경추성 두통 증상? 원인, 치료방법 모르시나요?

이 환자도 그랬습니다 ㅠ

by 콕 선생님

최근에 또 한 분이 오셨습니다.

30대 초반 여성 환자분이었는데,

첫 마디가 참 인상적이었어요.

'원장님, 저 무슨 문제라도 있는 건 아니죠?'

안녕하세요.

많은 환자분들이 오랜 시간 두통이 이어지면,

다양한 뇌질환을 걱정하는 것 같습니다.


그 마음 당연히 이해합니다. ㅜㅜ

하지만 두통이라고 꼭 뇌 문제는 아닙니다.

오늘은 ‘이 부분’의 문제를 좀 이야기해 보려고 해요.


아, 저는 콕통증의학과 통증의학과 전문의 윤은장입니다.

잘 부탁드립니다. ^^


그림1.png

약간 의아하실 것 같아요.

두통은 신경과 담당 아닌가요?

통증의학과 전문의가 글을 쓰지?

실제 진료실에서 있었던 이야기를 통해

솔직하게 풀어보려고 합니다.

그 환자분 이야기부터 시작할게요.

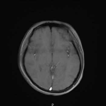
진통제를 달고 살았지만 전혀 나아지지 않는 두통 때문에

대학병원까지 가서 MRI를 찍었지만

결과는 '정상'

의사는 스트레스성 두통이라며

약 처방전만 건네주었고

환자분은 더욱 답답해했죠.

'제가 아픈 건 확실한데,

검사상 아무 이상이 없다니..

정말 제가 예민한 건가요?'

아니에요. 절대 예민한 게 아닙니다.

그분의 두통에는 분명한 원인이 있었거든요.

바로 '경추성 두통'이었습니다.

경추성 두통, 도대체 뭐길래?

경추성 두통이란 말 그대로

목뼈(경추) 문제로 생기는 두통입니다.

우리 목은 7개의 뼈로 구성되어 있는데

이 뼈들 사이사이로 신경이 지나가면서

머리와 목 주변 근육들을 지배하고 있어요.


그림2.jpg 출처: PSI


그런데 현대인들의 생활 패턴을 보면...

하루 종일 컴퓨터 앞에 앉아있고

스마트폰을 고개 숙이고 보고

베개는 너무 높거나 낮고 ㅠㅠ

이런 자세들이 반복되면서

목뼈의 정렬이 조금씩 틀어지기 시작하는거죠.

그러면 목에서 머리로 올라가는 신경들이

압박을 받으면서 두통이 시작됩니다.

그 환자분을 진료할 때

제가 가장 먼저 한 질문이 있어요.

'두통이 어디서부터 시작되나요?'

환자분은 뒷머리를 손으로 만지면서

'여기서 시작해서 점점 앞쪽으로 퍼져나가요.

마치 조이는 것 같기도 하고

눈이 빠질 것 같기도 하고...'

바로 이거였어요.

일반적인 긴장성 두통이나 편두통은

앞쪽에서 시작되는 경우가 많은데

경추성 두통은 특징적으로

뒷머리에서 시작해서 앞쪽으로 번져나갑니다.


그림3.png 촬영 일시: 2025.06.19


<Fig 1. 이상 소견 없는 뇌 MRI>

그리고 또 다른 특징이 있었어요.

'진통제가 처음엔 좀 듣는 것 같았는데

요즘은 먹어도 별로 안 나아져요'

이것도 경추성 두통의 전형적인 패턴이에요.

근본 원인인 목 문제를 해결하지 않고

단순히 통증만 차단하려고 하니까

시간이 지날수록 효과가 떨어지는 거죠.


진단 과정에서 발견한 것들

환자분에게 목을 좌우로 돌려보라고 했더니

'아, 여기서 뻣뻣해요'

목 뒤쪽 근육들이 돌덩어리처럼 딱딱했고

고개를 뒤로 젖히거나 한쪽으로 기울일 때

증상이 더 심해졌어요.

그리고 추가로 물어본 증상들

✅ 속이 메스꺼운 느낌

✅ 뒷목이 항상 뻣뻣함

✅ 눈 주변 압박감

✅ 어깨와 목 경계 부위 통증

모든 게 경추성 두통의 전형적인 증상이었어요.

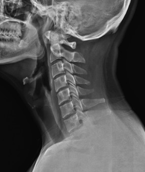
X-ray를 찍어보니 역시나

일자목(거북목 증후군)이 확연했고

C2-C3 (목뼈 2-3번) 사이의 간격

좁아져 있는 것도 확인됐습니다.


그림4.png 촬영 일시: 2025.06.19

<Fig 1. 이상 소견 없는 뇌 MRI>


치료는 어떻게 진행했을까?

경추성 두통 치료에서 가장 중요한 건

단순히 통증만 줄이는 게 아니라

근본 원인을 해결하는 것입니다.

그 환자분의 경우에는

1️⃣ 급성 통증 완화

우선 너무 아파하셔서 신경차단술을 시행했어요.

목 뒤쪽 후두신경 부위에

CI(C-arm Intervention) 주사치료를 진행했죠.

결과는? 좋았습니다.

2️⃣ 근본 원인 해결

통증이 줄어든 상태에서

도수재활치료를 시작했습니다.

틀어진 목뼈 정렬을 바로잡고

굳어진 근육들을 풀어주는 과정이었는데

처음엔 치료받을 때만 좋아졌다가

점점 지속시간이 길어졌어요.

3️⃣ 생활습관 교정

이게 정말 중요한데

아무리 치료를 잘 받아도

일상생활에서 목에 무리를 주는 자세를

계속 반복하면 또 재발하거든요.

그래서 환자분께 구체적으로 알려드렸어요

✔️ 모니터 높이는 눈높이에 맞춰주세요

✔️ 30분마다 목 스트레칭 꼭 해주세요

✔️ 베개는 목의 C커브를 받쳐주는 걸로 바꿔주세요

✔️ 스마트폰 볼 때 고개 숙이지 마시고 들어올리세요

그림5.jpg


치료 시작한 지 한 달쯤 되니까

'원장님, 속 메스꺼운 거는 거의 없어졌어요.

뒷목도 전보다 훨씬 부드러워진 것 같고요'

2개월째에는

'진통제를 거의 안 먹게 됐어요.

가끔 컴퓨터 오래 하면 뻐근하긴 한데

예전처럼 머리가 터질 것 같지는 않아요'

그리고 3개월째 마지막 방문에서

'정말 감사해요.

MRI에서 아무 이상 없다고 했을 때

얼마나 막막했는지 몰라요.

목이 원인이었다니...

진작 알았으면 좋았을 텐데'

지금은 도수치료 횟수도 줄이고

유지 관리 차원에서 한 달에 한두 번

오시고 계세요.

경추성 두통, 이렇게 의심해보세요

10년간 수많은 경추성 두통 환자분들을 보면서

발견한 공통적인 특징들이 있어요:

통증 패턴

뒷머리에서 시작해서 옆머리, 앞머리로 퍼짐

마치 헬멧을 눌러쓰는 듯한 압박감

한쪽만 아픈 경우도 있음

동반 증상

목과 어깨 뻣뻣함

메스꺼움, 어지러움

눈 주변 압박감이나 피로감

집중력 저하

그림6.jpg [항상 많은 환자분들로 붐비는 대기실을 보고 있자면, 더 잘해야겠다는 결심을 하게 됩니다.]



악화 요인

목을 특정 방향으로 움직일 때

오랫동안 같은 자세 유지 후

스트레스받거나 피곤할 때

진통제 효과

초기에는 어느 정도 효과 있음

시간 갈수록 효과 감소

근본적인 해결이 되지 않음


참고해 두시면 도움이 될 거예요. ^^

그 환자분이 마지막 방문에서 하신 말씀이

아직도 기억에 남아요.

'원장님, 정말 다행이에요.

만약 계속 진통제만 먹고 있었다면

지금쯤 얼마나 더 심해졌을까요?'

맞는 말씀이에요.

경추성 두통은 초기에 원인을 찾아

적절히 치료하면 충분히 좋아질 수 있지만

방치하면 만성화되어서

치료가 더 어려워질 수 있거든요.


그림7.png

혹시 지금 이 글을 읽고 계시는 분 중에

뒷머리에서 시작하는 두통

목과 어깨의 만성적인 뻣뻣함

진통제 효과가 떨어지는 두통

이런 증상이 있으시다면

한 번쯤은 경추성 두통을 의심해보시고

경험 많은 전문의와 상담받아보세요.

두통 때문에 고생하시는 모든 분들이

적절한 치료를 받으셔서

다시 편안한 일상을 되찾으시길 바랍니다.

감사합니다.

윤은장 드림




keyword
매거진의 이전글경추성 어지러움 어지럼증? 병원 다녀도 증상 그대로라면