brunch

인슐린 (1)

by 예재호

20세기 초까지만 해도 당뇨병을 진단받는다는 것은 사형선고를 받은 것과 다름없을 정도로 비극적인 일이었습니다. 당뇨에 대한 약도 치료법도 전무했기 때문입니다. 환자들은 생존을 위해 어쩔 수 없이 금식에 가까운 극단적인 식사 제한을 견뎌야 했고, 영양실조로 나날이 쇠약해지다 결국 죽음을 맞이했습니다.


starvation tx befor insulin.png


의사들은 환자의 혈당을 관리하기 위해 하루에 고작 150 칼로리 밖에 안 되는 식사를 처방했습니다. 이런 기아 요법(starvation diet)은 특히 췌장에서 인슐린을 만들어내는 세포 자체가 없는 소아당뇨(1형 당뇨) 환자들에게는 너무나 슬픈 치료였습니다.


starvation tx.png


인슐린의 발견으로 당뇨병은 비로소 '죽음에 이르는 병'에서 '관리 가능한 병'으로 바뀌게 되었습니다. 그래서 인슐린은 20세기 의학 역사에 있어 가장 중요한 발견 중에 하나로 꼽힙니다.




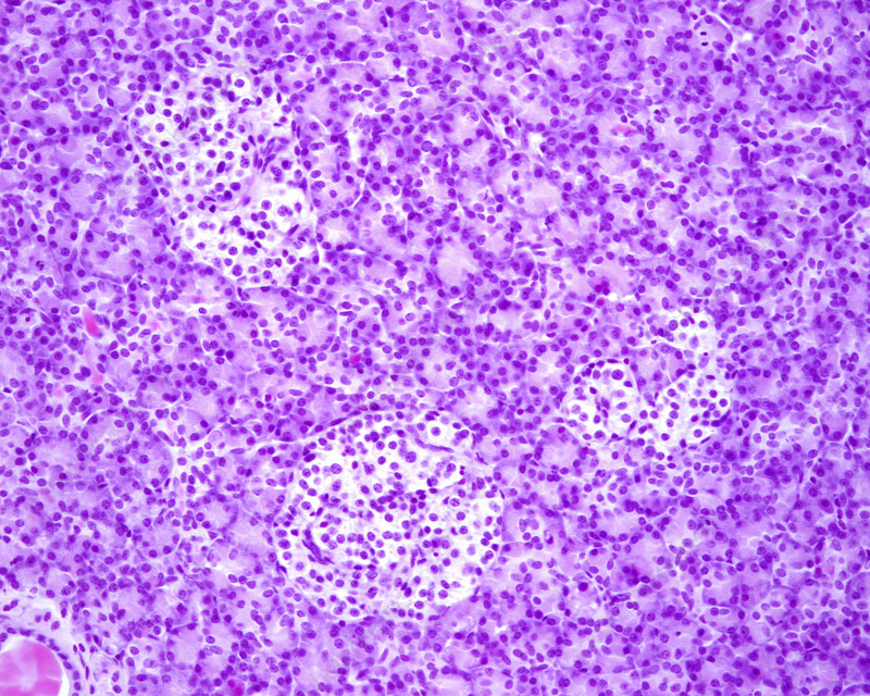
20세기 초, 병리학자들은 췌장 조직 슬라이드를 관찰하다가 특이한 것을 발견했습니다. 소화 조직 사이에 마치 섬처럼 떠 있는 세포 집단이 있었던 것입니다. 이후 과학자들은 그 조직에서 분비되는 물질을 발견했고, 라틴어로 섬을 뜻하는 'insula'에서 유래한 '인슐린(insulin)'이라는 이름을 붙였습니다.


c0599290-800px-wm.jpg


캐나다의 외과 의사 프레데릭 벤팅은 의대생 찰스 베스트와 함께 개의 췌장에서 인슐린 추출물을 분리해 냈습니다. 그들은 당뇨병에 걸린 개에게 이를 투여해 혈당을 떨어뜨리는 데 성공했고, 최초로 인슐린의 혈당 강하 효과를 증명했습니다.


BENTING.png



이듬해인 1922년, 마침내 인슐린이 사람에게 처음으로 투여되었습니다. 중증 당뇨병으로 사경을 헤매던 14세 소년 레너드 톰슨은 인슐린 투여 후 혈당이 빠르게 정상 수준으로 회복되었고, 소년은 생명을 건졌습니다.


insulinb_af.png


벤팅은 인슐린을 개발한 공로로 바로 그다음 해인 1923년에 노벨상을 받았습니다. 수상 당시 그의 나이는 만 32세였고, 그는 현재까지도 이 부문 최연소 수상자입니다. 벤팅은 자신이 개발한 인슐린으로 부자가 되기를 욕심내지 않았습니다. 노벨상의 상금을 함께 연구한 의대생과 공평하게 나누었으며, 인슐린에 대한 특허를 단돈 1달러에 토론토 대학에 넘겼습니다.


벤팅은 전 세계 모든 환자가 저렴하게 인슐린 치료를 받기를 바랐습니다.

starvationtreatment.png


세계보건기구는 벤팅의 생일인 11월 14일을 '세계 당뇨병의 날'로 지정해 그의 공헌을 기리고 있습니다.




초기 인슐린은 소와 돼지와 같은 동물의 췌장을 갈아서, 인슐린을 걸러내는 방식으로 만들어졌습니다. 역사적 가치에도 불구하고 그때의 인슐린은 현대 기준으로 보자면 사실 조악한 수준이었습니다. 환자들은 불순물이 포함된 인슐린을 주사받은 탓에 알레르기 반응을 일으키거나, 통증을 호소하는 경우가 잦았습니다. 효과도 일정하지 않아 혈당 조절에도 어려움이 많았습니다.


이제는 더 이상 동물의 췌장을 이용해서 인슐린을 만들지 않습니다. 지금은 사람의 인슐린을 생산해 내는 유전자를 대장균이나 효모의 유전자와 재조합하여 배양하는 방식으로 제조합니다. 이 방법을 통하면 사람의 인슐린과 구조가 100% 동일한 인슐린을 무제한으로 얻을 수 있습니다.


또한 한발 더 나아가, 사람의 인슐린과 동일한 인슐린만 고집하지도 않습니다. 혈당을 안정적으로 제어하기 위해 흡수 속도와 지속 시간을 조절한 인슐린 유사체(Analog)를 더 많이 쓰고 있습니다. 원래의 인슐린 분자에 지방산을 붙이는 식으로 구조를 바꾸면 서서히 오랫동안 혈당을 관리할 수 있게 할 수 있습니다.




그런데, 인슐린은 단순히 혈당을 떨어뜨리는 역할만 하는 호르몬이 아닙니다.


https://youtube.com/shorts/b4Pyjh87x0A?si=Uc1wd0Amki6ChJzt


인슐린은 우리 몸에서 가장 강력한 동화 작용을 하는 호르몬 중 하나입니다. 동화 작용이란 작은 분자들을 모아서 크고 복잡한 물질을 만들어내는 과정을 뜻합니다. 이는 벽돌로 건물을 짓거나 자재를 모아 항구를 건설하는 것과 비슷합니다. 동화 작용에는 많은 에너지가 필요한 바, 인슐린은 혈액 속의 영양분(포도당, 아미노산 등)을 세포 안으로 밀어 넣어 동화 작용이 원활하게 이루어지도록 합니다. 혈당이 떨어지는 것도 사실은 '혈관 속에 있던 포도당'을 근육 안으로 흡수시킴으로써 발생하는 결과입니다.


실제로 인슐린을 쓰면 근육을 단기간에 키울 수 있습니다. 인슐린의 근육 강화 효과는 흔히 생각하는 스테로이드 주사보다도 더 드라마틱하다고 합니다. 보디빌딩 분야에서는 무분별한 인슐린 도핑에 대한 논란과 우려가 커지고 있습니다.


다음 글에서는 인슐린이 우리 몸 안에서 구체적으로 어떤 역할을 하는지 자세히 살펴보겠습니다.


insulinbodybuilding12333.png


insulinbodybuilding.png


keyword
이전 02화퀴즈