우울감은 당신의 뇌를 잠식한다 …뇌 연구 최전선으로

by 김지수

우울감은 당신의 뇌를 잠식한다 …뇌 연구 최전선으로 떠오른 '코로나 우울'



2021.03.26 06:00




e5be6170f4400b8fc963267630a081f7.jpg



Pixabay 제공




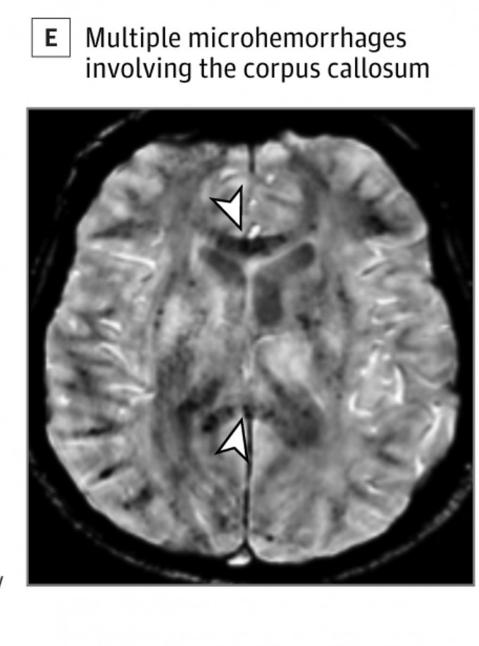
프랑스 파리뇌연구소 연구팀은 이달 15일(현지시간) 신종 코로나바이러스 감염증(코로나19)에 감염됐다가 완치된 57명의 뇌를 자기공명영상(MRI)으로 찍은 모습을 공개했다. 연구팀이 촬영한 영상은 코로나19에 감염됐을 당시 섬망(일시적 환각) 증상을 보인 환자들 가운데 완치된 사람들의 뇌를 촬영한 것이다. 연구팀은 영상 분석 결과 MRI를 촬영한 57명 가운데 41명의 뇌에서 괴사 증상이 일어나는 허혈성 병변과 관류 이상, 미세 출혈 흔적이 나타났다고 밝혔다. 코로나19가 뇌를 공격한 흔적이다.




코로나19가 장기화하면서 뇌 연구자들도 연구에 나서고 있다. 코로나19는 그동한 호흡기 계통을 통해 감염되고 있어 다른 뇌나 장기에 대한 연구는 상대적으로 잘 부각되지 않았다. 하지만 코로나19가 뇌를 공격한다는 연구가 하나둘 등장하면서 인체의 가장 중추적인 뇌 건강 문제가 화두로 떠올랐다. 코로나19 장기화로 우울감을 호소하는 사람들이 늘면서 뇌 신경과학 분야에서 진행되던 우울증 연구의 가장 큰 숙제로 코로나 우울(코로나 블루)이 떠올랐다.




○ 코로나 이후 우울증 위험군 급증 현실화


b33d5d7220f8caf72674baf629639aa0.jpg



코로나19 감염 된 이후 섬망 증상을 겪는 환자들의 뇌를 살펴봤더니 미세출혈이 발견됐다. 프랑스 파리뇌연구소 제공




코로나19 우울증 문제가 제기되기 전에도 우울증은 정서적 측면 외에도 인간 뇌에 직접적 변화를 가져오는 것으로 확인됐다. 실제 우울증 환자는 겉으로 보이는 행동도 그렇지만 뇌 구조도 정상인과 다르다.



미국 로스앤젤레스 어린이병원(CHLA) 사반 연구소 연구팀은 2017년 만성 우울증 환자의 대뇌 피질이 정상인과 구조적인 차이가 있으며, 이러한 차이는 적절한 약물치료를 통해 정상화된다는 연구 결과를 국제학술지 '분자정신의학'에 소개했다. 연구팀은 41명의 우울증 환자의 뇌를 MRI로 촬영했는데 만성우울증 환자의 뇌는 전두엽과 측두엽, 정수리엽의 피질이 건강한 사람보다 두꺼운 것으로 나타났다. 과학자들은 경험이나 자극에 의해 뇌가 변화했을 가능성에 무게를 두고 있다.




최근 연구에서도 뇌와 우울증의 관련성이 드러난다. 호주 국립대 연구팀은 지난해 우울증 환자 5934명과 건강한 사람 4911명의 뇌를 비교한 결과, 우울증 환자들에서 기억과 감정을 조절하는 뇌 영역인 '해마'의 크기가 정상 해마보다 3% 정도 작아졌다는 연구결과를 얻었다고 공개했다. 코로나19 확산 방지에 주력하다보니 코로나 우울증이 뇌에 어떤 영향을 미쳤는지 아직까지 충분한 연구 결과는 나오지 않았다. 다만 뇌 연구자들은 코로나19 우울증이 만성화할 경우 충분히 이런 변화를 겪을 수 있다고 경고하고 있다. 구자욱 한국뇌연구원 책임연구원은 “뇌 과학을 통한 정신 질환 진단과 치료는 아직 시작 단계지만 팬데믹과 같은 강력한 사회적 충격이 발생한 뒤 몇 개월 안에 자살률이 증가한다는 통계가 있다는 점에서 코로나 우울증 관련 뇌 연구를 하루 속히 진행해야 한다”고 말했다.




실제로 보건복지부가 올 1월 발표한 '코로나19 국민 정신건강 실태조사'에 따르면 국내 우울 위험군은 지난해 12월 기준 20%에 이르는 것으로 나타났다. 이는 코로나19 사태 전인 2018년 10월 조사 때 3.8%보다 5배 이상 올라간 수치다. 코로나 우울증은 해외에서도 문제가 되고 있다. 영국 서리대 연구팀은 지난 23일(현지시간) 영국 일반 시민 259명을 대상으로 한 조사에서 젊은층의 우울증이 코로나19 이전보다 2배 증가했다는 결과를 국제학술지 '정신과연구'에 공개했다. 미국 인구조사국도 지난해 12월 코로나19로 불안이나 우울증을 겪는 미국인이 42%에 이른다며 2019년보다 11% 증가했다고 발표했다.






○ 뇌 유전자에서 우울증 치료 실마리




현재 우울증 치료에는 항우울제와 향정신성의약품이 현재 사용되고 있다. 코로나19 우울증이라고 예외는 없다. 뇌 연구자들은 약물 치료는 효과가 제한적이고 일부 부작용도 있어 유전자 치료 같은 근원적인 방법을 찾아야 한다고 보고 있다. 우울증을 유발하거나 억제하는 스위치 역할을 하는 유전자를 찾아내 원천적으로 차단하는 것이다. 강효정 중앙대 생명과학과 교수는 "뇌는 인체와 다른 별도의 면역반응을 갖고 있다"며 "뇌 속 면역반응을 일으키는 유전자가 우울감을 조절하는 신경세포를 망가뜨려 우울증을 유발한다"고 말했다.




이런 연구는 2003년 ‘인간 게놈 프로젝트(HGP)’로 인간 표준 게놈지도가 완성되면서 가능해졌다. 과학자들은 뇌 측위 신경핵에 있는 유전자인 ‘Slc6a15’와 뇌 해마 영역에 있는 '뉴리틴'이 현재까지 우울증과 관련된 것으로 확인했다.




한쪽에선 미세 전지자극을 통한 적극적인 치료 방법도 찾고 있다. MRI과 함께 양전자단층촬영(PET)으로 우울증에 걸린 환자의 뇌를 관찰한 뒤 이상 활동을 보이는 뇌 부위에 전지자극을 주는 치료법이다. 미국 스탠퍼드대 연구팀은 지난해 4월 이 방법을 활용한 치료 연구에서 우울증 치료 효과가 90%에 달한다는 결과를 내놓기도 했다. 아직은 코로나19 치료에 활용하기까지 검증과정을 더 거쳐야 하지만 과학자들은 치료율 측면에서 주목할만 한 방법으로 보고 있다. 테슬라 창업자 일론 머스크가 설립한 뇌-컴퓨터 연결 기술 기업 '뉴럴링크'도 전기자극으로 우울증을 치료하는 시도를 하고 있다.




코로나19 우울증을 포함한 우울증 진단을 선진화하는 방법도 개발되고 있다. 우울증 진단은 현재 전문의와의 대화나 관련 질문지를 푸는 방식으로 이뤄진다. 하지만 전문의의 주관적 판단을 배제할 수 없어 객관적이지 않다는 한계가 있다. 과학자들은 뇌파를 통한 우울증 진단 방법과 인공지능(AI)을 접목한 새로운 기술에 주목하고 있다. 구글의 모회사 알파벳도 지난해 11월 병원에 가지 않고도 간단히 우울증을 진단하는 뇌파 측정 장비를 공개했다.




이승환 인제대 일산백병원 정신건강의학과 교수는 "뇌파는 감마와 베타, 알파, 세타, 델타 등 종류가 다양한데 특정 파형의 많고 적음에 따라 뇌 질환을 진단한다”고 말했다. 우울증 환자의 세포로 미니 뇌를 키워 뇌 회로의 변화를 분석해 진단과 치료법의 실마리를 찾으려는 노력도 이어지고 있다. 혈액으로도 미니 뇌를 만들 수 있어 비용과 시간이 절약되고 동물실험을 생략할 수 있어 연구자들이 눈독을 들이고 있다.



keyword
매거진의 이전글코로나 블루, 뇌과학으로 이겨낸다