오른손 저림 원인? 오른손가락 찌릿 증상 목디스크일까요

<신경과 전문의> 이야기 한번만 들어보세요

by 콕 선생님

"원장님, 저 정말 이상해요.

목디스크 치료를 6개월이나 받았는데

손 저림이 전혀 나아지지 않아요..."

몇 주 전 진료실에서 만난 30대 환자분의 첫마디였습니다.

직업상 손을 많이 사용하시는 분이셨는데,

양쪽 손 저림과 손목 통증 때문에

일상생활이 너무 힘들다고 하시더라고요.

사실 이런 케이스,

저희 진료실에서 정말 자주 만나게 됩니다.

목디스크라는 진단을 받고

열심히 치료받았는데도 손 저림이 계속되어서

"혹시 제가 치료에 반응하지 않는 특이한 체질인가요?"

하며 걱정스러워 하시는 분들 말이에요.

하지만 제가 지금까지 수많은

손 저림 환자분들을 진료해보면서 느낀 점이 있어요.

손 저림의 진짜 원인이 목디스크가

아닌 경우가 생각보다 정말 많다는 것.

안녕하세요.

원인이 불분명한 신경병증으로 밤잠 설치는 분들을

저는 너무 많이 봤습니다. ㅜㅜ


그렇기 때문에 그런 분들을 전부 만족시킬

<진짜 진료>라는 게 세상에 있다고 믿고,

그 신념을 지키기 위해 매일 노력하는

신경과 전문의 조성호 원장입니다.


그림7.png


오늘은 실제 제 진료실에서 있었던 일을 통해,

오른손 저림의 진짜 원인을 어떻게 찾아내는지

이야기해보려고 합니다.

진료실에서 만난 특별한 케이스

앞서 말씀드린 분은 정말 특이한 케이스였어요.

다른 병원에서 목디스크 진단을 받고

6개월간 치료를 받으셨는데,

손 저림과 손목 통증이 전혀 호전되지 않았던 거죠.

사실 반대 경우는 저희 통증 원장님들에게 많이 들었거든요.

손저림이 목디스크인 줄 모르는 케이스들 말이죠.


하지만 이분은 반대였어요.

그래서 더 신경 써서 진료를 진행했죠.


그런데 자세히 문진을 해보니 뭔가 이상했어요.



✅ 목을 움직일 때는 별로 아프지 않다고 하시네요

✅ 오히려 손목을 구부리거나 펼 때 저림이 더 심해진다고 해요

✅ 특히 밤에 자다가 손이 저려서 깨는 일이 자주 있다고 하고요

"이거... 목디스크 증상이 아닌데?"

저는 속으로 이렇게 생각했어요.

왜냐하면 진짜 목디스크로 인한 손 저림이라면

· 목을 특정 방향으로 움직일 때 증상이 심해지고

· 어깨나 팔 전체로 방사되는 통증이 함께 나타나며

· 손가락별로 저림의 정도가 다르게 나타나거든요

하지만 환자분의 증상은 이와는 완전히 달랐어요.

그래서 저는 바로 팔렌검사를 해봤습니다.

이 검사는 정말 간단해요.


그림8.jpg 출처 CLEVELAND CLINIC



손목을 90도로 꺾어서 1분 정도 유지하는 건데,

손목터널증후군이 있으면 저림이나 통증이 더 심해지거든요.

"어? 원장님, 이렇게 하니까 저림이 더 심해져요!"

반응을 보는 순간, 저는 확신했어요.

이분은 목디스크가 아니라 손목터널증후군이구나.

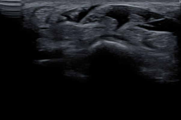
그래서 바로 초음파 검사를 진행했습니다.

초음파로 손목 부위를 자세히 살펴보니,

역시나 정중신경이 지나가는 터널 부위에

염증으로 인한 부종이 뚜렷하게 보이더라고요.


그림9.png 촬영 일시 2025.05.06

<fig 1. 손목터널증후군으로 진단된 초음파 영상>

"이제 왜 지금까지 치료가 안 됐는지 알겠어요.

목이 문제가 아니라 손목이 문제였거든요."

손목터널증후군, 정확히 알아야 치료된다

손목터널증후군은 정말 흔한 질환이에요.

특히 컴퓨터 작업을 많이 하거나,

손목을 반복적으로 사용하는 직업을 가진 분들에게 자주 발생하죠.

간단히 설명하면 이런 거예요

� 손목에는 '수근관'이라는 터널이 있어요

� 이 터널로 정중신경과 여러 힘줄들이 지나가는데

� 과도한 사용으로 인대에 염증이 생기면서 부어오르게 되고

� 그러면 좁은 터널 안에서 신경이 눌려서 저림이 생기는 거죠

"그럼 왜 다른 병원에서는 목디스크라고 했을까요?"


그림10.jpg 출처 orthoinfo


사실 이런 일이 종종 있어요.

손 저림 하면 일단 목디스크를 의심하게 되거든요.

하지만 정확한 진단을 위해서는

증상의 양상을 세심하게 관찰하고,

적절한 검사를 통해 확인하는 것이 중요해요.

진단이 확실해졌으니 이제 치료를 시작해야겠죠.

손목터널증후군 치료에서 가장 중요한 것은 두 가지예요

✔️ 염증 제거 부어오른 인대의 염증을 빠르게 가라앉히기

✔️ 인대 재생 손상된 인대를 근본적으로 치료해서 재발 방지하기

그래서 저는 환자분께 SI(초음파유도하)주사치료

체외충격파 치료를 함께 진행하기로 했어요.

먼저 초음파 가이드 하에

정확한 위치에 주사치료를 시행했습니다.

염증을 빠르게 가라앉히고

통증을 줄이는 것이 1차 목표였거든요.

그리고 무엇보다 중요한 체외충격파 치료를 병행했어요.

이 치료법이 정말 효과적인 이유는?


그림11.jpg

� 손상된 인대 조직에 충격파 에너지를 전달해서

� 혈관 신생을 촉진하고

� 자연 치유 과정을 활성화시켜

� 근본적인 조직 재생을 유도하기 때문이에요

치료를 시작한 지 2주가 지났을 때였어요.

이분이 진료실에 들어오시는데, 표정이 완전히 달라져 있더라고요 ㅜㅜ

"원장님! 정말 신기해요.

밤에 손 저림 때문에 깨는 일이 거의 없어졌어요!"

그리고 4주 차에는 더욱 놀라운 이야기를 해주셨어요.

"일하는 데 전혀 불편함이 없어요.

이전에는 손목이 아파서 마우스 쓰는 것도 힘들었는데,

지금은 하루 종일 작업해도 괜찮아요."

정말... 이런 순간이 의사로서

가장 보람된 순간인 것 같아요.

6개월간 고생하셨던 분이 제대로 된 진단과 치료로

이렇게 빨리 좋아지시는 걸 보면,

정확한 진단이 얼마나 중요한지 새삼 느끼게 되죠.

오른손 저림, 이런 증상이면 의심해보세요

제가 지금까지 많은 환자분들을 진료하면서 정리한

손목터널증후군의 특징적인 증상들이에요

밤에 더 심해지는 저림

자다가 손이 저려서 깨는 경우가 많아요.

이때 손을 털거나 주무르면 일시적으로 좋아지죠.

엄지, 검지, 중지 위주의 저림

새끼손가락까지 전체가 저린 게 아니라,

엄지부터 중지까지만 저린 경우가 많아요.

손목을 구부릴 때 악화

손목을 아래로 꺾거나 위로 젖힐 때 저림이 더 심해져요.

물건을 자주 떨어뜨림

손의 감각이 떨어져서 물건을 쥐는 힘이 약해지기도 해요.


그림12.png

이런 증상들이 있으시다면,

목디스크보다는 손목터널증후군을 의심해보시는 것이 좋을 것 같아요.

또, 이 환자분 케이스를 통해 제가 다시 한번 느낀 것은,

정확한 진단이 얼마나 중요한가 하는 점이에요.

똑같은 '손 저림'이라는 증상이라도

✔️ 목디스크로 인한 것인지

✔️ 손목터널증후군인지

✔️ 아니면 다른 원인인지

정확히 구분해서 그에 맞는 치료를 해야 효과를 볼 수 있거든요.

저도 X-ray에서는 보이지 않는 인대, 관절, 근육 상태를

초음파로 실시간으로 확인하면서

정확한 진단을 내리려고 노력하고 있어요.

그리고 MRI 같은 비싼 검사를

꼭 할 필요가 없는 환자분들은 미리 구분해서,

불필요한 검사 비용 부담을 덜어드리려고도 하고요 ;;

마지막으로 꼭 드리고 싶은 말은,

정확한 진단을 위해서는

✅ 증상의 양상을 세심하게 관찰하고

✅ 적절한 검사를 통해 확인하며

✅ 경험 많은 전문의와 상담하는 것이 중요해요

오늘도 진료하면서 느끼는 거지만,

아픈 분들이 건강을 되찾고

일상으로 돌아가시는 모습을 보는 것만큼

보람된 일은 없는 것 같아요.

오른손 저림으로 고생하고 계신 분들께

이 글이 조금이나마 도움이 되었으면 좋겠습니다.

감사합니다.

조성호 드림



매거진의 이전글갑자기 다리 힘풀림… 못 걷던 환자 치료했습니다