brunch

칼슘보충제 복용은 위험합니다

칼슘보충제의 진실

by 송무호

“칼슘보충제는 먹어도 되죠?”


우유는 뼈 건강에 안 좋으니 끊으라고 환자분에게 권유하면, 위와 같이 물어 온다. 한국인의 대표 건강기능식품인 칼슘보충제, 골다공증 예방을 위해 많은 소비자들이 먹고 있다. 미국의 경우에도 성인 여성 32 %가 칼슘보충제를 먹고 있다고 한다 [1].


이렇게 칼슘보충제가 많이 팔리는 이유는 1990년대 저명한 저널에 발표된 연구에서 칼슘보충제가 골절예방에 효과가 있다 하였고 [2], 2001년 미국의 의료와 건강 관련 정책을 총괄하는 NIH(국립보건원, National Institutes of Health)에서 골다공증 예방을 위해 하루 칼슘 1000-1500mg 섭취가 필요한데 대부분의 고령자들이 식사로는 권장량을 채울 수 없어 칼슘보충제가 필요하다고 발표했기 때문이다 [3]. 그 후 제약회사의 적극적인 마케팅에 힘입어 칼슘보충제는 세계적으로 엄청난 양의 매출을 올리는 건강보조식품 중 하나로 등극하였다.


모든 약에는 부작용이 있다.


칼슘보충제의 부작용으로 위장장애와 변비가 흔했고, 복통으로 입원하는 환자가 약 2배 증가했다는 보고도 있다 [4]. 고농도의 칼슘 섭취는 심혈관을 석회화시키고 사망률을 높인다는 보고는 있었지만, 대상이 신부전 환자들이었기에 일반인에 대한 영향은 잘 모르고 있었다 [5,6,7].

그러다가 2008년 뉴질랜드 오클랜드 대학에서 칼슘보충제로 인한 심혈관계 부작용을 세상에 처음 보고했다. 폐경 후 여성 약 1400명을 두 군으로 나누어 한쪽에는 칼슘보충제를 먹게하고, 다른 쪽은 칼슘보충제를 안 먹게하고 5년간 추시 한 결과, 칼슘보충제를 먹은 군에서 심근경색 2.1배 증가, 뇌졸중 40% 증가라는 결과를 발표하여 학계를 놀라게 했다 [8]. 논문에 나온 아래 그래프에서 시간이 지날수록 칼슘 섭취군에서 심근경색이 많아지는 것을 알 수가 있다.



그 이후로 칼슘보충제가 심장마비를 증가시킨다는 연구들이 서양에서는 계속 발표되었다 [9,10,11,12,13]. 한국인을 대상으로 한 연구는 작년(2022년)에야 처음으로 고려대에서 보고하였는데 칼슘보충제 단독 복용은 심혈관계 질환을 54% 증가시키므로 주의를 요한다고 했다 [14]. 연세대에서도 2022년 연구에서 칼슘보충제 복용은 급사의 위험을 40% 증가시킨다고 경고했다 [15].


왜 골절예방을 위해 먹은 칼슘보충제가 심장마비를 일으킬까?


칼슘은 뼈의 주요 구성 성분일 뿐만 아니라 근육 수축(심장포함), 신경 신호 전달, 그리고 혈액 응고에도 중요한 역할을 한다. 우리 몸에 상처를 입어 혈관이 손상되고 출혈이 생기면 혈액 성분 중 혈소판이 활성화되어 혈전(피떡, blood clot)을 생성하고 피를 멎게 하여 출혈을 막는다. 이때 칼슘은 혈액 응고에 관여하는 단백질을 형성하는 데 필수적이다. 하지만 칼슘보충제 등으로 필요 이상의 고농도 칼슘이 혈액 내 유입되면, 혈관의 석회화를 유발하고, 혈액응고가 너무 잘되어(hypercoaguable state) 혈전이 잘 생기게 되는데, 이 혈전이 심장혈관을 막으면 심장마비가 오고, 뇌혈관을 막으면 중풍이 온다 [16,17].

사실 골다공증 예방을 위해 먹은 칼슘보충제가 골절 예방 효과가 없거나, 있더라도 미미하다는 것은 오래전부터 많은 연구자들에 의해 보고되어 왔었고 [18,19,20,21], 오히려 칼슘보충제가 골절을 증가시켰다는 보고도 있었다 [22].


왜 일반적인 기대와는 달리 칼슘의 골다공증 예방 효과는 미미할까?


뼈의 건강은 조골세포(osteoblast)와 파골세포(osteoclast)의 조화에 의해 유지된다. 무작정 칼슘을 먹는다고 해서 칼슘이 뼈로 가지도 않고 뼈를 만들지도 않는다. 단백질을 많이 먹는다고 근육이 저절로 생기는 것이 아니듯, 칼슘을 많이 먹는다고 뼈가 저절로 튼튼해지는 것이 아니다. 멋진 근육은 근력운동을 통해 만들어지고, 튼튼한 뼈는 뼈에 자극을 주는 체중부하 운동으로 만들어진다.


골다공증의 원인은 단순히 칼슘 부족이 아니다. 골다공증이란 신생골 생성 감소나 기존골 소실 증가, 혹은 두 가지가 합하여 생기는 현상으로 뼈의 생성과 소실은 연령, 성별, 질병, 생활습관, 약물, 영양 등 여러가지 요소가 매우 복잡하게 연관되어 있다.


따라서 뼈의 건강을 단순히 칼슘의 양만 보고 판단하는 건 대단히 큰 오류다. 왜냐면 수많은 종류의 영양 물질이 뼈 건강에 직간접적으로 영향을 미치고 있기 때문이다. 칼슘뿐만 아니라 칼륨, 인, 마그네슘, 각종 비타민(A, B, C, D, K), 단백질, 그리고 베타카로텐이나 라이코펜 같은 파이토케미컬도 중요하다.


뼈의 구조는 쉽게 말해서 철근 콘크리트 구조물과 유사하다. 단백질 성분인 콜라겐이 철근 역할을 하고 칼슘 등 미네랄이 시멘트 역할을 한다. 미네랄은 뼈에 단단함 즉 강성(stiffness)을 주어 무게를 잘 견디게 하고, 콜라겐은 외력에 파괴되지 않고 저항하는 인성(toughness)을 크게 해서 골절을 예방한다 [23]. 즉 뼈를 튼튼하게 하는데는 칼슘보다 콜라겐이 더 중요하다 [24].


물론 칼슘이 뼈 건강에 무관하다는 얘기는 아니다. 반드시 칼슘이 우리 몸에는 필요하다. 그럼 하루에 칼슘을 얼마나 먹어야 할까? 나라마다 기준이 다른데 영국의 경우 성인 하루 700mg/day라 했고, 미국의 경우는 1200mg/day라 할 정도로 차이가 많이 난다 [25] 대략 하루 500-1000mg 정도로 넓은 범위고 사실상 절대적인 기준도 없으니 그 수치에 연연할 필요도 없다. 왜냐하면 우리 몸의 칼슘 농도는 항상성(Homeostasis)에 의해 자동적으로 일정하게 조절되고 있기 때문이다 [26].


혈중 칼슘 농도는 부갑상선호르몬, 비타민 D, 칼시토닌에 의해 조절된다. 칼슘이 적은 음식을 장기간 섭취하여 혈중 칼슘 농도가 떨어지면, 부갑상선 호르몬이 분비되고 비타민D를 활성화시켜 소장에서 칼슘 흡수를 촉진하고 신장에서 칼슘배출을 억제한다. 칼슘이 많은 음식을 장기간 섭취하여 혈중 칼슘 농도가 올라가면, 갑상선에서 칼시토닌이 분비되어 소장에서 칼슘 흡수를 줄이고 신장에서 칼슘 배출을 촉진시켜 자동적으로 일정한 칼슘 농도를 유지한다.


따라서 우리가 임의로 칼슘 섭취량을 조절 안해도 몸에서 알아서 칼슘 농도를 조절하니 칼슘 부족을 걱정할 필요가 사실상 없다. 드물게 갑상선 수술 후 부작용으로 생긴 부갑상선 기능저하가 있거나, 위장관 수술을 하여 칼슘 흡수에 문제가 있는 사람이 아닌 이상 칼슘보충제를 따로 먹을 이유가 없다 [27].


우유도 못 마시게 하고, 칼슘보충제도 먹지마라 하면 “그럼 칼슘은 어디에서 얻나?” 며 칼슘 부족을 걱정하시는 분들도 계실 것이다.


칼슘은 우유에만 있는 것이 아니고 케일 등 녹색잎채소나 콩, 김, 참깨, 아몬드 등 여러 음식물에 다양하게 들어있다. 우유가 칼슘의 대명사처럼 인식되어 있어, 독자들의 이해를 돕기 위해 우유와 비교하여 흔히 먹는 식품 100g 당 포함된 칼슘 함량을 찾아보았다.


우유 116mg, 김치 51mg, 고추장 51mg, 두부 64mg, 미역 79mg, 시금치 86mg, 청경채 87mg, 셀러리 88mg, 쑥갓 91mg, 고구마줄기 92mg, 갓김치 103mg, 다시마 103mg, 시래기(무청) 108mg, 된장 114mg, 열무 134mg, 취나물 135mg, 병아리콩 153mg, 톳 157mg, 대두 169mg, 김 174mg, 상추 178mg, 고사리 188mg, 아마씨 210mg, 도라지 246mg, 케일 254mg, 깻잎 296mg, 아몬드 337mg, 고춧잎 369mg, 들깨 416mg, 쑥 944mg, 참깨 1316mg 등 함량의 차이는 있지만 대부분의 식물성 식품에는 칼슘이 많이 들어있다 [28].


참고로 동물성 식품의 칼슘 함량은 소고기(등심) 11mg, 돼지고기(삼겹살) 6mg, 고등어 26mg, 계란 47mg 등으로 우유를 제외하면 오히려 식물성 식품보다 칼슘 함량이 더 낮다. 따라서 육식이 아닌 채식 위주의 식사를 하는 분이면 칼슘 부족 걱정을 할 필요가 없다. 또한 식물성 식품 자체는 알칼리성이라 신장의 pH 수치를 높여 칼슘이 소변으로 빠져나가는 것을 막아 칼슘이 잘 보존되기에 궁극적으로 골다공증을 예방할 수 있다 [29].


칼슘은 다른 미네랄보다 특별히 더 중요하지도 않고, 쉽게 결핍되지도 않는다. 뼈를 전공하는 정형외과 전문의인 필자는 지난 30년간 칼슘 결핍으로 뼈가 약해진 환자를 단 한명도 본 적이 없다.


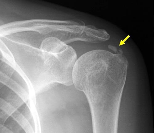
오히려, 칼슘보충제 복용으로 높아진 칼슘 수치는 심혈관을 석회화시켜 심각한 문제를 일으킬 뿐만 아니라, 팔이나 다리 혹은 어깨의 인대나 힘줄에 석회를 침착시켜 석회성 건염(calcific tendinitis)을 유발하기도 한다 [30].

건염. (1).jpg 46세 여성 좌측 어깨에 발생한 석회성 건염


사실이 이럼에도 불구하고 칼슘보충제는 여전히 잘 팔리고 있다. 제약회사의 마케팅, 각종 매체에서 쏟아져 나오는 잘못된 건강정보들로 인하여, 오늘도 영문도 모른 채 심장마비를 겪어 생사의 갈림길에 있거나, 중풍으로 사지마비가 되는 분들이 어딘가엔 계실 것이다. 이런 피해자들이 더 이상 안 생기게, 칼슘보충제의 진실이 주변에 많이 알려지면 좋겠다. 이것이 필자가 글을 쓰는 이유이기도 하다.


위와 같은 한바탕 홍역을 치른 후, 미국인의 건강증진 서비스 권고문을 만드는 질병예방특별위원회에서는 골다공증 혹은 비타민D 결핍증으로 진단받지 않은 폐경 후 여성에게 골절 예방 목적의 칼슘보충제는 불필요하다고 2013년부터 명시하고 있다 [31].

세계에서 가장 오래되고 저명한 영국의 과학 학술지 네이처에 칼슘보충제 문제에 대한 해답이 나와있다 [32]. “The absence of clear beneficial effect on fracture risk, the use of calcium supplements should be discouraged, and individuals advised to obtain calcium from a balanced diet".


Balanced diet 란 무엇인가? 우유처럼 칼슘은 많이 들어있으나 몸에 해로운 식품 말고, 적당량의 칼슘과 몸에 좋은 채식이 바로 그것이고, 약으로 섭취한 칼슘과는 달리 음식으로 섭취한 칼슘은 아무런 문제를 일으키지 않는다 [33,34].


칼슘보충제 복용은 이제 멈추어야 한다.


칼슘은 약으로 먹는 게 아니라, 음식으로 섭취해야 한다.


음식이 바로 약이기 때문이다.




참고문헌

1. U.S. Department of Agriculture, Agricultural Research Service. What We Eat in America, NHANES 2017-2018.

2. M Chapuy, M Arlot, F Duboeuf, et al. Vitamin D3 and calcium to prevent hip fractures in the elderly women. N Engl J Med 1992;327:1637-1642.

3. NIH Consensus Development Panel on Osteoporosis Prevention, Diagnosis and Therapy. Osteoporosis prevention, diagnosis, and therapy. JAMA 2001;285:785-795.

4. JR Lewis, K Zhu, RL Prince. Adverse events from calcium supplementation: relationship to errors in myocardial infarction self-reporting in randomized controlled trials of calcium supplementation. J Bone Miner Res 2012;27:719-722.

5. WG Goodman, J Goldin, B Kuizon, et al. Coronary-artery calcification in young adults with end-stage renal disease who are undergoing dialysis. N Engl J Med 2000;342:1478-1483.

6. GA Block, P Raggi, A Bellasi, et al. Mortality effect of coronary calcification and phosphate binder choice in incident hemodialysis patients. Kidney international 2007;71(5):438-441.

7. D Russo, I Miranda, C Ruocco, et al. The progression of coronary artery calcification in predialysis patients on calcium carbonate or sevelamer. Kidney International 2007;72(10):1255-1261.

8. MJ Bolland, PA Barber, RN Doughty, et al. Vascular events in healthy older women receiving calcium supplementation: randomised controlled trial. BMJ 2008;336(7638):262-266.

9. IR Reid, MJ Bolland, PN Sambrook, A Grey. Calcium supplementation: balancing the cardiovascular risks. Maturitas 2011;69(4):289-295.

10. PN Sambrook, ID Cameron, JS Chen, et al. Does increased sunlight exposure work as a strategy to improve vitamin D status in the elderly: a cluster randomised controlled trial. Osteoporosis International 2012;23:615-624.

11. K Pentti, MT Tuppurainen, R Honkanen, et al. Use of calcium supplements and the risk of coronary heart disease in 52–62-year-old women: The Kuopio Osteoporosis Risk Factor and Prevention Study. Maturitas 2009;63(1):73-78.

12. Q Xiao, RA Murphy, DK Houston, et al. Dietary and supplemental calcium intake and cardiovascular disease mortality: the National Institutes of Health–AARP diet and health study. JAMA Intern Med 2013;173(8):639-646.

13. K Michaëlsson, H Melhus, EW Lemming, et al. Long term calcium intake and rates of all cause and cardiovascular mortality: community based prospective longitudinal cohort study. BMJ 2013;346:f228.

14. KJ Kim, MS Kim, N Hong, et al. Cardiovascular risks associated with calcium supplementation in patients with osteoporosis: A nationwide cohort study. European Heart Journal - Cardiovascular Pharmacotherapy 2022;8(6):568-577.

15. JM Park, B Lee, YS Kim, et al. Calcium Supplementation, Risk of Cardiovascular Diseases, and Mortality: A Real-World Study of the Korean National Health Insurance Service Data. Nutrients 2022;14(12):2538.

16. Li, R Kaaks, J Linseisen, S Rohrmann. Associations of dietary calcium intake and calcium supplementation with myocardial infarction and stroke risk and overall cardiovascular mortality in the Heidelberg cohort of the European Prospective Investigation into Cancer and Nutrition study. Heart 2012;98:920e925.

17. J Bolland, A Avenell, JA Baron, et al. Effect of Calcium Supplements on Risk of Myocardial Infarction and Cardiovascular Events: Meta-analysis. British Medical Journal 2010;341:3691.

18. RG Cumming, SR Cummings, MC Nevitt, et al. Calcium intake and fracture risk: results from the study of osteoporotic fractures. Am J Epidemiol 1997;145(10): 926–934.

19. A Grant, A Avenell, M Campbell, et al. Oral vitamin D3 and calcium for secondary prevention of low-trauma fractures in elderly people (Randomised Evaluation of Calcium Or vitamin D, RECORD): a randomised placebo-controlled trial. Lancet 2005;365:1621-1628.

20. RL Prince, A Devine, SS Dhaliwal, et al. Effects of calcium supplementation on clinical fracture and bone structure: results of a 5-year, double-blind, placebo-controlled trial in elderly women. Arch Intern Med 2006;166:869-875.

21. IR Reid, B Mason, A Horne, et al. Randomized controlled trial of calcium in healthy older women. Am J Med 2006;119:777-785.

22. HA Bischoff-Ferrari, B Dawson-Hughes, JA Baron, et al. Calcium intake and hip fracture risk in men and women: a meta-analysis of prospective cohort studies and randomized controlled trials. The American Journal of Clinical Nutrition 2007;86(6):1780-1790.

23. CH Turner. Bone strength: current concepts. Annals of the New York Academy of Sciences 2006;1068(1):429-446.

24. P Zioupos. Ageing human bone: factors affecting its biomechanical properties and the role of collagen. Journal of Biomaterials Applications 2001;15(3):187-229.

25. HE Theobald. Dietary calcium and health. Nutrition Bulletin, 2005;30(3):237-277.

26. CD Hunt, LAK Johnson. Calcium requirements: new estimations for men and women by cross-sectional statistical analyses of calcium balance data from metabolic studies. The American Journal of Clinical Nutrition 2007;86(4):1054-1063.

27. IR Reid, SM Bristow, MJ Bolland. Calcium supplements: benefits and risks. Journal of internal medicine 2015;278:354-368.

28. 농촌진흥청, 국립농업과학원, 국가표준식품성분표 http://koreanfood.rda.go.kr/kfi/fct/fctFoodSrch.

29. CA Gunn, JL Weber, AT McGill, et al. Increased Intake of Selected Vegetables, Herbs and Fruit may Reduce Bone Turnover in Post-Menopausal Women. Nutrients 2015;7(4):2499-517.

30. A Rouhani, J Soleimanpour, A Sadeghilar, A Tabrizi. The Relation between Calcium Supplement Consumption and Calcific Shoulder Tendonitis. Advances in Bioscience and Clinical Medicine 2015;3(4):11-16.

31. M Nestle, MC Nesheim. To supplement or not to supplement: the US Preventive Services Task Force recommendations on calcium and vitamin D. Annals of internal medicine 2013. https://doi.org/10.7326/0003-4819-158-9-201305070-00605.

32. IR Reid, MJ Bolland. Calcium supplements and cardiovascular risk. Nature Reviews Cardiology 2012;9:497-498.

33. S Chalupka. Associations of dietary calcium intake and calcium supplementation with myocardial infarction, stroke, and overall cardiovascular mortality. Workplace Health & Safety 2012;60(8):372.

34. K Li, R Kaaks, J Linseisen, S Rohrmann. Associations of dietary calcium intake and calcium supplementation with myocardial infarction and stroke risk and overall cardiovascular mortality in the Heidelberg cohort of the European Prospective Investigation into Cancer and Nutrition study (EPIC-Heidelberg). Heart 2012;98:920-925.

keyword
작가의 이전글우유 마시지 마세요. 뼈가 더 약해집니다