머리가 지끈지끈 찌릿찌릿 아파요 증상이 안 나아요

<두통약>으로만 버티면 거짓말 안 치고 10년 고생합니다

by 콕 선생님

아침에 일어나자마자 머리가 지끈지끈...

오후가 되면 뒷머리가 찌릿찌릿...

어깨까지 함께 아픈데 이게 대체 뭘까?

안녕하세요.

하루에도 수십 번 찾아오는 두통과 어깨 통증으로

일상이 무너지는 환자분들을 보며,


이번만큼은 꼭 원인을 찾아내고

다시 편안한 하루를 되찾게 해드리겠다는 마음으로

매일 진료실 문을 활짝 열고 있습니다.

저는 콕통증의학과 신경과 전문의 조성호입니다.


그림1.png

사실 이 글을 쓰게 된 건

며칠 전 진료실에서 만난 한 분 때문이에요.

20년 가까이 머리 아픔으로 고생하셨는데,

정작 원인을 제대로 찾아준 곳이 없었다는 거죠.

그분이 하신 말씀이 아직도 기억에 남아요.

"선생님, 저 정말 미칠 것 같았어요.

머리만 아픈 게 아니라 어깨까지 항상 누가 짓누르는 것 같고...

한의원도 가고 약도 온갖 걸 다 먹어봤는데 잠깐이더라고요."

이런 분들 정말 많이 만나거든요 ;;

그런데 신기하게도 대부분 비슷한 패턴이에요.

✅ 머리가 지끈지끈 찌릿찌릿 아프다

✅ 두통약을 먹으면 잠깐 나아지지만 또 아프다

✅ 여러 병원을 다녀봤지만 명확한 원인을 못 찾았다

✅ 스트레스나 긴장성 두통이라는 진단만 받았다

혹시 이 중에 해당되는 게 있으시다면,

오늘 제가 경험한 이야기를 한번 들어보세요.

20년간의 고통, 마지막 희망을 걸고 온 그분

그분은 정말 오랫동안 고생하셨어요.

처음엔 단순한 두통인 줄 알았는데,

점점 어깨까지 아프고 목도 뻣뻣해지고...

나중엔 우울하고 불안한 마음까지 생겨서

정신과 약까지 드시게 된 상황이었거든요.

솔직히 말하면 저도 처음엔 좀 당황했어요.

20년이라니... 보통 이 정도면 이미 여러 전문의들을 거쳐왔을 텐데

뭘 더 해드릴 수 있을까 하는 마음도 있었고요.

하지만 진료를 하면서 한 가지 확신이 들었어요.

이분의 머리 아픔은 단순한 '두통'이 아니라는 것.

그림2.jpg [항상 많은 환자분들로 붐비는 대기실을 바라보고 있습니다. 기다린 만큼 웃으며 돌아갈 수 있도록 노력하겠습니다.]


제가 자세히 문진해보니까 이런 특징들이 있었어요

� 머리 뒤쪽에서 시작해서 어깨로 내려오는 통증

� 목을 돌리거나 고개를 들 때 더 심해지는 양상

� 아침에 일어날 때 특히 뻣뻣하고 아픔

� 마사지를 받으면 잠깐 좋아지지만 다시 원상복구

아, 이건 전형적인 '경추성 두통'이구나.

경추성 두통이라는 건 쉽게 말해서

목뼈 문제로 생기는 머리 아픔이에요.

목뼈 사이의 디스크가 나이가 들면서 퇴행하고,

척추관이 좁아지면서 주변 신경들이 자극을 받게 되는 거죠.

그래서 단순히 머리만 아픈 게 아니라

목, 어깨까지 함께 아프게 되는 거예요.

저는 바로 경추 MRI를 찍어보자고 했어요.


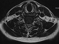
그림3.png 촬영 일시: 2025.04.30

<Fig 1. 경추 4-5, 5-6, 6-7번 세 마디 협착 동반한 디스크>


그랬더니 정말 예상대로...

여러 마디에서 디스크 퇴행이 진행되어 있었고,

3개 마디에서는 척추관 협착증까지 확인됐어요.

그분께 MRI 결과를 설명해드렸을 때 표정이 정말 인상적이었어요.

"아, 드디어 원인을 찾았구나" 하시면서

약간 안도하시는 것 같더라고요.

사실 이해돼요.

20년 동안 이유도 모르고 아팠는데,

드디어 명확한 원인을 확인했으니까요.

그래서 어떻게 치료했을까요?

이런 경우에는 약물치료만으로는 근본적인 해결이 어려워요.

물론 진통제나 근육이완제를 쓰면 일시적으로는 나아지겠지만,

구조적인 문제가 해결되지 않으면 계속 재발하거든요.

그래서 저는 PEN 시술을 제안했어요.

PEN이라는 건 Percutaneous Epidural Neuroplasty의 줄임말인데,

쉽게 말하면 가느다란 관을 통해 염증과 유착을 제거하는 시술이에요.

수술은 아니고, 국소마취 하에서 진행하는 시술이라

부담도 적고 회복도 빠른 편이거든요.

그분도 처음엔 좀 망설이셨어요.

"선생님, 정말 이걸로 나아질까요?

지금까지 안 좋았던 게 너무 많아서..."

충분히 이해되는 반응이었어요.

20년 동안 실망만 반복했으니까요 ㅠㅠ

하지만 MRI에서 확인된 병변이 명확했고,

이런 경우에는 PEN 시술이 도움이 되는 걸 알고 있었거든요.


그래서 통증의학과 원장님과 협진하여

당일 입원 후 바로 시술을 받는 일정으로 진행했어요.


그림4.png 촬영 일시: 2025.04.30

<Fig 2. 경추 PEN 시술>



시술 직후부터 변화가 있었어요.

그분이 하신 말씀이

"뭔가 오래 눌려 있던 게 풀리는 기분이에요" 였거든요.

물론 시술 후 2-3일은 약간의 뻐근함이 있을 수 있어요.

이건 정상적인 반응이고,

점차 좋아지게 되는 과정이라고 설명드렸죠.

1주일 후 재진 때는 정말 놀라웠어요.

"선생님, 20년 만에 머리 안 아픈 아침을 맞았어요!"

아, 정말 이럴 때 의사 하길 잘했다는 생각이 들어요 ㅠㅠ

하지만 여기서 끝이 아니었어요.

시술로 주요 통증은 해결됐지만,

20년 동안 만성화된 신경통이 일부 남아있더라고요.

이번에는 신경과 전문의인 제가 나서야겠죠?

남아있는 신경통에 대한 약물 조절을 진행했어요.

동시에 물리치료실에서 재활치료도 병행했고요.

목과 어깨 주변 근육들이 20년 동안 긴장되어 있었으니까,

이것들도 서서히 풀어줘야 했거든요.


그림5.jpg

3개월 후 마지막 진료 때 그분이 하신 말씀

"선생님, 예전엔 아프지 않은 날이 거의 없었는데

요즘은 통증 없는 날도 생기고 마음도 많이 가벼워졌어요.

약도 많이 줄였고... 진작 알았으면 좋았을 걸 하는 마음뿐이에요."


평생 기억에 남을 것 같습니다.

경추성 두통, 이런 분들은 의심해보세요

제가 그동안 진료하면서 경험한 바로는,

경추성 두통을 의심해볼 수 있는 케이스들이 있어요

� 머리 뒤쪽이나 옆쪽에서 시작되는 두통

� 목, 어깨 통증이 함께 나타나는 경우

� 고개를 돌리거나 젖힐 때 통증이 심해짐

� 아침에 일어날 때 목과 머리가 특히 뻣뻣함

� 마사지나 찜질을 하면 일시적으로 좋아짐

� 스트레스나 과로 시 증상이 악화됨

특히 40대 이후에 이런 증상들이 나타난다면

경추 문제를 한번은 확인해보시는 게 좋아요.

이런 분들이 가장 많이 하는 실수가

계속 두통약만 드시는 거예요.

물론 급할 때는 어쩔 수 없지만,

근본적인 원인이 목뼈에 있다면 아무리 진통제를 드셔도

일시적인 효과만 있을 뿐이거든요.

오히려 장기간 진통제를 드시면

위장 장애나 다른 부작용의 위험만 높아져요 ;;

그래서 정확한 진단이 중요한 거죠.

사실 이 글을 쓰면서 계속 생각났던 건

그분이 하신 마지막 말씀이에요.


그림6.jpg

"진작 알았으면 좋았을 걸..."

정말 안타까웠어요.

20년이라는 시간을 고통 속에서 보내셨으니까요.

물론 모든 경우가 이렇게

극적으로 좋아지는 건 아니에요.

개인차도 있고, 병의 진행 정도에 따라서도

결과가 달라질 수 있거든요.

하지만 적어도 정확한 진단을 받고

적절한 치료를 받으신다면

충분히 호전될 수 있는 질환이라는 건 확실해요.

머리가 지끈지끈, 찌릿찌릿 아프면서

어깨까지 함께 아프신 분들...

더 이상 단순한 '두통'이라고 생각하지 마시고,

한번은 정확한 검사를 받아보세요.

여러분도 그분처럼

"통증 없는 아침"을 맞이하실 수 있을 거예요.

오늘도 긴 글 읽어주셔서 감사합니다.

궁금한 점이 있으시면 언제든 문의해 주세요 ^^

조성호 드림



매거진의 이전글왼쪽 오른쪽 등날개뼈통증, 날개뼈안쪽 찌릿 아파요