brunch

앞니 부분교정에 딱! MTA 교정 알아보기

MTA교정 특징

by 허영준
앞니 부분교정에 딱! MTA 교정 알아보기


삐뚤삐뚤한 앞니 때문에 고민 이신가요? 희고 가지런한 이는 모든 이의 바람이죠. 특히, 눈에 띄는 앞니는 인상에도 영향을 주기 때문에 신경이 쓰일 수밖에 없습니다. 하지만 시간도 오래 걸리고, 눈에 띄는 교정장치 등으로 인해 선뜻 교정을 시작하지 못하는 분들이 생각보다 많습니다. 이런 분들에게 적합한 교정이 있는데요. 바로 MTA교정입니다. 오늘은 앞니 부분교정에 적합한 MTA교정에 대해 알아보겠습니다.




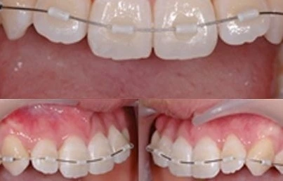
MTA(Mini-Tube Appliance) 교정은 기존의 브라켓과 와이어를 결찰하는 교정장치와 달리 미니튜브를 이용한 새로운 교정방법으로, 튜브에 와이어를 끼우는 방식으로 진행됩니다.


기존의 결찰 방식은 브라켓과 와이어가 결찰되어 치아 이동을 위해서는 결찰된 힘보다 더 큰 힘을 와이어에 가해야 하고, 그에 따라 버티려는 반작용이 커져 교정기간이 길어지고 통증이 생길 수밖에 없습니다. 하지만 MTA는 결찰이 없기 때문에 힘이 적게 들고, 그만큼 치아 이동이 빠르고 통증도 적습니다.

MTA는 이렇게 기존 결찰 방식 교정 장치의 단점을 개선해 인기를 얻고 있습니다.



MTA의 가장 큰 장점은 기존의 브라켓과 달리 부피가 작은 원형튜브를 이용하기 때문에 눈에 띄지 않아 심미적이고, 부피가 적어 이물감도 거의 없고 불편감이 적다는 점입니다. 탈락 우려도 적습니다. 양치질 등 관리도 용이해 위생적이라는 점 또한 장점입니다.


교정도 빠르게 진행되어 평균 2~6개월 내로 교정이 완성됩니다. 오랜 교정기간 때문에 교정을 망설였던 분들에게는 좋은 소식이죠.


비용 면에서 기존 교정보다 상대적으로 저렴한 것도 MTA의 장점이라고 할 수 있습니다.


심미적인 이유로 교정을 망설이던 분들이 대안으로 라이네이트나 올세라믹 등을 선호하기도 하는데요. MTA 교정은 라미네이트 등과 달리 치아 삭제 없이 교정이 진행된다는 점에서 더욱 인기를 얻고 있습니다.


이렇게 많은 장점을 갖고 있는 MTA교정이지만 모든 경우에 적용할 수 있는 것은 아닙니다.


MTA교정은 주로 앞니 치아 사이에 틈이 있거나 치아가 삐뚤어진 경우에 적합합니다. 교정치료 후 재교정이 필요한 경우에도 MTA교정을 하기도 합니다.


other_img11-1.jpg


지금까지 앞니 부분교정에 적합한 MTA교정에 대해 살펴보았는데요.




앞니 부분교정에는 MTA교정 외에 2D교정도 많이 활용되고 있습니다.



2D교정은 설측교정장치의 일종으로, 기존 장치에 비해 두께가 얇고 작은 설측 자가결찰 장치입니다. 2D브라켓은 기존 장치보다 크기가 작고 튀어나온 부분이 없어 기존 설측교정장치에서 나타나는 발음상의 문제가 거의 없고, 불편감이 적습니다.

음식물 섭취나 양치질 등 치아관리도 훨씬 수월합니다.

치료기간도 2~6개월 정도로 짧아 심미적인 이유로 앞니교정을 원하시는 분들에게 적합합니다.

2D교정도 MTA교정과 마찬가지로 모든 케이스에 적용되지는 않는데요. 심한 부정교합이나 돌출입 등에는 적용이 어렵고 앞니의 치열이 경미하게 불규칙한 경우에 적합합니다.


other_img12.jpg


MTA교정 등 부분교정만으로도 교정치료가 가능한지 확인하기 위해서는 정확한 진단과 노련한 교정전문의와의 상담이 우선되어야 할 텐데요.


벌어진 앞니 때문에 콤플렉스가 있으신 분

부분적으로 삐뚠 앞니가 신경 쓰이시는 분

짧은 기간에 원하는 치아만 교정하고 싶으신 분

치아 삭제나 발치 없이 교정하고 싶으신 분

앞니만 재교정할 필요가 있으신 분 등은


진료상담6 (19).JPG


노원다인치과 교정전문의와의 상담을 통해 빠르고 효과적인 MTA 교정의 효과를 직접 확인해 보실 것을 추천드립니다~




keyword