구안와사 안면마비 전조증상 이 4가지 기억하세요

완치를 꿈꾸고 있다면

by 콕 선생님

지난 토요일, 근무를 마치고 집에 돌아가는 길이었습니다.

핸드폰이 울리더군요.


전화를 받았더니 지인 분이셨습니다.

갑자기 얼굴 한쪽이 얼얼하고 귀까지 아프다는 거에요.


그런데 말을 들어보니 이게 그냥 넘어갈 상황이 아니더라고요.


퇴근 시간에 전화를 할 정도면 정말 불안하셨을 텐데

사실 이런 증상을 겪으시는 분들이 생각보다 정말 많습니다.


안녕하세요.

콕통증의학과 신경과 전문의 조성호 원장입니다.


그림7.png


오늘은 제가 신경과에서 10년 넘게 진료하면서 만났던

환자분 이야기를 통해


구안와사 전조증상이 뭔지,

안면마비전조증상을 어떻게 구별해야 하는지

그리고 구안와사완치를 위해 정말 중요한 골든타임에 대해


진료실 뒷이야기 형식으로 풀어보려 합니다.

사실 의료진 입장에서도 참 안타까운 케이스들이 많거든요 ㅠㅠ


진료실에서 만난 환자분 이야기


몇 달 전이었습니다.

40대 중반 여성분이 저희 콕통증의학과에 오셨어요.

얼굴 표정을 보니 정말 고생 많이 하신 게

한눈에 보이더라고요.


어느 날부터 갑자기 얼굴이 얼얼하고

귀까지 아픈 통증이 계속됐다고 하시면서

처음엔 한의원에서 치료를 받으셨다고 하더군요.


그런데 치료를 받아도 나아지지 않고

오히려 점점 증상이 심해지면서

혀까지 얼얼해졌다는 거예요.


환자분 말씀을 들어보니 이건 명백히

구안와사 전조증상이었습니다.

그런데 문제는 이미 시간이 꽤 지나버린 상태였다는 거죠.


안면마비전조증상을 놓치면 정말 큰일날 수 있는데 말이에요.


환자분께서


“얼굴이 이상하다 싶어서 여기저기 다녀봤는데

뭐가 문제인지 아무도 명확하게 얘기해주지 않더라고요.”


이런 말씀을 하시더라고요.


그림8.jpg


정말 안타깝더군요.

사실 구안와사나 안면신경마비는

초기 대응이 정말 중요한 질환인데


많은 분들이 단순한 얼굴 통증 정도로 생각하고

적절한 치료 시기를 놓치는 경우가 너무 많아요.


이게 정말 구안와사 전조증상일까?


그날 환자분을 진료하면서 다시 한번 느꼈는데

구안와사 전조증상을 정확히 아시는 분이 생각보다 많지 않아요.


환자분이 호소하신 증상들을 정리해보면


✅ 얼굴 한쪽이 얼얼한 감각 이상

✅ 귀 주변의 지속적인 통증

✅ 혀의 얼얼한 감각 저하

✅ 얼굴 근육의 미세한 움직임 저하


이런 증상들이었어요.

많은 분들이 그냥 피로하거나 스트레스 때문일 거라고 생각하시는데


이런 증상들이 동시에 나타난다면

안면마비전조증상을 강력하게 의심해봐야 합니다.


그림9.jpg 출처: Neurology clinic


특히 이 환자분 같은 경우는


1️⃣ 얼굴 감각 이상이 점진적으로 악화됐고

2️⃣ 한쪽 얼굴에만 국한된 증상이었으며

3️⃣ 귀 주변 통증까지 동반됐거든요


이 정도면 저는 바로 안면신경마비를 의심하고

즉시 검사에 들어갑니다.


환자분께 설명해드리니

표정이 확 굳어지더라고요 ㅠㅠ

뭔가 심각한 병이라는 걸 직감하신 거 같았어요.


골든타임을 놓치면 안 되는 이유


사실 제가 이 환자분을 보면서 가장 걱정됐던 부분이

시간이었어요.


안면신경마비는 정말 골든타임이 중요한 질환입니다.


보통 증상 발생 후 72시간 이내에 치료를 시작해야

구안와사완치 가능성이 높아지거든요.


그런데 이 환자분은 이미 한의원에서

몇 주간 치료를 받으신 상태였어요.


물론 한의학적 치료도 나름의 효과가 있을 수 있지만

안면신경마비 같은 경우는 초기에 신경학적 평가와

적절한 약물 치료가 우선되어야 하는 질환이거든요.


그림10.jpg


그래서 저는 바로 말씀드렸습니다.


“지금 당장 뇌 MRI 검사부터 받아보겠습니다

혹시 뇌에 문제가 있는 건 아닌지 먼저 확인해야 해요”


다행히 저희 병원은 당일 MRI 촬영이 가능해서

바로 검사를 진행할 수 있었어요.


환자분도 바로 검사받을 수 있어서

다행이라고 하시더라고요.


검사 결과와 치료 과정



MRI 결과를 확인하는 순간 정말 안도했습니다.

다행히 뇌에는 이상 소견이 없었거든요.


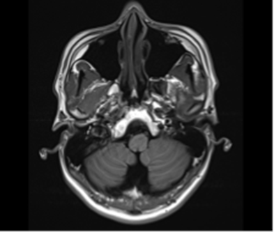
그림11.png 촬영 일시: 2025.04.29


<Fig 1. 정상 뇌 MRI>


하지만 여전히 안면신경 자체의 문제는 남아있는 상태였어요.


환자분께 결과를 설명드렸습니다.


뇌에는 다행히 이상이 없어요

하지만 안면신경에 염증이 생긴 것 같으니

지금부터 집중적으로 신경 치료를 해보겠습니다


그때부터 본격적인 치료가 시작됐어요.

3개월간 약물 치료를 계획했습니다.


솔직히 말씀드리면 처음 2주간은 반응이 좀 느려서

저도 걱정이 많이 됐습니다.


환자분도


원장님, 정말 나아질까요?

얼굴이 이상해지면 어떡하죠?


이런 걱정을 많이 하셨어요.


그럴 때마다 저는 이렇게 말씀드렸습니다.


지금은 느려 보여도 신경이 회복되는 과정이에요

꾸준히 치료받으시면 분명히 좋아질 겁니다


그림12.jpg [매일 환자분들이 가득한 대기실. 모두가 웃으며 돌아갈 수 있도록 최선을 다하겠습니다.]



드디어 나타난 호전의 신호들


치료 시작한 지 한 달 정도 지났을 때부터

서서히 변화가 나타나기 시작했어요.


제가 환자분 얼굴을 자세히 관찰해보니


1️⃣ 얼굴 감각이 조금씩 돌아오고 있었고

2️⃣ 귀 주변 통증이 확실히 줄어들었으며

3️⃣ 혀의 감각도 예전보다 나아지고 있었어요


환자분도 느끼셨나 봐요.


그날 진료실에 들어오시면서

“원장님! 어제부터 뭔가 얼굴이 덜 얼얼한 것 같아요!”

라고 하시더라고요.

정말 기뻤습니다 ㅠㅠ


신경과 의사로서 환자분이 호전되는 걸 보는 만큼

뿌듯한 일이 또 어디 있겠어요.


3개월 치료를 마칠 즈음엔

거의 완전히 회복된 상태였습니다.


안면마비전조증상, 이렇게 구별하세요


이 환자분 케이스를 통해 느낀 건데


정말 많은 분들이 초기 증상을 놓치고 계세요.


안면마비전조증상은 생각보다 다양하게 나타날 수 있어요.


✅ 얼굴 한쪽의 감각 이상 (얼얼함, 저림)

✅ 귀 주변이나 뒤쪽의 통증

✅ 혀의 감각 저하나 맛 감각 이상

✅ 얼굴 근육의 미세한 약화

✅ 눈물이나 침 분비 이상


이런 증상들이 하나둘 나타나기 시작하면

절대 그냥 넘어가시면 안 돼요.


그림13.jpg


특히 이런 분들은 더욱 주의하셔야 해요.


1️⃣ 당뇨병이나 고혈압 같은 만성질환이 있으신 분

2️⃣ 최근 과도한 스트레스를 받으신 분

3️⃣ 면역력이 떨어져 있으신 분

4️⃣ 바이러스 감염을 앓고 난 후


이런 상황에서는 안면신경마비 발생 위험이 높아지거든요.


오늘 이 글을 쓰는 이유는 단 하나예요.

더 이상 구안와사 전조증상을 놓치는 분들이

없었으면 좋겠다는 마음에서입니다.


안면마비전조증상은 생각보다 흔하게 나타나지만

많은 분들이 대수롭지 않게 넘어가시거든요.


하지만 이 글을 읽으신 여러분들만큼은


얼굴이 얼얼하다

귀 주변이 아프다

혀 감각이 이상하다


이런 증상이 나타나면 바로 신경과를 찾아가시기 바라요.


특히 저희 콕병원처럼


✅ 당일 뇌 MRI 검사가 가능하고

✅ 신경과 전문의가 직접 진료하며

✅ 체계적인 안면신경마비 치료 시스템을 갖춘 곳


이런 곳을 찾아보시길 권해드려요.


구안와사완치는 결코 불가능한 일이 아닙니다.

다만 적절한 시기에,

올바른 치료를 받으시는 게 중요해요.


오늘도 진료실에서 환자분들을 기다리며

더 나은 치료를 위해 노력하는

콕통증의학과 신경과 전문의 조성호였습니다.


건강하세요!



매거진의 이전글왼쪽 뒤통수 저림… 몇년간 찌릿 아픔 있어요