brunch

충치예방에 필수! 치아홈메우기방법 알아봐요~

by 허영준
충치예방에 필수! 치아홈메우기방법 알아봐요~


‘실란트’라고 많이 들어 보셨죠? 충치예방을 위해 대부분의 어린이들이 하는 실란트는 치아홈메우기방법 중 하나입니다. 실란트 외에도 치아 상태에 따라 홈을 메우는 방법은 여러 가지가 있는데요. 오늘은 충치예방에 필수인 치아홈메우기에 대해 자세히 살펴보도록 하겠습니다.




우선 흔히 알고 있는 치아홈메우기인 ‘실란트(Sealant)’에 대해 먼저 살펴보겠습니다.


어금니의 씹는 면에는 좁고 가는 홈들이 있습니다. 이 홈에 음식물이 끼면 충치가 생기기 때문에 홈들을 플라스틱 레진으로 메워 충치를 예방하는 것을 실란트라고 합니다. 홈에 낀 음식물은 칫솔질로도 잘 제거되지 않아 영구치가 나오면 반드시 실란트를 해주는 것이 좋습니다.


실란트는 만 18세 이하의 경우 건강보험이 적용되어 본인부담금이 10%만 내면 되기 때문에 비용 부담도 없습니다. 약 1만 원 정도면 실란트가 가능합니다.


건강보험이 적용되는 치아는 상하좌우 2개씩 총 8개의 어금니로, 충치 등이 없는 건강한 치아에 한해서 보험이 적용된다는 점 명심하시고 만 18세 이하 자녀 중 아직 실란트를 하지 않은 자녀가 있다면 충치가 생기기 전에 하루라도 빨리 실란트를 해주셔야 합니다.


20791776.jpg




실란트는 건강한 치아의 충치예방을 위해 하는 치아홈메우기라면

좁은 범위의 충치치료에 사용되는 치아홈메우기방법으로는 ‘GI수복’이 있습니다.


GI(Glass Lonomer)는 흰색의 충전재로 깊지 않은 초기 충치 치료에 사용됩니다. 충치 부분을 제거하고 GI를 짜 넣고 굳기를 기다려 표면을 다듬으면 되기 때문에 진료방법이 간단하고 부작용이 없습니다. 다만 완전히 굳는데 하루 이상 소요되고, 강도가 약하다는 단점이 있습니다. 때문에 어린이들의 충치 치료 시 많이 사용됩니다.

불소를 방출하여 충치예방 효과도 있는데요. 청소년뿐 아니라 성인들도 보험이 적용된다는 점도 큰 장점 중 하나입니다.


20683212.jpg




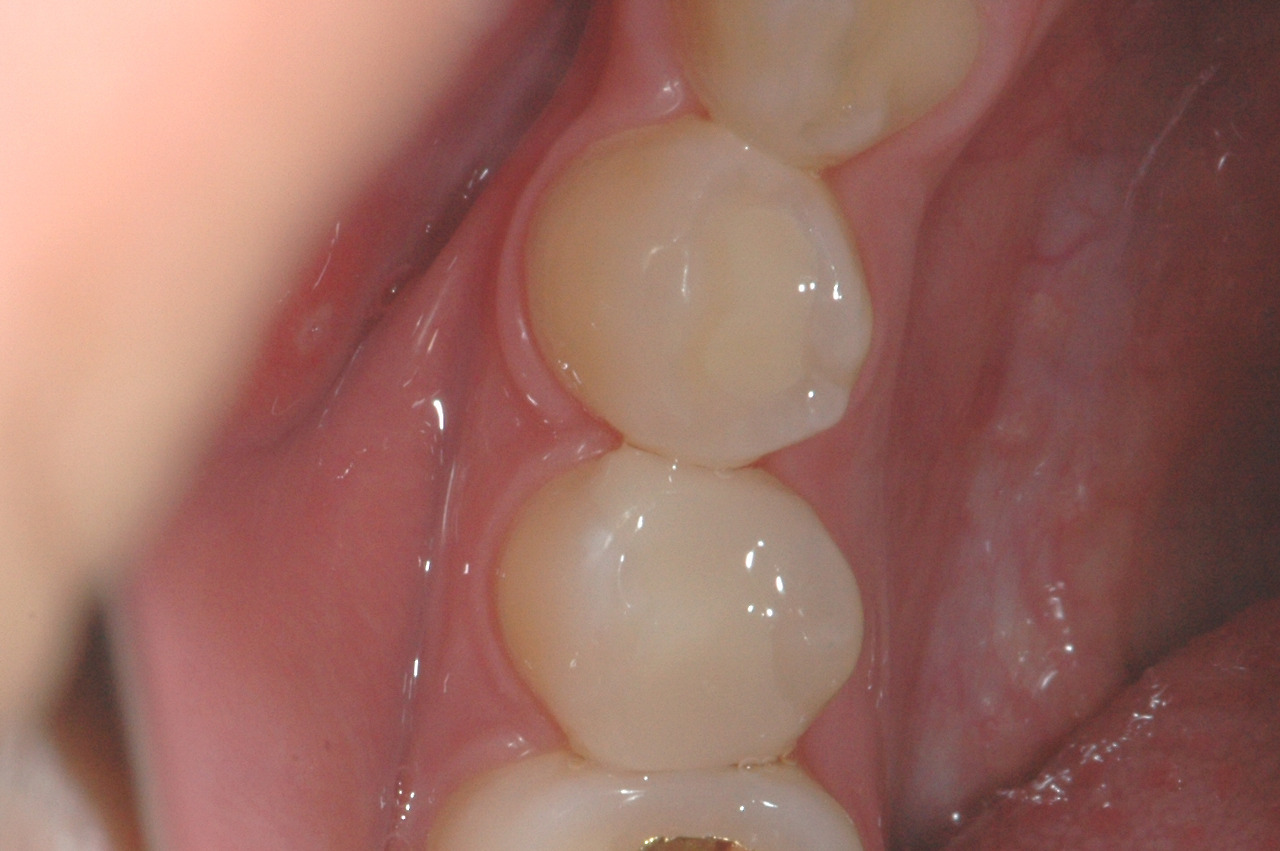
일반적으로 많이 알고 있는 충치치료방법인 레진치료도 치아홈메우기 방법의 하나라고 할 수 있습니다.


레진은 치아색과도 유사하고 GI보다 내구도가 높아 충치치료에 가장 많이 활용되고 있습니다.

충치 부위를 제거하고 바로 홈을 메우는 방식으로 레진치료가 진행됩니다. 통증도 적고 치아삭제량도 거의 없는데요. 충치 부위가 크거나 깊은 경우에는 깨지거나 이가 시릴 수 있어 사용하지 않는 편입니다.


레진은 건강보험이 적용되지 않아 약 8~10만 원 정도의 비용을 부담해야 하는데. 작년 (2019년)부터는 만 12세 아동들의 경우 레진치료도 보험이 적용되어 약 30%의 비용 부담만으로 치료가 가능해졌습니다. 또한 모든 영구치의 충치치료에 적용 가능하기 때문에 12세 미만 어린이들의 경우 충치치료 비용이 확 줄었습니다.


어린이와 청소년들의 경우에는 보험적용이 되어 비용 부담 없이 충분히 충치 예방과 치료가 가능하니 치아홈메우기를 적극적으로 활용하는 것이 좋겠죠?


레진.jpg




치아는 오복 중의 하나이고, 영구치라는 말처럼 평생 사용해야 하기 때문에 무엇보다 충치 등 치과질환의 예방이 우선시되어야 합니다. 요즘에는 임플란트 등 영구치 대체재도 발달했지만 아무래도 자연치아를 따라갈 수 없습니다. 때문에 어렸을 때부터 치아관리가 무엇보다 중요합니다.


그런 면에서 치아홈메우기 실란트는 충치예방을 위한 필수요소입니다. 또한 조기치료가 중요합니다. 레진 등으로 충분히 치료가 가능한 치아를 치료시기를 놓쳐 치아 상실까지 가지 않기 위해서는 정기검진이 무엇보다 중요합니다. 1년에 한 번 있는 스케일링 보험적용 혜택도 놓치지 마시고 활용할 것을 적극 추천합니다.


실내 (17).JPG


지금까지 치아홈메우기방법에 대해 살펴보았는데요. 치과 방문이 오래되어 충치 등이 의심된다면 치과 방문을 서둘러주세요!!




keyword