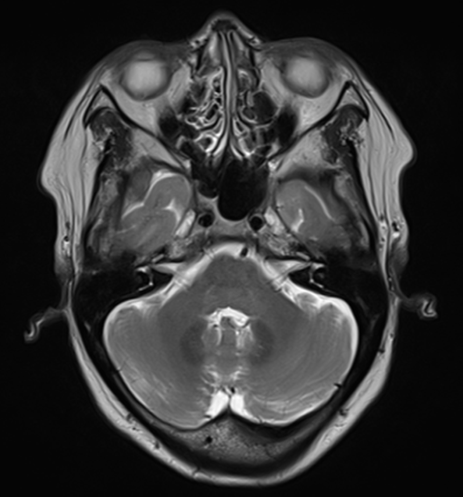
그림10.png 촬영 일시: 2025.07.01

<Fig 1. 뇌 MRI>


검사 결과를 보는 순간...

역시나 제 예상이 맞았습니다.


3차신경에 뚜렷한 염증 소견이 보였어요.

환자분께 결과를 설명드릴 때

복잡한 감정이 들었습니다.


한편으로는 '다행히 정확한 원인을 찾았다'는 안도감,

다른 한편으로는 '환자분이 얼마나 고생하셨을까'하는 안타까움...


그래서 설명드렸죠.

3차신경통은 얼굴의 감각을 담당하는

3차신경에 문제가 생겨서 발생하는 질환이라고요.


발치라는 외상이 방아쇠 역할을 해서

잠들어 있던 신경의 문제가 깨어난 것 같다고요.


치료의 시작, 그리고 기대반 걱정반


치료 계획을 세울 때 저는 항상 두 가지를 고려해요.


1️⃣ 즉시 통증을 완화시킬 수 있는 방법

2️⃣ 근본적인 원인을 해결하는 방법


이 환자분의 경우에는

약물치료와 SI(초음파유도하) 치료를 병행하기로 했습니다.


SI 치료에 대해 설명드릴 때

환자분의 표정이 조금 불안해 보이더라고요.


"아픈 건 아니죠? 무서운 시술인가요?"


이런 걱정을 하시는 분들이 정말 많아요 ㅜㅜ

SI 치료는 초음파로 정확한 위치를 확인하면서

3차신경 부위에 직접 약물을 주입하는 치료법이에요.


기존의 먹는 약만으로는 한계가 있을 때

효과적으로 신경의 염증을 가라앉히고

압박을 줄여주는 치료죠.


그림11.png 촬영 일시: 2025.07.01

<Fig 2. SI(초음파유도하)주사치료 진행 영상>


첫 번째 SI 치료 후 일주일 뒤...

환자분이 다시 오셨을 때의 표정은 정말 달랐어요.


"선생님! 양치를 할 수 있어요!"


그 한 마디에 제 마음도 덩달아 밝아졌어요.


물론 아직 완전히 나은 건 아니었지만

확실히 통증의 강도가 줄어들었다고 하시더라고요.


✔️ 양치질이 가능해짐

✔️ 간단한 식사가 가능해짐

✔️ 말할 때의 통증이 현저히 감소


이런 작은 변화들이 환자분에게는

정말 큰 희망이 되었을 거예요.


두 번째, 세 번째 치료를 거치면서

점점 더 나아지는 모습을 보니

의사로서 정말 뿌듯했습니다.


그리고 약 한 달 후...

환자분은 거의 정상적인 일상을 되찾으셨어요.


마지막 진료 때 하신 말씀이 아직도 기억나네요.


"처음에 정말 절망적이었는데,

선생님 덕분에 다시 살 것 같아요."


이런 말을 듣기 위해 의사를 하는 것 같기도 해요. ㅎㅎ


그림12.png


3차신경통, 이런 증상이라면 의심해보세요


이 환자분의 사례를 통해 말씀드리고 싶은 건...

혹시 여러분도 비슷한 증상을 경험하고 계신다면

단순한 치과 문제로만 생각하지 마시라는 거예요.


✔️ 얼굴 한쪽의 찌릿한 통증

✔️ 양치질이나 식사 시 극심한 통증

✔️ 가벼운 접촉에도 심한 통증

✔️ 통증이 이마, 뺨, 턱으로 퍼지는 양상


이런 증상들이 있다면

3차신경통을 의심해볼 필요가 있어요.


특히 치과 시술 후에 이런 증상이 나타났다면

더욱 주의깊게 살펴봐야 합니다.


오늘 이 글을 쓰면서

그 환자분의 밝아진 표정이 계속 떠오르네요.


의사로서 가장 보람을 느끼는 순간이

바로 이런 때인 것 같아요.


고통 속에서 절망하던 환자분이

다시 웃음을 되찾는 모습을 볼 때...

정말 이 일을 하길 잘했다는 생각이 들어요.


그림13.jpg


혹시 지금 비슷한 고통을 겪고 계신 분들이 계시다면

절대 혼자서 끙끙 앓지 마시고

전문의의 도움을 받아보세요.


정확한 진단만 받으면

분명히 해결책이 있을 거예요.


그리고 무엇보다...

희망을 잃지 마세요.


지금은 아프고 힘들겠지만

분명히 나아질 수 있습니다.


이 글이 누군가에게 조금이나마 도움이 되었으면 좋겠네요.

건강한 하루 보내세요!

조성호 드림



keyword
매거진의 이전글왼팔저림 원인? 통증 증상 심해져서 병원 5군데 갔다면