주민 100명 중 5명이 감염, 간암 유발할 수도 있다

"지역 주민을 전수 조사하고 감염 예방과 감시체계를 강화하겠다"

by 위키트리 WIKITREE

올해 민물고기 생식으로 인한 장내기생충 감염률이 작년보다 소폭 증가했다는 소식이 전해졌다.


2일 질병관리청은 장내기생충 유행 지역인 5대강(한강·낙동강·금강·섬진강·영산강) 인근 39개 시·군 주민 2만 6958명을 조사한 결과를 발표했다. 이 조사는 질병관리청과 각 지역 보건소, 한국건강관리협회가 매년 함께 진행한다.


조사 결과, 올해 장내기생충 감염률은 4.5%로 작년보다 증가했다. 암을 유발하는 병원체인 간흡충의 감염률도 2.3%로 0.4%포인트 상승했다. 그러나 최근 5년간 평균 감염률인 5%와 비교하면 여전히 낮은 수준이다.


이희일 질병관리청 매개체분석과장은 "감염 위험이 높은 지역이 올해 조사 대상에 많이 포함되면서 감염률이 다소 올라간 것으로 보인다"고 설명했다.


장내기생충 감염은 주로 자연산 민물고기를 날로 먹거나 덜 익혀 먹는 습관 때문에 발생한다. 특히 간흡충증은 담도 폐쇄를 일으키거나 심하면 담관암, 간암 등의 원인이 된다.

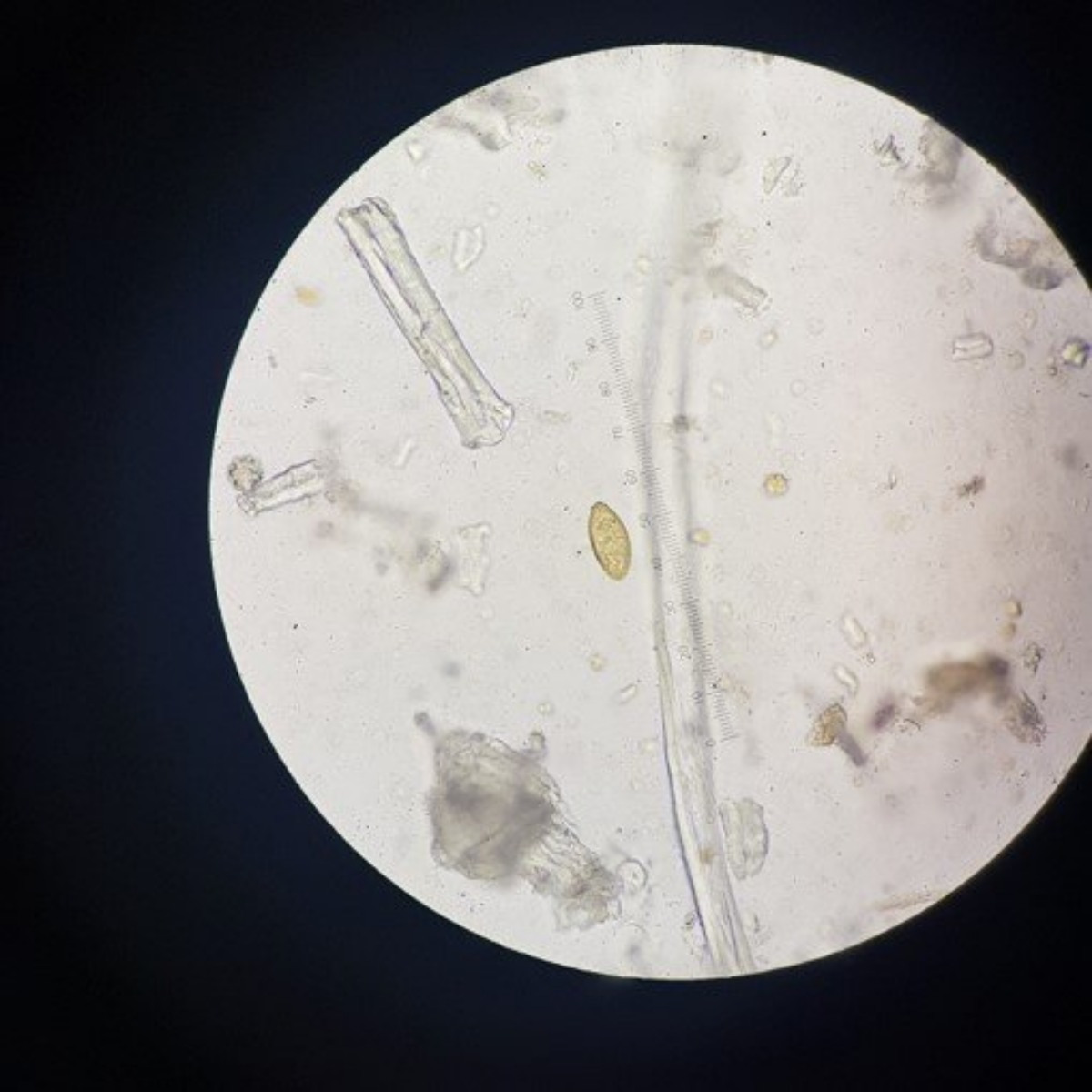
img_20241202152536_2fde385d.jpg 수변 지역 주민에게 채취한 검체에서 발견된 간흡충란. / 질병관리청

기생충별 감염률은 간흡충 2.3%, 장흡충 1.9%, 편충 0.2% 순으로 나타났다. 연령별로는 50대 남성 9.8%, 60대 남성 8.9%로 감염률이 가장 높았다.


조사 지역 대부분은 장내기생충 감염률이 한 자릿수였다. 하지만 하동 12.6%, 구례 11.7%, 안동 10.3%로 10% 이상의 높은 수준을 보였다. 10명 중 1명은 장내기생충에 감염된 것이다.


이 과장은 "민물고기 접근성이 높은 강 근처 지역에서는 날것을 먹거나 주변에 권하는 습관이 남아 있어 감염률이 높게 나온다"고 말했다.


5대강 중에서는 섬진강 유역의 감염률이 6.3%로 가장 높았고, 낙동강 유역은 3.9%로 나타났다. 반면 금강 유역은 0.9%로 가장 낮았다.


지영미 질병관리청장은 "유행 지역 내 간흡충 같은 장내기생충 감소를 위해 감염률이 높은 지역 주민을 전수 조사하고 감염 예방과 감시체계를 강화하겠다"고 밝혔다.

keyword
작가의 이전글건강에 더 좋은 커피는 어느 쪽일까?