경추성 어지러움 어지럼증? 병원 다녀도 증상 그대로라면

!반드시! 읽어보세요

by 콕 선생님


퇴근하면서 문득 생각났던 환자분이 계세요.


70대 할머니셨는데,

처음 진료실에 들어오실 때의 모습이 아직도 생생합니다.


보호자분의 부축을 받으며 조심조심 걸어 들어오시더니,

진료 의자에 앉으시자마자 한숨부터 내쉬시는 거예요.


아… 이 한숨 소리만 들어도

얼마나 고생하셨는지 느껴지더라고요 ㅠㅠ


안녕하세요.

콕통증의학과 신경과 전문의 조성호입니다.


그림8.png


사실 경추성어지러움이나 경추성어지럼증으로

찾아오시는 분들을 많이 봐왔지만,

이분만큼 일상생활이 무너져 있던 케이스는 드물었거든요.


2년째 계속되는 어지럼증 때문에

혼자서는 외출도 못하시고, 밤에 잠도 제대로 못 주무시고...

대학병원에서 주사 치료까지 받아보셨는데도

별다른 호전이 없으셨다니;;

얼마나 답답하고 절망스러우셨을까요.


그런데 막상 진료를 해보니까

정작 원인은 전혀 다른 곳에 있었던 거예요.


오늘은 이 할머니의 치료 과정을 통해서

경추성 어지럼증 증상이 왜 이렇게 진단하기 어려운지,

그리고 어떻게 접근해야 하는지 이야기해보려고 합니다.


처음 만났을 때의 상황


할머니께서 호소하신 주된 증상들을 정리해보면


2년째 지속되는 어지럼증 - 특히 아침에 일어날 때 심함

뒷머리 부위의 묵직한 느낌 - 하루 종일 개운하지 않음

수면 부족 시 증상 악화 - 잠 못 자면 다음날 더 심해짐

외출 시 불안감 - 갑자기 어지러워질까봐 무서워함


처음에는 저도 '아, 뇌혈관 쪽 문제일까?' 하고 생각했어요.

74세시고 당뇨도 있으시니까 말이죠.


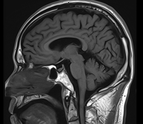
그런데 대학병원에서 이미 뇌 MRI까지 다 찍어보셨는데

특별한 이상이 없었다는 거예요.


뇌졸중이나 뇌출혈 같은 급성 문제도 아니고,

일반적인 뇌혈관 질환의 징후도 보이지 않고...


그림9.png 촬영 일시: 2025.05.11

<Fig 1. 정상 소견의 뇌 MRI>


그럼 대체 뭐가 문제일까요?

이럴 때 우리가 놓치기 쉬운 부분이 바로 목뼈입니다.


진단 과정에서의 깨달음


할머니께 자세히 병력을 물어보니까

몇 가지 중요한 단서들이 나오기 시작했어요.


"선생님, 제가 젊을 때부터 목이 뻣뻣했거든요.

그런데 나이 들면서 더 심해진 것 같아요."

"어지러울 때 목을 이리저리 돌려보면

더 어지러워지는 것 같기도 하고..."


아하! 이 시점에서 저는 확신했습니다.

이분의 어지럼증은 경추성어지러움일 가능성이 높다고 말이죠.


바로 경추 X-ray를 찍어봤는데...

예상했던 대로였어요.


✔️ 정상적인 C자 곡선이 완전히 사라져 목뼈가 일자로 펴져 있음

✔️ 퇴행성 변화가 심각한 수준으로 진행됨

✔️ 디스크 간격 좁아짐으로 신경 압박 가능성 높음


여기에 당뇨로 인한 자율신경계 이상까지 겹쳐있으니

기립성 저혈압까지 동반된 상황이었던 거죠.


그림10.png 촬영 일시: 2025.05.11



사실 이런 경우를 임상에서 꽤 많이 보는데요,

환자분들은 대부분 '어지럼증 = 뇌 문제'라고 생각하시거든요.

물론 틀린 건 아니에요.

뇌에 문제가 있어도 어지러울 수 있으니까요.


하지만 목뼈 문제로 인한 어지럼증도 생각보다 정말 흔합니다.


경추성 어지럼증, 왜 생기는 걸까?


이걸 이해하려면 목뼈와 뇌를 연결하는

신경계의 복잡한 관계를 알아야 해요.


우리 목뼈 주변에는 중요한 혈관이 지나가는데,

이 혈관이 뇌간과 소뇌로 가는 혈액 공급을 담당합니다.


그런데 목뼈가 변형되거나 주변 근육이 경직되면

이 혈관이 압박을 받게 되죠.


게다가 목뼈 주변의 고유수용감각기들이 제대로 작동하지 않으면

뇌에서 몸의 위치를 정확하게 파악하기 어려워집니다.


쉽게 말해서 '내가 지금 어느 방향을 보고 있는지,

몸이 기울어져 있는지' 같은 정보가

뇌로 정확하게 전달되지 않는 거예요.


그림11.png 출처: Centeno-Schultz Clinic



여기에 환자분의 경우처럼 당뇨가 있으면

자율신경계까지 영향을 받게 됩니다.


자율신경계는 혈압 조절, 심장 박동 조절 등을 담당하는데

이게 제대로 안 되면 기립성 저혈압이 생기죠.

앉아있다가 갑자기 일어날 때

혈압이 떨어져서 어지러워지는 거예요.


결국 이 경우는


1️⃣ 목뼈 변형으로 인한 혈류 장애

2️⃣ 근육 경직으로 인한 고유수용감각 이상

3️⃣ 당뇨로 인한 자율신경계 손상

4️⃣ 기립성 저혈압 동반


이 모든 게 복합적으로 작용해서

심한 어지럼증을 일으키고 있었던 거예요.


치료 접근법: 단순하지만 효과적인 방법


진단이 명확해지니까 치료 방향도 확실해졌습니다.


자율신경계 안정을 위한 약물 치료

경추 신경 압박 완화를 위한 SI(초음파 유도하) 주사

목 주변 근육 이완 및 혈류 개선


특히 SI(초음파 유도하) 주사의 경우,

정확한 위치에 약물을 주입해서 염증을 줄이고

신경 압박을 완화시키는 것이 핵심이에요.


할머니께는 목뼈 주변의 과긴장된 근육과

염증이 있는 신경 부위에 정확하게 주사를 놓았습니다.


그리고 자율신경계 이상으로 인한 기립성 저혈압에 대해서는

혈압 조절 약물을 처방했고요.


그림12.jpg


치료 후 놀라운 변화


치료를 받으신 후 1주일 뒤에 다시 오셨는데...

아, 정말 감동적이었어요 ㅠㅠ


처음에 보호자 부축받고 힘들게 들어오시던 그 모습과는

완전히 다른 분이 오신 것 같았거든요.


"선생님! 정말 신기해요.

2년 동안 이렇게 속이 시원한 적이 없었어요."


이런 말씀을 하실 때의 그 환한 웃음이...

정말 의사 하길 잘했다는 생각이 들었습니다.


2개월 후 재진 때는 더욱 좋아지셨고,

지금은 정기 체크만 받으시면서

일상생활을 완전히 회복하셨어요.


경추성 어지럼증, 이렇게 의심해보세요


할머니 사례를 통해서 배운 점들을 정리해보면


✔️ 목 움직임과 관련된 어지럼증이 있다면 의심

✔️ 뇌 MRI가 정상인데도 어지럼증이 지속된다면

✔️ 목이 자주 뻣뻣하거나 어깨가 결린다면

✔️ 앉았다 일어날 때 특히 어지럽다면

✔️ 수면 부족이나 스트레스 시 악화된다면


이런 증상들이 있으시다면

경추성어지럼증을 한번 의심해보시기 바랍니다.


그림13.jpg [환자분들은 각기 다른 증상으로 콕통증의학과를 방문하십니다. 정확한 원인을 찾을 수 있도록 최선을 다해 진료하겠습니다.]



특히 중년 이후에는 목뼈의 퇴행성 변화가

자연스럽게 진행되기 때문에

더욱 주의 깊게 살펴볼 필요가 있어요.


사실 이런 케이스를 접할 때마다 느끼는 건데요,

환자분들이 겪는 고통이 단순히 '하나의 증상'이 아니라는 거예요.


할머니의 경우도 어지럼증 때문에

가족들과의 외출을 포기하고,

일상의 소소한 즐거움들을 놓치고 계셨거든요.


그래서 저는 항상 증상 그 자체보다는

그 사람의 삶을 어떻게 되돌려드릴 수 있을까를 고민합니다.


경추성어지러움이나

경추성 어지럼증 증상으로 고생하고 계신다면

너무 오래 혼자 고민하지 마세요.


정확한 진단과 적절한 치료로 충분히 좋아질 수 있는 질환이니까요.


그림14.jpg


그리고 무엇보다 '나이 들면 어쩔 수 없다'는 생각은 금물입니다!


70대여도 이렇게 좋아지셨는데,

여러분도 충분히 건강한 일상을 되찾으실 수 있어요.


오늘도 진료실에서 만나는 모든 분들이

이분처럼 환한 웃음을 되찾으시길 바라며...


다음에도 또 다른 치료 이야기로 찾아뵙겠습니다 :)


감사합니다.

조성호 드림




keyword
매거진의 이전글눈가떨림 현상 한쪽 눈밑떨림 마그네슘 효과 없어요