EP1. 작고 소중한 심장을 보다

세상 어떤 소리보다 더 크고 아름다운 소리

날이 좋은 오후였다.


집 근처인 병원을 들리기 위해 짐을 챙겼다.

"저번에 영양제 먹고있는거 적어오라고 했었는데 챙겼지?"


이전에 진료받았을 때 먹고있는 영양제들을 모두 적어오면 먹어도 될 것, 필요없는 것 을 정리해서 알려주겠다고 하셨다.


'응! 당연하지'


아이패드에 빼곡히 영양제를 정리해뒀다.


KakaoTalk_Photo_2025-09-27-13-06-06.png


병원 대기실 쇼파에서 기다림도 잠시. 금방 산모의 이름이 불렸다.

함께 들어간 산부인과 진료실은 언제나 어색하다.


'남편분 들어오실게요'

라는 부름에 따라 진료실 옆방에 마련되어있는 초음파실로 들어갔다.


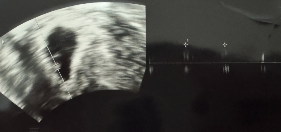
어두운 방 안 초음파 모니터를 통해 우리 찰떡이가 보였다.


"지난번보다 많이 컸어요. 지난번엔 난황이 보이지 않았는데, 이번엔 난황도 보이고 아주 작지만 아기도 보이네요."


'아기...가 보인다고?'


초음파 모니터의 한켠에 선생님이 가르키는 위치에 작은 무언가가 보였다.


아기 크기가 0.26cm 였다. 정말 세상에 가장 작은 아이였다.


"아직은 들리지 않겠지만, 심장소리도 한번 들어볼게요"


Screenshot 2025-09-27 at 1.10.34 PM.png


기계를 통해 측정된 심장박동은 소리는 들리지 않았지만 이것은 분명한 박동이었다.

아직은 심장이 뛰는 속도가 빠르지 않고 성장할수록 점점 빨라진다고 했다.


눈물이 날 것 같았다.

생명의 탄생을 매일매일 느끼고 있다.


그리고 새롭게 알게된 사실은 비맥스에도 엽산이 들어있다는 사실이었다.

선생님의 조언에 따라 비맥스는 중단하고 임산부용 영양제를 챙겨야겠다.


참고로, 임산부가 챙겨야하는 비타민의 종류에는

엽산, 철분, 비타민D, 칼슘, 오메가3 정도를 말씀해주셨다.


목요일 연재