brunch

시멘트 어깨

석회화 건염(calcific tendinitis)

by 이정욱 교수
공식적인 병명은 석회화 건염(calcific tendinitis)


40f5427e2760f467b6e0de5c55dd21_gallery.jpeg


석회화 건염은 건(힘줄) 내부에 칼슘이 축적되어 발생하는 질환으로, 주로 어깨 부위에서 많이 발생한다.

석회화되는 '건염'은 '힘줄의 염증'이 칼슘(Ca)이 쌓여 시멘트처럼 딱딱해지는 염증성 질환이다.

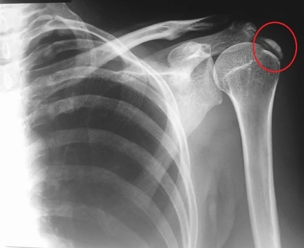
X-ray로 어깨를 찍어보면 위 사진처럼 어깨뼈에 하얗게 덮인 석회가 보인다.

다행스럽게도 석회화 건염은 치료할 수 있는 질환이다.


석회화 건염은 초기에 잘못된 수면습관으로 인한 통증으로 오해를 할 수 있으며 치료 시기가 늦어지는 경우가 잦다. 석회화 건염은 치료를 하지 않으면 통증이 계속된다. 일상생활에서 어깨를 움직일 때마다 통증이 발생하기 때문에 팔을 들어 올리거나 뒤로 젖히는 동작을 할 수 없고 지독한 통증과 불편함을 느끼게 된다.

옷을 갈아입을 수가 없고, 물건을 들 수 없고 아픈 부위 쪽으로 돌아누워 잠을 잘 수도 없다.


석회화 건염은 팔을 사용할 수 없기 때문에
삶의 질이 급속하게 낮아진다.


rotator-cuff-featured-image-scaled-500x383.jpg complete-physio.co.uk


석회화 건염의 가장 흔한 증상은 통증이다.

초기에는 경미한 통증이 발생하지만, 시간이 지남에 따라 통증의 강도가 강해지며

특히 나이트 페인(night pain)이라고 하는 밤의 통증이 심해지기 때문에 깊은 수면에 어려움을 겪는다.


석회화 건염의 발생 기전에 대한 정확한 원인은 아직 완전히 밝혀지지 않았지만,

주로 어깨를 반복적으로 사용하는 일상생활이나 운동이 건에 스트레스를 주어 석회화의 원인이 될 수 있다.

비만, 당뇨와 같은 내분비 질환이 있으면 건에 혈액 공급이 원활하지 않고 칼슘이 축적될 가능성이 높아진다. 석회화 건염의 또 하나 원인은 노화다.

나이가 들면서 건 조직이 약해지고 퇴행성 변화가 일어나 석회화가 발생할 수 있다.


shockwave-therapy-treatment.jpg bendtotalbodychiropractic.com


석회화 건염에서 발생하는 석회는 100% 순수 석회(칼슘)는 아니다. 칼슘 인산염(Calcium Phosphate)이 주된 성분으로, 석회화의 대부분을 구성하고 칼슘 탄산염(Calcium Carbonate), 마그네슘, 나트륨 등의 미네랄 그리고 콜라겐 등의 유기 물질이 일부 섞여 있는 복합체다. 이 물질이 조직 내에서 염증 반응을 유발하게 된다.


석회화 건염의 치료는 증상의 정도와 환자의 상태에 따라 다르지만

1차적으로는 비스테로이드성 항염증제(NSAIDs)나 진통제 등을 사용하여 통증과 염증을 완화시키는 약물 치료를 한다. 동시에 초음파 치료, 전기 자극, 스트레칭 운동 등을 통해 통증을 줄이고 어깨의 운동 범위를 회복시키는 물리치료를 하게 된다. 비보험으로 약 9~10만 원 정도 하는 고주파 충격파 충격파 치료(ESWT, Extracorporeal Shock Wave Therapy)를 약 10여 분간 반복적으로 사용해 석회질을 분해하고 제거하는 치료를 하게 된다.


calcification-of-the-shoulder-header-image.jpg


위의 두 가지 보존적 치료로 증상이 호전되지 않거나, 석회가 너무 클 경우에는 안타깝지만 위 사진처럼 스코프(관절내시경)와 쉐이버(긁어내는 수술용 인스트루먼트) 수술을 통해 석회질을 긁어내 제거하는 방법이 있다.


석회화 건염의 치료기간은 환자의 상태와 치료 방법에 따라 다르지만 일반적으로 보존적 치료를 받을 경우 몇 주에서 몇 달까지 걸리며 수술을 받는다면 회복 기간은 더 길어질 수 있다. 수술 후에도 꾸준한 물리치료와 재활 운동을 해야만 회복 속도를 높일 수 있다.


석회화 건염을 예방하기 위해서는 어깨 근육을 강화하고 유연성을 유지하기 위해 꾸준한 스트레칭을 해주는 것이 좋다. 평소에 어깨에 무리가 가지 않도록 올바른 자세를 유지하고 어깨를 과도하게 사용하지 않도록 주기적으로 휴식을 취하며, 어깨에 무리가 가는 반복적인 동작을 하지 않는 것이 좋다.



http://link.inpock.co.kr/kwine911


keyword
작가의 이전글통증 완화제