E18. 태어나줘서 고마워(반려동물의 제왕절개)

닥터 아이펫 동물병원 진료 에세이, 제왕절개

by 동물의사권선생

'꼬마'와 '탄이'는 귀여운 포메라니안 부부이다. 둘 다 2 살이 조금 넘었다. 사람으로 치면 20대 신혼 부부라 할까. 암컷인 꼬마는 정말 아름답다. 작은 몸짓에도 수려하게 흩날리는 털은 고급스럽기도 하다. 꼬리 끝까지 흐르는 연갈색 윤기, 넘실거리듯 고운 자태, 초롱초롱한 눈망울. 여타 다른 털뿜뿜이들과는 비교 불가하다. 탄이는 은은한 광택이 코 끝에서부터 빛난다. 검은 비단 같다. 단순한 검정 빛이 오묘한 매력을 지닌다. 털 한 올 한 올 빛이 난다. 바람이 일 때마다 생기는 검은 파도가 온 몸을 감싸는 듯하다. 이토록 두 마리가 모두 외모도 출중하지만 성격은 더 좋았다. 온순하며 정이 많다. 나를 기억해주는지 진료실에서도 살갑게 군다. 그리고 탄이는 다정한 남편이다. 늘 아내인 꼬마의 코를 사랑스럽게 핥아준다. 꼬마는 그럴 때마다 민망한 듯 주위를 두리번 한다. 팔불출 남편이 부끄러운가 보다.


이목구비가 자그만 하고 서로를 꼭 닮은내외는 작년 9월 29일에 사랑의 결실을 맺었다. 11월 마지막 주. 만삭의 꼬마는 출산 전 상담을 위해 내원하였다.


"배가 정말 많이 불렀네요. 애들이 많이 있나 봐요." 내가 드린 말씀에 보호자님께선 민망하신 웃음을 지으셨다. 동물들은 유선(乳腺)의 수만큼 새끼를 낳는다. 특히 개와 고양이의 자궁은 두 뿔처럼 나눠져 있다. 한 뿔당 3~4마리 태아가 자리 잡을 수 있다. 그래서인지 리트리버 같은 큰 개들은 영양상태가 좋다면 한 번에 8마리도 건강히 낳는다. 하지만, 대부분은 그 절반인 3~4마리를 분만한다.


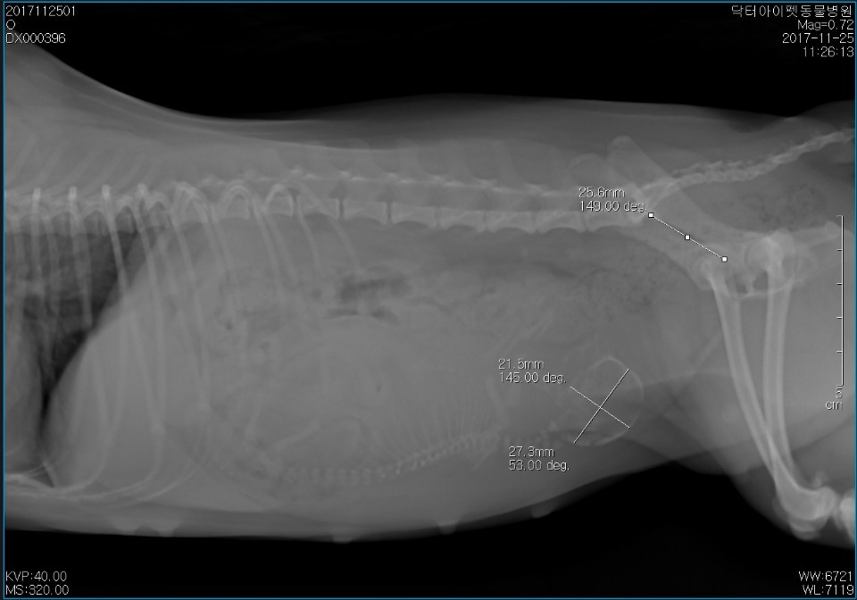
몇 마리가 배 속에 있는지, 크기는 어떤지 확인해보기로 했다. 엑스레이 촬영대에 올라간 꼬마는 불안해서 어쩔 줄을 몰라했다. 한번 꼭 안아주고 살포시 옆으로 몸을 뉘게 했다. 그리고 '철컹'하는 기계음과 함께 촬영을 마치었다. 수고한 꼬마를 보호자님께 먼저 건네드리고 다시 촬영실로 돌아가 모니터로 현상된 결과를 보았다.

거대태아를 임신한 꼬마의 방사선 사진

안 좋았다. 거대태아였다. 한 마리만 임신된 상태였다. 이 아이가 혼자 너무 많은 양분을 흡수하여 자연분만이 불가능할 정도로 뱃속에서 커버렸다. 이럴 경우에는 제왕절개술(C-sac)을 해야 한다.


이 수술은 어미 배를 갈라 자궁을 들어내어 직접 태아를 분만시킨다. 로마의 제왕, 율리우스 카이사르 (Julius Caesar)가 태어난 출산 방법으로 알려져 그의 이름을 따왔다. 하지만 그 당시 의학 고서적에는 해당 수술로 회복된 여성이 명시되지 않아 카이사르가 이 방법으로 태어났다고 생각하긴 힘들다. 카이사르의 어머니 아울렐리아는 오랫동안 장수하며 살았기 때문이다. 단지 카이사르 또는 그의 가문과 연관 있기에 이렇게 불리는 듯하다.


보통은 그렇다. 강아지나 고양이들은 정말 애를 잘 낳는다. 하지만 이 경우는 달랐다. 산모와 태아 모두의 목숨이 달린 문제였다. 천진난만한 두 강아지는 태평 만사다. 당연히 보호자님께서 걱정을 많이 하셨다. '비교적 무난한 수술이다. 다만 속도가 성패를 좌우 짓는다. 따라서 어미를 마취 후 수술대에 올려서 가급적 빨리 태아를 꺼내기만 하면 된다. 단지 그뿐이다.'라고 안심시켜 드렸다. 분만 예정일이 12월 5일이었다. 수술일을 1일로 말씀드리고 일단 퇴원시켰다.


D-DAY가 되었다. 전일 석식 이후 물을 포함한 금식을 확인했다. 기본 혈액검사상 특이 소견은 없었다. 앞발 정맥에 카테터를 설치하고 마취약품, 수술기구, 태아받이용 준비물, 응급약물, 회복 케이지 소독 등 모든 준비가 완벽한 지 점검하였다. 다 내 맘에 들었다. 머리를 비우고 침착하게 마취를 시작했다.


이제부터 모든 과정이 카운트 다운이었다. 정신없는 15분이 지났다. 예상했던 것보다 훨씬 아주 훨 씬 더 아이가 컸다. 순간, 어미 배를 조금 더 절개를 해야한다고 판단됐다. 그래서 무사히 꺼냈다. 생각해 보면 이때의 결정이 아주 유효했던 거 같다. 첫 숨을 쉬는 핏덩이를 회복 케이지로 옮겼다. 내가 좋아하는 음악을 틀고 봉합 마무리 했다. 새로 갈아 낀 수술장갑이 쫀쫀해서 기분이 좋았다.

무사히 탄생한 슈퍼 빅! 베비

아주 크고 건강한 귀염둥이가 나왔다. 세상 처음 만난 사람이 나라는 게 감사했다. 시간 가는 줄 모르고 갓난아이를 쳐다보는 사이, 어미도 마취에서 회복되었다.

너 누구니?
응? 좀 이상하다. 바깥양반 닮기도 한 것 같고..
선생님, 호... 혹시

마취가 덜 깨었는지 제 새끼를 핥아줄 생각도 못한다. 그래도 다음날이면 본능적으로 젖을 물리고 새끼를 돌볼 것이다. 어김없다. 참 신기하다. 모성애가 위대한 것을 새삼 느낀다. 보호자님께 어미의 수술봉합부 소독법을 설명드렸다. 그리고 핸드폰 만진 손으로는 신생견을 쓰다듬지 말라고 당부드렸다. 또 스스로 젖을 물게 두라고 조언드렸다. 제왕절개술로 태어난 어린 동물에게는 절대 억지로 물이나 분유를 먹이면 안된다. 어미에게 실시한 마취약 기운이 태아에게도 영향을 주기 때문이다.


그렇게 이런 저런 잔소리를 늘어놓으며 퇴원시켰다. 그 후 무사히 잘 지낸다는 통화를 몇 번 주고 받았다. 어미만 병원에 한 두번 더 와서 봉합 상태만 확인했었다. 그래서 그간 태어난 빅보이가 늘 궁금했었다.


7주가 지났다. 무려 5주 동안 젖을 먹고 자란 빅보이는 슈퍼 우량아가 되었다. '아토'라는 세련된 이름으로 내원했다. 지리산 반달가슴곰 한 마리가 온 줄 알았다. 덩치는 거의 어미만 했다. 기본 진찰을 하니 아주 건강했다. 이유식 먹은 지도 2주가 되어 모체이행 항체와 백신접종이 교란되지도 않을 시기라 온 김에 종합 백신 DHPPL 1 차와 코로나 장염백신 1 차를 실시했다. 송아지 가죽처럼 두꺼운 가죽을 지닌 아토는 주사를 맞아도 '끼잉' 소리 한 번 안 냈다.

안녕하세요~ 이렇게 커서 왔다.

여하튼 너무 반가웠다. 제왕절개는 정말 모든 수술 중에서 제일 보람되는 것 같다. 아토를 본 오늘 하루 종일 기분이 좋았다. '보기만 해도 흐마하다.' 딱 이런 느낌이었다. 무럭무럭 건강하게만 자라주길 진심으로 빈다.


"아토야, 태어나줘서 고마워!"




-아래-
출산관련 참고자료 인포그래픽

출처: (주)아이펫브랜드 인포그래픽
keyword