지구에서 가장 행복한 의사(22)

장모님 이야기, 이게 왠 날벼락...

by 김정훈
지구에서 가장 행복한 의사 : 스물두 번째 이야기 - 장모님 이야기.. 이게 왠 날벼락!


나는 인턴 생활 중에 둘째 아이를 갖게 되었다. 첫째는 의과대학 입학하면서 낳았는데 의과대학 학생 신분으로 둘째를 갖는다는 것은 큰 모험이었다. 수입도 없는데 분유값도 빠듯한 생활이어서 둘째는 늘 미뤄 왔었다. 그러나 아내는 꼭 딸을 갖고 싶다며 의과대학 졸업할 무렵 둘째, 둘째... 노래를 불렀다.


1.png


정말 그렇게 되기도 쉽지 않겠지만 의과대학 졸업이 다가오면서 아내는 둘째를 임신했고 정말 그 바람대로 딸이었다.


내가 산부인과 인턴을 돌 때 아내는 딸을 동산의료원에서 낳았고 나는 여러 선생님들의 배려로 출산의 전 과정을 함께 하는 복을 누릴 수 있었다. 아내는 딸을 그렇게 소원했는데 막상 낳고 보니 첫째 아들과 별반 다를 것이 없었다. 머리가 길기 전까지는 귀엽긴 하지만 딸이란 게 그리 실감 나지 않았다. 그러나 어쨌든 우린 딸을 얻었고 나와 아내는 매우 흡족했고 감사했다. 머리가 길어지면서 확실히 딸은 딸임을 알게 되었고 정말로 사랑스러운 자태를 지니게 되었다.


2.png


아내가 둘째를 낳고 퇴원 후에 장모님께서 우리 집에서 함께 살게 되셨다. 장모님은 손녀를 그렇게 이뻐하셨다. 업어 주고 안아 주고 노래를 불러 주며 손녀를 돌보셨다.


이듬해 나는 전공의 지원에서 탈락하고 중소병원 응급실 당직의 로 하루하루 생활하는 중이었다. 그렇게 신날 일은 없었지만 야간에 당직을 하고 아침에 퇴근하고 오전에 잠을 좀 자고 나면 저녁에 출근할 때까지 나만의 시간이 있었다.


3.png


이게 얼마 만에 갖는 나만의 시간인가? 그 시간에 아내와 함께 둘째 목욕을 시키기도 하고 잠깐 산책을 가기도 했다. 당시 첫째 아들이 초등학교 1학년이었는데 손잡고 학교를 데려다준 후에 아침잠을 청하곤 했다. 이렇게 가족과 여유 있게 오붓한 시간을 보내는 것도 정말 오랜만이었다.


4.png


화창한 어느 봄날이었다. 내 기억으론 그 날은 낮이었는데 내가 응급실 근무를 하고 있었다. 근무하던 중에 집에서 전화가 왔다.


엄마가 말이 좀 이상해...


아내는 장모님께서 말씀하는 게 좀 어눌하다고 내게 전화를 했다. 나를 바꿔주었는데 내가


타타타, 츠츠츠...

따라 해보라고 했다.


5.png


타타타, 츠츠츠... 잘 따라 하셨고 그리 이상한 점은 느낄 수 없었다. 그래도 모르니까 다니던 병원에 가보라고 했다. 이제 막 인턴 마친 사람보다는 전문의 소견이 중요할 것 같았다. 다니던 병원의 전문의 선생님도 딱히 이상한 느낌은 없으셨기에 다시 집으로 돌아오셨다. 저녁 무렵 퇴근해서 다시 발음을 해 보라고 했다. 괜찮았다. 아내가 듣기에도 지금은 괜찮다고 한다. 아내는 고개를 갸웃거리며 "이상하다. 아깐 분명 이상했는데..."


그렇게 해프닝으로 지나가나 했는데 다음날 아침 일어나서 아침을 준비하는 장모님을 보고 다시 발음을 해보라고 했다.

발음이 분명치 않았다.


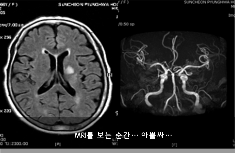
아뿔싸, 큰 일이다. 뇌졸중이다!!!


6.png


바로 동산의료원 신경과 후배에게 전화를 하고 장모님을 모시고 응급실로 달려갔다. 그래도 그때까지 장모님은 팔다리에 힘은 괜찮으셨다. 그러나 응급실에서 MRI 검사를 하고 뇌경색으로 판정이 나고 하는 과정에서 조금씩 오른팔에 기운이 떨어지기 시작했다.


7.png


뇌졸중은 언제나 시간과의 싸움이다.

돌아보니 아내가 어제 장모님이 젓가락질하다가 반찬을 놓치기도 했다고 한다. 두고두고 후회스럽고 아쉽다. 아내가 이상하다고 할 때 바로 응급실로 왔더라면... 하는 후회를 십수 년이 지난 지금도 하고 있다. 장모님이 다니던 신경외과 원장님은 "내가 봤을 때도 그 상황에서 바로 응급실 모시고 가기는 어렵다. 전문의 소견도 있었고 하니 자네가 자책할 일은 아니다."라고 말하시지만 안타깝고 후회스런 마음은 어쩔 수가 없다.


8.png


응급실 도착 당시 장모님의 상태가 아주 위험하지는 않았고 최초 발생 시점에서 시간이 15시간가량 지나서 뇌출혈의 위험을 감수하고 혈전을 녹이는 약을 쓸 형편이 아니었기에 더 이상 진행을 방지하는 약을 쓰고 있었다. 그러나 어디 사람 일이 그렇게 원하는 대로만 되는가... 최대 용량을 쓰는데도 불구하고 장모님 상태는 조금씩 조금씩 더 나빠져만 갔다.


지금 생각해 보면 첫날 전화받을 당시는 일과성 허혈이라고 해서 뇌혈관이 잠깐 막혀서 증상이 생겼던 것 같다. 그러다가 다시 혈관이 재개통되면서 증상이 좋아졌다가 다음날 아침 재경색이 온 것으로 생각된다. 흔한 경우는 아니지만 아주 드문 일도 아니다. 일과성 허혈이 있은 뒤 바로 몇 시간 뒤 진짜 뇌경색이 온 셈이다.


약 2주간의 시간이 흐르면서 장모님의 상태는 진행이 멈췄는데 오른쪽 팔다리에 힘이 많이 빠지셔서 혼자 힘으로 걷는 것이 어렵고 손도 쓰기 어려웠다.


9.png


재활병원으로 옮겨서 오랜 기간 동안 재활치료를 하기 시작했다. 안심할 정도는 아니지만 몇 달간의 재활 후에 장모님은 천천히 조금씩 걷는 정도가 되었다.


이제 좀 여유가 생기려 하는데... 장모님이 저렇게 되시고 나니 힘이 쫙 빠졌다. 가족 한 사람이 중한 병이 걸리고 나면 온 가족이 어려움에 직면하게 되고 모든 것이 그전과는 완전히 달라지게 된다. 우리 가족은 장모님을 우선시하여 모든 결정을 내려야 했다. 어찌 되었든 장모님이 잘 회복하고 적응을 할 수 있는 범위 내에서 계획을 짜게 되었다.


10.png


한 사람을 잘 재활해서 독립적인 생활이 가능하게 하는 것은 그 사람뿐만 아니라 온 가족의 문제를 해결하는 셈이다. 실제로 큰 장애를 가지고 거동을 하기 어렵게 되면 가족 한 사람이 그 사람에게 매여서 헤어 나오지 못하는 경우를 많이 보았다. 가뜩이나 어려운 형편에 이렇게 되면 온 가족이 나락으로 빠져드는 것이다. 나는 장모님의 재활 과정을 지켜보면서 재활의 궁극적인 가치는 한 집안을 구원하는 것이 될 수도 있다고 생각하게 되었다.


아... 장모님...

이제는 머언 먼 길을 돌아와.JPG

아이들은 벌써 이렇게 컸는데 장모님은 희미해져 가시네요...

언약 아람이와 함께.jpg


keyword
작가의 이전글지구에서 가장 행복한 의사 이야기(21)