brunch

실수하면 죽는다. 고로 나는 집중한다

내가 사랑한 다큐멘터리 2 - 『프리 솔로』

by 히피 지망생

인생을 한 번 더 살아볼 기회가 주어진다면 어떤 삶을 살아볼까? 가끔 스스로에게 던지는 질문이다. 내게 그런 기회가 주어진다면 불가능에 도전하는 삶을 살아보고 싶다. 에베레스트에 오른다던지 남극을 횡단한다던지 하는, 한계에 도전하는 삶. 도전이라는 숙명 앞에 목숨도 던질 각오가 되어있는 모험가의 삶. 누구도 가지 않은 길에 첫 발자국을 내는 탐험가의 삶. 어린 시절부터 그런 삶을 동경해왔다.


그러나 이런 생각의 끝은 늘 하나로 귀결된다.


'아 됐고, 인생은 한번 뿐이니 가능한 하고 싶은 거나 다해보고 가자'

그렇다. 인생은 한번 뿐이다. 나는 죽고 싶지 않고, 내게 주어진 단 한 번의 기회를 단번에 날려버릴 수 있는 모험을 감행할 용기도 없다. 그래서 내가 가지 못한 길을 성큼성큼 걸어가는 그들을 동경하는 건지도 모르겠다. 본디 사람은 자기가 가지지 못한 걸 가진 사람들을 동경하게 마련이니까.


여기, '목숨 걸고 도전한다'는 표현에 딱 걸맞은 등반가가 있다.

아저씨, 여기서 이러시면 안돼요ㅠㅠ


알렉스 호놀드(Alexander Honnold).

세계적으로 유명한 프리 솔로다. 프리 솔로는 로프 등 인공적인 보조 수단 없이 맨 몸으로 암벽을 오르는 암벽등반 방식으로, 세상에서 가장 위험한 스포츠를 논할 때 빠지지 않고 등장하는 스포츠다. 실수하는 즉시 바로 사망으로 직결되기에 '윙 슈트 플라잉'과 더불어 부상자가 없는 스포츠로도 유명하다.

부상자가 없는 스포츠로 유명한 윙 슈트 플라잉

윙슈트 플라잉과 프리 솔로 중 뭐가 더 위험할까?

누가 에게 한 번 더 살아볼 기회를 줄 테니 윙슈트 할래? 프리 솔로 할래? 물어본다면 난 윙슈트를 선택하겠다. 내 생각에는 프리 솔로가 더 위험하다. 프리 솔로에는 빠꾸가 없다. 실수해도 죽고, 암벽을 타고 올라가는 도중에 길을 잘못 들어도 죽는다. 등반 도중에 갑자기 두려움이 엄습해 오도 가도 못하는 상황이 와도, 죽는다.

내려가는 건 올라가는 것보다 몇 십배는 더 어렵다. 등반 도중에 평정심을 잃고 '엄마, 나 집에 갈래' 할 수 없다는 뜻이다. 일단 시작하면 정상까지는 올라가야한다. 그만큼 멘탈이 중요한 스포츠다.

프리솔로는 보는 사람에게도 멘탈이 필요하다. 구경하는 것만으로도 심장이 쫄깃해 질터이니, 심장 질환자나 고소공포증이 있는 분은 시청을 삼가하자.



『프리 솔로』는 알렉스 호놀드의 역사적인 프리 솔로 도전을 다룬 영화다. 알렉스가 도전하는 산은 어제 소개한 『던 월(Dawn Wall) 』에서 토미와 조니도 올랐던 엘 케피탄이다. 그러나 그들과 결정적인 차이가 있다. 알렉스는 로프 없이 '맨 몸으로' 암벽을 오른다. 실수하면 곧 죽는다는 뜻이다.


산악 다큐멘터리를 볼 때에는 다른 영화를 볼 때와는 다른 마음 가짐을 갖게 된다. 왠지 모르게 자세를 고쳐 앉게 된다. 누워서 편하게 볼 수 없다. 『프리 솔로』를 볼 때에도 그랬다. 프리 솔로는 여타 작품과는 또 다르다. 실수해도 다시 도전하면 되는 다른 작품들과 달리 『프리 솔로』는 실수하는 순간 주인공이 '실제로' 죽기 때문에 화면에서 눈을 뗄 수 없다. 단언컨대 지금껏 내가 봤던 모든 영화를 통틀어 가장 몰입도가 높은 영화였다.

(영화를 보는 도중에 친구가 같이 운동하러 가자고 전화가 왔다. 이런 전화는 거절하는 법이 없는데도 이날은 거절했다. 끝부분이 궁금해서 도저히 견딜 수 없었다. 만약 친구의 설득에 못이겨 뛰러 나갔더라도 뒷부분이 궁금해져 금세 뛰어 들어왔을 것이다. 『프리 솔로』는 그런 영화다)

제발 그 손을 놓지 마~

영화를 보는 내내 머릿속을 휘젓는 생각은 대부분 비슷하리라.


'주인공이 실수하면 어떡하지?에이, 설마... 그랬다면 이 영화가 나왔겠어?아니지. 실수로 주인공이 죽었다 해도 떨어지는 장면만 편집으로 걷어내고 영화에 내보내면 되는 거잖아?만일 주인공이 죽더라도 영화는 내보내는 게 주인공의 유언일 수도 있으니까.

그나저나 주인공 표정 좀 봐. 이 사람도 어지간히 겁나긴 한가보다. (실제로 주인공은 중간에 도전을 중단한다) 하긴 실수 한 번이면 모든 게 끝나는데 누군들 안 두렵겠어? 사람은 다 똑같아. 어라? 근데 또 도전하네? 진짜 미친 거 아냐? 제발 멈춰. 그래도 돼. 이야기의 끝을 맺으려는 거라면 여기서 멈춰도 충분히 아름다운 스토리야.

제발 멈춰 줘~ 제발~"


누구나 한 번쯤은 이런 생각도 해볼 것이다.

"한 번뿐인 인생인데 소중한 기회를 이런 식으로 써도 되는 거야?"

알렉스에게 직접 물어보자.

"죽음이 두렵지 않나요? 왜 그런 짓을 하죠?"

그는 대답한다.

"실패한다면 제 인생 최악의 4초가 되겠죠? 아마 반쯤은 '최소한 자기가 좋아하는 것을 하다 죽었어'라고 말할 것이고, 나머지는 '멍청하기 짝이 없는 놈'이라고 말할 겁니다."


어차피 답은 없다. 다만 나는 '최소한 자기가 좋아하는 것을 하다 죽었어'라는 그의 말에 마음이 더 쓰인다. 언젠가 내가 아내에게 했던 말과도 비슷하다. 그때가 언제였더라. 유난히 나에게 사건 사고가 잦다는 걸 깨달은 날, 아내에게 이런 얘기를 했었지.

"내가 하고 싶은 거 하다 죽는다면 슬퍼하지 않아도 돼."


인생은 결국 선택과 책임이다. 어떤 선택을 하든 자기 선택에 책임지면 되는 거다. 프리 솔로는 그런 선택이 운명인 사람들이고, 우리는 그들의 거부할 수 없는 운명을 일컬어 '숙명'이라 부른다.

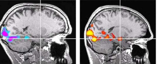
(실제로 알렉스는 일반인과 뇌구조부터 다르다고 한다. 알렉스의 뇌에서는 공포를 느끼는 편도체의 활동이 감지되지 않는다나? )



이쯤에서 결말이 궁금할 것이다. 지금도 포털사이트에서 알렉스 호놀드를 검색어를 입력하면 '알렉스 호놀드 사망'이 뜬다. 진짜 그는 사망했을까? 그는 도전에 성공했을까? 실패했을까? 지금 이 세상에 있을까? 없을까?

궁금하다면 영화를 보자. 이 영화만큼은 스포하고 싶지 않다. 당신의 몰입을 깨고 싶지 않다. 1시간 반 동안 시간이 순삭하는 경험을 해보자.


tmi.


1

알렉스에게 주어진 기회는 단 한 번이기에 그는 로프를 달고 같은 코스를 반복해서 오르며 실수의 가능성을 낮춘다. 이때 숙소와 암벽의 거리가 멀면 출퇴근(?)에 에너지가 소모되기에 암벽 근처에 캠핑카를 세워두고 여기서 생활한다.

이때만 해도 캠핑카에서 사는 그가 그렇게 부러울 수 없었는데, 이 영화를 보고 1년 후 나 또한 캠핑카에서 살게 됐으니, 내 인생도 레전드.


2

알렉스 같은 자녀를 둔 부모의 심정은 어떠할까?우연히 접한 뉴스는 이런 궁금증을 단번에 날려줬다.

[그 어머니에 그 아들... 세계 최고난도 암벽 등반한 70세]

(이 분이 알렉스 호놀드의 어머니임)

진짜 그 어머니에 그 아들이다 ㄷㄷ




keyword
작가의 이전글새벽의 어떤 기다림