혀꼬임 혀저림 때문에 급하게 오셨던 환자분 이야기

혀가 굳는 증상 <하루>만 더 지켜보셨다면…

by 콕 선생님


안녕하세요.

신경과 질환은 유독 ‘골든타임’을 지켜야 하는

긴급한 상황이 많은 것 같습니다.


가장 대표적으로 뇌질환들이 있죠.

뇌질환 전조 증상이 보이는 환자분들께서

위험한 상황에 처하지 않도록, 의심되는 즉시

할 수 있는 방법을 총동원하여 환자분들을 지키고 싶은

콕통증의학과 신경과 전문의 조성호입니다.


그림13.png


오늘은 제가 진료실에서 겪었던

정말 가슴 철렁했던 일을 공유하려고 합니다.

평소처럼 진료를 보던 어느 날이었는데요.

우측 팔저림과 목 통증으로 내원하신 환자분이 계셨습니다.

다른 종합병원에서 목디스크 진단까지 받으셨다고 하시더라구요.

저희 콕통증의학과에 주사치료를 받으러 오신 분이었습니다.

저한테는 약간의 어지럼증이 있어서 인계되셨고요.


그런데... 뭔가 이상했어요.

환자분이 설명하시는데 말이 조금씩 어눌해지는 거에요 ;;

처음엔 긴장해서 그런가 싶었는데

자꾸 혀가 꼬이시고, 발음이 부정확해지는 모습을 보이셨습니다.

이때 제 머릿속에 경고등이 켜졌어요.

'이건... 단순한 증상이 아닐 수도 있겠다'

놓치기 쉬운 뇌졸중의 전조증상들

많은 분들이 혀꼬임이나 혀가 굳는 증상을

단순히 스트레스나 피로로 생각하시는 경우가 많습니다.

하지만 신경과 전문의로서 말씀드리자면

이런 증상들은 뇌졸중의 중요한 전조증상일 수 있어요.

특히 이런 증상들과 함께 나타나는 경우 더욱 주의해야 합니다:

✅ 갑작스럽게 말이 어눌해짐

✅ 혀가 한쪽으로 치우치거나 굳어짐

✅ 혀끝이나 입술 주변의 저림감

✅ 발음이 부정확해지거나 단어가 생각나지 않음

✅ 침을 삼키기 어려워짐

골든타임을 잡은 순간

그 환자분의 경우를 다시 돌아보면...

목디스크라는 명확한 진단이 있었음에도 불구하고

제가 느꼈던 위화감은 정말 중요한 신호였어요.

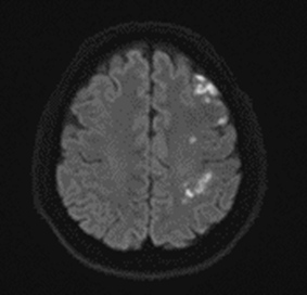
바로 당일 뇌 MRI 검사를 진행했습니다.

결과는... 좌측 급성 뇌경색이었어요 ㅜㅜ


그림14.png 촬영 일시: 2025.02.11


<Fig 1. 좌측 급성 뇌경색으로 진단된 뇌 mri 검사>

만약 그냥 목디스크 치료만 했다면 어떻게 됐을까요?

정말 상상하기도 싫습니다.

다행히 저희는 응급으로 분당서울대병원에 협진 의뢰를 드렸고

골든타임 내에 치료를 받으실 수 있었습니다.

지금은 회복 단계에 있으시다고 하니 정말 다행이에요.

왜 뇌졸중 증상을 놓치기 쉬울까?

사실 뇌졸중의 초기 증상은 정말 모호해요.

특히 혀와 관련된 증상들은 더욱 그렇습니다.

✔️ 단순한 혀꼬임으로 생각하기 쉬움

✔️ 스트레스나 피로의 증상으로 오인

✔️ 다른 질환(목디스크, 어깨 질환 등)과 함께 나타나 가려지기 쉬움

✔️ 증상이 일시적으로 나타났다 사라지기도 함

심지어 3차 의료기관에서도

척추나 근골격계 질환에만 집중하다 보면

뇌병변을 놓칠 수 있어요.

이건 정말 무서운 일이에요.

뇌졸중은 시간이 생명인데 말이죠.

혀 증상과 뇌졸중의 연관성

그렇다면 왜 혀 증상이 뇌졸중과 관련이 있을까요?

우리 뇌에서 혀의 움직임을 담당하는 부분은

설하신경핵(hypoglossal nucleus)이라는 곳입니다.


그림15.png 출처: wikipedia


이 부위에 혈류 장애가 생기면

1️⃣ 혀의 운동 기능이 떨어져 말이 어눌해짐

1️⃣ 혀가 한쪽으로 치우치거나 굳어짐

1️⃣ 발음이 정확하지 않아짐

1️⃣ 침을 삼키는 기능도 영향을 받음

또한 뇌간(brain stem) 부위의 혈류 장애로도

혀저림이나 감각 이상이 나타날 수 있어요.

문제는 이런 증상들이

다른 증상들과 함께 나타나면서

가려지기 쉽다는 점입니다.


10년 넘게 신경과 진료를 하면서

정말 많은 케이스를 봐왔지만

이번 환자분의 경우는 제게도 큰 교훈이 되었어요.

✅ 단순해 보이는 증상도 종합적으로 봐야 함

✅ 환자의 말투, 표정, 작은 변화까지 세심하게 관찰

✅ 다학제 협진의 중요성 재인식

✅ 당일 정밀검사 시스템의 필요성

특히 저희 콕통증의학과처럼

통증의학과와 신경과가 함께 있는 곳에서는

이런 애매한 증상들을 더 정확하게

감별진단할 수 있다는 걸 다시 한번 느꼈습니다.


그림16.jpg

이런 증상이 있다면 즉시 병원으로

혹시 여러분도 다음과 같은 증상을 경험하고 계신가요?

� 갑자기 혀가 꼬이면서 말이 어눌해짐

� 혀가 한쪽으로 치우치거나 움직임이 둔해짐

� 혀나 입 주변의 저림감이나 감각 이상

� 평소와 다르게 발음이 부정확해짐

� 물이나 음식을 삼키기 어려워짐

특히 이런 증상들이

팔다리 저림, 두통, 어지럼증과 함께 나타난다면

절대 지체하지 마시고 응급실로 가세요.

시간이 생명입니다.

골든타임을 놓치면 정말 돌이킬 수 없는 결과를 가져올 수 있어요.

아, 물론 뇌졸중을 100% 예방할 수는 없지만

위험 요소들을 관리하는 것은 가능합니다.

✔️ 고혈압, 당뇨병, 고지혈증 관리

✔️ 금연과 금주

✔️ 규칙적인 운동

✔️ 스트레스 관리

✔️ 정기적인 건강검진

하지만 무엇보다 중요한 건

내 몸의 작은 변화도 놓치지 않는 것입니다.

특히 혀와 관련된 증상들은

정말 사소해 보일 수 있지만

때로는 생명을 위협하는 질환의 신호일 수 있어요.

오늘 이 글을 쓰는 이유는 단 하나입니다.

한 분이라도 더 골든타임을 놓치지 않기를 바라는 마음에서요.

저도 그날 만약 환자분의 말투 변화를

그냥 넘어갔다면 어떻게 됐을까 생각하면

지금도 아찔합니다.


그림17.jpg

의사로서 정말 다행이라고 생각하는 건

저희 병원이 다학제 시스템을 갖추고 있어서

즉시 협진이 가능했다는 점이에요.

만약 여러분이 모호한 증상으로 고민이시라면

한 과목만 보는 것보다는

여러 전문과가 협진 가능한 곳을 찾아보시길 권합니다.

특히 신경계 증상은 정말 복잡하고 다양해서

한 명의 의사보다는 여러 전문의가 함께 보는 게

훨씬 안전하고 정확해요.

혀꼬임, 혀가 굳는 증상, 혀저림...

이런 증상들을 절대 가볍게 넘기지 마세요.

여러분의 생명과 직결될 수 있는 중요한 신호일 수 있습니다.

건강한 하루 보내시고

작은 증상이라도 이상하다 싶으면

주저하지 마시고 병원을 찾아주세요.

조성호 드림




keyword
매거진의 이전글이상근 증후군 증상? 찌릿한 통증 원인이 뭘까요