E16. 이놈의 치킨!!(반려동물의 이물 섭취)

닥터 아이펫 동물병원 진료 에세이. 반려동물이 치킨을 먹었어요!

by 동물의사권선생

먹는 즐거움. 그보다 크고 오랫동안 기억할 수 있는 육감이 있을까.


예과 2학년 여름이었다. 고교 동창 영준이랑 제주도 자전거 일주를 했다. 코 끝이 붉다 못해 검은빛으로 타는 듯한 제주의 햇살은 일주 2일 차부터 폭풍우가 몰아치는 태풍으로 바뀌었다. 자전거가 바람에 휘날린다는 느낌을 받으며 다행인지 불행인지 시원시원하게 일주를 했었다. 쫄딱 비를 맞으면서.. 그래도 폭우가 내리던 산방산 오른쪽 해안 내리막길은 내 인생 최고의 절경이다. 들이닥치듯 사납게 몰아치던 파도와 꿋꿋하고 의연한 자태의 산방산. 하늘에선 폭포처럼 쏟아지는 빗줄기, 천공을 울리는 거센 바람. 실로 머리와 가슴이 시원 해지는 절경이었다.


물론 그런 절경만 있던 것도 아니었으니, 참으로 고생스러웠다. 일주 3일 차도 그렇게 새벽부터 시원? 하게 폭풍우를 맞으며 페달을 밟았고 늦은 점심때가 되었다. 여름 날씨라고 생각 못할 정도로 몸이 젖었고 페달 속도가 조금만 늦어져도 한기가 돌았다. 목표한 갈 길이 멀었지만, 빗물에 자전거 바퀴가 미끄러지기도 하여 쉴 수밖에 없었다. 마침 간판도 없던 식당 앞에 '식사됩니다.' 팻말이 우리를 이끌었다. 그런데, 큰 기대감 없이 연료를 채우듯 주문한 그 소박한 해물뚝배기에는 형언할 수 없는 놀라움이 담겨 있었다. 투박하고 이쁠 것 없는 질그릇에 옹기종기 차곡차곡 숨어 있던 꽃게, 전복, 새우, 소라는 생전 처음 보는 생물체 같았다. '아니 이렇게 큰 해물이 여기 다 들어가네'라고 생각될 정도였다. 그 큼직큼직한 해물 일체를 하나하나 발라먹는 즐거움. 시원하고 진했던 장국은 연신 엄지를 척! 세우게 했다. 그래서인지 지금도 몸의 한기가 돌 정도로 가 많이 오는 날이면 그 뚝배기가 생각난다. 물론 다들 아시겠지만 두 번 다시 그런 맛은 어디서도 맛볼 수 없었다. 서울 촌놈이 처음 맛본 해물 뚝배기 치고는 너무나 훌륭한 맛의 향연이었다!


만물의 영장인 인간도 이처럼 맛에 매료되어 산다. 맛은 학습되기도 하고 때로는 추억이 되기도 한다. 반려동물에게 먹는 즐거움은 훈련의 보상일수도, 든든한 한 끼 일 수도 있다. 관찰해보면 동물은 대부분의 사물을 입으로 넣고부터 본다. 마치 사람들이 손으로 대상을 만지작하듯, 동물들은 일단 대상을 물고 빤다.


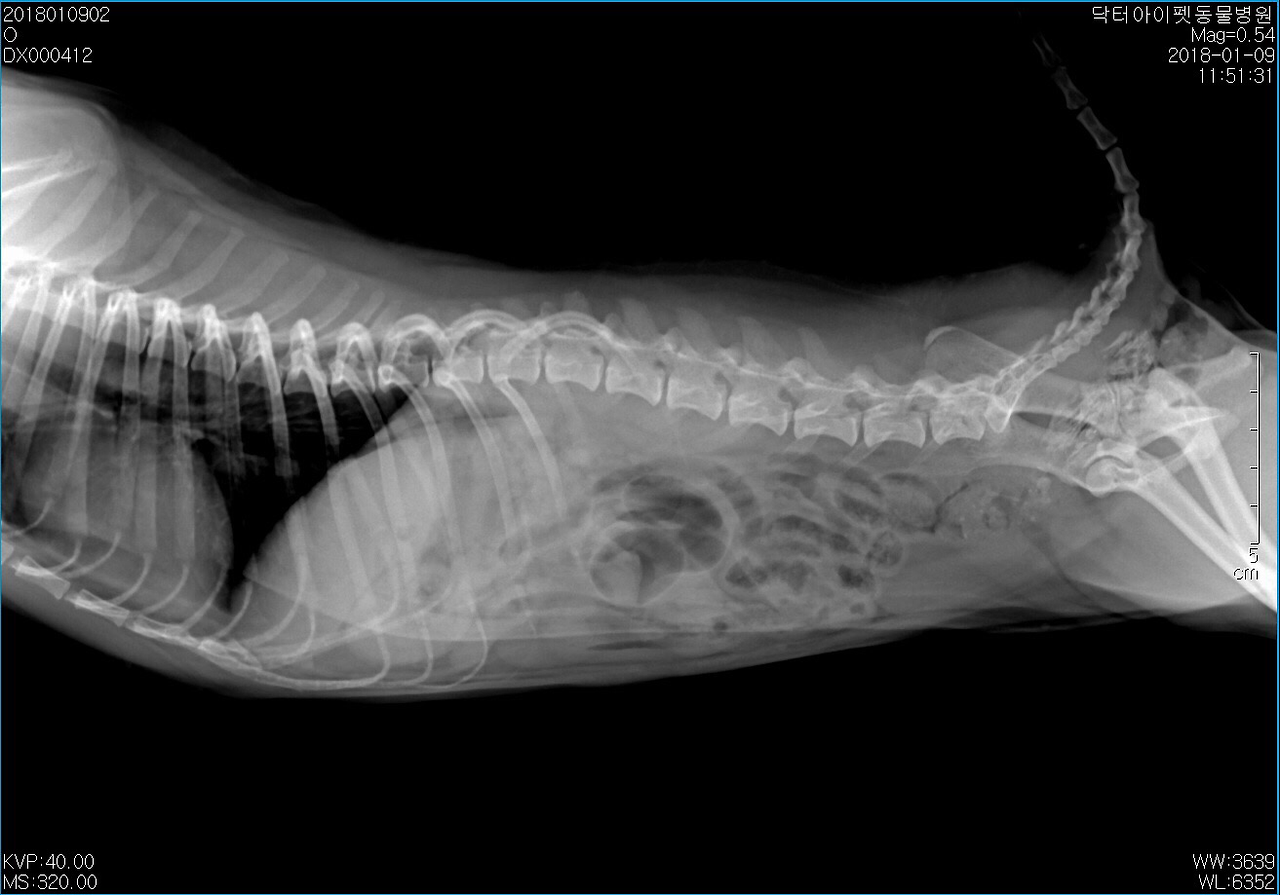
며칠 전 치킨을 한 마리 통째로 먹은 띠띠가 내원했다. 얼마나 치킨이 먹고 싶었으면 그랬을까. 먹어보지 않은 대상에 대한 경외감. 처음 가본 맛집에서 줄 서는 기분. 아무튼 이해는 100% 되나 심각한 문제였다. 보호자님께선 쓰레기통에 모아둔 치킨 뼈 한 마리를 한조각도 남기지 않고 띠띠가 먹었다고 하셨다. 열가공이 된 조류의 뼈는 날카롭게 쪼개진다. 자칫 소화관 벽을 뚫고 장기들을 손상시킬 수 있었다.

치킨.. 치킨이 먹고 싶었어요.

엑스레이를 찍어봤다. 위 한 가득 치킨 뼈가 차있었다. 일반적인 케이스라면 수술을 우선적으로 고려했을 거다. 다행스럽게도 띠띠는 침을 많이 흘리거나 출혈성 구토, 혈변 등의 증상이 없었다. 절대 금식을 당부하고 3일 통원치료를 계획했다. 72시간 정도 경과하면 대부분 섭취한 음식물은 소화되기 따름이다. 기대한 대로 대부분 소화되어 대변으로 배출되었다.

통원 1일, 2일, 3일차 방사선 사진. 다행이었다. 뼈는 모두 소화되고 배출되었다.

이물 섭취는 반려동물의 전연령에서 생기나, 주로 1년 미만의 어린 동물에서 호발 한다. 뼈 조각은 오히려 양반이다. 방사선 촬영으로 진단도 쉽고 소화를 통한 배출도 기대할 수 있다. 소화가 안 되는 과일 씨앗류가 특히 문제가 된다. 3개월 어린 고양이가 튀겨지 않은 팝콘을 먹고 장폐색으로 안타깝게 하늘로 간 케이스도 있었다.


이물 섭취 중 초콜릿 섭취문제 된다. 화이트 초콜릿이나 밀크 초콜릿은 문제가 되는 Theobromine이 적어 중추신경 마비 염려가 적으나 다크 쵸코나 그 안의 견과류가 문제다. 4.5Kg 요크셔테리어에서 30g의 다크 초콜릿 섭취는 치명적이다.

씨앗류, 쵸콜렛을 먹고 내원했던 아이들. 구토제를 먹이고 구토를 유발시킨다. 집에서 과산화수소를 먹이시지는 말기 바란다.

도통 말이 안 되는 걸 먹고 오기도 한다. 스타킹, 스테이플러 침, 인형 눈, 단추, 동전, 구슬, 플라스틱, 족발뼈, 고무, 비닐, 실 류, 자장면의 양파 등등. 단순 호기심 치고는 무서운 재앙으로 귀결될 수 있다.

이런 류의 섭취물은 수술로 빼야 한다. 수술을 하면서도 생각한다. 어떻게 이걸 먹을 생각을 했을까.

위 절개 수술로 배출한 자두씨. 큰일날 뻔했다.

대부분의 이물 섭취 내원 케이스는 '사고'이다. 식탁 위에 유혹스런 음식 등을 두지 마실 것을 권장드리고 쓰레기통도 안전한 곳에 두시라고 말씀드린다. 간식도 반려동물의 아래턱 길이보다 길고 직경이 너무 얇지 않아 삼킬 수 없는 것을 주시라고 말씀드린다.

그리고 무언가를 입에 넣었을 때는 곧바로 빼앗으려 하지 마시고 더 맛난 것이나 호기심을 수 있는 것을 반려동물의 코 앞에 주시라고 말씀드린다. 다른 것에 한 눈 팔린 사이, 물고 있는 것을 떨어뜨렸을 때 치워주셔야 한다. 그냥 빼앗으려 하면 삼키기 때문이다. 의심이 되는 물체를 먹었을 때는 최대한 병원에 빨리 내원하셔서 구토를 유발하는 것이 좋으니 지체 마시고 무조건 바로 병원에 데려오시는 것이 좋다.


"먹고 싶어 먹었으니~~쑥~ 내려가라." 할머님의 약손 노랫말처럼만 된다면 좋겠다. 이물 섭취 내원은 병원 진료 케이스 중에 상당히 빈번하니 1살 미만의 어린 동물을 키우시는 보호자께서는 꼭 주의를 해주시길 바란다.

keyword