누우면 다리 저림? 오른쪽 다리 쥐 찌릿 증상 있다면

잠 설치던 환자가 <다시 푹 자게 된> 리얼 스토리

by 콕 선생님

요즘 진료실에서 가장 많이 듣는 말 중 하나가


"선생님, 누우면 다리가 저려서 잠을 못 자겠어요"

"오른쪽 다리에 쥐가 너무 자주 나요"

"다리가 찌릿찌릿해서 미치겠어요"

이런 호소들입니다.

사실 저도 의사가 되기 전까지는

다리 저림이라는 게 대체 얼마나 괴로운 건지 몰랐거든요.

그냥 '좀 불편하겠구나' 정도로만 생각했는데

실제로 환자분들을 만나보니...

이건 정말 삶의 질을 송두리째 흔드는 문제더라고요.

특히나 밤에 누웠을 때 찾아오는 그 고통은

경험해보지 않은 사람은 이해하기 어려울 정도입니다.


안녕하세요.

원인 모를 통증이 지속되면 잠도 못 잘 정도로

괴로워하는 환자분이 참 많습니다.

그런 환자분들이 푹 자도록 도와드리고 싶은,

콕통증의학과 통증 전문의 김환희입니다.


그림1.png

오늘은 제가 최근에 만난 한 환자분의 이야기를

진솔하게 풀어보려고 합니다.

누군가에겐 도움이 될 수 있을 거라 생각하거든요.

운동선수도 포기하게 만든 다리 저림

한 달 전쯤이었죠.

40대 중반의 여성분이 저희 콕병원 통증의학과로 오셨어요.

첫인상부터 범상치 않더라고요.

몸이 정말 탄탄하고 건강해 보이시는 분이었거든요.

그런데 진료실 문을 열고 들어오시는 모습을 보니

뭔가 이상했습니다.

평소라면 활기차게 걸었을 것 같은 분이

조심스럽게, 아니 거의 절뚝거리며 걸어오시는 거예요.

알고 보니 이분은 직업적으로 운동을 가르치시는 분이었어요.

하루 종일 몸을 움직이고, 시범을 보이고,

학생들과 함께 뛰어다니는 게 일상이셨던 거죠.

그런 분이 1달 전부터 갑자기

다리 저림 때문에 일을 제대로 못 하겠다는 거예요.

"처음엔 허리가 좀 아픈가 싶었는데

밤에 누우면 다리가 너무 저려서 잠을 못 자겠어요.

특히 오른쪽 다리가 심해서...

자다가 쥐도 자꾸 나고 찌릿찌릿한 게 정말 미치겠어요."

말씀하시는 표정을 보니 정말 고생이 심하셨구나 싶었어요.


그림2.jpg [유독 다른 병원에서 이상 없다는 말을 듣고 방문하시는 분들이 많습니다. 그런 분들을 위해 최선을 다하는 진료를 시행하겠습니다.]


평소 건강에 자신 있던 분이

이렇게까지 힘들어하시는 걸 보니

제 마음도 무거워지더라고요.

저는 환자분이 오시면

일단 충분히 이야기를 들어보는 편이에요.

물론 시간이 촉박할 때도 있지만

특히 이런 만성 통증 환자분들은

본인의 이야기를 들어주는 것만으로도

절반은 치료가 되거든요.

이분도 그동안 얼마나 답답하셨을까요.

"밤에 누우면 다리가 저린 게 제일 힘들어요.

뒤척뒤척하다가 결국 일어나서 걸어 다녀야 해요.

그러면 좀 나아지거든요.

그런데 다시 누우면 또 저리고...

이게 반복되니까 잠을 제대로 못 자겠어요."

아, 전형적인 신경성 파행 증상이구나 싶었죠.


누우면 다리저림이 심해지고

걸으면 좀 나아지는 패턴...

이미 머릿속에서는 척추관협착증이

강하게 의심되고 있었어요.

"오른쪽 다리에만 증상이 있나요?"

"네, 왼쪽은 괜찮은데 오른쪽만 그래요.

특히 종아리부터 발까지가 심해요.

가끔 허벅지도 당기고요."

신경 분포를 생각해보니

L5-S1 부위 문제가 확실해 보였어요.

"일단 정확한 진단을 위해서 MRI를 찍어보시죠."

환자분도 동의하셨고, 당일 결과를 보게 됐는데...

아, 이건 좀 심각하네요 ;;


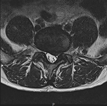
그림3.png 촬영 일시: 2025.04.30


<Fig 1. 좌측 협착증 및 디스크로 다리저림 및 허리통증 발생>

요추 5번-천추 1번 부위에

디스크 탈출과 협착증이 동시에 있었어요.

그것도 꽤 심한 정도로요.

신경이 정말 많이 눌려있는 상태였습니다.

그래서 저는

PEN 시술에 대해 설명드렸어요.

이 시술은 아주 얇은 카테터를

척추관 안으로 넣어서

눌린 신경 부위에 정확히 약물을 전달하는 거예요.

✅ 여러 마디의 협착증과 디스크를 한 번에 치료할 수 있고

✅ 약물이 정확히 필요한 부위에 도달하며

✅ 효과도 오래 지속되는 장점이 있죠.

환자분이 궁금해하시더라고요.

"아픈가요?"

"국소마취하고 하는 거라 시술 자체는 크게 아프지 않아요.

다만 카테터가 들어갈 때 약간의 압박감은 있을 수 있어요."

시술 당일...

사실 저도 약간 긴장됐어요.

이분이 워낙 활동적인 분이시라서

빨리 좋아져서 다시 운동을 가르치실 수 있기를 바랐거든요.

시술 후 2주가 지나서

경과를 보러 오신 환자분...

아, 이거 보세요.

들어오시는 걸음걸이가 완전히 달라졌어요.


그림4.png 촬영 일시: 2025.04.30


<Fig 2. PEN 시술로 오래된 신경염증 부위에 약물이 정확히 전달 된 모습>

"선생님! 정말 신기해요.

밤에 누워도 다리가 안 저려요!

오른쪽 다리 쥐도 안 나고

찌릿한 것도 거의 없어져서

다시 운동을 가르칠 수 있게 됐어요."

환자분이 이렇게 기뻐하시는 모습을 보면

정말 이 일을 하길 잘했다는 생각이 들어요.

이분은 특히 학생들한테도 미안했다고 하셨어요.

제대로 시범을 못 보여주고

아픈 티를 내면서 수업했는데

이제 예전처럼 할 수 있을 것 같다며…

현재 이 환자분은

간단한 소염진통제와 물리치료만으로

일상생활을 잘 유지하고 계세요.

이게 바로 적절한 시기에

적절한 치료를 받은 결과입니다.

만약 계속 참고 지냈다면

신경 손상이 더 심해져서

회복이 어려웠을 수도 있거든요.

의사로서 느끼는 것들

이 케이스를 통해서

다시 한 번 깨닫게 된 게 있어요.


그림5.jpg

1️⃣ 환자의 이야기를 끝까지 들어야 한다는 것

누우면 다리저림이 심하다는 호소,

오른쪽 다리쥐가 자주 난다는 증상,

오른쪽 다리 찌릿함...

이 모든 게 다 의미 있는 정보였거든요.

2️⃣ 적절한 시기에 적절한 치료를 하는 게 중요하다는 것

너무 일찍 큰 시술을 하는 것도 문제이지만

너무 늦어도 안 되거든요.

이분은 다행히 적절한 시기에

치료받으셔서 완전히 회복되셨어요.

혹시 비슷한 증상이 있으시다면

요즘 정말 많은 분들이

다리 저림으로 고생하고 계세요.

특히 이런 증상들이 있으시다면

한 번쯤 전문의 상담을 받아보시는 게 좋을 것 같아요.

✔️ 밤에 누우면 다리가 저려서 잠을 못 잔다

✔️ 한쪽 다리에만 증상이 있다

✔️ 걸으면 좀 나아지지만 앉거나 누우면 심해진다

✔️ 다리에 쥐가 자주 난다

✔️ 다리가 찌릿찌릿하고 저린다

이런 증상들을 그냥 '나이 드니까 그렇겠지' 하고

넘어가시는 분들이 많은데요.


그림6.png

초기에 적절한 치료를 받으면

충분히 좋아질 수 있는 경우가 대부분이에요.

혼자 고민하지 마시고

전문의와 상의해보세요.

오늘 이 글이

누군가에게는 도움이 되었기를 바라며

이만 줄이도록 하겠습니다.

감사합니다.

김환희 드림



keyword
매거진의 이전글경추성 두통 증상? 원인, 치료방법 모르시나요?