10일간의 차팅 -episode 7

[뇌경색 치료 기록 노트 7] 입원 3일차 | 감사로 남은 하루

by ㅅㄷㄱ


새벽 4시, 피를 300cc나 뽑는 것으로 하루가 시작됐다.

수액 주사 위치를 옮기고, 아침을 먹고, 회진을 기다리는 사이

오전 시간은 숨 돌릴 틈 없이 흘러갔다.

그리고 그날, MRI 결과를 통해

내가 뇌경색이라는 진단을 처음 듣게 되었다.






2025년 4월 14일 (월)


증상

방금 일어난 일에 대한 순행성 기억상실

(Anterograde Amnesia)


진단명

상세불명의 뇌경색증

(Cerebral Infarction)


마음 상태

김소은 과장님이 아침 회진 때 병명을 알려주셨는데,

병명을 듣는 순간에도 생각보다 침착하고 불안감이 없었음.

오히려 마음이 한층 편해졌음.


병원, 진료과 / 담당 주치의

검단 탑병원 2신경과 (인천광역시 서구 청마로 19번길 5에 위치함)

주치의 : 김소은 과장님


검사

오전 - 뇌혈류초음파 (TCD、Transcranial Doppler)

오후 - 심장초음파 (US Echo, Ultrasound Echocardiography)


투약

새벽 4시, 중외생리식염주사액 교체.

아침 식사 후, 트라몰8시간서방정 650mg, 아토젯정 10/10mg,

아스피린프로텍트정 100mg, 프로맥정 75mg 처방 받아 복용함.





오늘도 새벽4시에 깼어요 ㅎㅎ

새벽4시에 간호사 선생님이 오셔서 수액을 교체하는데, 오늘은 여러 검사도 하기 때문에 피를 300cc 뽑았어요.

그리고, 어제 왼팔에서 오른팔로 바꿨던 수액주사가 새벽에 막혀서 잘 안들어간 상태여서 다시 다른 곳으로 옮겨 맞았어요. 하루 이틀 사이에 5번이나 바꿨네요~~~ (주사 자국이 양팔 여기저기에 있어요 ㅎㅎ)


새벽에 옮긴 수액주사


새벽에 이런저런 일 때문에 잠시 깼지만, 다시 잠들고.. 7시에 일어났어요.

아침 먹어야 하니까요^^ 오늘도 간호 조무사 선생님이 아침을 갖다주셨어요.

오늘 메뉴는… 김치찌개와 돼지고기조림이네요~~!

입원하기 전에는 아침밥을 먹을 여유도 없어서 제대로 못먹고 출근을 했었는데,

입원하고나서는 삼시세끼 규칙적으로 먹어서 그런지 더 건강해지는 느낌이네요!! ㅎㅎㅎ

(사실... 살찌고 퇴원했어요 ㅎㅎㅎㅎㅎㅎㅎㅎ)


tempImageYmxsAA.heic 4월 14일 아침식사


오늘은 토요일에 촬영했던 MRI 검사 결과가 나오는 날이기도 하고,

결과에 따라서는 입원기간이 좀 더 길어질 수 있어요.

아침을 먹고나서 간호사 선생님이 오셔서 오늘은 월요일이기도 해서 검사가 늦어질 수도 있다고 하셨어요.

곧 의사선생님이 오셔서 MRI 결과를 알려주시겠지만…

혹시나 안좋은 결과가 나올까봐 약간 무서웠던 것 같아요.

그래도 마음의 안정을 취해야지..라는 마음이었어요.

8시 넘어서 담당 의사 선생님이신 김소은 과장님과

병동 간호사 선생님들이 같이 오셔서 검사 결과를 말씀해주셨어요.


일단…


오시자마자, 기억을 담당하는 측두엽 속 해마에 뇌경색이 보인다고 하셨어요.

왼쪽 해마에 뇌경색이 발견되었고, 일주일 정도 약물치료를 해야한다고,

어제부터 급성기 치료를 시작했다는 말씀이었어요.

발병 후 일주일이 가장 위험하고, 안정을 취해야 할 시기라고 하셨어요.

뇌혈관은 전체적으로 괜찮은데,

심장쪽이 안좋으면 젊은 나이에도 뇌경색이 올 수도 있어서

심장쪽 검사도 추가로 하기로 했어요.

그러면서 내려가셨고…

다른 간호사 선생님이 오늘 받을 검사에 대해서 알려주셨어요.


결과를 듣고는 솔직히 마음이 홀가분한 느낌이었어요.

뭔지 모를 때가 가장 불안하고 무서운데, 결과를 듣고나니 오히려 마음이 편해진 것 같아요.

발병해버린 거는 어쩔 수 없으니, 일단 검사도 잘 받고,

하루하루 치료를 잘해야 다시 일상복귀도 할 수 있으니까…


이렇게 검사결과를 듣고..

바로 간호사 선생님이 오셔서 지금 검사 받으러 2층 신경과 마중편에 있는

뇌혈류 초음파실로 가시면 된다고 하셔서, 바로 2층으로 이동했어요.

수액을 맞으면서 움직여야 해서 걸음도 느려서 천천히 엘리베이터로

2층까지 내려가서 초음파실 앞에서 잠시 기다렸어요.


담당 선생님이 부르셔서 초음파실 안으로 들어갔어요.

이번에 받을 검사는 “TCD(뇌혈류초음파)”예요.

원래는 “EGG(뇌파검사)”를 받을 예정이었지만,

오늘 아침에 간호사 선생님이 뇌파검사에서 뇌혈류초음파로 변경되었다는 것을 알려주셨어요.

MRI검사 결과 뇌경색이 발견되어서 필요한 검사로 변경된 것 같아요.


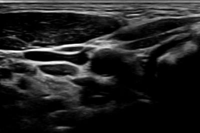
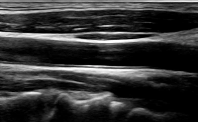
아래는 뇌혈류 초음파 (TCD, Transcranial Doppler)에 대한 검사 결과예요.




뇌혈류 초음파 (TCD, Transcranial Doppler)

검사 목적 : 뇌혈관의 혈류 속도, 방향, 혈관 협착(좁아짐) 여부 평가


1. Transtemporal window (관자뼈를 통한 검사)

- 중대뇌동맥(MCA)

좌측(Lt): 78 cm/s

우측(Rt): 75 cm/s

양측 모두 평균 혈류 속도가 정상보다 다소 증가

- 전대뇌동맥(ACA), 후대뇌동맥(PCA)

평균 혈류 속도(mFV)와 박동지수(PI) 정상


의미

MCA는 뇌혈류에서 매우 중요한 혈관인데,

양쪽 모두에서 혈류 속도가 약간 빠름

이는 경미한 협착 가능성을 시사할 수 있음



2. Transorbital window (눈을 통한 검사)

- 내경동맥 사이펀부(siphon)

혈류 속도 및 박동지수 정상

- 안동맥(OA) 혈류 방향

정상 방향


의미

눈 주변을 지나는 주요 혈관에는 이상 없음


3. Suboccipital window (후두부를 통한 검사)

- 기저동맥(BA)양측 추골동맥(distal VA)

혈류 속도 및 박동지수 정상


의미

뇌 뒤쪽(뇌간·소뇌로 가는 혈관) 혈류는 정상


4. Submandibular window (턱 아래 검사)

- 총경동맥(CCA), 외경동맥(ECA), 내경동맥(ICA)

혈류 속도 및 박동지수 모두 정상


의미

목 부위 주요 혈관에도 뚜렷한 협착 없음

종합 소견 (Findings & Conclusion)



핵심 요약

1. **양측 중대뇌동맥(MCA)**에서 평균 혈류 속도(mV)와 박동지수(PI)가 증가

2. 그 외 다른 혈관들은 모두 정상

3. 혈류 방향은 정상

4. 뚜렷한(의미 있는) 협착은 의심되지 않음


결론적 해석

양측 MCA에 경미한 협착(mild stenosis) 가능성

다만, 아주 초기 변화이거나 혈압, 심박수, 혈액 점도,

긴장 상태 등으로도 나타날 수 있음


따라서 임상 증상(어지럼, 마비, 언어장애 등) 및

다른 검사 결과와 함께 종합 판단 필요



한 줄로 정리하면…


뇌의 가장 중요한 혈관인 중대뇌동맥 양쪽에서 혈류가 약간 빠르지만,

심각한 혈관 좁아짐은 보이지 않으며 경미한 변화 수준입니다.

증상과 함께 추적 관찰이 필요합니다.


이렇대요 ㅎㅎ


tempImageE3NLlX.heic
tempImage5UoUr3.heic
뇌혈류 초음파 사진


검사는 20-30분 정도로 끝나고 다시 5층 병실로 돌아왔어요.

돌아왔을 때가 9시 40분정도였던 것 같아요.

검사가 끝나서 조금 안심하고 쉬고 있을 때,

연한 보라색 간호복을 입은 간호사 선생님이 찾아오셨어요.

김넝쿨 팀장님과 처음 대화를 나눈 순간이죠^^

지금 생각해보면 아까 김소은 과장님이 회진 오시면서 뇌경색에 대해

알려주셨을 때에도 같이 오셨을 것 같은데,

그 때는 과장님 말씀만 듣고 그래서 누가 또 그 자리에 계셨는지까지는

기억이 잘 안나네요.^^;;

팀장님이 오시면서, 보험청구 서류에 대해서 알려주시고,

시간이 걸리는 서류도 있으니까

미리 청구 서류를 신청하는 것을 권해주셨어요.

보험청구, 그리고 회사에 제출할 서류에 대해서도 물어보면서 체크하다가,


김넝쿨 팀장님 : 고향은 어디세요?

: 일본 홋카이도예요~

김넝쿨 팀장님 : 와, 제가 가고 싶은 곳 1순위예요~!


이런 대화를 했었죠^^

(사실 팀장님 이름을 알게 된 것은 며칠 후였어요ㅎㅎ)

팀장님과 인사를 나누고, 팀장님은 다시 다른 병동 라운딩을 가셨어요.

좀 이따가 청구할 서류 중 까먹은 게 있어서 간호사실로 가서

혹시 또 필요한 서류가 있어서 추가로 청구해도 되는지 여꿔보니까

다시 종이를 주셔서 다시 체크하고 간호사 선생님께 드렸어요.


기본적으로 입원 시에 보험청구 할 때

1. 진료비 세부산정내역

2. 입퇴원확인서

3. 초진기록지

4. 진료비 계산서

5. 약제비 계산서

6. 처방전

(5,6은 추가로 약 처방 받았을 때 필요함)


회사에 제출할 서류는

1. 진단서

2. 입퇴원확인서

(병가처리를 위함)


이런 서류가 필요해서 미리 신청해놨어요.


사실 이때부터 단지 보험청구를 하기 위해서가 아니라,

나중에 내용도 좀 알고 싶은 마음이 있어서 여러 개 신청해놨어요. ㅎㅎ

이 블로그를 시작하면서 이런 서류들은 정말 도움이 많이 되었던 것 같아요!


암튼, 이렇게 정신이 없는 오전이 끝났어요.

아니, 정확히는 아직 10시정도 지난거지만 ㅎㅎ

새벽부터 피를 뽑고, 아침 먹고, 검사결과를 듣고, 뇌혈류초음파 검사를 받고..

김넝쿨 팀장님과 인사를 나누고… 서류 신청 하고…

오전만 해도 이렇게 많은 일들이 있었네요 ㅎㅎ

오후에 또 다른 검사를 받아야 하니까

잠깐 쉬고 있어야겠어요!


To be continued ㅎㅎ

(입원 둘째날로 계속)




빨리 완성하고 싶은 입원 이야기인데..

자꾸 이렇게 늦어지네요.

늦어지면 늦어질수록 기억이 점점 희미해지는데..

그 당시 어떤 대화를 나눴는지,

기록들과 내 머리 속 기억을 맞추면서 쓰고 있어요.

뇌경색에 걸린 것이 확정되면서 병원에 좀 더 있게 되었지만,


지금 생각해보면…

이렇게 생각하면 좀 이상하겠지만, 뇌경색에 걸리지 않았더라면…

지금 내 마음 속에 느끼고 있는 이런 감사함을..

못느끼고 살았을 것 같아서 한편으로는…

뇌경색에 걸려서 병원에서 치료를 하게 된 것도 감사하게 생각하고 있어요.

일주일 동안 많은 일들이 있었고…

김넝쿨 팀장님..김다영 선생님을 비롯한 53병동 간호사 선생님들께

감사와 존경의 마음을 가질 수 있게 되어서…

나는 정말 행복한 사람이라고 생각해요.

뇌경색이란 병은 혈관이 막혀서 생기는 병이고,

안좋으면 죽을 수도 있는 병이지만…

저는 다행히 이렇게 잘 살아 있어요.

잃은 것도 많지만, 얻은 것고 많고…

받은 것도 너무 많아서…


병에 걸린 것도 긍정적인 마음이 훨씬 커요!

오늘도 정신없는 하루였지만, 감사한 하루였어요.

오늘도 검단탑병원에서, 그리고 53병동에서...

만났던 소중한 간호사 선생님들을 위해 기도합니다.

항상 감사한 53병동 간호사 선생님들..

늘 행복하셨으면 해요..^^




의학용어, 검사

뇌혈류초음파 (TCD, Transctanial Doppler) : 초음파를 이용해 뇌 안쪽 혈관의 혈류 속도, 방향, 박동 특성을 측정하는 비침습적 검사입니다. 검사시간은 보통 20분~30분이고, 방사선, 조영제를 사용하지 않고, 통증도 거의 없습니다. 주로 뇌졸중 위험 평가, 혈관 협착 여부, 혈류 이상을 확인하는 데 사용됩니다. TCD를 통해 ① 뇌혈관 협착(좁아짐) 여부, ② 혈류 방향 이상, ③ 혈관 탄력 및 저항 (PI, Pulsatility Index), ④ 뇌압(간접 평가), ⑤ 미세색전(microembolus) 탐지 등을 검사할 수 있습니다.

심장초음파 (US Echo, Ultrasound Echocardiography) : 심장초음파는 고주파 초음파를 이용하여 심장의 구조, 움직임, 혈류, 압력 상태를 실시간으로 평가하는 비침습적 검사입니다. 방사선 노출이 없고 반복 검사에 적합하여 심장질환의 기본 검사로 활용됩니다. 검사시간은 15~30분이고, ① 심장 구조, ② 심장 기능, ③ 판막 기능, ④ 혈류 및 압력 등을 검사할 수 있습니다.


의약품

트라몰8시간서방정 650mg : [성분/함량] Acetaminophen(아세트아미노펜) / 650mg [효능] 해열진통제로 열을 내리고 통증을 줄여줍니다.

아스피린프로텍트정 100mg : [성분/함량] Aspirin(아스피린)/100mg [효능] 심근경색, 뇌경색 등 진환에서 혈전 생성을 억제합니다. 혈소판 응집 저해제.

아토젯정 10/10mg : [성분/함량] Atorvastatin Calcium Trihydrate(아토르바스타틴칼슘삼수화물) / 10.9mg (아토르바스타틴(으)로서 10mg), Ezetimibe(에제티미브) / 10mg [효능] 고콜레스테롤혈증을 치료합니다.

프로맥정 75mg : [성분/함량] Polaprezinc(폴라프레징크) / 75mg [효능] 궤양치유 촉진 및 항염증 작용을 통해 위궤양과 위염증상에 복용합니다.