12 오레오(5)

마침내 영원히 행복할 고양이

by 시선



또다시 겨울이 찾아왔다. 나는 크림, 프레즐, 오레오 중 한 마리의 건강검진을 해주고 싶었다. 각자의 이유가 있었다.


크림이는 셋 중 나이가 가장 많은데 아직 한 번도 검진을 받아보지 못했다. 프레즐은 여자로 오해받았던 지난번 검진에서 건강이 썩 좋지 않다고 나와서 추가 검진을 받게 해주고 싶었다. 마지막으로 오레오는 낫긴 했지만 허피스도 심하게 걸렸었고, 출산의 경험까지 있었다.


다른 집사님들과 상의 결과 레오의 검진을 시행하기로 했다. 아무래도 크게 아팠던 데다 출산과 육아로 힘들어하던 것을 모두 지켜보셨기 때문일 것이다.


퇴사했지만 근처에 거주하는 동료가 고맙게도 시간을 내어 병원까지 운전을 해주기로 했다.


20년 1월 28일, 이동장과 새 사료를 챙겨 기숙사로 갔다.






상태가 괜찮아 보여 방심했던 마음에 벌이라도 주는 걸까. 간단한 촉진만 했는데도 레오는 왼쪽 팔에서 큰 상처가 발견되었다. 상처가 나있던 건 이미 알고 처음에 말씀은 드렸지만, 단순 상처인 줄로 알고 있었다. 하지만 나무에 긁혔거나 누군가에게 물렸거나, 이유는 모르지만 상처 난 부분이 덧나 안쪽에 염증이 가득 차있는 상태였다. 안쪽의 농을 조금 뽑아 어떤 균인지 확인하는 세침검사(FNA)를 시행했다.





뜻밖의 검진에 화가 난 오레오. 이 날 몸무게는 4.8kg



현미경으로 들여다본 결과 안쪽에는 염증이 가득 차있었다. 염증 덩어리를 절제하는 수술을 할 수도 있으나 일단 스케줄이 꽉 차있어 약으로 먼저 다스리고 좀 가라앉은 후에 수술을 하기로 했다.


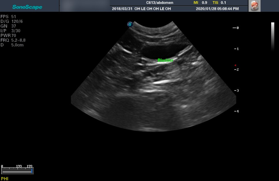
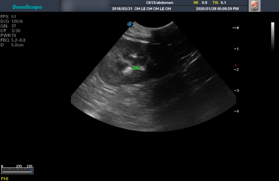
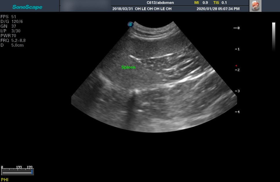
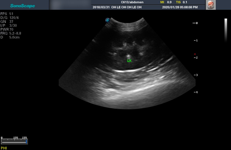
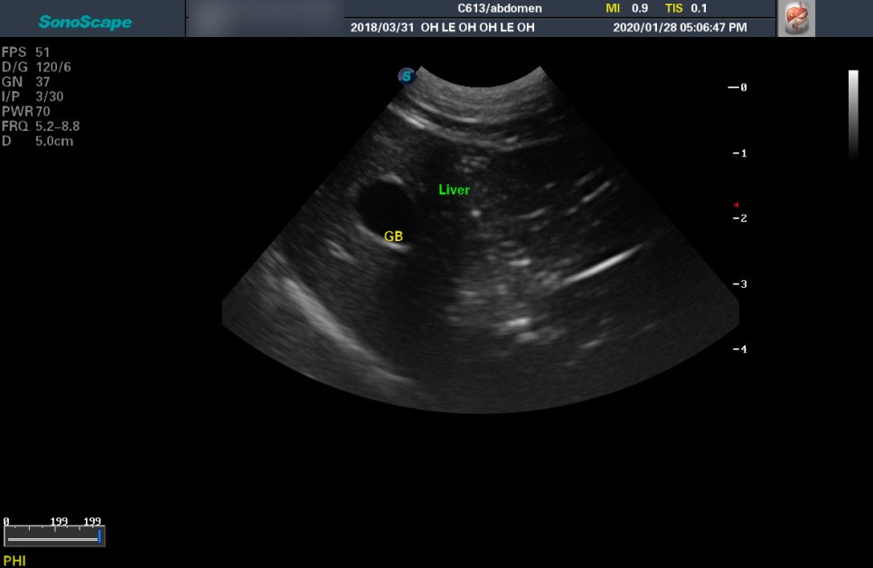
중성화 수술을 보냈을 때 들었던 복부 결절의 정체가 궁금해 여쭈었다. 흰 실타래가 엉켜있는 것 같은 모양의 염증 덩어리가 보였다고 전해 들었던 것을 말씀드렸다. 일단 복부 초음파와 X-ray를 찍어보자고 하셨다.


X-ray 상에서 다행히 복수는 없었다. 전체적인 염증은 아니라는 뜻이다. 하지만 동그란 결절이 여러 개 나왔는데, 정확하게 무엇인지는 알 수 없다고 하셨다. 아마 이것이 수술할 당시에도 보였던 것일 결절일터였다. 초음파까지 시행했는데 초음파 상에서도 비정상적인 소견은 없었다. 동그란 결절들은 초음파에선 보이지 않았다.


추가로 혈액검사까지 진행해 염증 수치를 확인하기로 했다.




장 근처에 보이는 둥근 결절들





혈액 채취 후 검사 결과를 기다리던 레오


혈액검사 결과도 좋지 않았다.


고양이 비재생성(재생불량성) 빈혈, 복막염 의심, 저칼륨혈증, 만성염증.


모두 레오의 혈액검사를 기반으로 진단받은 병이다. 수치가 널을 뛰었고 고양이에게 범백에 이어 가장 무서운 병이라는 복막염도 수치가 거의 근접한 상황이었다. 발열도 있었다. 고양이의 정상 체온은 38.0~38.5℃인데 레오는 39.9℃였다. 추운 겨울날이라 38.0℃보다 체온이 더 낮아야 함을 고려한다면 꽤 높은 수치였다.


한 가지 다행인 점은 예의 그 결절들이 염증과는 관련이 낮을 거라는 것이었다. 염증 덩어리가 아닌 복막의 림프절이 석회화되어 굳은 것이 아닐까 추측하셨다.

가장 급한 것은 만성 염증이었다. 피하농양은 언제든 수술할 수 있는 반면 염증 수치가 높을 때 수술을 진행하는 것은 몸에 무리가 될 거였다. 염증을 낮추기 위해 일단 2주간 항생제를 먹기로 했다. 염증 수치가 높아 약을 잘 챙겨 먹어야 하는데, 원래 약을 챙겨주시던 집사님도 퇴사를 하셔서 약을 챙겨줄 분이 없었다.


"길에서 사는 애니까 스스로를 다잡으며 참고 있었던 거지, 집고양이였다면 진작에 고열 때문에 식욕도 떨어지고 많이 아픈 걸 티 냈을 거예요."


의사 선생님은 집으로 데려가는 것을 강력히 권유하셨다.








사방팔방으로 연락해봐도 레오를 임시 보호는커녕 약을 챙겨 줄 사람이 없었다. 게다가 이렇게까지 아픈 레오를 다시 길로 돌려보낼 수는 없었다. 내가 데려가고 싶었지만 가족들의 반대가 거셌다. 마지막 동아줄로 자취 중인 동생에게 전화해 진심으로 부탁했다. 갑작스러운 부탁에 한참을 망설이던 동생이 승낙해주었다.


나 또한 이렇게 급작스럽게 고양이를 임보 하게 될 거라고는 생각하지 못했다. 크림, 프레즐, 오레오를 입양하고 싶어서 이것저것 준비를 하고는 있었지만 그것은 정신적인 것이었을 뿐 물질적으로는 준비된 것이 하나도 없었다. 몇 달 뒤 독립 예정이어서 독립 후에 물건을 들여놓을 생각이었던 것이다.






사실 셋을 모두 입양하고 싶었지만 가장 먼저 데려가야겠다고 생각해둔 것은 크림이였다. 레오와 프레즐이 절친한 사이기 때문에 하나만 없어진다면 슬퍼할 것이 분명했기 때문이다. 크림이를 먼저 데려간 후 프레즐과 레오도 데려오려고 계획했었다. 그러나 지금은 레오가 아파서 데려가야 하는 상황. 마지막이 될지도 모르는 인사를 나누는 고양이들의 울음이 서글펐다.


광역버스를 타고 동생의 집으로 향했다. 버스에서 레오는 가끔 한 번씩만 낮게 울었을 뿐 의젓하고 조용했다. 가는 길에 마트에 들렀다. 마감시간이 가까워진 대형 마트에서 급하게 스크래쳐와 화장실, 모래와 사료를 구매했다.






아주 추운 날 기숙사에 무단으로 잠입한 것 외에 정말로 인간이 사는 실내는 처음 와 본 레오가 어리둥절해했다. 책상 밑에 들어가 숨었지만 거기는 있으면 안 되는 곳이라고 알려주자 다른 곳으로 이동했다. 그만큼 똑똑한 고양이였다.


레오의 좌측 어깨 피하 농양이 터져 핏물이 흘렀다. 내내 품에 안고 닦아주었다. 레오는 내게 의지하는 눈치였다. 그래서 좋았고 좋아서 미안했다. 아기고양이처럼 품에 찰싹 붙어 토닥거림을 받던 오레오. 낯선 환경이 당황스러우면서도 따뜻한 실내가 싫지만은 않은 것 같았다.




극세사 이불을 꾹꾹이 중인 레오
짜부 레오



병원에 전화해 본 결과 다행히 농양이 터진다고 해서 나쁜 것은 아니었다. 오히려 그 안의 염증이 모두 나와주면 다행이라고 하셨다.


동생이 소파를 내주어 그곳에서 잠을 청했다. 인간 한 명 살기도 좁은 원룸, 하지만 레오와 함께 누워 있으니 천국이 따로 없었다. 다리를 쫙 펴지도 못하는 좌식 소파에서 새우잠을 잤다. 소파 옆의 스크래쳐에서 같이 자던 레오는 한 시간마다 깨어 나를 불렀다. 그러면 나는 30분 정도 놀아주고 다시 잤다. 그런 식으로 그날 밤 내내 레오가 나를 깨웠다. 다음 날 새벽 출근 예정이었지만 하나도 피곤하지 않았다. 잠에서 깰 때마다 레오가 옆에 있다는 것이 꿈만 같았다.



레오가 좋아하는 극세사 담요로 둘둘 말아주었다



자꾸만 현관을 바라보던 레오. 바깥을 생각하는 걸까? 마음이 무거웠다.
농양이 터진 후 레오의 상처
레오와 함께 한 좌식 소파



며칠 그렇게 지내고 있었다. 딸의 궁상을 확인하러 온 엄마는 동생이 불쌍하다며 마지못해 집에 레오를 들이는 것을 허락해주셨다. 단, 내 방 밖으로는 나오지 않기로 약속했다.


강조하지만 반려동물을 들일 때 이런 식으로 가족을 반협박하는 것은 좋지 않다. 나는 정말로 독립을 할 때까지 동생네 집에서 신세 질 생각이었다.


아무튼 이렇게 레오는 정식으로 집에 갈 수 있게 되었다. 레오와 함께하는 나날들은 꿈만 같았다. 원래 깔끔한 성격은 아니지만 레오와 함께 산 후로는 방에 먼지 한 톨도 굴러다니지 않게 하루에도 몇 번씩 쓸고 닦았다.


어느 정도 내 방에 익숙해지자 "같이 살기로 했는데 인사는 시켜달라"는 아빠의 말씀에 부엌에서 레오와 가족들의 대면식을 가졌다. 그 일을 계기로 레오는 천천히 방 밖으로 영역을 넓힐 수 있었다.




빨랫대 아래에 숨는 것을 좋아하는 레오. 여기서 사냥놀이하는 걸 좋아했다






건강하자, 오레오!



레오가 집에 온 후 3일 동안 변을 보지 않아 걱정하고 있었다. 1일 1똥이 건강한 고양이의 배변 활동인데 무엇이 문제일까 고민해보았다.


'오늘도 변을 못 봤으면 병원에 가봐야겠다!'


퇴근길에 다짐을 했다. 집에 가보니 이불 한구석에 3일 치의 대변과 소변을 푸지게 싸놓고 야무지게 덮어놓았다. 고약한 냄새에 화가 나기는커녕 기뻤다. 알고 보니 화장실이 작았던 거였다. 마트에서 팔던 가장 큰 화장실이었는데도 레오에겐 작았던 것이다. 동생네 집에서 잤던 첫날, 모래를 부어주며 모래를 뒤적여 시범을 보여주었고 레오가 그곳에서 소변을 보았기에 지나치게 안심하고 있었다.








급한 대로 뚜껑을 벗겨내었다. 레오는 기다렸다는 듯 화장실을 이용해 주기 시작했다. 정말 화장실이 문제였구나! 당장 화장실을 주문했다. 보란 듯이 아주 큰 화장실이었다. 화장실이 배송 오기 전까지 착한 레오는 작은 화장실을 이용해주었다. 고양이에게 화장실 크기는 중요한 문제임에도 불구하고 뚜껑 하나 벗겨준 것으로 잘 사용해주는 레오가 정말 고마웠다.




처음 사본 식기는 아기 고양이 용이었다
아물어가는 상처


레오는 점점 집고양이가 되어갔다. 의자를 침대 옆에 붙여두었다. 레오는 매일 밤마다 여기서 나와 얼굴을 맞대고 잠을 잤다. 같은 침대를 써주진 않았지만 나는 레오의 얼굴을 보며 레오의 손을 잡고 잤다.


대부분의 고양이는 처음 집에 오면 적응하는 데에 시간이 많이 필요하다. 낯선 환경에서 자신의 영역을 처음부터 다시 만들어야 하기 때문이다. 하지만 레오의 영역은 나였다. 레오는 내가 있는 곳에서라면 안심하고 잠을 잤고, 밥도 먹었다. 항상 나를 졸졸 따라다녔다.


너무 피곤해서 내 방으로 가지 못하고 동생 침대에서 기절했던 날이 있다. 잠에서 깬 후에도 비몽사몽,


'내 방으로 가서 자야하는데, 루틴에서 벗어난 일이라 레오가 놀랐을텐데.'


하고 생각했다. 물 먹은 솜처럼 무거운 몸을 일으키려는 순간, 내 발을 건드리는 솜뭉치가 있었다. 레오였다. 레오는 낯선 동생 방까지 따라와 나와 함께 누워있었던 것이다. 감동을 받아 잠이 달아났다.


불가피하게 저녁 출근을 해 밤 동안 일을 하고 아침에 퇴근을 하는 날이 잦았다. 한 달에 7-8일은 그랬다. 그러면 레오는 밤동안 나를 찾아 온 집안을 돌아다니며 울었다. 그런 날은 엄마가 큰 맘을 먹고 금지구역인 안방을 허락해줘도 소용없었다. 평소라면 궁금해서 신나게 수색했을 레오가 나 하나 없다고 밤새도록 울며불며 찾아다니는 모습을 보며 가족들도 '고양이는 이기적이고 주인을 몰라.' 같은 편견을 조금씩 덜어내고 있었다.


레오의 똑똑함은 여기서 끝이 아니었다. 가족들이 고양이를 반대 할 때 아빠의 입장은 "딱히 반대하는 것은 아니지만 엄마가 반대한다면 나도 반대하겠다. 고양이는 주인도 몰라보는 요사스러운 동물."이라는 것이었고, 엄마는 진심으로 고양이를 무서워하셨기에 반대하셨다.


하지만 집에 온 레오는 가족들을 어떻게 공략해야 할지 본능적으로 알아챈 눈치였다. 레오는 가족 중 가장 먼저 일어나 아침식사를 준비하는 엄마보다도 먼저 일어나 안방 문 앞에서 엄마를 기다리고 있었다. 아침에 방문을 열면 레오가 앉아있어 처음엔 놀랐지만, 별다른 애교 없이 "일어나셨어요? 그럼 전 가볼게요." 하고 슥 지나가는 그 무덤덤한 아침인사가 반가웠다고 나중에 솔직히 말씀하셨다.

아빠가 퇴근할 시간은 레오의 놀이시간대와 겹쳤다. 집안을 신나게 뛰어다니면서 노는 레오, 내가 없다고 목놓아 우는 레오, 간식을 줘도 일단 내 눈치를 보며 고민하는 레오를 보고 '고양이는 주인도 몰라보고 이기적인 동물' 이라는 아빠의 편견도 옅어져갔다.


동생은 애초에 동물을 좋아하는 아이였다. 레오를 어려워하면서도 친해지고 싶어서 눈치를 보곤 했는데, 집에서 지낸 후 따뜻함을 알고 인간의 무릎을 거부하던 레오가 처음으로 무릎에 앉은 것이 바로 동생이었다. 불편하지 않게 눈치를 보면서도 자신에게 호의적인 동생이 레오의 맘에 들었나 보다. 이후로도 레오는 동생 무릎에 즐겨 앉았으며, 나와 함께 잠을 자다가도 가끔씩은 밤에 나가서 동생과 함께 잠을 잤다. 아침에 그 모습을 발견한 내가 배신당한 표정을 지으면 레오도 당황한 표정을 지으며 와서 애교를 부렸다. 그게 재미있어서 나는 더 과장되게 서운해했고, 레오는 어쩔 줄 모르며 나를 달래주곤 했다.




다락방 탐험을 떠나는 레오. 나에게 따라오라고 말하고 있다.
다락방의 작은 창문 앞을 가장 좋아하는 레오
다락방은 온갖 잡동사니가 굴러다녀 솔직히 안 올라갔으면 했지만...
꼬질한 발. 목욕은 시키지 않았다.
새 화장실 도착! 고양이 몸길이의 1.5배 이상이 좋다고 한다.
나아가는 상처
다락방 창문 앞을 치워 레오석을 만들어주었다





2주간의 항생제 복용이 끝나고, 집 근처에 알아둔 병원에 방문했다. 레오와 같이 살면서 느낀 거지만 레오는 아픈 고양이 같지는 않았다. 다행히 내 느낌이 맞았다.


새로 검사한 결과 수치들이 많이 안정되었다. 재생불량성 빈혈은 전혀 아닌 것 같고, 복막염에 관해서도 안심해도 좋겠다 하셨다. 피하 농양도 많이 아물어 수술을 할 필요까지는 없겠다고 했다. 그토록 기쁜 날은 생에 없었다.


피하농양이 있던 자리에 새로 털이 나지 않을 수도 있겠다고 하셨지만 대수롭지 않았다. (레오에게는 큰 문제였을지는 모르지만) 목숨을 걱정하던 중에 털쯤이야 별 문제겠는가! 어깨가 맨들해도 레오를 사랑할 자신이 있었다.






기쁜 소식은 나눠야 더 커지는 법! 레오를 걱정해주시던 기숙사생들에게 아르바이트생들의 페이지를 통해 결과를 말씀드렸다. 그리고 실내의 삶에 많이 적응한 레오를 내가 이대로 입양하겠다는 의사도 밝혔다.


그렇다. 사실 나는 레오의 상태가 나아지면 다시 기숙사 쪽에 방사하려는 생각이었다. 애초의 계획도 그랬다. 그런데 막상 같이 살고나서부터 나는 하루 종일 레오의 생각만 하게 되었다. 일을 할 때도, 퇴근을 해서도. 그렇게 컴퓨터 게임을 좋아하던 내가 컴퓨터의 전원을 켤 생각도 하지 않았다. 레오의 일거수일투족을 지켜보며 새로운 행동과 버릇을 알아가고, 나와 맞춰가는 것이 신기하고 재미있었다. 어차피 모두 입양하는 것이 인생의 목표인데, 이대로 레오를 먼저 입양하는 것이 좋겠다는 생각이었다.


다행히 나의 꾸준한 행보를 지켜봐 주신 기숙사생들이 동의해주셨다. 모두의 생각이 어떨지는 모르지만 적어도 댓글을 달아주신 분들은 그랬다. 그렇게 레오는 정말로 나의 반려 고양이가 되었다.





레오의 거친 발바닥이 안쓰러워 발밤을 샀지만 효과는 미미했다
녹아버린 흑임자찹쌀인절미
?








예방접종 겸 병원에 방문해 레오가 잠을 잘 때 자꾸 머리를 흔든다는 말씀을 드렸다. 레오는 자는 것을 관찰했는데 매번 푹 잠들지 못하고 10분에 한번씩 일어나 머리를 흔들었던 것이다. 검이경으로 귀 안쪽을 들여다본 결과 귀진드기가 있었다. 많이 가려워서 깊이 잠들지 못했던 걸까? 연고를 처방받아 하루에 두세 번씩 넣기로 했다. 항생제 먹이기에 이어 귀 연고 넣기. 산 넘어 산이었다. 레오는 아직 어려서 바깥에서 산 시간이 길지도 않은데 벌써 이렇게 고생이라니. 크림이와 프레즐은 괜찮을까 걱정됐다.









(아래쪽엔 귀진드기 검이경 사진이 있으니 스크롤에 주의하세요!)













귀 연고를 넣는 레오



화가 나서 숨은 마징가 귀 루돌프 코 오레오


꾸준히 병원 진료를 다녔다


양치 훈련을 하는 오레오
점점 부드러워지는 발바닥
약 먹는 아기 고양이
맨살의 무늬가 조금씩 진해졌다
패드를 갖고 놀면 꼭 옆에 와서 한 손 얹고 모른척하는 고양이
"흠..." 고민 중인 레오
이 장난감은 딱 한 번 가지고 놀았지만 너무 귀여워서 그것으로 충분했다
레오를 위해 비운 책장
폭발적인 귀여움으로 집사를 기절시킨 날
창가는 모조리 레오 차지가 되었다
화장실 청소를 감시하는 고영








이후 나는 계획대로 독립을 하게 됐다. 레오도 데려갔음은 물론이다. 집 꾸미기를 고민하며 그 작은 집에 레오의 물품들을 채울 상상부터했다. 여기에는 캣타워를 놓고, 저쪽에는 캣폴을 두고. 내게 필요한 가구들은 나중이었다. 집이 좁은만큼 수직공간을 활용하고자 레오가 다닐 동선을 그려보았다. 내가 사용할 가구들도 레오와 함께 사용하고 싶었다. 미리 검색해둔 고양이 가구들을 모조리 사들였다.


죽도록 힘들었던 직장에 돌아갔지만 후회는 없었다. 크림프레즐오레오를 위해서라면 지옥 같은 3교대를 포함해 무엇이든 해낼 수 있었다. 직장에서도 고양이들만 생각하면 그 어떤 일도 참을 수 있었다. 핸드폰 바탕화면은 물론 고양이들이었고, 열 받는 일이 생기면 잘 찍은 사진을 들여다보며 흐뭇하게 웃곤 했다. 직장동료들은 중증이라며 고개를 내저었지만 레오가 귀엽고 똑똑한 것에는 동의했다. 유니폼에는 늘 레오의 털이 붙어 있었다. 그 털 한 오라기 떼어내는 것이 아까워서 소중히 뭉쳐놓았다.





용맹한 사냥꾼
베란다에 캣타워 설치!



레오는 날이 갈수록 이사 온 집에서 안정을 찾아갔다. 캣폴과 캣타워도 잘 사용해줬다. 거금을 주고 산 캣휠은 사용하지 않아 그것은 아쉬웠다.


이맘때쯤 나는 레오에게 항상 놀라는 일상을 보냈다. 길에서의 레오는 언제나 사납고 앙칼졌고 공격적이었는데, 집에 온 후로는 겁이 많고 소심하며 늘 착했다. 같이 산 후 방문한 세 군데 병원 모두 '레오만큼 착한 고양이를 본 적이 없으며, 모든 고양이가 이렇게 천사 같았더라면 진료 보기 참 쉽겠다'라고 입을 모아 말했다. 나는 낯선 환경에서 레오가 겁을 먹은 줄 알았다.


"우리 레오는 사기도 잘 치고 예의도 바르고~!"


그렇게 칭찬을 하며 지냈지만, 세 번째 병원에서마저 레오가 정말 순하다고 말하자 뭔가 깨우친 느낌이었다. 이렇게 착하고 순한 것이 레오의 원래 성격이었던 것이다. 길에서는 항상 사위를 경계하고 목숨이 위험한 상황이니 날카로울 수밖에 없었다. 집에 와서 안락한 생활을 하면서 비로소 레오의 본래 성격이 나타난 것이다. 이렇게 순하고 겁 많은 고양이가 바깥에서 얼마나 힘들었을지, 그 반증이었다.





다행히 예방접종을 모두 맞은 후 레오의 항체가 잘 형성되었다는 결과를 받았다. 항체검사를 위해서 멀지만 큰 병원에 방문했는데, 이전 병원에서 모두 각각 다른 답변을 내놓거나 모르겠다고 한 X-ray상의 흰 결절의 정체를 묻기 위해서다. 별 거 아닐 거라는 답변을 여러 차례 들었지만 아무래도 걱정되어 고양이 진료를 잘 보기로 유명한 병원에 갔다. X-ray를 보여드리자 이곳에서는 단숨에 정체를 말씀해주셨다.


"이건 고양이한테 흔한 것 중 하나예요."


한국말로 번역하기 힘들다며 적어주신 흰 결절의 정체는 Bates Body Cat, 지방 변성이 괴사 되어 석회화된 거라고 한다. 차이점이라면 다른 고양이들에게는 보통 1~3개가 나타나는 반면, 레오에겐 꽤 많이 보인다는 것이다. 치료할 방법은 없지만 건강에 크게 영향을 미치는 것은 아니니 이것을 제거하기 위해 수술을 할 필요도 없다고 하셨다. 속 시원한 답변에 그동안 한편에 지고 다니던 바위를 내려놓은 듯 마음이 가벼워졌다. 이로서 레오는 정말로 건강한 고양이라고 확답을 들은 셈이었다.




여전히 의자를 좋아하는 고양이





오레오레 건강하고 행복하자, 오레오!


레오와 사는 것은 행복하고 즐거운 일이다. 직장을 다니며 수면이 과다했을 때도, 불면증에 걸렸을 때도, 심지어 우울하고 속상한 날에도 레오는 항상 내 곁에 있어주었다. 가끔 레오에게 미안하기도 했다. 레오는 정말 똑똑하고 착하고 완벽한 고양이인데, 괜히 나처럼 모자란 집사를 만나 하지 않아도 될 고생을 하는 것은 아닐지. 레오라면 훨씬 더 좋은 환경에서 더 멋진 집사를 거느리고 떵떵거리며 살 수 있을 텐데 나는 한참 부족한 집사가 아닌지. 레오를 위해서 더 나은 사람이 되고 싶다고 생각했다.


그런 생각을 할 때마다 레오는 다 안다는 듯이 다가와 얼굴을 비볐다. 레오는 정말 나를 좋아했다. 내가 무슨 짓을 하든 일단 참아주었다. 꽉 껴안고 뽀뽀를 퍼붓든, 목욕이나 양치질을 시키든, 약을 먹이거나 발톱을 깎든. 아무리 싫은 짓도 참을 수 있는 데까지 참았다. 내가 자신에게 나쁜 짓을 할 리가 없다는 믿음이 가득한 눈을 보면 나는 벅차올랐다. 친구의 말대로 레오는 나를 구원자로 생각하는 것 같았다. 누가 뭐라든 레오가 선택한 집사는 나야. 레오로 시작된 자아성찰은 레오로 인해 끝나곤 했다.


외출 후 귀가하면 쪼르르 달려 나와 방묘문 앞에서 애교를 부리고 있는 레오, 얼른 쓰다듬어달라고 하고 싶은 말이 많은 레오, 뭔가 냄새를 맡게 해 주면 냄새 맡는 척 다가와 물건을 쥐고 있는 내 손에 슬쩍 자기 냄새를 묻히는 레오, 내가 하는 말은 전부 알아듣는 오레오.


올해 초 레오의 건강검진을 다시 시행했다. 처음 데려올 때 워낙 건강이 안 좋다는 소리를 들은 터라 결과가 나오기까지 많이 무서웠다. 그런데 결과는 정말 좋았다. 수의사 선생님은 너무 정상적이라 설명할 것이 없어 되려 민망할 지경이라고 하셨다. 퇴근길에 결과를 들은 그날은 너무 기뻐서 피곤함도 잊었다. 레오를 붙잡고 뽀뽀를 퍼부으며 뒹굴었다.



올해 할로윈엔 멋진 마법사로 변신했던 오레오




누군가 내게 말했다. 나는 싫증을 금방 내고 가까운 사이일수록 함부로 대한다고. 나를 잘 안다고 생각했던 사람이었기에 그 말을 믿었다. 내가 고양이에게 싫증이 날까 봐 입양을 고민하기도 했다. 하지만 레오를 입양한 후 알게 되었다. 나는 매일매일 새롭게 레오를 사랑하고, 한 번도 지겹거나 싫증이 난 적이 없었다. 아무리 화나는 일이 있어도 레오를 보면 사르르 녹았고, 레오가 나를 화나게 하더라도 화나지 않았다.


고양이와 함께 산 후 달라진 점이 많다. 꽃을 좋아해 지나치는 길에 꽃집이 있으면 항상 앞에서 구경을 하곤 했는데 이젠 꽃집을 꺼리게 됐다. 고양이에게 해로운 식물이 많기 때문에 혹여나 해가 되는 향을 묻혀갈까 봐 그렇다. 향기에 집착하는 향수 수집가였는데 향수와 디퓨저를 모두 버리기도 했다. 화장은 하지 않게 됐다. 기초제품, 바디제품도 순한 성분에 무향 위주로 찾게 되었다. 고양이를 안고 케어할 때 힘들게 기른 긴 머리카락이 거추장스러워 싹둑 자르기도 했다. 애정표현에 박한 성격이었는데 레오에게는 사랑한다는 말을 거리낌 없이 하는 스스로에게 놀란 적도 있다. 또 사치품이라고는 생각도 하지 않았던 사치품(뿌리 염색, 음료, 옷 등)에서 지출을 아껴 고양이 용품을 살 생각에만 푹 빠져있다. 성별, 직업, 국적, 인종 등 나를 이루는 정체성 중 그 무엇보다 집사라는 정체성이 가장 강해졌다. 사고 나는 것이 무서워서 평생 운전면허를 따지 않겠다고 결심했지만 멀어도 좋은 병원에 가고 싶어서 얼마 전에는 운전면허를 따기도 했다.


매일 아침 집사가 일어나면 달려오는 레오에게 속삭인다.


"잘 잤어? 좋은 꿈 꿨어? 오늘도 사랑해!"


레오는 무슨 말인지 다 알아듣고는 내 가슴팍에 올라와 기분 좋게 골골송을 부른다. 레오는 정말 완벽한 고양이다. 귀엽고, 영리하고, 아름다운데 착하고 빛이 난다. 세상의 보물, 세계의 보석, 세상에서 가장 귀한 고양이, 온 우주에서 가장 소중한 고양이. 이제 나와 오래오래 건강하게 같이 사는 일만 남은 오레오.



레오야, 영원히 사랑해.





keyword