brunch

우리 집 강아지, 콧물이 멈추질 않아요

by 노트펫

Idiopathic lymphoplasmacytic rhinits (ILPR)

Fotolia_110120052_Subscription_Monthly_M.jpg

사람도 너무 과도한 콧물의 분비가 문제가 되는 것처럼, 반려동물도 역시 과도한 콧물의 분비는 문제가 될 수 있습니다.


'강아지들은 원래 코가 축축하지 않나요?'라고 물으실지도 모르겠습니다. 물론 강아지들의 코는 보통 축축한 상태로 유지됩니다.


하지만 어떤 원인으로 인해 코에 염증이 생기고 콧물이 과도하게 분비되는 경우 질병 상태로 볼 수 있는데요.


이렇게 과도하게 생성된 콧물은 콧구멍의 통로를 막거나 공기의 흐름을 방해하기 때문에 콧물과 함께 재채기를 하거나, 숨을 쉬면서 코를 골거나 앞발로 코 부분을 긁는 등의 증상을 함께 보일 수 있습니다.

솨진1.png 그냥 딱 보기에도 걸쭉한 콧물이 나오는 경우도 있고요.(출처:Vetbook.org)

그런데 아시다시피 콧물 자체는 '증상'이기 때문에 수의사들이 콧물만 치료하지는 않습니다. 콧물을 나게 하는 근본 원인을 찾는데요.


우선적으로 감염성 질환(강아지라면 파라인플루엔자와 아데노바이러스에 의한, 고양이라면 허피스와 칼리시바이러스 등에 의한 상부 호흡기 감염이 떠오를 수 있겠네요)이 흔한 원인이 될 수 있습니다.

Fotolia_122914618_Subscription_Monthly_M.jpg

이외에도 바이러스가 아닌 세균이나 진균 기생충 감염은 물론 외부에서 들어온 이물질, 콧구멍 내부의 종양, 심지어 위쪽 어금니의 치근농양이 심해지는 경우에도 콧물 증상이 생길 수 있는데요.


만약 여러 가지 충분한 검사를 통해서도 원인이 밝혀지지 않고 장기간 콧물이 계속될 경우...Idiapathic lymphoplasmacytic rhinitis (ILPR), 특발성 림프형질세포성 비염을 의심해볼 수 있습니다.

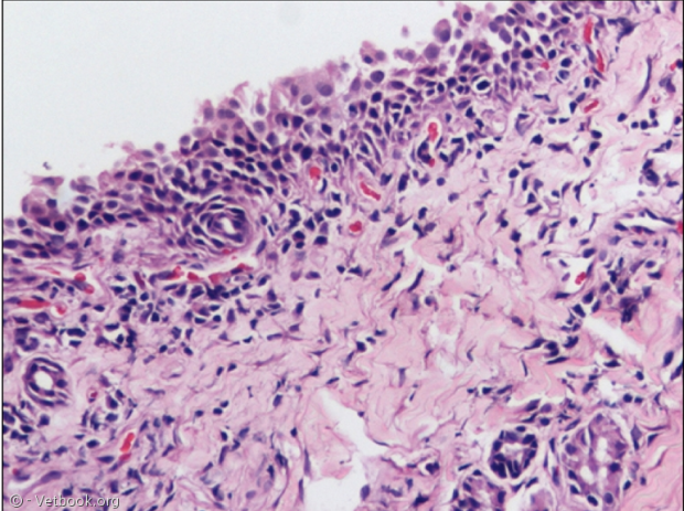
솨진2.png 하얀 것은 배경이오, 파란 것은 세포로다... 농담이냐고요? 진짭니다.

(출처: Clinical findings, rhinoscopy and histological evaluation of 54 dogs with chronic nasal disease)


끈적한 점액성 콧물 분비가 만성적으로 지속되는 것을 특징으로 하는 질병인데, 염증이 생긴 비강 점막 조직을 채취해서 살펴보면 림프구와 형질세포가 (면역과 관련된 세포들입니다) 다수 발견되는 특징이 있어서 이런 이름이 붙여졌습니다.


관련 연구 결과를 보면 면역계와 관련된 유전자의 발현 조절에 문제가 생겨서 외부의 특정 미생물이나 물질에 대해 비정상적인 면역 반응을 보이는 것으로 알려져 있습니다.

Fotolia_122021071_Subscription_Monthly_M.jpg

즉 아토피 내지는 알레르기와 유사한 경향을 보이는 것인데, 안타깝게도 정확히 어떤 물질이 원인이 되며 면역계의 어떤 경로를 통해 질병이 발생하는지에 대해서는 추가적인 연구가 필요한 상황입니다.


강아지에서 장기간 지속되는 콧물은 ILPR로 진단되는 경우가 적지 않다고 합니다.


다만 콧물이 장기간 지속되는 경우 자체가 많지 않기 때문에 주변에서 흔히 볼 수 있는 질병은 아니랍니다.

Fotolia_148544092_Subscription_Monthly_M.jpg

※ 본 콘텐츠는 양이삭 수의사(yes973@naver.com)가 노트펫에 기고한 칼럼을 바탕으로 작성되었습니다.

에디터 김승연 <ksy616@inbnet.co.kr>


keyword