brunch

5. 뼈가 녹는 희귀암…반려견의 안락사를 결정하다

14살 닥스훈트의 투병일지

by 곰발바닥
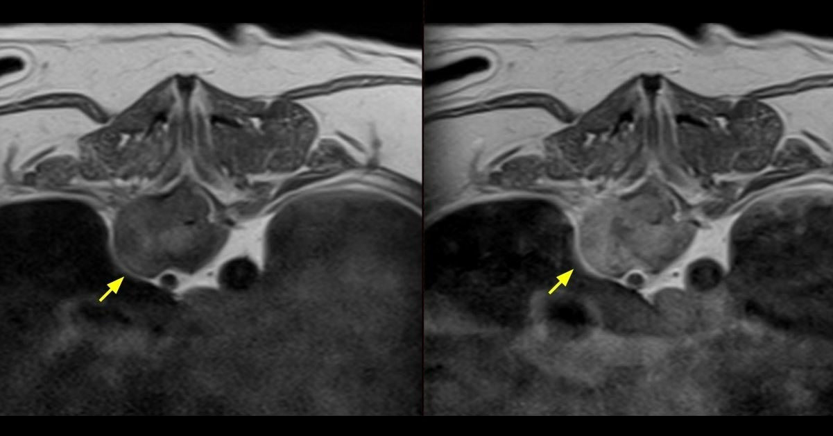
탁구의 척추 MRI 사진. T10 추체에서 종괴가 발견됐으며 골융해가 일어났다.


기다리던 월요일이 왔다. 수의사가 MRI 정밀소견을 주기로 한 날이었다. 이른 아침부터 속이 바짝 타들어갔다. 수의사가 전화를 준 건 오후 7시가 넘어서였다. 애타게 기다렸던 전화였지만, 그의 목소리를 들으니 초조함이 밀려왔다. 그는 차분하게 사실만을 전달했다.


“보호자님. 탁구의 척추뼈 세 곳에서 악성 종양이 발견됐습니다. 척추 신경을 심하게 압박하고 있어 고통이 큰 것으로 보여요. 상완골이 융해됐고 종양이 부신과 비장까지 전이됐습니다. 죄송합니다. 더 이상 할 수 있는 것이 없습니다.”


그의 말에 억장이 무너졌다. 몸 어느 곳도 성한 곳이 없었다. 몸 전체가 종양에게 잠식당했으니, 어딜 만져도 아팠을 것이다. 잠시 침묵이 흘렀다. 수의사가 말을 이어가기 전에 오랜 시간 고민했던 물음을 건넸다.


“지금이 안락사를 고려할 시점일까요? 저는 이미 마음을 먹었지만 수의사님이 보기에 안락사를 권고할 수 있는 상태인지 물어보고 싶었어요.”

그의 깊은 한숨 소리가 수화기 너머로 새어나왔다. 그는 복잡한 말로 탁구의 삶의 질이 예전 같지 않을 것임을 정중하게 설명했다. 그러곤 괴로운 듯 말을 흐렸다.


건강했던 탁구의 모습.


“저도 아이를 보내봐서 압니다. 생각만큼 쉽지 않습니다. 가족 구성원 모두가 동의하셨나요? 그렇지 않은 경우 무리해서 안락사를 진행하면 엄청난 죄책감에 시달리며 후회할 수 있어요.”


“가족 모두가 동의했습니다. 고통만 느끼며 삶을 연장하는 게 무슨 의미가 있을까요. 하루라도 빨리 보내주고 싶어요. 그대로 내버려둘 수 없습니다.”


그도 더 이상 묻지 않았다. 이미 결정을 되돌릴 수 없음을 안 것이다. 실제로 그랬다. 1분 1초라도 빨리 탁구를 보내주고 싶었다. 고통을 지켜보는 내가 고통스러웠다. 마음이 급했다. 오늘, 내일이라도 괜찮았다. 수의사에게 빨리 일정을 잡아달라고 재촉했다.


“서두르면 후회할 수 있어요. 며칠이라도 충분한 시간을 갖는 것이 좋을 것 같아요. 이번주 금요일 늦은 저녁으로 예약을 잡아드리겠습니다. 다시 한 번 죄송합니다.”


“미안해 하실 것 없어요. 이제라도 원인을 알게 돼서 다행이예요. 해줄 수 있는 걸 다 해줘서 감사합니다. 금요일에 뵐게요.”


그날이 월요일이었으니, 금요일이면 나흘 후였다. 예상했던 것보다 예약 날짜가 멀었다. 하지만 예약을 앞당겨달라고 하면 만류할 것 같아 그의 결정에 따랐다. 그는 거듭 “죄송하다”고 했다. 강풍에 몸이 꺾인 허수아비처럼 고개를 숙이고 있을 모습이 그려졌다.


탁구의 10번 흉추에서 자라나는 종괴의 모습.


전화를 끊었다. 수의사가 카톡으로 파일을 보냈다. 여러장의 MRI·CT 촬영 사진과 함께 수의사의 소견이 적혀 있었다. 실체를 알 수 없었던 고통의 증거가 명백히 드러났다.


악성 종양은 탁구의 몸을 광산 삼아 척추·신장·어깨뼈 등 구석구석 돋아나고 있었다. 수의사만 이해할 수 있는 전문적인 단어로 가득한 정밀 소견이었지만 가슴을 후벼 파기에 충분했다.


‘다발적인 늑골과 연부조직의 전이성 병변 확인’


‘흉추 10번 영역의 추체 주위의 종괴에 의한 척수의 심한 압박’


‘좌측 상완골의 골 융해, 증식이 동반된 광범위한 병변’


탁구의 상완골 CT 촬영 사진. 종양에 의해 뼈가 녹았다.


한 사진에 시선이 머물렀다. 왼쪽 어깨인 ‘상완골’의 CT 촬영 사진이었다. 믿을 수 없었다. 분명 어깨뼈의 형태를 하고 있는데 작은 구멍이 숭숭 나있었다. 쥐가 파먹은 치즈 혹은 염산에 부식된 철제 구조물처럼 보였다. 그제야 ‘좌측 상완골의 골 융해, 정상적인 형태 소실’이 무슨 의미인지 알게 됐다.


악성 종양은 커지면서 뼈를 녹인다고 했다. 탁구의 왼쪽 어깨뼈도 녹고 있었다. 그동안 탁구가 왜 왼쪽 다리를 접고 있었는지, 침을 놓을 때 미친 듯이 발버둥 쳤는지, 스테로이드 주사의 효과가 일시적이었는지 단번에 이해할 수 있었다.


살아있는데 뼈가 녹는다는 것은 얼마나 큰 고통이었을까. 밥을 먹으면서도, 산책을 하면서도, 잠을 자면서도 암 세포에게 갉아 먹힌다는 건 얼마나 큰 괴로움이었을까. 애써 막았던 감정의 둑을 허물자 슬픔의 강이 세차게 범람했다.

keyword
작가의 이전글4. 척추디스크가 아니라고?…뒤늦게 알게 된 병의 실체