brunch

3. 뽀미가 말썽꾸러기가 되었어요.

아동기(17주 ~ 6개월령) 강아지에게 필요한 교육

by 반려동물PD
배변.jpg
강아지놀이.jpg
산책.jpg


어느덧 뽀미에게 가족이 생긴 지 3개월이 지났습니다.

집안 탐색을 마치고 가족에게도 마음의 문을 연 뽀미는 하루하루 즐거운 나날을 보내고 있어요.

현재 뽀미는 아동기의 강아지입니다.

생후 17주에서 6개월령까지는 호기심이 왕성해서 ‘개린이’라고 불리기도 해요.

요즘, 뽀미 엄마에게 고민이 있다는데요, 어떤 고민인지 함께 들어볼까요?


뽀미엄마 – 안녕하세요 선생님!
반려동물PD – 안녕하세요, 뽀미가 건강하게 잘 자라고 있는 것 같아서 반갑고 기쁘네요.
뽀미엄마 – 그건 다행인데.. 요즘 고민이 있어요.
반려동물PD – 검진 결과는 이상 없고 활발해 보이는데 무슨 일인가요?
뽀미엄마 – 뽀미가 요즘 너무 말썽을 부려요. 배변 실수도 하고 집안의 휴지, 방석 등을 마구 물어뜯기도 하구요. 처음에는 연약한 모습이 안쓰러웠는데 이제는 너무 에너지가 넘쳐서 고민이에요.
반려동물PD – 아하, 전형적인 개린이의 모습이군요.
뽀미엄마 – 개린이요?
반려동물PD – 뽀미는 현재 아동기를 거치고 있어요. 유아기를 넘어서 몸도 커지고 청소년기로 향하면서 호기심과 독립심이 넘쳐나는 시기예요. 신체가 발달하니 당연히 활동량과 에너지도 많아지구요.
뽀미엄마 – 아, 그래서 그런가봐요. 산책하러 매일 나가는데도 애가 지치질 않아요. 활발한 모습 보면 사랑스럽다가도 집안을 어지른 모습을 보면 속상해요. 특히 배변 실수해놓은 날에는…
반려동물PD – 아이고. 많이 힘드셨나 보네요. 배변 실수는 어떤 경우에 하나요?
뽀미엄마 – 배변패드에 잘했는데 요즘 산책에 대한 요구가 많아지면서 야외 배변을 선호하더라구요. 그러다가 잘 안 되면 실수를 하는 것 같아요.


강아지의 하루는 크게 여섯 가지로 구분할 수 있어요.

1. 대소변

2. 산책

3. 놀이/운동

4. 식사

5. 수면

6. 건강관리

여섯 가지 요소가 모두 만족스러울 때 반려견은 행복감을 느끼고 몸과 마음이 건강한 강아지로 자랄 수 있습니다.

뽀미 나이대(아동기)의 강아지는 호기심과 에너지가 왕성하기 때문에 산책, 놀이/운동, 식사에 대한 욕구가 높은 시기라고 할 수 있어요. 충분한 호기심 충족과 에너지 분출이 이루어지지 않으면 모든 물건을 놀이감으로 삼아서 집안을 어지럽히는 말썽꾸러기가 되기 쉬워요.

뽀미가 건강한 성견이 되기 위해 어떤 교육이 필요할지 함께 살펴볼게요.



강아지의 화장실 교육
dog-734688_960_720.jpg

* 강아지의 대소변은 배설이라는 표현이 맞지만, 독자의 편의를 위해 자주 사용되는 단어인 배변으로 대체하였습니다.



반려동물PD – 강아지는 본능적으로 야외에서 배변하는 걸 좋아해요. 하지만 앞으로 실내에서 함께 살아가야 하기 때문에 대소변 교육은 아주 중요하죠.
뽀미엄마 – 아~ 뽀미의 행동이 본능적인 거였군요?
반려동물PD – 네 맞아요. 강아지들은 기본적으로 자는 곳, 먹는 곳에는 배변하지 않아요. 풀이나 흙이 있는 야외, 다른 동물의 소변 냄새가 있는 곳에 배변하는 걸 좋아해요.
뽀미엄마 – 그치만 매번 뽀미에게 맞춰서 산책하러 나갈 수는 없어서요.
반려동물PD – 강아지가 화장실을 인식하는 요소는 냄새, 장소, 감촉이에요. 배변 패드를 다양한 곳에 두고 뽀미가 선호하는 장소를 찾아보세요. 그리고 사람의 생활공간을 방해하지 않는 장소로 조금씩 옮겨주시면 실수가 줄어들 거예요. 강아지들은 본능적으로 흡수성이 있는 곳에 배변하는 걸 좋아하고 뽀미는 영리하니까 할 수 있을거예요.
뽀미엄마 – 노력해볼께요! 뽀미가 도대체 언제 배변을 하는지 모르겠어요. 뒤돌아보면 장판에 쉬야나 응아를 해놓더라구요.
반려동물PD – 타이밍이 중요해요! 뽀미가 자다 일어났을 때, 밥을 먹고 난 후 등 배변하는 타이밍이 있을 거예요. 그때를 잘 살펴보세요. 배변하려는 분위기가 보이면 배변패드로 유도해주고 패드 배변했을 때 칭찬과 보상을 보여주세요.
뽀미엄마 – 배변하려는 분위기는 어떤 건가요?
반려동물PD – 냄새를 맡거나, 빙글빙글 돌거나, 안절부절못하면서 구석을 찾아가는 모습이 보일 거예요.
뽀미엄마 – 아! 그런 모습을 봤던 것 같아요. 혹시 그렇게 했는데도 실패하면 어떡하죠? 장판에 쉬야를 하면 혼내도 될까요?
반려동물PD – 아니요. 잘못했을 때는 혼내지 않고 잘했을 때 칭찬하면서 행동을 유도하는 게 좋아요. 교육의 실패는 반려견이 아닌 보호자의 실패랍니다.
뽀미엄마 – 제가 반성하게 되네요. 그래도 선생님께 배운 것들을 실천하려고 많이 노력하고 있어요.




강아지의 식사교육


dog-food-5168940_960_720.jpg


반려동물PD – 지금처럼만 하시면 뽀미도 좋은 반려견이 될 거예요. 보호자님이 열심히 배우고 실천하시니까요. 뽀미가 살이 조금 붙었던데 식사는 어떻게 하고 있나요?
뽀미엄마 – 아, 사실 뽀미가 식탐이 있더라구요. 그래서 살이 조금 쪘어요.
반려동물PD – 다이어트가 필요한 정도는 아니지만 여기서 더 찌지 않도록 관리해주시는 게 좋을 것 같아요.
뽀미엄마 – 어휴, 정량에 맞게 사료를 주고 있는데도 먹을 거만 보면 난리가 나요. 누가 보면 굶기는 줄 알 정도로 허겁지겁 먹어요.
반려동물PD – 간식을 많이 먹은 날에는 사료양을 조절해주세요. 사람과 마찬가지로 과체중이 되면 건강에도 좋지 않은 영향이 가니까요. 밥 먹을 때 심하게 보채나요?
뽀미엄마 – 네. 밥그릇을 들고 가면 뛰어올라서 밥그릇을 엎기도 하고 사람 음식을 훔쳐먹기도 해요.
반려동물PD – 그럴때는 바로 밥을 주지 마시고 뽀미를 앉게 한 후 진정되면 밥을 주시는 게 좋아요. 너무 급하게 먹는다면 한 끼 분량을 여러 차례에 나눠서 주세요. 사료가 충분하다는 걸 인지하면 조급함이 사라질 거예요.
뽀미엄마 – 만약에 뽀미가 계속 밥을 달라고 보채면 아예 주지 말아야 할까요?
반려동물PD – 그건 아니에요. 오랫동안 사료를 주지 않으면 불만이 생기고 집착이 심해질 수 있어요. 5-10초 정도 기다리게 하고 진정이 되지 않는다면 다음 식사 시간에 다시 시도하는 게 좋아요. 매 식사 시간마다 반복해서 규칙을 알려주세요. 뽀미가 사람 음식도 훔쳐먹는다구요?
뽀미엄마 – 네. 거실에 낮은 테이블이 있는데 거기서 무언가를 먹으면 뛰어올라서 잽싸게 물고 도망가요. 뺏으려 해도 안 뺏기려 하구요. 지난번에는 치킨을 물고가서 온 가족이 뺏느라 난리가 났어요.
반려동물PD – 저런… 치킨은 위험하죠. 뽀미에게 주세요 교육은 해보셨나요?
뽀미엄마 – 아니요, 그게 뭔가요?
반려동물PD – 사람은 먹어도 되는 음식과 그렇지 않은 음식을 구분할 수 있지만, 강아지들은 그렇지 않아요. 잘못된 음식을 먹으려 할 때 효과적으로 수거할 수 있도록 하는 교육이에요.
뽀미엄마 – 지금까지는 그냥 입에 문 걸 빼앗았어요.


반려동물PD – 큰 개껌을 준비하고 뽀미가 한쪽을 물게 해주세요. 보호자님은 뽀미가 물고 도망가지 않게 반대쪽을 잡고 계시구요, 껌보다 좋아하는 간식을 주면서 “주세요”라고 말하고 개껌을 내려놓게 하는 거예요. 꾸준히 하다 보면 주세요 신호만으로 강아지가 스스로 잘못된 음식을 내려놓게 할 수 있어요.
뽀미엄마 – 그런 방법이 있는 줄 몰랐네요!
반려동물PD – 24시 동물병원에 오게 되는 많은 경우가 이물질을 섭취한 경우예요. 심하면 수술을 해야하기 때문에 이물질을 먹지 않도록 하는 교육은 꼭 필요해요.
뽀미엄마 – 뽀미가 요즘 사춘기라 교육이 쉽지 않을 것 같지만 노력할께요.
반려동물PD – 아동기의 강아지는 몸도 커지고 체력이 향상되지만 뇌 발달은 조금 느려지는 시기예요. 조금해하지 마시고 인내심을 가지고 교육해주세요.


우리는 이렇게 강아지의 하루 중에서 중요한 두 가지(대소변, 식사)를 알아보았습니다.

반려견의 일상에서 큰 부분을 차지하는 요소이기 때문에 시간이 걸리더라도 꾸준히 지도해주는 것이 중요해요.

수면의 경우, 반려견이 안심하고 잘 수 있는 장소를 제공하고 잠자는 반려견을 갑작스럽게 깨우거나 만지지 않도록 해줍니다.

마지막으로, 강아지는 말을 하지 못하기 때문에 세심하게 보호자가 몸의 이곳저곳을 관찰해주는 시간이 필요해요. 얼굴, 구강, 귀, 몸, 발, 엉덩이 등을 빗질하면서 어루만지고 관찰하는 습관을 만들어주세요. 특별한 일이 있을 때만이 아니라 평소에 자주 만지고 관찰해주면 반려견도 자연스럽게 받아들일 수 있습니다.


다음 글에서는 올바른 산책과 놀이 방법에 대해서 알려드릴께요.




강아지가 이물을 먹어서 병원에 오는 사례


2.jpg
1.jpg
<좌> 식도에 사과가 걸린 경우 내시경 사진, <우> 식도에 개껌이 걸린 경우 방사선 사진

사진출처 : 24시 센트럴 동물 메디컬센터


아동기는 호기심이 왕성하고 에너지가 넘치는 시기라고 말씀드렸는데요,

이 때문에 먹어서는 안 되는 이물을 먹거나 급하게 먹다가 식도에 걸려서 병원에 오는 사례가 많습니다.

이물을 먹지 않게 하기 위해서는 반려견이 평소 호기심과 에너지를 마음껏 발산할 수 있도록 매일 규칙적인 놀이와 운동을 해주는 것이 좋아요.

놀이와 운동을 통해서 가지고 놀아도 되는 물건에 관심을 가지고 그렇지 않은 물건에 관심을 두지 않도록 해주는 것이지요.

가장 기본적인 예방으로 평소 반려견이 입에 물 수 있거나 작은 물건 등을 반려견이 접근할 수 없는 곳에 잘 정리하도록 해야 합니다.


"이물을 입에 물고 있는 경우에는 어떡하나요?"


반려견이 이물을 입에 물고 있는 것을 발견했을 때에는 급하게 뺏으려 하면 안 됩니다.

반려견이 빼앗기지 않으려고 삼키게 되는 상황이 발생할 수 있기 때문입니다.

평소 좋아하는 음식이나 간식으로 반려견의 시선을 돌리고 유인하여 자연스럽게 내려놓도록 해야 합니다.

물론, 그래도 삼키는 아이들이 있기 때문에 평소 "주세요" 연습을 꾸준히 해야 합니다.


3.jpg
KakaoTalk_20200529_124245332.jpg
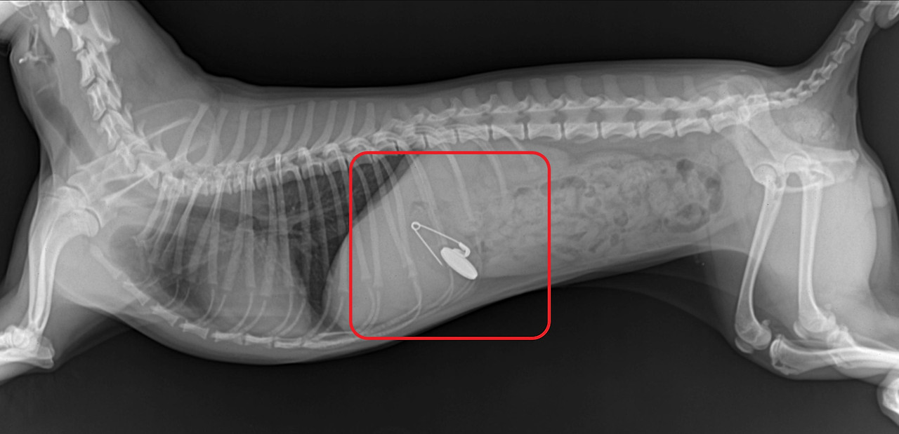
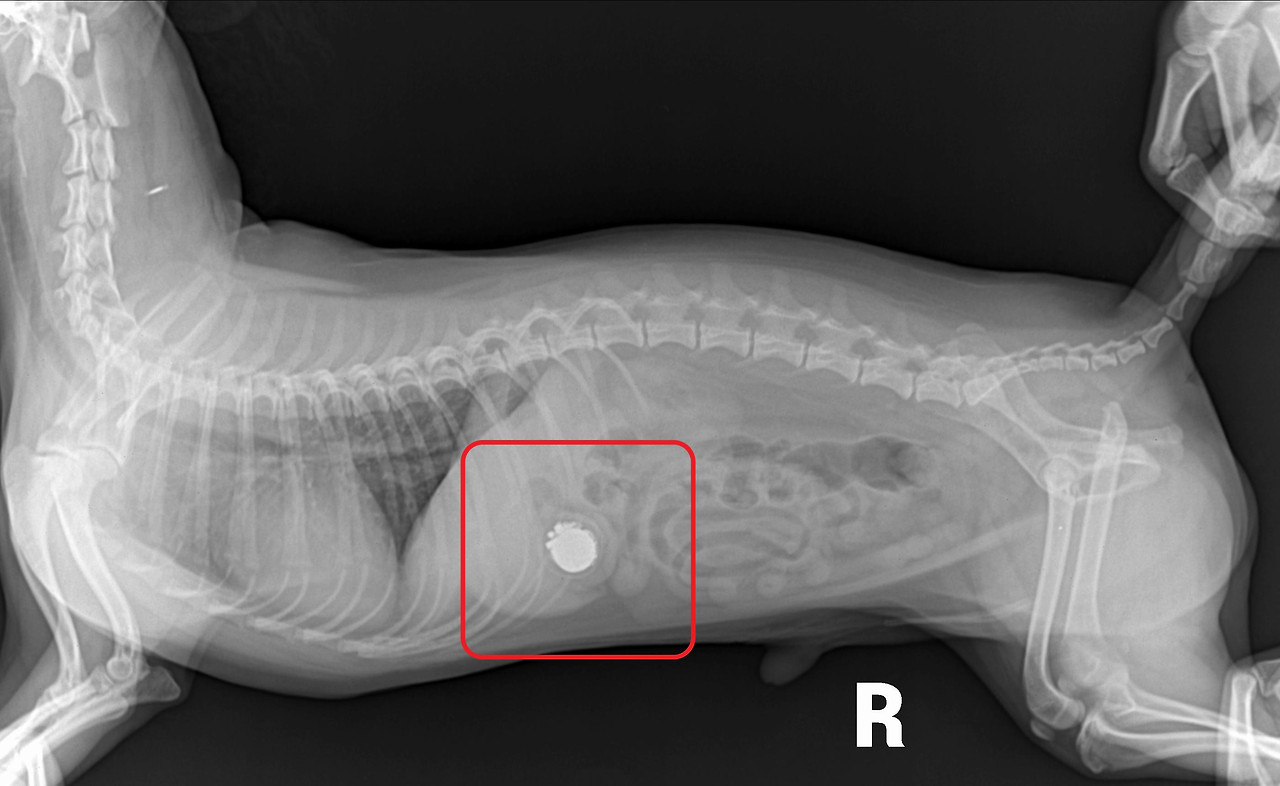
<좌> 식도에 간식이 걸린 경우 <우> 위에 옷핀과 동전이 있는 경우

사진출처 : 24시 센트럴 동물 메디컬센터


"이물을 삼킨 경우에는 어떻게 되나요?"


반려견이 이물을 삼킨 경우에는 반려견의 종류에 따라 다양한 문제를 야기할 수 있습니다.

동전은 구리 중독, 날카로운 플라스틱이나 바늘 등은 위장 천공을 유발하게 됩니다.

덩어리가 있는 이물이라면 소장 폐색으로 응급 수술을 해야 하고

위 내 여러 이물이 정체되어 있으면 만성 위장관 염증을 일으켜서 구토를 하게 됩니다.

이물을 삼킨 경우에는 즉시 병원을 방문해야 하고 평소 집 근처의 24시 동물병원을 알아두는 것이 좋습니다.


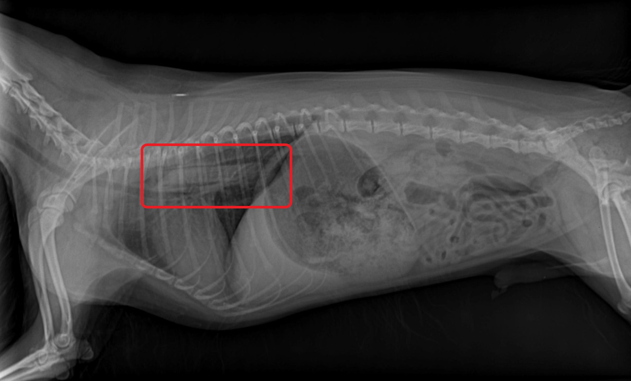
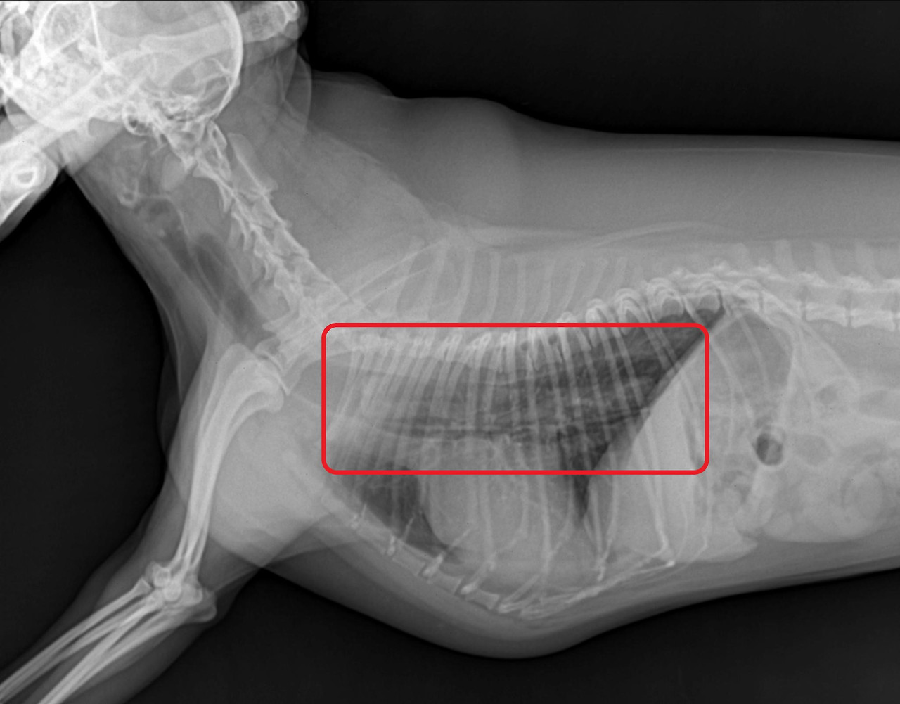
먹어서는 안 되는 이물 외에도 간식 등의 음식이 식도에 걸려서 급하게 병원을 찾는 경우도 많아요.

음식이 식도에 걸리면 호흡곤란, *연하곤란 등의 증상이 발생하게 됩니다.

식도에 음식이 걸린 경우, 2-3일이 지나면 식도에 염증이 심해져 이물을 제거한 후에도

*식도협착 으로 만성 구토가 발생할 수 있습니다.

먹어도 되는 음식이라고 해서 안심할 수 없고 주의가 필요합니다.

본문을 참고하여 평소 식사 예절을 올바르게 교육하여 이러한 일이 발생하지 않도록 해주세요.

최고의 치료는 예방입니다.


*식도협착 : 식도의 내강이 좁아져 음식물을 삼키기가 곤란한 상태

*연하곤란 : 음식이 식도 내에서 내려가다가 지체되거나 중간에 걸려서 더 이상 내려가지 않는


KakaoTalk_20200529_124300684.jpg
KakaoTalk_20200529_124252695.jpg
<좌> 위에 플라스틱이 들어있는 경우, <우> 위에 이어폰이 들어 있는 경우

사진출처 : 24시 센트럴 동물 메디컬센터


"치료는 어떤 식으로 이루어지나요?"


먹어도 되는 음식이 식도에 걸린 경우에는 위 내로 밀어 넣어서 소화를 시키게 됩니다.

먹어선 안 될 이물이라면 내시경이나 수술을 하게 됩니다.

위 내 이물의 경우는 대부분 내시경을 통해 꺼낼 수 있지만 크기가 커서 내시경으로 꺼내기 힘든 경우도 있어요.

이럴 때는 이물을 위 내로 밀어 넣고 나서 위 절개 수술을 통해 제거하게 됩니다.

만약 이물이 소장에 걸렸다면 위험하기 때문에 반드시 수술을 통해 이물을 제거해야 해요.



강아지의 산책과 놀이


다음 편에 계속됩니다.

keyword