눈가떨림 현상 한쪽 눈밑떨림 마그네슘 효과 없어요

<지금 당장> 신경과 방문해야 후회 안합니다

by 콕 선생님

오늘도 진료실에 들어서면서 생각했어요.

눈떨림으로 오시는 분이 또 있구나…


그런데 대부분이 이렇게 말씀하세요.


인터넷에서 찾아보니까 마그네슘 부족이래요.

아니면 스트레스 때문이라던데...

혹시 뇌에 문제가 있는 건 아닌가요?


솔직히 말하면, 이런 일반적인 설명으로는

해결되지 않는 경우가 훨씬 많아요.


안녕하세요.

뇌부터 전신까지 이어지는 몸속 복잡한 신경 때문에

원인 모를 신경통증에 고생하는 분들, 많으시죠?

그런 환자분들에게 웃음을 되찾아드리고 싶은

콕통증의학과 신경과 전문의 조성호 원장입니다.


그림8.png


10년 넘게 신경과 진료를 하면서

눈가떨림현상으로 고생하는 환자분들을 수없이 봤는데


정말 예상치 못한 곳에서

원인을 발견하는 경우가 생각보다 많았거든요.


오늘은 그중에서도 가장 기억에 남는

한 환자분의 이야기를 해보려고 해요.


진짜 뇌종양인 줄 알고 무서워하며 찾아오신 분인데

결과적으로는 전혀 예상치 못한 곳에서

해답을 찾을 수 있었던 케이스였어요.


몇 달 전 오후 진료시간이었어요.


40대 중반 여성분이 가족과 함께 내원하셨는데

얼굴에 걱정이 가득했죠.


원래 두통이 자주 있으셨다고 하는데

몇 달 전부터 오른쪽 뒤통수와 귀 쪽 두통이

심해지기 시작했대요.


그런데 더 이상한 건 눈이 떨리기 시작한 거였어요.

처음엔 피곤해서 그런가보다 하고 넘어갔는데

1주일이 넘도록 계속 떨리니까

정말 무서워졌다고 하시더라고요.


혹시 뇌에 문제가 있는 건 아닌지,

뇌종양 같은 게 있는 건 아닌지...

가족들도 얼굴이 이상하게 떨린다며

빨리 병원에 가보라고 했다고 해요.


그분을 보면서 든 첫 번째 생각은

아, 또 한 분이 무서워하고 계시는구나... 였어요.


사실 눈가떨림 때문에 오시는 분들 중

뇌종양을 걱정하시는 분들이 정말 많거든요.


이해할 만해요.

얼굴이 자기 의지와 상관없이 떨리면

누구나 뇌에 뭔가 문제가 있나 싶을 테니까요.



그림9.jpg [환자에게 웃음을 되찾아드리는 것이 저의 사명이라 믿습니다. 최선을 다하겠습니다.]



의외로 까다로운 한쪽 눈밑떨림 진단


눈가떨림 환자분들을 볼 때

저는 항상 몇 가지를 체크해요.


✅ 언제부터 떨렸는지

✅ 어느 부위가 주로 떨리는지

✅ 다른 동반 증상은 없는지

✅ 스트레스나 피로도는 어떤지


이 분의 경우에는 특히 흥미로운 점이 있었어요.

한쪽 눈밑떨림이면서 동시에

두통이 심해졌다는 점이었거든요.


일반적으로 단순한 눈꺼풀 경련이라면

피로나 스트레스로 설명이 되는데


두통과 함께 나타났다는 건

좀 더 면밀히 살펴봐야겠다는 생각이 들었어요.


환자분께 자세히 물어보니

두통 패턴도 예전과는 달랐다고 하더라고요.


예전에는 그냥 머리 전체가 아팠는데

최근에는 오른쪽 뒤통수에서 시작해서

귀 쪽까지 아프다고...


이 말을 듣는 순간

아, 이건 좀 다른 접근이 필요하겠네

라는 생각이 들었어요.


환자분이 워낙 걱정을 많이 하고 계셨고

가족분들도 불안해하고 계셔서


일단 뇌 MRI부터 찍어보자고 했어요.

사실 임상 경험상 뇌에 문제가 있을 가능성은

그리 높지 않다고 생각했지만


환자분의 불안감을 해소해드리는 것도

치료의 중요한 부분이거든요.


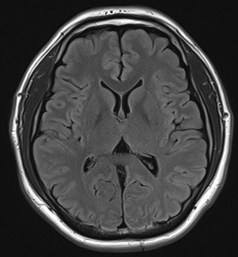
그림10.jpg 촬영 일시: 2025.05.09


<Fig 1. 정상 소견의 뇌 MRI>


MRI 결과가 나왔는데

예상대로 뇌는 정상이었어요.


환자분께 뇌에는 아무 이상이 없다고 말씀드리니

일단은 안도하시더라고요.


그런데 여기서 멈추면 안 되죠.


눈떨림은 여전히 있고

두통도 계속되고 있으니까요.


저는 환자분께 목 MRI도 찍어보자고 제안했어요.


두통의 양상이 후두부에서 측두부로 이어진다는 점,

그리고 눈떨림과 함께 나타났다는 점이

경추성 두통을 의심하게 했거든요.


목이 나쁘면 눈까지 떨릴 수 있다는 건

보통 잘 모르는 사실이에요.


목 MRI 결과를 보니

역시 상부 경추에 문제가 있었어요.


디스크가 살짝 나와 있으면서

주변 근육들이 긴장되어 있는 상태였죠.


그림11.jpg 촬영 일시: 2025.05.09


<Fig 1. 디스크 소견의 목 MRI>


환자분께 설명해드렸어요.


목 디스크 때문에 주변 근육들이 긴장하고

이 긴장이 목에서 시작해서 머리까지 올라가면서

두통을 일으키고 있다고...


그리고 이 근육 긴장이 얼굴 근육에까지 영향을 줘서

눈떨림이 생긴 거라고 설명드렸어요.


목에 주사 한 번 놔볼까요?


환자분은 처음에는 잘 이해가 안 간다는 표정이셨어요.

목이 나쁜데 왜 눈이 떨리냐고...


사실 이해할 만해요.

우리 몸의 연결성에 대해서는

의료진이 아니면 잘 모르시니까요.


하지만 천천히 잘 설명드렸고,

환자분도 목에 주사 치료를 진행하는 것에 동의하셨죠.


그래서 당일 시술을 잡고,

목에 SI(초음파 유도하) 주사 치료를 시행했는데

정말 신기한 일이 일어났어요.


주사 치료 후 다음 내원 때

환자분이 완전히 다른 얼굴로 오셨거든요.


눈 떨림이 완전히 멈췄다고 하시더라고요!

두통도 함께 사라졌다고...

그림12.jpg


뇌 문제인 줄 알고 얼마나 무서웠는데

이렇게 간단히 해결될 줄 몰랐다면서

정말 감사하다고 하시더군요.


그래서 눈가떨림의 진짜 원인은?


이 케이스를 통해 다시 한 번 깨달은 게 있어요.


눈가떨림현상이라고 해서

무조건 눈 자체의 문제는 아니라는 것...


우리 몸은 정말 신기하게 연결되어 있어서

목의 문제가 머리로, 또 얼굴로 영향을 줄 수 있거든요.


특히 경추 상부의 기능장애는


✔️ 후두부 두통을 일으키고

✔️ 측두부까지 통증을 퍼뜨리고

✔️ 안면부 근육의 과활성화를 유발할 수 있어요


눈둘레근이라는 건 생각보다 예민한 근육이에요.

피로에 가장 먼저 반응하고

주변 근육들의 긴장 상태에도 민감하게 반응하죠.


그래서 목 근육이 긴장되면

그 영향이 얼굴까지 올라와서

눈떨림을 일으킬 수 있는 거예요.

그림13.png

출처: Caring Medical


언제 병원에 가야 할까요?


눈떨림으로 고생하시는 분들이 자주 묻는 질문이에요.

그냥 놔둬도 될까요? 언제 병원에 가야 하나요?


제 기준으로는 이런 경우에는

꼭 병원에 오셨으면 좋겠어요.


1️⃣ 1주일 이상 계속 떨리는 경우

2️⃣ 점점 심해지는 경우

3️⃣ 두통이나 다른 증상이 함께 있는 경우

4️⃣ 얼굴 다른 부위까지 떨리는 경우

5️⃣ 일상생활에 지장을 줄 정도인 경우


특히 한쪽 눈밑떨림이면서

두통이 함께 있다면


경추성 문제를 꼭 의심해봐야 해요.


이런 경우에는

단순한 휴식이나 마그네슘 보충으로는

해결되지 않는 경우가 많거든요.


진료실에서 만나는 환자분들을 보면서

항상 느끼는 게 있어요.


작은 증상 하나라도

환자분께는 굉장히 큰 걱정거리라는 것...


특히 얼굴이 떨리는 증상은

다른 사람들 눈에도 보이니까

더욱 스트레스가 클 거예요.


그림14.jpg


그런 분들께 정확한 진단과

효과적인 치료를 제공할 수 있을 때

의사로서 가장 큰 보람을 느껴요.


혹시 지금 눈떨림으로 고생하고 계신 분이 있다면

너무 혼자 걱정하지 마시고

전문가와 상의해보시길 바라요.


생각보다 간단한 해결책이 있을지도 모르니까요.


오늘도 긴 글 읽어주셔서 감사합니다.

다음에는 또 다른 진료실 이야기로 찾아뵐게요.



keyword
매거진의 이전글갑자기 허리삐끗 병원 갈지 말지 고민 중이라면