국민10명 중 4명 '코로나 우울' 겪는 시대 일상복귀

by 김지수

2021.02.06 11:00



435e7dcb4e8a74abe854d8e50c740221.jpg



운동을 통해 코로나 블루(코로나 우울)를 이겨낼 수도 있다. 중국 칭화대 연구팀은 코로나19로 인한 봉쇄 기간동안 운동을 한 대학생들의 부정적 감정이 감소했다는 조사 결과를 보고했다. 게티이미지뱅크 제공




2019년 말부터 시작된 신종 코로나바이러스 감염증(COVID-19·코로나19) 사태가 1년이 지난 지금도 여전히 진정될 기미를 보이지 않고 있다. 이 혼란 속에서 사람들은 전에 없던 상황을 마주했다. 회사는 재택 근무가 도입됐고 학교는 비대면 수업으로 바뀌었다. 가게는 문을 닫고 공원과 공연장은 인적이 끊겼다. 연말연시 모임을 취소하거나 설 연휴에 고향에 내려가지 않기로 결정한 사람들도 흔히 보인다.



사회의 변화는 사태를 겪고 있는 많은 사람들의 마음에도 변화를 불러왔다. 이런 변화 가운데 부정적 변화에는 ‘코로나 블루(코로나 우울)’라는 이름이 붙었다. 코로나 우울은 코로나19에 우울감(blue)이 더해진 신조어로 사회적 거리두기에 의한 고립감이나 코로나19 감염 확산에 따른 불안, 취업률 하락이 불러온 경제적 위기감 등 부정적인 감정들을 한데 묶어 부르는 용어다.



한국건강증진개발원이 한국갤럽에 의뢰해 지난해 8월 전국 만 20~65세의 성인남녀 1031명을 대상으로 진행한 ‘코로나19 건강 상태’ 조사 결과에 따르면 전체 응답자의 40.7%가 코로나 우울을 경험했다고 답했다. 코로나 우울을 경험하게 된 원인으로는 외출 및 모임 자제로 인한 사회적 고립감이 32.1%로 가장 높았고, 감염 확산에 따른 건강 염려가 30.7%, 취업 및 일자리 유지의 어려움이 14%, 신체활동 부족에 의한 체중 증가가 13.3%로 뒤를 이었다.



한국리서치가 지난해 9월 진행한 조사 결과도 크게 다르지 않았다. 조사에 응답한 전국 18세 이상 성인남녀 1000명 중 ‘정신 건강이 전년(2019년)에 비해 나빠졌다’고 한 236명에게 ‘작년에 비해 올해 본인의 정신건강이 더 나빠진 것에 코로나19 상황이 직접 또는 간접적으로 영향을 줬습니까?’라는 질문을 던졌다. 236명 중 85%가 영향을 줬다고 답했다.




7ce2d0f647d8ef3a12eaa08ff18d39e0.jpg



자료 국제노동기구(ILO)




코로나 우울 속 뇌과학



이들 조사 결과에 따르면, 코로나 우울의 주요 요인은 사회로부터의 고립과 불안한 현재 상태다. 이 요인들은 뇌에도 영향을 미친다는 면에서 결코 무시할 수 없다.



독일 베를린 샤리테의대 생리학연구소 연구팀은 사회적 고립이 뇌에 미치는 영향을 알아보기 위해 독일 노이마이어Ⅲ 남극기지에서 14개월간 체류한 극지연구원 8명을 대상으로 자기공명영상(MRI)을 이용해 체류 전과 체류 14개월 뒤 뇌의 부피 변화를 알아봤다. 남극 기지에서 장기체류하는 연구원들은 외부 요인 때문에 어쩔 수 없이 사회적 접촉을 할 수 없게 됐다는 점에서 코로나19에 의해 사회적 거리두기를 하고 있는 현재의 사람들과 상황이 비슷하다.



연구팀은 장기 기억과 공간 개념, 감정적인 행동을 조절하는 부위인 해마와, 신경세포가 밀집되어있는 회색질의 부피 변화를 극지연구원들과 성별과 나이가 같고 해마 부피가 비슷한 대조군과 비교했다.



그 결과 극지연구원들의 해마 부피가 대조군에 비해 줄어들었다는 사실을 발견했다. 해마의 여러 세부 부위 중에서도 가장 큰 폭으로 크기가 줄어든 곳은 해마로 향하는 정보가 거치는 통로인 치상회(7.2%)였다. 회백질의 부피도 뇌 전체에 걸쳐 줄었는데, 왼쪽 해마곁이랑 부분 회백질이 3.8%, 오른쪽 배측면 전전두엽 회백질이 3.3%, 왼쪽 안와전두 회백질이 3.0% 줄어든 것을 확인할 수 있었다. 연구 결과는 2019년 12월 의학 분야 국제학술지 ‘뉴잉글랜드의학저널’에 발표됐다. doi: 10.1056/NEJMc1904905




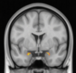
7eb12a0bf68cfd4593a64bf0d24e3da9.jpg



스웨덴 린코핑대 연구팀이 불안장애를 앓고 있는 환자들에게 인지치료를 진행한 결과, 뇌 편도체(사진에서 노란부분)의 부피가 줄고, 활성도 진정됐다. 노란색에 가까울수록 뇌의 산소포화도가 높아 뇌 활성이 활발하다는 뜻이다. 중개정신의학 제공




불안과 공포처럼 코로나19가 불러온 부정적 감정 변화는 해마 끝부분에 연결된 편도체가 주관한다. 공포나 불안은 편도체를 포함한 주위 영역을 활성화하는데, 평소 편도체와 연결돼있는 전전두피질이 이렇게 활성화된 영역들을 진정하도록 유도한다. 하지만 공포와 불안 자극이 지속되면서 편도체의 활성화가 불안장애 수준으로 심해지면, 편도체와 전전두피질의 연결이 약해져 편도체의 활성화를 효과적으로 진정시킬 수 없게 된다.



다행스러운 것은, 이런 변화가 회복이 불가능한 영구적인 변화는 아니라는 것이다. 감정에 의해 뇌 건강이 악화될 수 있다는 것은, 거꾸로 감정을 조절하면 뇌 건강을 낫게 할 수 있다는 뜻이기도 하다. 크리스토퍼 맨슨 스웨덴 린코핑대 심리학과 연구원팀은 불안장애를 치료하기 위한 인지치료가 편도체 회색질 부분의 부피를 줄인다는 연구결과를 2016년 국제학술지 ‘중개정신의학’에 발표했다. 인지치료는 현재 대부분의 정신건강의학과 질환에서 가장 효과적인 비약물적 치료로 인정받는 치료법으로, 생각을 변화시킴으로써 감정을 다스리도록 유도한다.



연구팀은 불안장애를 앓고 있는 환자 26명을 대상으로 9주간 인지치료를 진행했다. 그리고 인지치료 전과 후 환자들의 뇌를 기능적자기공명영상(fMRI)으로 분석했다. 그 결과, 인지치료 이전에 비해 이후에 편도체 회색질 부분 부피가 줄어들었다는 사실을 확인했다. 편도체 신경세포의 반응도도 감소했다. 연구팀은 불안장애 환자의 편도체가 과도하게 활성화돼 부피와 반응도가 늘어난 상태였으며, 인지치료가 편도체를 진정시켜 이 같은 결과가 나왔다고 해석했다. doi: 10.1038/tp.2015.218




운동·취미… 코로나 우울을 극복하려면



코로나19로 달라진 사회 속에서 우리는 어떻게 해야 코로나 우울을 슬기롭게 넘길 수 있을까. 과학동아는 1월 8일부터 1월 12일까지

사이언스 보드(www.scienceboard.co.kr)


홈페이지를 통해 코로나19 확산으로 달라진 생활 속에서 어떤 감정을 느꼈는지, 코로나 우울을 이겨내기 위한 자신만의 방법이 있다면 어떤 것인지 독자들의 이야기를 모아 전문가의 조언을 들어봤다.




△“저는 집에서 가만히 있기를 좋아하지만 먹는 양이 많아서 가만히 앉아있으면 건강에 해롭기 때문에 러닝머신을 해요.” - 휴먼로봇 님



집에 가만히 있는 시간이 늘어나면서 홈트레이닝을 시작했거나, 갑자기 살이 쪄 ‘확찐자’가 되었다는 이야기가 가장 먼저 눈에 띈다. 사실 운동은 코로나 우울을 몰아내기 위해 가장 좋은 방법 중 하나다. 콴 디 중국 칭화대 의대 교수팀은 중국에서 코로나19가 한창 기승을 부렸던 지난해 2월부터 3월까지 대학생 66명을 대상으로 운동과 코로나19 사태로 인한 정신건강의 연관관계를 조사해 국제학술지 ‘환경연구와 공공보건’ 지난해 5월 25일자에 발표했다. doi: 10.3390/ijerph17103722 연구결과, 매일 약한 강도로 108분 운동하거나, 중간 강도로 80분 운동하거나, 강한 강도로 45분간 운동했을 때 코로나19로 인한 부정적 감정을 가장 최소화할 수 있었다.




△“달라진 생활은 뭐니뭐니해도 줌(zoom)이 익숙해졌다는 것 아닐까요?” - Bluespear 님



사회적 거리두기가 지속되면서 직접 만나지 않고도 소통할 수 있는 ‘비대면 소통’이 빠른 속도로 퍼지고 있다. 줌과 같은 비디오 커뮤니케이션 애플리케이션을 통해 방구석에서도 지인과 모임을 가지는 사람들이 속속 등장하고 있다. 허지원 고려대 심리학과 교수는 “온라인 모임만으로도 우리의 마음 건강을 위한 충분한 지지와 통찰을 얻을 수 있다”고 설명했다. 허 교수는 최근 온라인 자조모임의 효과에 대한 연구를 했다. 자조모임이란, 비슷한 문제를 경험하고 있는 사람들이 전문가 없이 모여 서로의 경험을 나누고 대처방식을 공유하는 방식으로 개인 삶의 질을 높이려는 모임이다. 허 교수는 “일면식도 없는 사람들이 5인 정도의 규모로 온라인 자조모임을 결성해 매뉴얼에 따라 3주간 이야기를 나눈 결과, 우울감, 불안감, 자신의 성취나 사회적 경험에 대해 왜곡된 신념을 가지는 문제 등이 통계적으로 매우 유의미하게 줄어들었다”고 설명했다.




△“코로나19로 집에 있는 시간이 길어지면서 제가 좋아하지만 평소에 자주 접하지 못했던 공룡과 관련된 활동을 할 수 있는 자기계발 시간이 늘어났어요.” - PBI15 님



코로나19로 취미생활, 자기계발 등 자신을 위해 사용할 수 있는 시간이 늘어나는 긍정적 효과를 얻었다는 이야기도 찾아볼 수 있었다. 허 교수는 이에 대해 “코로나19 때문에 우울한 것도 정상, 코로나 때문에 우울하지 않은 것도 정상”이라며 “신조어에 너무 영향 받지 말고 본인의 삶을 잘 관찰해봐야 한다”고 설명했다.




허 교수는 과학동아와의 비대면 인터뷰를 마치며 코로나 우울에 슬기롭게 대처하기 위해 독자들에게 다음 세 가지 마음가짐을 갖기를 당부했다.



첫째, 언젠가 이 시기는 끝난다. 코로나19는 누구도 예측하거나 통제할 수 있는 일이 아니니 내가 바꿀 수 없는 일까지 고려하려 하면 나만 힘들다. 지금 현재, ‘코로나 시대’에 내게 맞는 태세가 무엇일지 고려하자. 잠시 신나게 숨을 고르거나, 누구보다 빠르게 움직이거나, 이 틈을 타 노선을 바꾸거나.



둘째, 내가 힘든만큼 남들도 힘들다. 날카로워지지 말자. ‘전두엽에 힘을 주고’ 남과 나에게 관대해지자.



셋째, 코로나19 사태가 끝날 때 내가 무엇을 가장 후회할지 생각하고 하루의 일과를 결정하자. 우선 내 치아와 척추를 보호하지 않으면 나의 통장과 정신에는 굉장한 타격이 있을 테니까 이 닦고 앉아서 뭐라도 하자.




ae24310fe52e5d691e0dccd77795d9e8.jpg




※관련기사


과학동아 2월호, 불안한 겨울에서 회복의 일상으로 코로나 블루


https://dl.dongascience.com/magazine/view/S202102N016



keyword
매거진의 이전글프랑스인 10명중 4명 "백신 안 맞겠다"…선진국 불신