뇌경색이 발생했던 어떤 독일인 여자와 프랑스 의사와의 추억.
부제목이 무슨 사랑이야기의 한 부분 같지만... 내용은 뇌경색, 그리고 심장기형, 하지정맥 혈전증에 대한 이야기와 수련받던 시절 프랑스 의사와 있었던 미묘한 신경전에 관한 이야기이다.
이코노미 클래스 신드롬이라는 말이 있다. 돈 없어서 이코노미 좌석에 타는 것도 억울한데 이름을 딴 병까지 있다니... 참 속 터지는 일이다. 이 글은 그 이코노미 클래스 신드롬이 생겼던 한 외국인 환자에 관한 이야기이다.
이코노미 클래스 신드롬이란?
비행기의 이코노미 클래스에서 장시간 탑승하면 다리의 움직임이 없어 혈류 흐름이 나빠지고 이러한 것들이 혈전의 생성으로 이어져 몸의 주요한 혈관을 막아 큰 병을 일으키는 데서 유래된 말. 고인 물은 섞는다는 말처럼 흐르지 않는 혈액 역시 굳어서 혈전을 생성한다. 이러한 혈전은 혈관 내에서 이동하다가 어느 순간 다른 혈관을 막아버림으로써 질병을 일으킨다.
벌써 시간이 꽤나 지난 내가 3년차 전공의 시절의 일이었다. 평소 호랑이로 소문난 과장님이 나를 호출하셨다.
중국에서 26세 독일 여자 환자가 한 명 올 거야. 뇌경색이라고 하고 상태가 위독하다고 하니 환자 파악 잘하고 응급수술 준비해놔
헐... 나는 사실 외국인 환자가 싫다. 그게 비록 금발의 유럽 미녀라도 싫다. 뭐하나 설명하거나 물어보려고 하면 가진 수단과 방법을 다 써도 잘 안된다. 당시 우리 의국의 전공의는 8명이었는데. 이런 일만 있으면 항상 내가 걸리곤 했다. 참고로 나의 영어실력은 당시에 간신히 대학교 졸업기준을 맞췄던 토익 600점이다.
얼마나 시간이 지났을까? 응급실에서 나를 찾는 연락이 왔다. 환자의 진단은 우측 중대뇌동맥의 폐색으로 인한 뇌경색증이었다. 비록 좌측 반신의 완전 마비가 있었지만 듣던 것보다 환자의 상태는 나쁘지 않았고, 수술적인 치료가 필요한 상황은 아니어서 한숨 놓을 수 있었다. 되도 않는 영어로 환자의 병력을 조사해 보니.
본인은 독일에서 중국 여행을 온 관광객이고 중국으로 가는 비행기 안에서 갑자기 좌측의 마비가 발생했다고 했다. 하지만 중국의 의료서비스의 수준을 신뢰할 수가 없어 가까운 나라인 한국으로 왔다는 이야기였다. 꽃다운 26살 여자... 젊은 사람이 참 안되었다 라는 생각이 들었다. 이미 뇌경색이 발생하고 시간이 많이 지나서 마비에 대한 드라마틱한 호전은 기대하기 어려운 상황. 오히려 앞으로 잘 넘겨야 할 뇌경색 후 뇌부종이라는 고비가 남아 있었다.
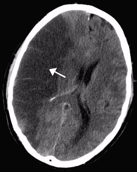
<여기서 잠깐> 뇌경색 혹은 뇌출혈 후에는 뇌부종이 온다. 우리 몸은 정상이 아닌 상황에 대한 염증 반응을 일으키기 때문이다. 우리가 팔다리에 타박상을 입거나, 열상을 입으면 수상 부위가 부어오르는 것과 마찬가지이다. 다음 사진은 정상 뇌와 뇌경색이 발생하여 뇌부종이 생긴 뇌의 CT 사진이다. 좌측의 정상 뇌에 비하여 우측 사진은 뇌경색에 동반된 뇌부종으로(화살표) 뇌가 전반적으로 오른쪽으로 밀려 있는 것을 관찰할 수 있다.
뇌부종이 무서운 이유는 뇌는 단단한 두개골에 싸여 있기에 압력이 밖으로 분산되지 못하고 부어오른 만큼 뇌압을 증가시켜 뇌를 압박하기 때문이다. 이러한 뇌부종은 뇌의 위축이 하나도 없어 두개골 내 공간이 적은 젊은 사람에서 더 위험하다. 본문에서 과장님이 응급수술을 준비하라고 이야기한것 역시 같은 맥락에서 두개골을 제거하여 뇌압을 낮추는 수술이 필요할 가능성이 있기 때문이다.
그런데 세상에 원인이 없는 결과는 없다고 76세도 아니고 26세 여자에서 갑자기 뇌경색이 생기는 것은 매우 이상한 일이다. 환자의 병력상 10시간이 넘는 시간 동안 이코노미 클래스에서 다리 움직임이 적었을 것이므로 하지의 정맥에서 혈전이 발생하는 이코노미 클래스 신드롬이 발생했을 가능성이 있다. 하지만 그런 경우 해부학적 구조상 뇌혈관을 막을 수는 없다. 일반적으로 이코노미 클래스 신드롬에 의한 하지 정맥 혈전증이 발생하는 경우에는 폐동맥 혹은 폐순환의 어딘가를 막을 가능성이 높다. 그 이유는 다음과 같다.
그림에서 보이듯 하지정맥에서 발생한 혈전은 우심방으로 들어간다. 우심방에서 우심실로 이동하여 폐동맥을 거쳐 폐순환으로 들어가게 되는데... 사실 이 부분의 혈관들은 효과적인 산소 교환을 위하여 매우 얇게 만들어져 있다. 그래서 혈전이 저 얇은 혈관의 통로를 지나 폐순환을 거쳐 다시 좌심방-> 좌심실->체순환으로 이동하는 것은 사실상 불가능한 일이다.
그런데 이 환자는 뇌경색이 생겼다?!
그냥 쉽게 생각하면 모 뇌경색이 생겼으면 잘 치료하면 됐지 왜 피곤하게 따지고 있어?라고도 생각할 수 있지만... 저건 정말 이상한 일이다. 저런 경우에는 심장 내에서 폐순환을 거치지 않고 우심장과 좌심장을 연결하는 채널이 있는 경우를 의심해 보아야 한다. 환자의 심장에 대한 검사를 진행하였고 환자의 심초음파에서는 좌심방과 우심방 사이의 심방중격결손(ASD)라는 심장기형이 발견되었다. 이 환자에서의 발병기전은 하지에서 발생한 혈전이 심장으로 들어와 폐순환을 거치지 않고 바로 체순환으로 넘어가서 뇌혈관을 막은 것으로 생각되어 관련한 치료 역시 함께 진행하였다.
중간에 여러 고비가 있었지만 다행히 치료는 순조롭게 진행되었고, 추가적인 수술적 치료는 필요 없었다. 물론 중간에 영문 진단서와 소견서를 쓰는 일은 나를 괴롭히기는 했지만...
환자의 상태가 안정되고 고국으로의 귀환을 고민하는 시점이 되었다. 사실 뇌경색 혹은 뇌출혈 환자의 경우 비행기를 타는 것은 주의를 요한다. 공중에서는 기압과 습도 등 주위 환경이 변하기 때문에 잘 치료가 되던 환자도 갑자기 병이 악화될 가능성이 많기 때문이다. 일반 사람과 동일한 조건으로 비행을 하기 위해서는 의사마다의 견해 차이가 있으나 3개월 이상의 요양을 필요하다는 의견도 있다. 하지만 아무 연고도 없고 의료 보험도 없는 독일 아가씨가 불편한 몸으로 한국에서 3개월을 있는다는 것 역시도 어려운 일이니...
또 서류를 한 바닥 써가며 이 아가씨를 집으로 돌려보낼 준비를 했다. 항공사 서류, 독일 보험사 서류, 경과기록... 정말 저런 노력들에 대해서는 병원에서 특별수당 줘야 한다.

결국 독일 현지에 있는 응급의학과 의사가 환자를 데리고 가기 위해 한국으로 건너왔다. 중환자실에서 과장님의 전달사항을 설명하는데... 웬걸;;; 통역도 없고, 프랑스 의사의 영어도 그다지 훌륭하지 않아서 못 알아먹겠고, 간호사들은 설명하는 김에 간호와 관련된 것까지 같이 해달라고 하고... 한두 마디 입을 열고 더듬더듬 설명을 하는데... 설상가상 이노무 프랑스인 의사가 무례한 것이 첫마디가 Can you speak English? 였다.
오기가 생겼지만 그렇다고 못하던 영어를 잘할 수는 재주가 생기는 건 아니었다. 나의 엉성한 영어를 조금 듣다가 조금 이야기하다가 Ok Ok라는 말만 남기고 잘 들는 시늉도 안 하는 거다. 사실 자기도 영어를 잘하는 것 같지는 않았는데.. 그런데 참 억울한게 분명 저 사람이 영어를 못하는데 내가 더 못하는... 그래서 할 말이 없는 그런 상황이 연출되었다.
그래도 환자 인수인계는 해야 하고... 궁여지책으로 당시 인턴이었던 외국 살다온 후배를 호출! 그 프랑스인 의사는 그때도 또 건방지게 Can you speak English?라고 물어보더라. 하지만... 이후로 후배의 엄청나게 유창한 설명이 이어졌고, 적잖이 당황한 프랑스인 의사는 Speak slowly please. 와 Thank you를 연발하는 순한 양이 되었다.

지금도 가끔 그때의 기억이 떠오를 때가 있어 혼자 웃곤 한다.
내가 잘한 건 아니지만 그때는 어찌나 통쾌하던지. 그때 심정은 시간 나면 영어사전이라도 씹어 먹을 것 같더니 수년이 지난 지금 나의 영어실력은.....
더 이상의 설명은 생략하자.