brunch

기억의 위스키, 로얄살루트

추억의 위스키를 만나러 가다

by 명욱


어릴 적 추억

어릴 적 부모님이 진짜 좋아하던 위스키가 하나 있었습니다. 해외에 나가기만 하면 무조건 사 오라는 위스키. 바로 로얄살루트입니다. 부모님이 이 위스키를 좋아하는 이유는 맛도 맛이지만 특별한 디자인이었죠. 대부분의 위스키는 유리병으로 되어 있지만 오직 이 제품만은 당당한 도자기 바틀에 담긴 제품. 게다가 왠지 모르는 고급스러운 보자기에 담겨 마치 동서양의 오묘한 문화가 느껴지기도 했기 때문입니다. 나중에 알고 보니 영국 왕실의 왕관에 장식된 보석인 루비, 사파이어, 에메랄드를 나타낸다고 합니다. 단, 최근에는 브랜드의 새로운 세계관을 보여주는 단상자 패키지(보자기 빠짐)로 리뉴얼 되었고, 보틀 컬러 또한 블루(21년 시그니처 블렌드), 그린(21년 몰트)로 변경되었다고 합니다.

이런 로얄살루트의 특별한 행사에 초대를 받아 다녀오게 되었습니다. 어릴 적 추억도 있는 제품이라서 기분 좋게 오케이를 했고 다녀왔죠. 그리고 선물로 로얄살루트 30년 제품도 받았죠. 그런 의미로 로얄살루트 스토리를 좀 풀어봅니다.


로얄살루트는 어떤 의미?

왕의 예포를 의미하는 로얄살루트라는 이름은 영국 왕실을 뜻하는 로얄(Royal)과 영국 해군이 국왕 주관 행사에서 왕실과 군주에 대한 존경의 표시로 21발의 축포를 쏘는 건 살루트(Gun Salute)에서 영감을 얻어 붙여진 이름입니다. 다만 살루트 하나만 본다면 레슬링이나 펜싱 따위에서, 경기 시작 또는 종료 후에 심판과 상대편에게 하는 인사가 됩니다. 왕실에 대한 인사로 해석하시면 될 듯합니다. 21발을 쏘는 만큼 21년 숙성 제품부터 시작이라고 볼 수 있죠. 고급성을 품은 시바스리갈 등도 12년 숙성인데, 21년이라면 상당히 오래 숙성시킨 고연산 제품이라고 볼 수 있습니다.


또 이 축포는 런던탑에서 발사되는데, 이 런던탑 자체가 영국 역사에서는 정치적으로 특별한 의미를 많이 가지고 있죠. 1988년에 유네스코 세계문화유산에 등재된 곳이기도 합니다.


축포를 쏘는 런던탑의 모습. 출처 위키피디아
로얄살루트의 탄생

그리고 이 위스키의 탄생은 1953년. 엘리자베스 여왕 2세 대관식 때입니다. 여왕의 즉위를 축하하고자 스코틀랜드 5곳의 위스키 원액을 블렌딩, 왕실에 헌정을 하게 된 것이 시작이지요. 1곳이 아닌 5곳의 스코틀랜드 지역의 위스키로 만들었다는 것은 그만큼 스코틀랜드 전역에서 여왕의 즉위식을 축하한다는 의미라고 합니다.


로얄살루트의 포트폴리오는 로얄살루트 21년 시그니처 블렌드, 21년 몰트, 21년 블렌디드 그레인으로 구성된 21년 라인업과 하이엔드 컬렉션으로 구성돼 있습니다. 하이엔드 컬렉션에는 38년 스톤 오브 데스티니, 62건 살루트 등으로 구성돼 있으며, 최근 선보인 ‘로얄살루트 30년’이 새로운 하이엔드 컬렉션 제품으로 국내에 출시됐습니다.


로얄살루트 스페셜 리추얼 키트


로얄살루트 30 년 스페셜 리추얼 키트

이번에 진행한 행사는 바로 이러한 30년 숙성 제품의 기념 파티였죠. 그리고 30주년 스페셜 에디션을 만들었는데요, 로얄살루트 30 년 스페셜 리추얼 키트(Royal Salute 30 YO Ritual Kit)죠. 리추얼이란 아시다시피 성스러운 의식으로 이 위스키를 음미하는 데 있어서 하나의 예식으로 진행한다는 의미이기도 합니다.

해당 에디션은 양태오 디자이너와 협업한 작품으로, 롯데월드타워 123층 루프탑 라운지를 통해 한국의 미를 현대적인 공간으로 풀어내는 작업에 또 한국 디자이너 최초로 런던 디자인 위크 TOP10에 선정되기도 한 유명 디자이너입니다.


이번 협업 제품 프로젝트에 있어서 양태오 작가는 향과 색, 그리고 맛의 기본 구조인 위스키의 분자를 형상화하는 패키지를 제작했는데요, 가장 현대적이고 예술적으로 즐기기 위해 이러한 작업을 했다고 합니다. 이번 리추얼의 구성품은 자신에게 온전히 집중할 수 있도록 돕는 역할에 중점을 두었다고 하네요.


다도와 향도에서 영감을 얻은 로얄살루트 30년 리추얼 키트

특히 차를 통해 스스로를 완성하는 한국의 다도(茶道)와 향도(香道) 문화에서 영감을 얻어, 빛과 색, 그리고 맛을 느끼고 향을 음미할 수 있도록 튜브와 촛대, 글라스 등을 구성했습니다. 30년 숙성의 진가를 오감으로 탐구할 수 있도록 말이죠. 또한 각 구성품 역시 소목장 장인과 유리공예가 양유완 작가가 참여했죠. 그래서 리추얼(ritual)이기도 한 것이고요.


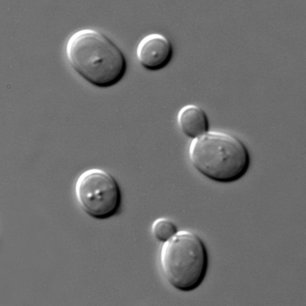
저는 개인적으로 이 키트는 마치 술을 빚는 효모처럼 보였습니다. 효모가 출아법으로 배양할 때 바로 딱 저 모습이 나타나기 때문이죠. 어쩌면 양태오 작가도 저런 생각을 했었는지 모르겠네요.

출아법으로 번식하는 효모의 모습. 이번 로얄살루트 30년 리추얼 키트의 케이스와 무척 닮았다고 개인적으로 생각했다. 출처 위키피디아



독특한 키 세리머니의 현장

이곳 행사의 특징은 바로 키 세리머니(The Ceremony of the Keys)가 있었다는 것인데요, 엘리자베스 여왕은 6월 말부터 7월 초 약 일주일간 ‘홀리루드 위크(Holyrood Week)’ 기간 동안 스코틀랜드의 수도 에든버러에 있는 이 홀리루드 궁전에서 머물게 됩니다. 바로 이 궁전은 영국 왕실의 스코틀랜드 공식 주거지이기도 하죠. 여왕이 방문하면 이 지역의 에든버러의 총독이 에든버러 시의 열쇠를 전달합니다. 바로 에든버러 시의 어디든 통할 수 있는 의미. 존경과 축하의 의미를 담아 전달하는 것이죠. 그리고 본 궁으로 돌아가기 전, 여왕은 열쇠를 반환하게 됩니다.



30년 제품의 케이스가 녹색인 이유도 이 궁전의 계절을 나타내는 여름 잔디를 뜻하는 것입니다. 열쇠 모양을 비롯해 홀리루드 정원의 문, 검, 여왕의 장미 등 키 세리머니의 다양한 요소들이 정교하게 표현돼 있고, 다이아몬드 무늬는 영국 왕실을 상징하죠. 또 30년 원액을 담은 고급스러운 화강암 풍의 수공예 플라곤과 고대의 스코틀랜드 검에서 영감을 얻어 완성된 메탈 마개까지. 마치 하나의 예술작품을 연상케 하는 정교함과 섬세함이 돋보이는 패키지로 구성돼 있습니다.


로얄살루트 30년 제품 시음기

이번에 바로 마셔본 것이 이 30년 제품. 풍부한 향과 깊은 풍미, 그리고 마시고 난 이후에도 계속 좋은 향을 품고 있더군요. 특히 마시고 난 이후에 자연스럽게 올라오는 단향이 매우 매력적이었습니다. 숙성을 오래 하니 원액의 향미가 더욱 돋보였으며, 입안에 머금은 순간에도 계속 좋은 술이라는 생각이 올라오더군요. 부드러움이 정말 훌륭하더군요.


21년 제품도 같이 비교 시음을 해봤습니다.

같은 블렌디드 제품으로 21년 시그니처 블렌드가 있는데 30년 숙성보다 화끈한 느낌이 있다고나 해야 할까요? 단맛은 더 적지만 속에서 올라오는 우렁찬 위스키 맛이 그대로 전해집니다. 역시 훌륭합니다.


21년 몰트 제품의 경우는 오직 몰트만 사용한 제품으로 피트 향을 아주 잘 살렸다고 볼 수 있습니다. 단향보다는 가벼운 시가의 향, 그리고 천천히 올라오는 스모키한 맛과 향은 이제까지 맛봤던 블렌디드 제품과는 확연히 다른 모습이 있습니다.


21년 블렌드 그레인의 경우 몰트를 사용하지 않은 밀, 호밀 등으로 만든 위스키라고 볼 수 있습니다. 확실히 개성이 넘치는 제품으로 다양한 플로럴을 가지고 있다고 볼 수 있습니다. 단맛은 이번에 마신 제품 중에서 가장 적게 느껴졌으나 가장 독특한 마성이 느껴지는 맛이었습니다.



저 개인적으로는 부모님의 추억도 있어서인지 시그니처 블렌디드 21년 제품이 가장 좋았습니다. 하지만 좋은 분들하고 마실 때에는 몰트와 그레인도 꼭 같이 가져가서 비교시음하면 좋을 듯하더라고요.


장소

이번에 행사가 진행된 곳은 프라이빗 멤버십 메종 르 서클(까사알렉시스 도산점)이었습니다. 이곳에서 판매되는 가구들도 모두 영국의 브랜드죠. 모든 것이 잘 어울리는 좋은 행사였습니다.




PS: Drink Responsibly 19 세 이상의 법적음주허용 소비자를 위한 콘텐츠입니다.

경고 : 지나친 음주는 뇌졸중 기억력 손상이나 치매를 유발합니다. 임신 중 음주는 기형아 출생 위험을 높입니다. 제품명 : 로얄살루트 30년 제조국 : 스코틀랜드 수입업소 : ㈜ 페르노리카코리아

keyword
매거진의 이전글최고가 전통주는 얼마일까?