brunch

“가상현실 세계에서 힐링할 수 있을까?”

VR 심리치료, 면역기능 높이고 고통 경감

by 사이언스타임즈

화상환자에게 눈과 얼음이 가득한 차가운 얼음협곡을 보여주고, 그 속에서 눈싸움을 시키면 어떻게 될까.

놀랍게도 환자는 화상치료 시 느끼던 고통을 게임을 하면서 잊을 수 있었다. 게임 속에서는 현실에서의 자신과는 전혀 다른 내가 될 수 있기 때문이다.

특히 가상현실(VR) 게임은 현실과 같은 생생한 몰입감을 바탕으로 환자의 신경을 분산시켜 고통을 경감해주는 것으로 나타났다.

최근 의료계에서는 이와 같이 VR을 환자들의 치료에 적극 활용하고 있다.

augmented-reality-1853592_1280.jpg

가상현실 기술이 신체와 마음의 고통을 경감해주고 힐링을 가져다 줄 수 있을까. ⓒ pixabay


VR 게임으로 몰입하니 신체 고통 감소


VR을 통해 지난한 현실을 잊어버리고자 하는 시도는 오랫동안 계속돼 왔다. 가장 많이 활용된 분야는 게임이다.

최근 VR 게임은 의료와 접목되기 시작했다. 게임 속에서는 현실에서의 신체 능력, 지능, 사회적 위치, 재력 등은 전혀 상관없다. 가상세계에서는 무엇이든 될 수 있고, 할 수 있다.

의료계에서는 이러한 VR 기술의 특성을 활용해 환자들을 치료할 수 있다고 보고 있다. 가장 대표적인 케이스는 화상환자에 대한 연구치료 결과였다.

화상환자에게서 VR 게임을 보여주고 고통이 경감했다는 임상 결과가 2000년 의학저널 Pain에 발표됐다.

데이비드 패터슨(David Patterson) 미국 워싱턴대학 재활의학과 교수와 헌터 호프만 (Hunter G. Hoffman) UW 휴먼인터페이스 기술 연구소 소장(워싱턴대학 교수)이 개발한 VR 영상게임 ‘스노우 월드(snow world)을 통해서다.

연구진은 환자들이 눈과 얼음이 덮인 협곡에서 다양한 대상들과 눈싸움을 벌이면서 고통을 잊었다는 것을 밝혀냈다.

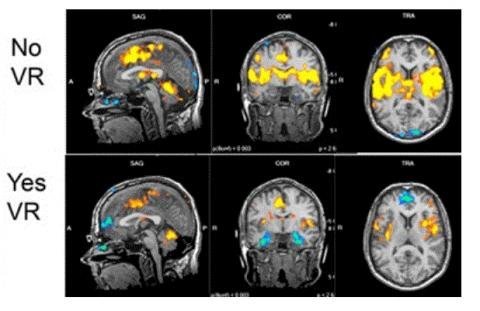
이들은 신체의 33% 이상 덮는 심한 화상을 앓고 있는 환자에게 VR 게임을 체험시키면서, 그 효과를 분석했다. 그 결과 환자는 VR 게임을 한 후 통증 관련 뇌 활동이 현저히 감소하는 모습을 보였다.

화상치료.jpg

MRI 뇌 스캔 사진. 연구진은 SnowWorld를 통해 게임을 한 환자의 통증 관련 뇌 활동이 현저히 감소했다고 밝혔다. ⓒ University of Washington


VR 게임이나 영상이 환자들의 고통경감에 효과가 있다는 임상결과는 지속적인 연구로 이어졌다.


멜리사 바우어 미시건 대학교 조교수는 미시건대학교, 하버 뷰 화상센터의 다양한 의료진들과의 협업을 통해 출산 시 VR 영상을 활용해 고통을 경감할 수 있는지를 실험했다.

이들은 2016년도부터 2017년까지 27명의 여성들을 대상으로 실험한 결과 VR이 출산 시 고통과 불안을 개선하는 잠재적인 효과가 있다는 데이터(Virtual Reality Analgesia in Labor: The VRAIL Pilot Study)를 얻을 수 있었다.

이러한 임상결과가 나온 이유는 무엇일까. VR 기술의 가장 큰 특징인 ‘몰입형 경험’을 사용했기 때문이다.
의료진들은 이에 대해 “인간은 한 가지에 몰두하면 다른 것에 대해서는 무감각해진다”고 설명한다.

VR 게임을 사용하기 위해서는 헤드마운트디스플레이(HMD)를 쓰고 스크린에만 집중해야한다. 이는 가장 인터렉티브(interactive)한 환경을 제공하면서도 주위 세계는 차단시킨다. 몰입도가 올라갈 수밖에 없다.

스노우-월드.jpg

워싱턴대학교 연구진이 개발한 VR 게임 ‘스노우 월드’. ⓒ University of Washington


VR 기술로 면역기능 상승


사람은 언제 마음이 치유되고 행복지수가 올라갈까.

사람은 외부적 요인보다 내부적 요인에 의해 마음의 변화를 가진다. 선행을 하고 있는 영상만 봐도 몸 안의 면역항체가 생긴다. 일명 ‘마더 테레사 효과’이다.

‘마더 테레사 효과(The Mother Teresa Effect)’란 1988년 하버드 대학교 데이비드 맥클리랜드(David McClelland) 박사 연구진의 논문에서 등장한 용어로서, 다른 사람들의 선행을 보기만 해도 면역항체가 생기는 것을 일컫는다.

1988년 맥클리랜드 연구진은 하버드 대학생들을 대상으로 환자를 돌보고 있는 테레사 수녀의 영상을 보여주고 난 후, 대부분의 학생들에게 사람의 침에 들어있는 면역글로불린항체A(lgA)가 50% 증가했다는 사실을 밝혀냈다.

국내에서는 이와 같은 테레사 효과에 영감을 얻어 VR 영상을 통해 심리치료에 활용하는 업체가 등장했다. VR 콘텐츠전문업체 감성놀이터의 최석영 대표는 현대인의 지친 심성을 치유할 방법을 강구하다 ‘테레사 효과’에서 답을 찾았다고 고백했다.

그는 지난달 18일 서울 코엑스에서 열린 VR 컨퍼런스에서 “VR 영상을 통해 고강도 몰입을 이끌어내 내재적 요인을 찾아내고 ‘테레사 효과’와 같이 심신을 정화시킬 수 있다고 생각했다”며 심리치유 콘텐츠의 의도를 소개했다.

최석영-감독.jpg

감성놀이터 최석영 대표는 국내에서는독특하게 VR과 예술을 접목한 VR 심리치유 콘텐츠를 선보여 눈길을 끌었다. ⓒ김은영/ ScienceTimes


최 대표는 그 방법이 VR인 것에 대해 “자기 자신에 대한 초점을 다른 곳으로 옮길 수 있는 최적의 장치이기 때문”이라고 말했다. VR 게임이 신체적 고통을 경감시켰던 임상 결과처럼 몰입형 경험을 통해 마음 속 내재된 갈등의 요인을 치료할 수 있을 것이라는 분석이다.


그의 이러한 시도는 게임과 음파, 안마의자라는 파격적인 형식에서 주목받고 있다. 그가 개발한 심리치유 콘텐츠는 VR 헤드셋을 쓰고 안마의자에 누워 힐링 공간을 여행하며 자아를 성찰하게 한다는 내용이다.

그는 심리치유를 위해 자연의 소리를 3D 입체채널로 구현하고 심리학 기반의 스토리텔링 기법을 통해 콘텐츠를 구성했다.

최 대표는 “VR이 프로젝션 맵핑, 애니메이션, 예술, 아트, 메이커 등 다양한 장르와 융합하면서 사람들의 마음을 치료하는데 가치 있는 도구로 확대되길 바란다”고 말했다.

김은영 객원기자



기사원문:

https://www.sciencetimes.co.kr/?news=%ea%b0%80%ec%83%81%ed%98%84%ec%8b%a4-%ec%84%b8%ea%b3%84%ec%97%90%ec%84%9c-%ed%9e%90%eb%a7%81%ed%95%a0-%ec%88%98-%ec%9e%88%ec%9d%84%ea%b9%8c

keyword
매거진의 이전글영롱한 문화재의 가치, 과학기술로 보존