brunch

충치 레진 치료가 적합한 경우는?

충지레진치료특징

by 허영준
충치 레진 치료가 적합한 경우는?

충치는 대부분이 갖고 있는 치과 질환으로, 충치 치료 한 번 받아보지 않은 사람이 없을 정도인데요. 충치 치료는 충치의 진행 정도와 부위에 따라 치료방법이 달라집니다. 충치라도 다 같은 충치가 아닌 것이죠. 오늘은 충치 치료 방법 중 가장 많이 사용되는 치료법인 충치 레진 치료에 대해 살펴보고, 충치 레진 치료가 적합한 경우에 대해 살펴보도록 하겠습니다.




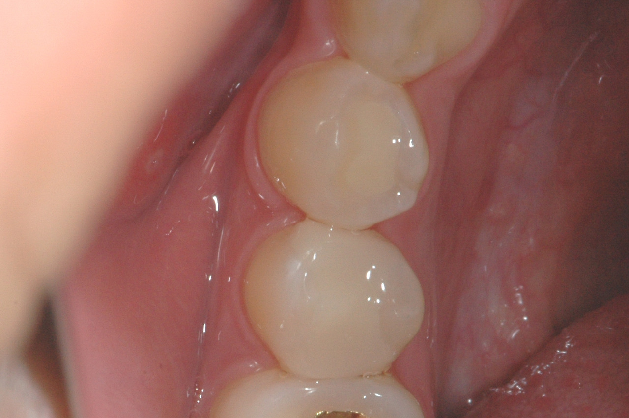
충치 치료는 충치가 진행된 부분을 제거한 후에 제거된 부위를 원래 치아 형태로 복구해 주는 방식입니다. 충치 진행 정도에 따라 제거해야 하는 충치 면적도 다르고 위치도 다르기 때문에 치료방법에서도 차이가 날 수밖에 없는데요. 그중에서 충치 레진 치료는 충치 면적이 넓지 않고, 치아 손상이 적은 초기 충치 치료에 사용되는 방법입니다.


충치 레진 치료를 위해서는 우선 충치 부위를 긁어내 제거한 후 레진으로 메워 주어야 하는데요. 충치 제거 후 바로 메워주면 되기 때문에 당일 치료가 가능합니다.

레진은 치아와 같은 색으로, 심미적으로도 우수하고 치료방법도 간단해 많이 사용되고 있습니다.

또한 충치 통증도 거의 없고, 치아 삭제량도 많지 않아 치료에 부담감이 적습니다.

레진.jpg


이렇게 충치 레진치료는 충치치료 중에서 비교적 간단하고, 초기 충치에 주로 사용되는데요.

레진은 플라스틱과 같은 재료로 강도가 강하지 않고, 탈락이나 마모될 수 있어, 치아 삭제량이 많거나 충치 부위가 깊은 충치에는 사용하기 어렵습니다.


치료 후에는 시간이 지나면서 색소성 음식 섭취 등으로 인해 변색이 되기도 하고, 영구적으로 사용할 수 있는 것은 아니기 때문에, 주기적인 검진 등을 통해 관리해 주는 것이 좋습니다.


12세 이하의 경우에는 충치 레진치료 시 건강보험이 적용되어 30%의 비용 부담으로 치료를 받을 수 있습니다. 유치의 경우에는 해당이 되지 않고 영구치에만 적용됩니다. 영구치는 평생 사용해야 하는 치아이기 때문에 어려서부터 관리를 제대로 해주는 것이 중요합니다.

혹시라도 자녀의 치아가 충치로 의심된다면 서둘러 치과 진료를 받으시기 바랍니다.


21089360.jpg


건강보험이 적용되지 않더라도, 레진치료는 충치치료 중 가장 비용 부담이 적고 간단한 치료입니다. 레진치료 정도에서 충치치료를 끝낼 수 있다면 다행이라고도 볼 수 있죠.


그렇다면 충치 치료 중 레진 치료 외에는 어떤 치료가 있을까요?


이미 많이들 들어보시고, 치료 경험이 계신 분들도 많을 텐데요. 인레이, 온레이, 크라운 치료 등이 있습니다.

이와 같은 치료는 레진치료와 달리 충치 부위와 면적이 넓고 깊어 레진처럼 메워주는 방식으로는 해결할 수 없을 때 사용하는 치료방법으로, 골드나 세라믹 등의 재료를 사용해 치아 모양의 보철을 만들어 장착해 주는 치료입니다. 본을 떠서 보철을 만들어야 하기 때문에 1회 방문으로는 치료가 힘들고, 최소 일주일 이상이 소요됩니다.


20402739.jpg


충치 면적과 부위에 따라 인레이 <온레이 <크라운 순으로 재료가 많이 사용되고 비용이 발생합니다.


자칫 치료시기를 놓치면 더 힘들고 비용도 많이 발생하는 치료를 해야 할 수 있기 때문에, 치료시기를 놓치지 않는 것이 중요합니다.


진료1 (3).JPG


충치치료를 미루고 계시다면, 가급적 빨리 치과병원을 찾아 치료받으시고, 6개월에서 1년에 한 번은 검진을 통해 치아를 관리해 주는 것이 치아건강을 유지하는 비결입니다.








keyword