brunch

든든한 지원군을 가진 심장사상충

by 노트펫

반려동물에게 있어 심장사상충이 무척 흔한 기생충이라는 건 이미 많은 분들이 알고 계십니다. 모기에 의해 전염되며, 정기적인 예방이 필요하다는 사실도요.


그런데 기생충인 심장사상충에 기생하는 기생충이 있다는 사실은 널리 알려져 있지 않습니다. 이번 이야기의 주인공은 기생충에 기생해서 사는 기생생물, 월바키아(Wolbachia)입니다.


Fotolia_123204011_Subscription_Monthly_M.jpg

‘리케챠’ 라고 하는 특이한 생물체들이 있습니다. 넓게 보면 세균의 일종이라고 볼 수 있습니다.


하지만 혼자서도 살 수 있는 세균과는 달리 살아있는 세포 안에서만 자신을 복제하며 생명 현상을 유지할 수 있는 기생생물입니다. 보통은 절지동물, 특히 곤충류의 세포 내에 기생하죠.

Fotolia_55340609_Subscription_Monthly_M.jpg

그 중에서 월바키아 피피엔티스(Wolbachia pipientis)는 심장사상충의 몸속에서 흔히 발견됩니다.

심장사상충의 전 생애를 함께하며, 성충에서는 피하세포층에서 발견되는데 특히 암컷 심장사상충에서는 난소와 난자에도 기생하는 것으로 알려져 있습니다.


당연히, 이 과정에서 심장사상충이 번식하게 되면 새로 태어난 사상충에게도 월바키아가 감염됩니다.

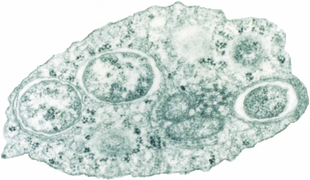
브런1.png 전자현미경으로 본 월바키아의 겉모습은 이렇습니다. 괜히 계란 프라이가 생각나네요.

기생생물이지만, 반려동물들에게 해를 끼치는 심장사상충과는 달리 월바키아는 심장사상충에 해를 끼치지 않습니다.


오히려 심장사상충과 월바키아는 공범에 가깝습니다. 정확한 이유는 아직 알 수 없지만, 월바키아가 제거된 심장사상충은 생식기능에 문제가 생겨 결국은 사멸하게 되거든요.


현재 연구자들은 이 두 생물이 서로 혜택을 주고받는, 상리 공생 관계에 있다고 보고 있습니다.


Fotolia_132652858_Subscription_Monthly_M.jpg

사실 월바키아 피피엔티스 외에도, 월바키아에 속하는 리케챠들은 다른 생물체에 대를 이어 감염되는 기생 생물 중에서도 가장 성공적이고 모범적인 기생생활(?)을 하는 생물들입니다.


아닌 게 아니라, 육지에 사는 절지동물 종 가운데 무려 40%는 월바키아를 가지고 있거든요.


이는 아마도 숙주의 생식기계에 영향을 미치는 특성과, 기생하는 대상에 주로 도움이 되는 일을 하는 특성이 결합되어 나타난 결과가 아닐까 합니다.

브런2.png 기생 생물계의 유재석이라고나 할까요 (...)해피투게더 화면 캡처.

심장사상충은 이런 모범 기생생물을 가지고 있으면서도, 정작 기생생활을 하는 자신은 숙주의 혈관 속에서 악영향을 미치며 건강상 문제를 일으키니 참 골칫거리가 아닐 수 없습니다.


심장사상충에 사는 월바키아에겐 안 된 일이지만, 심장사상충 자충을 미리 잡아서 예방하는 것이 반려동물의 건강을 지키는 길이라는 점을 명심해 주세요.


※ 본 콘텐츠는 양이삭 수의사(yes973@naver.com)가 노트펫에 기고한 칼럼을 바탕으로 작성되었습니다.

에디터 김승연 <ksy616@inbnet.co.kr>

keyword