brunch

당뇨인도 엄마가 되고 싶어서

무엇보다 확실한 증상

by 큐지혜

6주를 채 넘기지 못하는 내 초음파 사진을 보며 슬픈 것도 잠시.

지난번 임신 때에도 기어이 6주는 넘기지 못했다. 심장소리를 듣지 못했고 시일은 지나도 아이의 형체가 보이지 않아 끝내 초음파 사진 속 주수는 5주에 머물렀다. 고사난자였다. 이번에도 심장소리를 듣지 못하면 마의 6주 구간을 넘기지 못하는 셈이었다. 하루 정도 불안했다. 나흘이나 기다려야 다음 예정 검진인데, 고작 하루만 불안했다. 왜? 너무 선명한 증상이 덮쳐와서 불안할 겨를이 없었다.


그건 바로... 겪어 보지 못한 증상, 입덧.


지난 임신 때에도 약간의 입덧 조짐은 있었다. 그렇게 좋아하던 조미김을 못 먹게 되었다는 점. 그런데 이번엔 차원이 달랐다. 김을 못 먹게 된 건 당연하고, 고기를 먹기 힘들었다. 이모가 선물로 보내준 한우를 열심히 구워 잘 먹었는데 속이 부대껴 혼났다. 체한 것과는 달랐다. 200g 남짓 먹었는데 너무 속이 거북해서 차려놓은 적은 양의 밥도 채 다 먹지 못했다.


입맛이 눈에 띄게 없어졌다. 평생 식욕의 노예로 살아온 내게는 충격적인 일이었다. 먹고 싶은 음식이 없고, 먹어도 기쁘거나 행복하지 않았다. 조금만 기름져도 먹기 힘들었다. 예를 들면 나물에 들어간 들기름도 느끼한 정도.


가만히 있어도 속이 울렁울렁울렁 했다. 증상이 조금씩 더해져 울렁거림도 조금씩 심해졌다. 괙괙 게워내는 수준은 아니었지만 꾸준히, 지속적으로 울렁였다. 마치 긴 숙취를 겪는 기분 같았다. 양치질도 위기였다. 평생 해온 대로 혀를 닦았을 뿐인데, 칫솔을 깊이 찔러 넣은 것도 아닌데 왈칵 구토가 솟구치는 느낌. 입덧을 확신했다.


"입덧은 좋은 거야. 아기가 잘 있다는 뜻이야."

스스로 그렇게 수도 없이 되뇌었다. 실로 지난번엔 입덧이 생겨야 할 시점부터 도리어 잠잠해져 버렸으니 이번엔 다음 단계로 나섰음을 직감할 수 있었다. 병원에서 본 선생님 표정은 좋지 않았지만 나는 알 것 같았다. 이런 증상을 보이고도 아기가 없다는 건 말이 안 된다고.


나흘을 기다려 병원을 찾았다. 마음은 생각보다 편안했다. 증상이 확실하니 아이도 분명히 잘 자라주었으리라는 생각이었다. 그래도 혹시 몰라 남편과 동행했다. 충격적인 이야길 들으면 혼자 감당할 자신이 없어서.


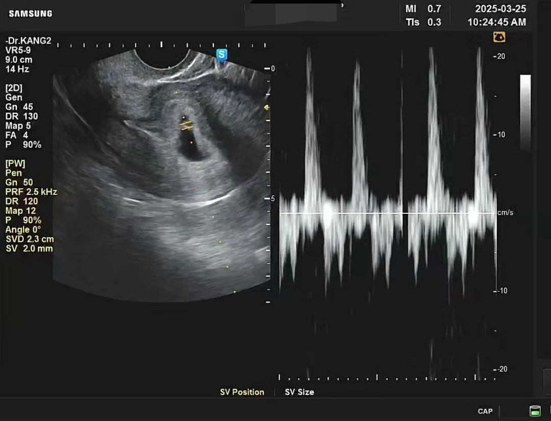
초음파를 보았다. 작은 콩이 움찔움찔 움직였다. 소리도 들었다. 몸속 잡음에 섞인 선명한 박동소리.

도동, 도동, 도동, 도동.

일정하게 잘 뛰고 있었다. 너무 감격해 우는 산모도 많다는데 나는 그렇지는 않았다. 그저 다행이란 생각, 역시 잘 있어주어 기특하다는 감각.


간호사 선생님이 진료실 앞에서 대기하던 남편을 불러들였다. 남편도 라이브로 아기 심장 소리를 들었다. 연애 7년, 결혼 7년. 도합 14년 차에 만난 첫 생명의 소리였다. 아기 크기는 이제야 0.55cm. 6주 2일이라고 했다. 그 작은 것이 열심히 뛰고 있었다. 펄떡펄떡, 팔딱팔딱.


KakaoTalk_20250403_161937198.jpg


심장소리를 듣고 나니 산부인과에서는 초음파 기록을 볼 수 있는 어플을 알려주었다. 처음으로 초음파 사진첩도 받았다. 2주 후에 다시 검진 오라는 이야기를 듣고 산전검사를 이것저것 진행했다. 이제야 임신 확정이라도 땅땅 선고받은 기분이었다.


초음파 영상을 다운받아 소식을 기다리던 어른들께 보내드렸다. 규칙적으로 잘 뛰는 아기 심장소리에 모두가 기뻐해주었다. 물론 가장 기쁜 건 우리 부부였다. 신기하고, 벅차고, 기특하고, 용했다.


남편은 보건소에 들러 내가 그토록 바라던 물건을 타다 주었다.

KakaoTalk_20250403_161511322.jpg

바로 임산부 배찌. 이게 뭐라고 그렇게 갖고 싶었는지. 지난번 임신 땐 이런 걸 신청할 겨를도 없이 유산 판정을 받아서 한 번도 가져본 적이 없었다. 별 것 아닌 이 배찌가 내게는 꼭 마패 같았다. 이걸 굳이 가방에 매고 대중교통에 올라야 하는 임부의 사정이야 쉽지 않았겠지만서도, 내게는 참 부러운 물건이었다.


멀미와 체력 때문에 대중교통을 거의 이용하지 않고 있으면서도 제일 먼저 가방에 매달아 두었다. 한 번은 내과 가는 날 자랑스럽게 매달고 갔다. 그렇게 뿌듯하고 자랑스러울 수가 없었다.


keyword
매거진의 이전글당뇨인도 엄마가 되고 싶어서